Comunicación N°: 008 Indice de
Comunicaciones

Sistemas de difusión de información audiovisual en Internet:

Aplicaciones en Anatomía Patológica


Luis Alfaro Ferreres;   María José Roca Estellés
Formato Gráficos PNG

Ficheros sonoros


Formato Gráfico FIF

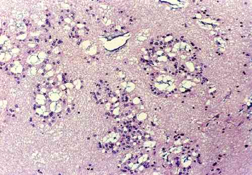
Los sístemas de compresión de imágenes con tecnología fractal (FIF: fractal image format) obtienen tamaños y calidad similares a los métodos más extendidos de tipo JPEG, con la ventaja de poder realizar funciones de zoom sobre las imágenes con muy escasa perdida de definición.

Plug-in Al pulsar sobre este icono accederás a una dirección desde la que puedes obtener el plug-in para ver las imágenes con compresión fractal. Una vez instalado, tu navegador reconocerá las fotos aquí recogidas.

Las imagenes FIF permiten variar el numero de colores, cambiar a escala de grises, ver a pantalla completa, realizar rotaciones e inversiones y ampliar puntos o áreas de la imagen. Todo ello sobre la propia imagen que presenta el navegador, sin necesidad de grabarla en nuestro disco duro y aplicarle un software de tratamiento de imágenes. Los siguientes ejemplos permiten ver las carácteristicas de este formato gráfico.





Indice