Comunicación |

ECTOPIC HAMARTOMATOUS THYMOMA: A case report.
Dra. Caminos,S; Dr. Brandán Recalde, E; Dr. Ribichini, J; Dr. Grasso,R.
Hospital Tránsito Cáceres de Allende. Córdoba. Argentina.
El Timoma hamartomatoso ectópico ( THE ), término acuñado por J. Rosai en 1984, representa el extremo benigno ( de tipo hamartomatoso ), de un espectro de cuatro entidades clinicopatológicas relacionadas, que incluyen tumores del cuello y la glándula tiroides con diferenciación tímica, formando parte de una familia de tumores originados de tejido tímico ectópico o remanentes de las bolsas branquiales, que retienen el potencial de diferenciación hacia las estructuras del timo. Las otras tres entidades han sido definidas como "Timoma ectópico cervical", "Tumor epitelial fusado con diferenciación símil tímica", y "Carcinoma de diferenciación símil tímica"; los dos últimos representan las variantes malignas del espectro inicialmente mencionado. Exponemos en esta comunicación, un caso de THE, entidad extremadamente infrecuente.
The term "ectopic hamartomatous thymoma" ( EHT) was coined by J. Rosai in 1984 for a distinctive benign lesion ( hamartomatous type ) of one spectrum to four well-defined clinicopathologic entities. These includes the neck and thyroid gland tumors with timic differentiation. This family's tumors spans a range of histologic appearance and behaviors from completely benign lesions to metastasizing malignant tumors originated of ectopic thymus tissues or remnants of branchial pouches which retain the potential to differentiate along de thymic line. The other three entities were defined as: " Ectopic cervical Thymoma", "Spindle epithelial tumor with thymus-like differentiation" (SETTLE) and "Carcinoma showing thymus-like differentiation (CASTLE). The two last represents the malignant variants of this wide spectrum. We reports a case of EHT, an uncommonly entitie.
( Palabras claves: Timoma Hamartomatoso Ectópico, diferenciación tímica, región cervical, espectro lesional ).
( Key words: Ectopic Hamartomatous Thymoma, thymic differentation, cervical area, lesional spectrum.)

El objetivo de este trabajo es la comunicación de un tumor infrecuente de tejidos blandos del cuello, que forma parte de una familia de tumores, que se caracterizan por expresar rasgos morfológicos de diferenciación hacia tejidos tímicos, que han sido recientemente agrupados en entidades clinicopatológicas bien definidas (2). Conforman un espectro lesional que abarca desde lesiones benignas de tipo hamartomatoso, hasta tumores malignos con capacidad metastásica. Estos, además de desarrollarse en los tejidos blandos de la región cervical, pueden localizarse en la glándula tiroides.

En Abril de 1995, un varón de 60 años consultó por una voluminosa masa tumoral en la región cervical inferior ( esternoclavicular )
(fotografía), de varios años de evolución, diagnosticada clínica y radiológicamente como un lipoma. Decidida su extirpación quirúrgica, se remitió para examen anatomopatológico la pieza, la cual fue estudiada con técnicas comunes de procesamiento histopatológico, que comprendieron su inclusión en parafina y la coloración de cortes con hematoxilina y eosina. También, se efectuaron técnicas especiales de coloración tales como PAS y tricrómico de Masson. En algunas secciones se utilizó inmunohistoquímica (IHQ), para citoqueratina con anticuerpos monoclonales (Dako Cóctel PM 45-46-56.5 KD Moll CTK 10-17-18), y anticuerpo monoclonal anti-vimentina. Como cromógeno se empleó la diaminobencidina.

