Comunicación |


Dres. Brandán Recalde Eduardo, Matsuzaki Mónica, Ivezic Elena, Cámara Nicolás, Rivas Daniel.
1º Cátedra de Patología. Hospital Nacional de Clínicas. Universidad Nacional de Córdoba. Córdoba. Argentina.

En los últimos años, a juzgar por las publicaciones y comunicaciones en Jornadas, Seminarios y Congresos (1,2), se ha tornado evidente la amplia difusión de la práctica de la Punción Aspiración con Aguja Fina (PAAF). Así por ejemplo en Estados Unidos, expresada en todas sus vertientes, tales como biopsias aspirativas, citología aspirativa y punción aspiración con aguja fina, con obtención de material citológico o de microfragmentos ha reverdecido en los últimos quince años (3,4,13,14,15,16,17,18). Su principal contribución, sin duda, ha sido el acceso al diagnóstico de enfermedades malignas y no neoplásicas, reduciendo los actos quirúrgicos a "cielo abierto" innecesarios para la obtención de biopsias quirúrgicas; o rechazando tratamientos quirúrgicos excesivos, pasibles de una conducta médica no quirúrgica. Los sitios anatómicos más comunmente involucrados en el ejercicio de esta práctica son la glándula mamaria, tiroides y los ganglios linfáticos. Un desarrollo persistente de la tecnología en el campo del diagnóstico por imágenes, ha permitido determinar la existencia de lesiones "silenciosas" pasibles de ser abordadas y hechas un muestreo a través de la PAAF dentro del tórax, abdomen y pelvis. (4,5,6,7,8) Generalmente, para la ejecución de la PAAF, se utilizan agujas con un diámetro externo de 1mm o menos, característicamente agujas 22, 23 o 25. Estas agujas permiten abordar nódulos, condensaciones o tumores con un trauma mínimo y, prácticamente, con escasos riesgos o complicaciones, según la región anatómica que se trate. (4,7) Apenas finalizada la Segunda Guerra Mundial, varios artículos aparecidos en la literatura médica, (9,10,11) establecieron que la incidencia de cáncer tiroideo, en nódulos extirpados quirúrgicamente, era del 20-30% aproximadamente. Estos artículos, también sugerían que los hallazgos, eran representativos de una población general con nódulos tiroideos. Los que se oponían a este punto de vista, citaban la baja incidencia de cáncer tiroideo como causa de muerte en material de autopsia; (3 ) estas opiniones generaron una amplia controversia acerca del verdadero riesgo de un nódulo tiroideo. Sin embargo, desde 1950, los países escandinavos, centraron su atención en la PAAF de los nódulos tiroideos y, a partir del material aspirado, proyectaban un probable diagnóstico anatomopatológico. (11) No obstante, principalmente en E.E.U.U., se subestimó estas comunicaciones, con argumentaciones varias que incluían entre otras, la escasa confiabilidad de la citología, relacionada con la disponibilidad de arquitectura en una buena biopsia quirúrgica, la falta de destreza en la manipulación instrumental para acceder a un material adecuado, y el "fantasma" omnipresente de la probable diseminación de un tumor maligno en el trayecto de la punción, cuando no, el empleo de diferentes tinciones, en el material publicado, con imágenes poco familiares para los patólogos norteamericanos ej. Giemsa (europeos) contra Papanicolaou (norteamericanos). (4) Por fin, a fines de la década del setenta, los canadienses difundieron su experiencia con el método, así como grupos de Cleveland y Boston evaluaron su experiencia con biopsias obtenidas por agujas gruesas. El primer artículo de un trabajo conjunto fue publicado en 1979 (12) desde entonces, han aparecido numerosas comunicaciones en la literatura del idioma inglés. Fruto de esa fuerza traslativa, en nuestro país, se fue desarrollando progresivamente el ejercicio de la PAAF en los nódulos de tiroides. El motivo de nuestra comunicación, es referir nuestra experiencia con la PAAF en glándula tiroides, en el Laboratorio de Patología Quirúrgica del Hospital Nacional de Clínicas, Córdoba, Argentina, en un período que abarca desde 1980 a 1997, efectuando una discriminación del número de prácticas realizadas con el paso del tiempo, así como una calificación de los informes confeccionados y una correlación entre los hallazgos citológicos con la PAAF y las piezas quirúrgicas, toda vez que esta fue posible llevarla a cabo.

