Comunicación |

Dres. Gladys Martellotto., Elena Ivezic., Nicolás Cámara., Daniel Rivas.
Iº Cátedra de Patología . Hospital Nacional de Clínicas. Universidad Nacional de Córdoba.
Santa Rosa 1450. Córdoba. Argentina.

Los melanomas vaginales son de muy baja frecuencia representando el 0,3 % de todos los melanomas. Hasta 1992 se habían publicado 115 casos 1 . Considerando los de vulva y vagina, son menos del 2 % de neoplasias en estos órganos. Es más común en mujeres de edad avanzada y la mayoría se localiza en el tercio medio o inferior de la vagina.1-2 Se presentan en general como masas poliposas de colorido azul-negruzco frecuentemente ulceradas.
Los melanocitos, identificados en el 3 % de vaginas normales, probablemente representan la célula de origen de esta neoplasia, en ocasiones, precedido por un estadio previo de melanosis o hiperplasia melanocítica atípica.3-4.
La agresividad de estos tumores aconseja cirugía con amplios márgenes sanos.2 .

CLÍNICA
:Paciente de 77 años que consulta en otro nosocomio refiriendo sensación de cuerpo extraño en vagina de aproximadamente 6 meses de evolución. Se le efectuó excisión de la formación poliposa ulcerada con escaso margen de tejido sano. La lesión tenía amplia base de implantación y medía 3,5 x 3 x 1,8 cm. El diagnóstico fue de melanoma nodular del tercio inferior de vagina.
Posteriormente, es derivada a este hospital donde se confirma el diagnóstico por revisión de los tacos y se decide operarla por recidiva de la neoplasia y por la presencia de áreas pigmentadas en vulva e introito vaginal, realizándose extirpación de vagina y porción de vulva adyacente (introito).
MACROSCOPIA:
Pieza quirúrgica de vagina e introito vaginal de 7 cms. de largo, 6 cms. de circunferencia y 0,8 cms. de espesor. En la porción superior izquierda se observó un área de ulceración de 1 cm. correspondiente al sector de la cirugía previa y a 0,5 cm. de ésta, una formación nodular de superficie lisa de 0,3 cm.
Se observaron además 2 lesiones planas pigmentadas, la mayor de 2,5 cm. ubicada en la región inferior derecha y la menor de 1,5 cm. en la región inferior izquierda. Se extirparon, también algunos ganglios inguinales superficiales y profundos, cuatro en total. (esquema).
MICROSCOPIA
:El estudio de la pieza mostró:
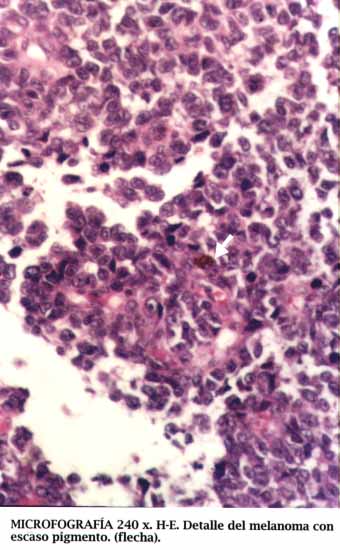
a) la lesión nodular como recidiva del melanoma invasor de tipo epitelioide en áreas próximas a la extirpación previa (microfotografía1);
b) melanoma in situ en áreas adyacentes y alejadas del invasor; éste último en introito vaginal en correspondencia con la lesión plana pigmentada menor que comprometía el límite quirúrgico inferior. (microfotografía2);
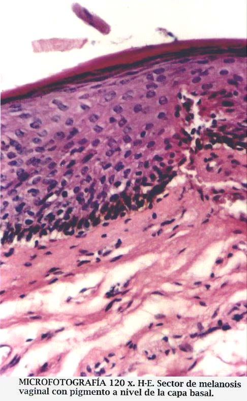
c) sectores de melanosis vaginal en relación con la lesión plana pigmentada mayor
de introito vaginal (microfotografía3);
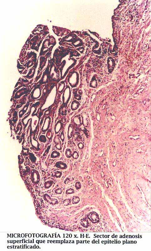
d) focos de adenosis vaginal representados por glándulas de tipo endometrial cercanos al límite quirúrgico proximal (tercio medio vaginal). (microfotografía4);
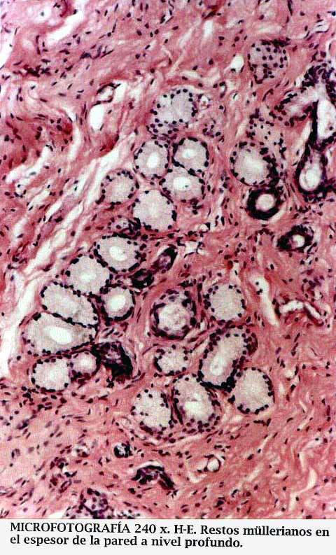
e) restos mesonéfricos y restos müllerianos en el espesor de la pared del tercio medio de vagina. (microfotografía5);
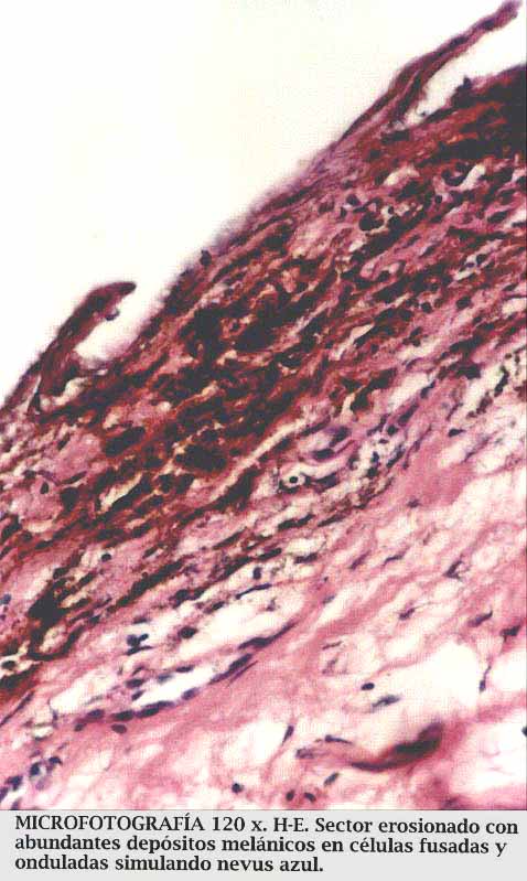
f) además, identificamos algunos acúmulos densos de melanina asociados a células fusadas y onduladas semejantes a las observadas en los nevos azules de piel;
g) el área de ulceración estaba constituida por tejido de granulación ( cirugía previa );
h) los ganglios, en su totalidad, fueron negativos.
Diagnóstico:

La presencia de melanomas primarios de vagina fue señalada principalmente en la década del 60, en forma de publicaciones ocasionales 4 . Algunos autores negaron tal posibilidad 5 argumentando que invariablemente eran metástasis. Otros, en cambio, determinaron la necesidad del estudio postmortem para poder concluir que el melanoma era primario de vagina y no metastásico 5 .
La mayoría de los melanomas en esta localización se ubican en el tercio medio o inferior del órgano 1-5-6-7-8-9-10-11 lo cual plantea la posibilidad de diseminación de un melanoma vulvar. Predominan las variantes epitelioides con variable cantidad de pigmento. 2-5 .
El caso que presentamos lo consideramos como melanoma primario de vagina ya que:
a) se presentó en tercio inferior, que es una localización frecuente en la literatura, 1-5-6-8 ;
b) fue inicialmente poliposo, también un hallazgo coincidente de todos los autores1-3-5. Probablemente esta tendencia de crecimiento vegetante se deba a que la delgadez de la pared, rodeada por tejidos firmes, determina su protrusión en la superficie;
c) la presencia de melanoma in situ, próximo y alejado al invasor confirma su origen primario vaginal. (microfotografía2). En ausencia de este hallazgo, la existencia de actividad de unión es de utilidad para establecer el origen; no obstante este es un hallazgo infrecuente debido a que las neoplasias suelen presentarse con ulceración.1-5;
d) también el hallazgo de melanosis vaginal aporta fundamentos para su inicio en la mucosa de vagina.12 . La observación de los denominados melanoblastos en esta localización fue señalada por primera vez por Nigogosyan 4 , quien estudiando vaginas cadavéricas los observó en el 3 % de las pacientes, asimilándolos a los de otras localizaciones como cervix, próstata o esófago y justificando de esta forma la existencia de melanomas primarios en estos órganos. Para algunos autores la presencia de estas células en las mucosas es por migración desde la cresta neural, para otros simplemente representan células diferenciadas localmente 4 .
Es interesante señalar que la melanosis vaginal en cervix es comúnmente observada en los prolapsos, donde además también se encuentran signos de epidermización del epitelio plano estratificado, como respuesta a las condiciones del cuello prolapsado; mientras más exteriorizado y durante más tiempo, mayores cambios.12 .
Debemos señalar que en nuestro caso hemos observado la presencia de estrato granuloso o hiperqueratosis en algunos sectores del epitelio vaginal del tercio inferior. Tratándose de una paciente multigesta es posible que la última porción de vagina estuviese más expuesta que lo habitual al exterior y por tal motivo ( en una paciente susceptible ) se produjeran los cambios de hiperqueratosis, estrato granuloso, melanosis vaginal y posteriormente el desarrollo de melanoma in situ e invasor.
Otro hallazgo interesante en este caso fue la presencia de abundante pigmento melánico en relación a células fusadas, ligeramente onduladas, como las observadas en nevus azules (microfotografía6), que han sido reportadas por otros autores 1 . No obstante el epitelio suprayacente estaba ulcerado, por lo que no podemos descartar que se tratara de otro tipo de lesión pigmentada con abundante dispersión del pigmento hacia la estroma.
Para Hasumi 5 los criterios que definen el origen primario vaginal son:
1) localización por encima del himen ( para descartar el origen vulvar ) y no tener contacto con cuello ( para descartar el origen cervical );
2) excluir la posibilidad de melanoma en otras localizaciones, que pudieran metastatizar en vagina.
La paciente que estudiamos no tenía lesiones en el resto del organismo.
La edad de presentación promedio de la literatura es de 55 a 60 años con un amplio rango desde 23 a 78 años 5; la mayoría de las pacientes de la literatura fueron multíparas, como el presente caso.
El pronóstico de los melanomas vaginales parece tener mayor relación con la profundidad de la invasión que con otros factores como localización, invasión vascular, ulceración, índice mitótico o aneuploidia 2-7-8 . La agresividad de estos tumores aconseja cirugías con amplios márgenes sanos, los cuales deberían ser de 1 cm para melanomas menores a 1 mm de espesor, 2 cms. para tumores de 1 a 4 mm. de espesor. 2
En general los melanomas vaginales son de peor pronóstico que los cutáneos 1-7-8-13 por lo que algunos proponen excenteración pelviana como tratamiento para aquellos de más de 3 mm. de espesor 8 , pero la sobrevida no se modifica entre cirugía radical o local con radio o quimioterapia 1-9-14 o estimulación inmunológica 10 .
Debido a este pronóstico, algunos autores como Trimble 2 aconsejan el seguimiento clínico y con biopsias de lesiones pigmentadas, tanto en vulva como vagina.
Otros hallazgos en la pieza fueron focos de adenosis en forma de pequeñas glándulas tipo endometriales superficiales. Estas lesiones suelen observarse como focos rojizos sangrantes 1 . Además, identificamos restos müllerianos constituidos por formaciones glandulares mucinosas ligeramente hiperplásicas, de localización profunda en la pared en el sector medio y superior de la pieza. Entremezclados con estos evidenciamos restos mesonéfricos los cuales carecen de epitelio mucinoso. Desconocemos si la paciente recibió algún tratamiento hormonal.