Macroscopia: La pieza quirúrgica mostró un tumor bien delimitado, con ligera lobulación, de 15,5cm de diámetro mayor, de crecimiento expansivo y superficie lisa
(macrofotografía). Al corte se observó colorido amarillento, con aspecto de tejido adiposo, entremezclado con tractos blanquecinos sólidos y pequeñas cavidades quísticas periféricas.
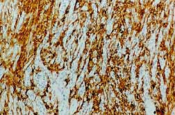
Microscopia: El examen microscópico reveló un predominio de tejido adiposo maduro y un componente de elementos fusocelulares distribuidos en fascículos, dispuestos "al azar", y en otras áreas configurando imágenes con la apariencia de "un enrejado"
(microfotografía1). Los núcleos eran ovales o elongados, a veces ondulados, con cromatina fina y nucléolos inconspicuos. Los citoplasmas resultaron pálidos y en ocasiones acidófilos (microfotografía2). No se encontraron figuras de mitosis prominentes. Se apreció, en sectores, islotes de epitelio escamoso maduro que se entremezclaba con las células fusadas. En otros focos, adoptaba un patrón en cordones, y como revestimiento de las estructuras quísticas, descriptas en la macroscopia, que posiblemente correspondieron a corpúsculos de Hassall (microfotografía3). Por otra parte, estos últimos eran reconocibles en otras áreas (microfotografía4). No se evidenciaron atipias citológicas ni necrosis. Se destacó un componente de fibroplasia intersticial y aislados focos de infiltrado linfocitario inespecífico. Con la coloración de PAS, se demostró que el contenido intraquístico correspondía a material mucinoso, similar al encontrado en las luces de los corpúsculos de Hassal normales del timo. El tricrómico resaltó el entramado fibroplásico que formaba parte de la lesión. La IHQ mostró positividad para Citoqueratina (microfotografía5), tanto en los fascículos fusocelulares como en las áreas fenotípicamente epiteliales. La vimentina se expresó en el componente estromal.

Durante algunos años el Dr. Juan Rosai acumuló en diversas consultas varios tumores y entidades tumorales seudoneoplásicas peculiares, las cuales se apreciaban incompletamente caracterizadas, y que se presentaban en el cuello y en la glándula tiroides. Mostraban una histomorfología variable que poseía reminiscencias estructurales del timo fetal, del timo completamente desarrollado, del timo en etapas de involución, o de tumores epiteliales tímicos conocidos (2). Desde esta perspectiva, cabía entonces, la posibilidad de que éstos fueran derivados de timo ectópico, o de remanentes de la bolsa branquial. No obstante, estas lesiones habían sido publicadas bajo una amplia gama de designaciones (7).
Una razonable interpretación de sus presentaciones clínico-anatómicas y sus constituyentes hísticos, permitió agruparlas en varias entidades con perfiles reconocibles para su diagnóstico. Como en otros procesos de la patología, sin embargo, se observaron algunos cuadros de superposición.
Es imprescindible, antes de abordar los aspectos específicos de estas entidades, recordar algunos conceptos del desarrollo embriológico del timo. Este órgano es derivado embriológicamente, casi en su totalidad, si no de manera completa, del endodermo y para algunos, también, del ectodermo (4) del tercer par de bolsas branquiales (faríngeas). Dos primordios tímicos migran caudal y medialmente a través del cuello, y aparentemente se fusionan para formar un órgano bilobulado en el mediastino anterosuperior. Sin embargo, hay quienes opinan que se trata de órganos bilaterales, con un timo derecho y otro izquierdo, unidos por la gran vena de Keynes que, con el paso del tiempo, aparentan un órgano único, bilobulado, por la adhesión con el tejido fibroadiposo propio de su involución progresiva a través de la vida (4). En este desarrollo embriológico, en su descenso, y en el recorrido cervicomediastinal, pueden permanecer estructuras tímicas remanentes desde el ángulo de la mandíbula hasta el manubrio esternal , pudiendo quedar incorporados a la glándula tiroides y a las paratiroides (4).
Juan Rosai (2) describió un espectro de cuatro entidades clínico-patológicas que abarca, en el extremo benigno, una lesión hamartomatosa, a la que denominó " timoma hamartomatoso ectópico" (THE). En la franja intermedia, los llamados "timomas ectópicos cervicales" (TEC), los cuales usualmente se comportan como benignos, pero a veces pueden resultar como invasores locales, y de manera excepcional dar metástasis. Por fin, en el otro extremo, tumores malignos que fueron designados como " tumor epitelial fusado con diferenciación símil tímica" (SETTLE)* y " carcinoma de diferenciación símil tímica" (CASTLE)*.
El Timoma Hamartomatoso Ectópico (THE), está caracterizado por una mezcla de elementos tisulares con resabios de tejidos tímicos involutivos, donde destacan como rasgos más representativos el aspecto en "enrejado", otorgado por una proliferación de células epiteliales fusadas, intimamente entremezcladas con abundante tejido adiposo maduro. Además la presencia de quistes con revestimiento epitelial escamoso, como expresión de la dilatación de conductos de Hassall, junto a corpúsculos remanentes y nidos de epitelio escamoso maduro, y un inmunofenotipo característico para estructuras epiteliales y mesenquimales; entre las que se encuentran células mioides (1,6). La multiplicidad de tipos epiteliales en la lesión, puede simplemente reflejar el potencial de diferenciación del endodermo branquial (2). La proliferación del epitelio hamartomatoso y de células oxifílicas, ha sido comunicada en un caso de timolipoma (3). A este respecto, corresponde desde luego, establecer una serie de diagnósticos diferenciales, entre los que se incluyen: el tumor mixto de origen en glándulas salivales o sudoríparas, tumores de las vainas de los nervios periféricos, carcinomas de células fusadas y sarcoma sinovial (2). Este último tumor se distingue por la alta celularidad, la hipercromasia nuclear, la rareza de la diferenciación escamosa y por la inmunorreactividad solamente focal o "en parches" para la citoqueratina en el componente celular fusado. El diagnóstico diferencial con el timolipoma se establece principalmente por la diferente localización anatómica , en el mediastino anterosuperior, y porque el componente tímico habitualmente es un resabio de estructuras normales del órgano adulto.
La comunicación original de la entidad comprende cinco casos (5). Hasta el año 1990 se habían publicado quince casos (3). Estas experiencias han confirmado que se presenta en adultos, con una edad media de 49.9 años, con un marcado predominio en el sexo masculino. Todos los tumores estuvieron localizados en la región supraclavicular o supraesternal, sin relación con la piel ni el hueso. A menudo, se observó que estuvieron presentes por un largo período de tiempo, hasta 30 años inclusive. El diámetro máximo osciló entre 2 y 19 cm. Nuestro caso no difirió de estas generalidades. Luego de la exéresis, no se conocen casos de recurrencias ni metastásis en seguimientos prolongados (1,2,3,5). El paciente, al momento de esta comunicación, lleva tres años libre de enfermedad.

