Póster Nº 024
Indice
Luis Alfaro; María José Roca; Enrique Poblet; Miguel Hernández
[Título]
Imagen 1. Caso 1 Imagen 2. Caso 1 (40X) Imagen 3: Areas fusiformes (I) Imagen 4: Hendiduras vasculares (I) Imagen 5: Vasos hamartomatosos (I) Imagen 6: Mitosis (I) Imagen 7: Caso 2 (RX) Imagen 8: Caso 2 Imagen 9: Extensión ósea (II) Imagen 10: HE 200x (II) Imagen 11: HE 400x (II) Imagen 12: Vasos linfáticos (II) Imagen 13: Mitosis (II) Imagen 14: Vimentina (II) Imagen 15: CD-34 (II) Imagen 16: CD-34 (II) Secuencias de vídeo (Caso 2) 37" 300 Kb/seg. (1,33 Mb) 37" 200 Kb/seg. (926 Mb)
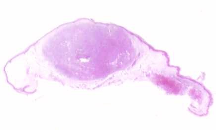
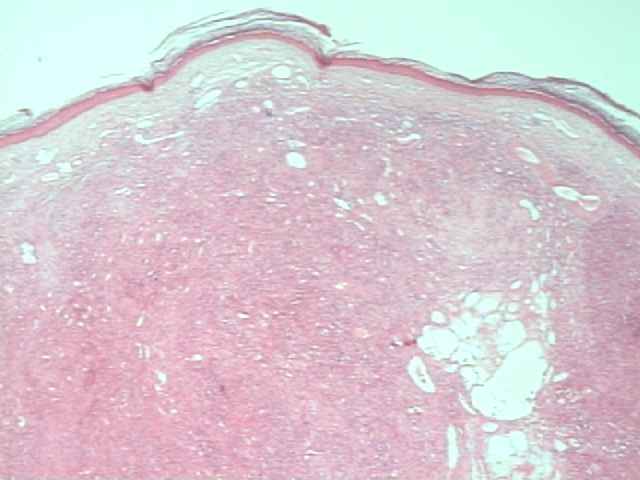
Imagen 1. Caso 1
Imagen 2. Caso 1 (40X)
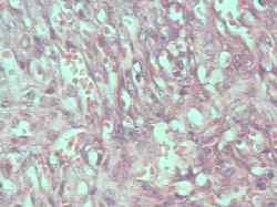
Imagen 3: Areas fusiformes (I)
Imagen 4: Hendiduras vasculares (I)
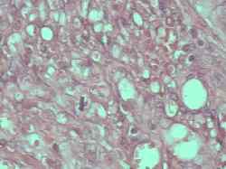
Imagen 5: Vasos hamartomatosos (I)
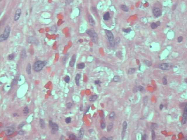
Imagen 6: Mitosis (I)
Imagen 7: Caso 2 (RX)
Imagen 8: Caso 2
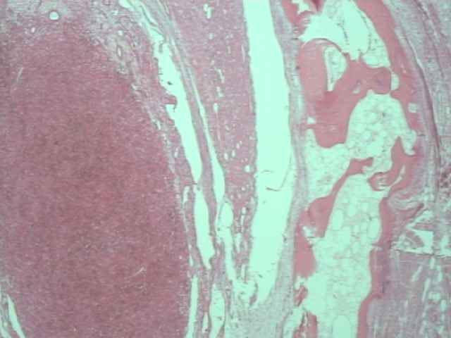
Imagen 9: Extensión ósea (II)
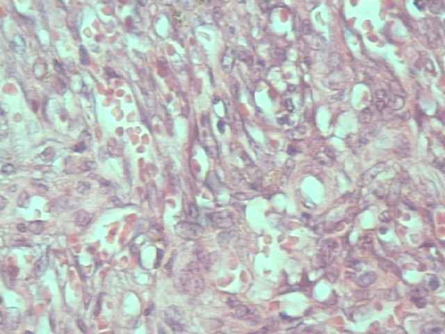
Imagen 10: HE 200x (II)
Imagen 11: HE 400x (II)
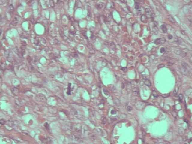
Imagen 12: Vasos linfáticos (II)
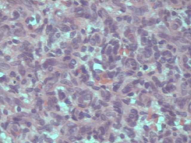
Imagen 13: Mitosis (II)
Imagen 14: Vimentina (II)
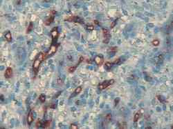
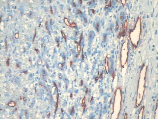
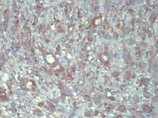
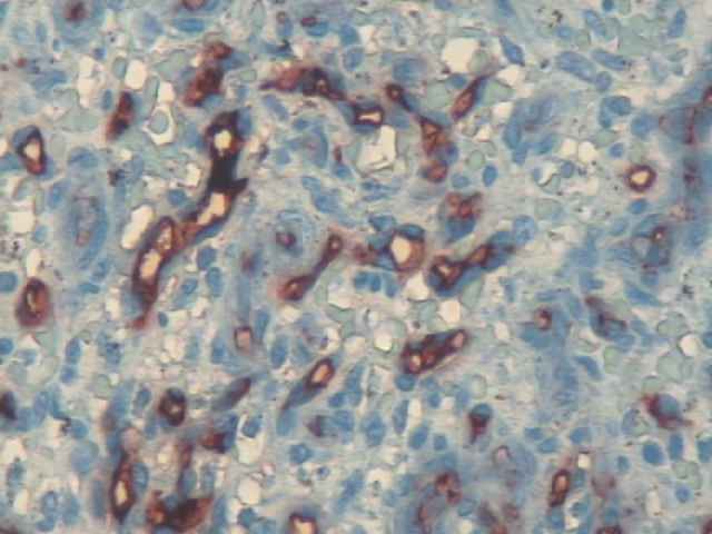
Imagen 15: CD-34 (II)
Imagen 16: CD-34 (II)
37" 300 Kb/seg. (1,33 Mb)
37" 200 Kb/seg. (926 Mb)