La incidencia de melanomas vaginales es baja, considerando los de vulva y vagina, representan menos del 2 % de las neoplasias en estos órganos. Los melanocitos han sido identificados en el 3 % de las vaginas normales probablemente representando la célula de origen de estos tumores, a veces precedidos por un cuadro de melanosis vaginal o hiperplasia melanocítica atípica.
Afectan comúnmente a mujeres de edad avanzada y su localización más frecuente es en el tercio inferior de la vagina. Se presentan como masas poliposas, ulceradas, de colorido azul-negruzco.
La agresividad de estos tumores aconseja cirugías con amplios márgenes sanos, los cuales deberían ser de 1 cm para melanomas menores a 1 mm de espesor, 2 cms. para tumores de 1 a 4 mm. de espesor.
El presente trabajo tiene por objetivo comunicar un caso de melanoma de tercio inferior de vagina que se presenta como una formación polipoide de 3,5 x 3 x 1,8 cms., la cual se extirpa inicialmente con límites quirúrgicos comprometidos. Posteriormente la paciente es derivada a nuestro hospital para su estudio y estadificación. En el examen clínico se observan lesiones pigmentadas en tercio inferior de vagina y en vulva, de hasta 1,5 cms. Se decide someter a la paciente a cirugía con extirpación de 7 cms. de vagina e introito vaginal.
El estudio de la pieza mostró que las lesiones pigmentadas correspondieron a:
a) recidiva de melanoma invasor en áreas próximas a la extirpación previa de 0,3 cm ;
b) áreas de melanoma in situ en sectores adyacentes a la anterior y alejados del mismo; ( la mayor en introito vaginal de 1,5 x 1 cm);
c) sectores de melanosis vaginal.
Además observamos:
1) focos de adenosis vaginal próximos al límite quirúrgico proximal ( tercio medio vaginal ) y
2) restos mesonéfricos y restos müllerianos en el espesor de la pared del tercio medio de vagina.
El pronóstico de los melanomas de vagina parece tener mayor relación con la profundidad de la invasión que con otros factores como la edad al momento del diagnóstico, localización, compromiso vascular, ulceración, índice mitótico o aneuploidía, es por ello que la cirugía de estas lesiones debe ser inicialmente lo más amplia posible, con márgenes libres para evitar recidivas locales.
(microfotografía 1)
(microfotografía 2)
(microfotografía 3)
(microfotografía 4)
(microfotografía 5)
(microfotografía 6)

