Póster
      Nº 030

IICVHAPp.gif (9537 bytes)

IndiceIndice

Tumor fusocelular hialinizante con rosetas gigantes.

Enrique Poblet Martínez, Luis Alfaro Ferreres, Antonio Simón Aylon.

Comentarios

[Título] [Introducción] [Material y Métodos] [Iconografía] [Discusión] [Bibliografía] [Comentarios]

Material y Métodos

Iconografía


Resultados

Macroscópicamente se trataba de un nódulo que medía 4x3 cms. y se encontraba bien delimitado, aunque no presentaba cápsula y mostraba un fragmento de músculo de 1x 0,2 cms. adherido a uno de sus extremos. Al corte el tumor era sólido, blanco-grisaceo, con áreas mixoides.

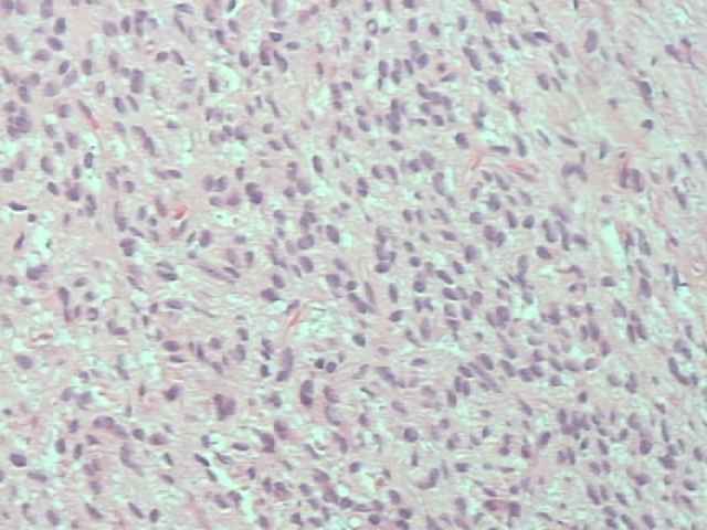
Microscópicamente el tumor se encontraba constituido por células fusiformes formando haces celulares compactos o laxos, de células dispersas (Figura 1). El estroma mostraba zonas de hialinización (Figura 2), que alternaban con áreas mixoides (Figura 3). Las células mostraban núcleos ovales sin atipia significativa, contabilizándose únicamente una mitosis aislada. La característica mas sobresaliente del tumor era la presencia de grandes estructuras rosetoides con un centro de tejido colágeno (Figura 4). Las rosetas se encontraban dispersas en el tumor pero ocasionalmente se fusionaban (Figura 5). Las células que rodeaban a la zona eosinofílica central mostraban un fenotipo diferente a las células fusiformes del tumor. Mostraban escaso citoplasma y núcleo redondeado hipercromático.

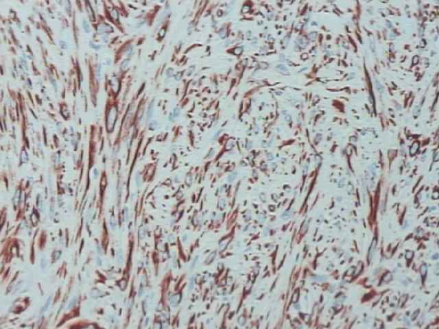
Estudio inmunohistoquímico.-Las células tumorales se marcaban con vimentina (Figura 6 y figura 7). Las células tumorales eran negativas con la proteína S-100 (Figura 8), tanto en las áreas fusocelulares sólidas, como en las áreas mixoides. La enolasa neurón específica era también negativa (Figura 9). La actina músculo específica teñía la capa muscular de los vasos presentes pero las células tumorales eran negativas (Figura 10).

Material y Métodos

Iconografía