El material de nuestra casuística, en todos los casos, correspondió a PAAF de nódulos tiroideos, realizadas por endocrinólogos. Se utilizaron jeringas plásticas de 10 y 20 cc, y agujas 21 g 1½. Los pacientes, se encontraron en posición de decúbito dorsal. No se empleó anestesia. Se utilizó un antiséptico local y manteniéndose la presión negativa del émbolo de la jeringa, se redireccionó el trayecto de la aguja para finalmente realizar los extendidos, los cuales se fijaron en alcohol 96º. En todos los casos se empleó hematoxilina-eosina, como técnica de coloración. Obtuvimos información de material de archivo de nuestro laboratorio (Laboratorio de Patología Quirúrgica de la Primera Cátedra de Patología, del Hospital Nacional de Clínicas, Universidad Nacional de Córdoba), en un período de 17 años (1980-1997).
Segmentamos la información para su interpretación de la siguiente manera: 1-1980-1985; 2-1986-1990; 3-1991-1997. Nuestro material incluyó un grupo perteneciente a piezas quirúrgicas y otro a PAAF. También realizamos una correlación cito-histológica, con el grupo de piezas quirúrgicas disponibles (42), de pacientes que se habían estudiado previamente con PAAF.
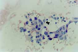
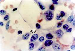
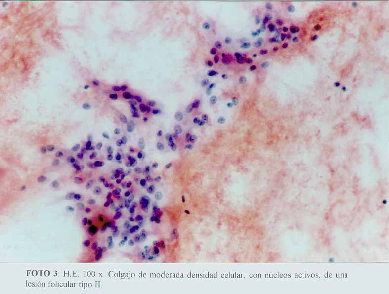
Utilizamos los siguientes criterios para proyectar una nomenclatura: los extendidos que sólo correspondían a material hemático, los definimos como: "no satisfactorios absolutos"; aquellos que carecían de un mínimo de 5 colgajos de células epiteliales foliculares, pero que contenían fibras estromales, grumos de calcificación distrófica, histiocitos espumosos y hemosiderófagos, células inflamatorias del tipo de linfocitos o plasmocitos y material coloide, los rotulamos como: "satisfactorios relativos", en el sentido que los elementos aspirados nos sugerían el contexto o "escenario" posible de la lesión, aunque por la escasez de colgajos epiteliales, el material recolectado resultaba insuficiente para generar una opinión confiable de los constituyentes epiteliales, con la finalidad de descartar o afirmar la presencia de un tumor maligno (estos rasgos morfológicos, por lo general, pertenecían a nódulos con transformaciones de quistificación, agrupándose entre ellos, desde lesiones macrofoliculares, hasta posibles carcinomas papilares) (microfotografía4) (microfotografía5) (microfotografía6); aquellos que poseían más de 5 colgajos de células epiteliales foliculares, los calificamos como: "satisfactorios absolutos", con la idea que un muestreo de estas características permitía tener una aproximación adecuada a la valoración de la proliferación epitelial y del contexto donde se desarrollaba. En la nomenclatura utilizamos, para calificar a las proliferaciones foliculares, tres tipos: a- Folicular I, b- Folicular II y c- Folicular III. Esta denominación la mensuramos, valorando los siguientes parámetros :- densidad celular, - poliestratificación de colgajos, - características nucleares (núcleos condensados, nucléolos evidentes, cromatina vesiculosa, etc.), - microfolículos, - coloide abundante y disperso, o escaso y compacto (microfotografía1) (microfotografía2) (microfotografía3).
Tanto en los extendidos satisfactorios relativos como absolutos empleamos en la nomenclatura, una probable proyección histopatológica con todos los datos y elementos que disponíamos en cada caso. Por ejemplo: si se realizaba una PAAF que obtenía abundante material coloide y presentaba escasas células foliculares de núcleos pequeños y condensados, lo interpretábamos de la siguiente manera: extendido satisfactorio relativo, perteneciente a una lesión folicular I, vinculable a un nódulo macrofolicular. En caso que además presentara hemosiderófagos, considerábamos su tendencia a la quistificación y la hemorragia. Si observábamos mayor densidad celular y microfolículos, con hemosiderófagos y células mononucleares, como por ejemplo linfocitos, lo interpretábamos como: extendido satisfactorio absoluto, perteneciente a una lesión folicular II, vinculable a un nódulo o nódulos macro-microfolicular/es, con tendencia a la quistificación, hemorragia e inflamación añadida. Cada vez que reconocimos elementos de una tiroiditis de (microfotografía7) (microfotografía8) (microfotografía9) Hashimoto o de un carcinoma no folicular (microfotografía10) (microfotografía11) (microfotografía12) (microfotografía13), directamente nos referimos a su diagnóstico probable.