1- Kurman R.J., Norris H.J. and Wilkinsn E. Atlas of tumor pathology. Tumors os the cervix, vagina and vulva. AFIP. Washington D.C. 1992. P.P: 166-168.
2- Trimble E.I. Melanomas of the vulva vagina, Oncology (Huntingt) 1996 Jul; 10 (7): 1017-1023.
3- Rosai J. Ackermans surgical pathology. Eighth edition. Mosby-Year Book. York. 1996. Vol. II Cap.19 Female reproductive system. P.P: 1347-1348-1331.
4- Nigogosyan G., De la Pava S. and Pickren J.W. Melanoblasts in vaginal mucosa. Origin for primary malignant melanoma. Cáncer 7: 912-913.1964.
5- Hasumi F., Sakamoto G., Sugano H., Kasuga T. and Masubuchi K. Primary malignant melanoma of the vagina. Study of four autopsy cases with ultraestructural findings. Cáncer 42: 2675-2686.1978.
6- Norris H.J., Taylor H.B. Melanomas of the vagina. Am J Clin Pathol 46: 420-426.1966.
7- Liu L, Li X, Hong W. Primary malignant melanoma of the vagina: a report of 22 cases. Chung Hua Chung Liu Tsa Chih 1996 Sep;18 (5): 385-387. (abstract)
8- Kurman Robert J. Blausteinss pathology of the female genital tract. Third edition. 146-251
9- Rogers R.SD. 3rd, Gibson L.E. Mucosal genital and unusualclinical variants of melanoma. Mayo Clin Proc 1997 Apr; 72 (4): 362-366.
10- Geisler J.P., Look K.Y., Moore D.A., Sutton G.P. pelvic exenteration for malignant melanomas of the vagina or urethra with over 3mm of invasion, Gynecol Oncol 1995. Dec; 59 (3): 338-341.
11- Gonzalez-Bosquet J, García Jimenez A, Gil Moreno A, Xercavins J. Malignant vulvo-vaginal melanoma: a report of 7 cases. Eur J Gynaecol Oncol 1997;18(1): 63-67 (abstract)
12- Chizzolini M, Cataldi A. Malignant vulvo-vaginal melanoma. Review of the literature and a clinical case.Minerva Ginecol 1995 Jun;47 (6): 281-286 (abstract)
13- Ali M.M., Huang D.T., Goplerud D.R., Howells R., Lu J.D. Radiation alone for carcinoma of the vagina: variation in response related to the location of the primary tumor. Cáncer 1996 May 1; 77 (9): 1934-1939
14-.Zarcone R., Bellini P., Carfora E., Cardone A. A case os malignant melanoma of the vagina during pregnancy: inmunological problems. Eur J Gynecol Oncol 1997; 18 (2): 136-138.
El Hospital Nacional de Clínicas, es el Hospital Escuela de la Facultad de Ciencias Médicas de Córdoba. Fue inaugurado el 24 de mayo de 1913, bajo la dirección del Prof. Dr. Pedro Vella, catedrático titular de Clínica Quirúrgica. La figura señera del Hospital, padre de ilustres médicos que continúan enriqueciendo al país con su saber, fue reconocida por el Poder Ejecutivo Nacional, quién por Decreto Nro 1472/96, lo declaró Monumento Histórico, para continuar con el liderazgo de su accionar entrelazando históricamente el presente con el pasado.

Material digitalizado y compaginado en laboratorios de
Roberto Alejandro Cabanillas Acerbi
C.E.O.
INEG_Group@cordoba.com.ar