Consideramos nuestro caso como un THE de presentación típica, tanto en el aspecto clínico (edad, sexo, localización y tiempo de evolución), como morfológico, macro y microscópico.
Resaltamos la rareza de esta entidad, y la necesidad de reconocer este espectro de lesiones, que abarcan desde hamartomas hasta carcinomas relacionados con estructuras tímicas, en los tejidos blandos del cuello y la glándula tiroides, ya que representan entidades clínico-patológicas bien definidas, de distinto potencial evolutivo y que obliga a diferenciarlos de otros tumores del área.
(microfotografía1)
(microfotografía2)
(microfotografía3)
(microfotografía4)

1- Armour, A. ; Williamson, J. N. S. : Ectopic Cervical Hamartomatous Thymoma showing extensive myoid differentiation. J. Laryngol. Otol. 107:155-158. 1993.
2- Chan, J.K. ; Rosai, J. : Tumors of the Neck showing thymic or related branchial pouch differentiation: A unifying concept. Hum. Pathol. 22:349-367. 1991.
3- Fetsch, J. F. ; Weiss, S.W. ; : Ectopic Hamartomatous Thymoma: Clinicopathologic Immunohistochemical and Histogenetic considerations in four new cases. Hum. Pathol. 21:662-668. 1990.
4- Henry, K. ; Symmers, W. St C. SYSTEMIC PATHOLOGY. Third Edition. Volume 7: Thymus, Lymph Nodes, Spleen and Lymphatics. Churchill Livingstone. Pag. 28-31. 1992.
5- Rosai, J. ; Limas, C. ; Husband, E. N. : Ectopic Hamartomatous Thymoma. A distinctive benign lesion of the lower neck. Am. J. Surg. Pathol. 8:501-513. 1984.
6- Saeed, I. T. ; Fletcher, C. D. : Ectopic Hamartomatous Thymoma containing myoid cells. Histopathology. 17:572-574. 1990.
7- Smith, P. S. ; Mac Clure, J. : An unusual subcutaneous mixed tumour exhibiting adipose, fibroblastic and epithelial components. J. Clin. Pathol. 35:1074-1077. 1982.
Material digitalizado y compaginado en laboratorios de
Roberto Alejandro Cabanillas Acerbi
C.E.O.
INEG_Group@cordoba.com.ar