(TABLA 8)
(TABLA 9)
(TABLA 10)

Como hemos expresado extensamente en la introducción, la PAAF ha tenido una amplia difusión en el estudio de la patología de la glándula tiroides, con mayor énfasis en las lesiones nodulares, principalmente como argumento en la conducción conservadora de una glándula noble para el organismo, evitándose prácticas quirúrgicas innecesarias. Una vasta literatura, avala las bondades del procedimiento. Algunos, incluso proponen el método como práctica inicial en un algoritmo de investigación en un bocio nodular (14). Según nuestra experiencia, se consiguen resultados aceptables para detectar aquellas lesiones pasibles de tratamiento conservador o de seguimiento sin intervenciones terapéuticas y, deslindar los casos de tumores malignos que necesitan un tratamiento quirúrgico. En las distintas comunicaciones, varía la opinión de quién debe ser el profesional que realiza la práctica de la obtención del material (4,14); no obstante todos coinciden, en que debe estar familiarizado con el procedimiento. Desde nuestra perspectiva, si bien en nuestro hospital lo realizan los endocrinólogos, pensamos que la participación del patólogo, in situ, controlando la calidad del material aspirado, evita en la mayor parte de los casos la remisión de extendidos inadecuados para la observación microscópica. En igual sentido, creemos que un patólogo entrenado en la ejecución de la PAAF, resulta más convincente que un clínico a la hora del rendimiento de una buena extracción de material adecuado. Las nomenclaturas empleadas, varían de sitio en sitio (1,14), pero pensamos que aquella que se logra consensuar dentro un equipo médico, logra buenos resultados. Estamos a favor de las que proyectan una idea abarcadora con los probables patrones morfológicos histopatológicos de la lesión analizada y estimamos insuficientes las que sólo se refieren a la positividad o negatividad para células neoplásicas. De esto, naturalmente, se infiere que el observador debe acreditar un conocimiento suficiente de la histopatología tiroidea. La calificación de las lesiones foliculares en I, II y III nos ha permitido deslindar en un extremo, lesiones nodulares, por lo general, anodinas; mientras que por el otro nos permite calificar lesiones de alta densidad celular, que con tratamiento médico difícilmente se resuelvan y que, en cambio, necesitan un tratamiento quirúrgico que permite además su estudio histopatológico para detectar el carcinoma folicular; incluso alguna variante de poca agresividad y, que con la PAAF resulta casi imposible de definir. Igual consideración merece el diagnóstico de los denominados adenomas, que resulta imposible de distinguirlo de los bocios nodulares. Las lesiones quísticas, no sólo deben ser evacuadas (la PAAF, en estas circunstancias, forma parte del tratamiento), sino que deben considerarse como probables enmascaradoras" de una de las presentaciones del carcinoma papilar, por lo que resulta necesario, una vez que se extrae el contenido, obtener nuevos extendidos, mediante la repunción del área explorada (14), ya que el material aspirado en la primera maniobra (contenido coloido-hemático) puede expresar solamente células inflamatorias o reactivas, sin la compañía de las diagnósticas del tumor. Por último, la correlación con 42 piezas quirúrgicas que pudimos obtener de nuestro archivo, demostró un resultado aceptable en nuestra experiencia, encontrándonos con una mejor disponibilidad para reconocer cuadro de tiroiditis y colaborar en la decisión de enviar a cirugía a un grupo de pacientes con lesiones neoplásicas o aquellas, que por su presentación no eran pasibles de tratamiento conservador.

(microfotografía4)
(microfotografía5)
(microfotografía6)
(microfotografía1)
(microfotografía2)
(microfotografía3)
(microfotografía7)
(microfotografía8)
(microfotografía9)
(microfotografía10)
(microfotografía11)
(microfotografía12)

El Hospital Nacional de Clínicas, es el Hospital Escuela de la Facultad de Ciencias Médicas de Córdoba. Fue inaugurado el 24 de mayo de 1913, bajo la dirección del Prof. Dr. Pedro Vella, catedrático titular de Clínica Quirúrgica. La figura señera del Hospital, padre de ilustres médicos que continúan enriqueciendo al país con su saber, fue reconocida por el Poder Ejecutivo Nacional, quién por Decreto Nro 1472/96, lo declaró Monumento Histórico, para continuar con el liderazgo de su accionar entrelazando históricamente el presente con el pasado.

Material digitalizado y compaginado en laboratorios de
Roberto Alejandro Cabanillas Acerbi
C.E.O.
INEG_Group@cordoba.com.ar