Comunicación
      Nº 012

IICVHAPp.gif (9537 bytes)

gbritaip.gif (244 bytes)

IndiceIndice

Comentarios

[Título] [Introducción] [Material y Métodos] [Resultados] [Discusión] [Bibliografía]

Figuras

 

Secciones Tisulares Renales

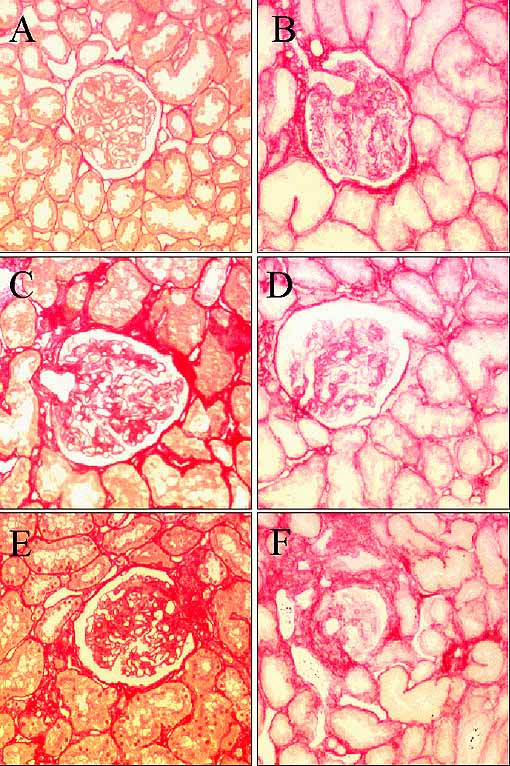
Figura 1. Secciones tisulares renales teñidas con rojo Sirio (A,C,E) y con inmunotinción para colágena IV mediante estreptavidina-biotina-fosfatasa alcalina (B,D,F). A y B: riñones control. C y D: secciones renales correspondientes a pacientes con DM sin microalbuminuria. E y F: secciones renales correspondientes a pacientes con DM con microalbuminuria.

Nótese la progresiva expansión intersticial y el incremento de la matriz mesangial e aumento de expresión de la colágena IV desde las secciones control (A y B) a las correspondientes a diabéticos microalbuminúricos (E y F).

 


Francisco O'Valle, MD.
Copyright © 1996, Departamento de Anatomía Patológica, Facultad de Medicina y Hospital Universitario, Universidad de Granada, 18012 Granada, España. Reservados todos los derechos.