Congreso Virtual sobre Anatomía Patológica


Direccion de contacto
fiogf49gjkf0d
blancatsap@yahoo.es aramospastor@hotmail.com gimavarona@yahoo.es

Fijación y decalcificación biopsias médula ósea

Blanca Palomeque Castro*, Alfredo Ramos Pastor*, Gima Varona Esquivel**
* Hospital Universitario Príncipe de Asturias (HUPA) Alcalá de Henares. Madrid ESPAÑA
** Hospital Universitario Guadalajara ESPAÑA

Resumen

fiogf49gjkf0d
Son varios los motivos que nos han llevado a proponer este foro de discusión sobre distintos métodos de fijación y decalcificación de biopsias de médula ósea(BMO):
 - Un buen procesamiento de estas muestras es fundamental para el diagnóstico de las patologías del sistema hematopoyético ( en especial neoplasias).
 - Cada vez es mayor el número de BMO que llegan a los Servicios de Anatomía Patológica, por lo que es conveniente encontrar un método que, además de eficaz, pueda integrarse lo más posible en la rutina del laboratorio.
 - Es un material escaso sobre el que no es factible realizar "experimentos" sin unas mínimas garantías de obtener resultados de calidad.
 - El hecho de tener que aplicar sobre estas biopsias un procedimiento agresivo como es la decalcificación, nos obliga a ser rigurosos durante todo el procesamiento y a realizar las mínimas manipulaciones necesarias. Por otra parte, la necesidad cada vez mayor de utilizar técnicas inmunohistoquímicas, restringe las posibilidades, por tener que preservar los antígenos.
- La fijación y decalcificación de BMO es uno de los procedimientos con mayores variaciones entre los distintos laboratorios, desde kits comerciales basados en fijación en B5 y decalcificación en EDTA, hasta fijación formólica y decalcificación con ácidos orgánicos en "recetas personalizadas".
 
 Por tanto, pensamos que puede ser muy útil para todos la puesta en común de los procedimientos usados en nuestros laboratorios, comentando si se ha cambiado de método, el porqué de dicho cambio en su caso, y las ventajas e inconvenientes que apreciamos en los métodos utilizados.
 
 Para comenzar, exponemos la sistemática utilizada en nuestro laboratorio: Habitualmente se reciben dos muestras de cada paciente:
 
- Un coágulo procedente de aspirado de médula ósea, que se recibe en formol tamponado; a la recepción se cambia este fijador por B5 comercial, dejándolo fijar 4 horas, posteriormente se pasa a etanol 70 en el que se conserva hasta el momento de su procesado.
- La otra muestra es un cilindro óseo extraído de cresta iliaca de entre 2-4 cm de longitud y 0,1-0,2 cm de diámetro. Se recibe también en formol tamponado y se deja fijar hasta el día siguiente a primera hora en que se sustituye el fijador por una solución decalcificadora (Formol salino-Acético) compuesta por:
 
            -Agua destilada................ hasta 1l. 
-Cloruro sódico................ 8.5 gr
-Acido acético.................100 ml
-Formol puro...................100 ml
 
Al final de la jornada se comprueba el estado de decalcificación de la pieza, pasando a procesarla si es posible. En caso de seguir calcificada, se coloca de nuevo en formol y al día siguiente se comienza de nuevo el procedimiento. (También puede dejarse en decalcificador toda la noche, pero a veces el tiempo ha resultado excesivo y se han alterado notablemente las células) Aunque en general se obtienen buenos resultados, tanto en tinciones de rutina como en inmunohistoquímica, los continuos cambios de soluciones y el tener varios cilindros en distintas fases del proceso (pues todos los días llegan muestras), hacen engorroso el procedimiento.
 
 Otro procedimiento usado ha sido fijar y decalcificar simultáneamente en líquido de Bouin
 
-Acido pícrico a saturación en agua destilada..........750 ml
-Formol puro............................ 250 ml
-Acido acético glacial................. 50 ml
 
 
Una vez decalcificada la muestra debe lavarse en etanol 70 hasta que desaparezca el color amarillo. Las muestras pueden mantenerse decalcificando en líquido de Bouin 2 ó 3 días con buenos resultados en técnicas de rutina, no hemos realizado técnicas inmunohistoquímicas.
 
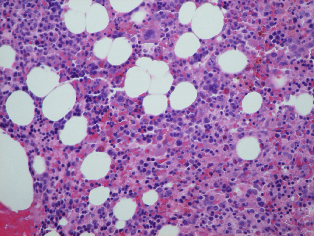
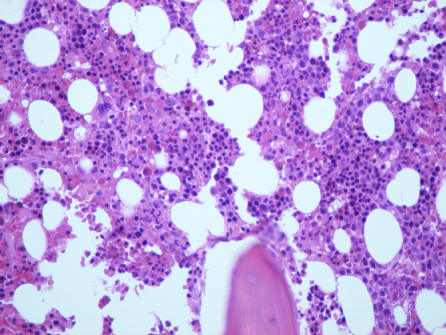
Presentamos cuatro fotografías de una biopsia seccionada por la mitad en cada uno de los cuales se utilizó uno de los métodos expuestos de fijación y decalcificación. Como se puede observar en la muestra fijada en Bouin (fotos 3,4) hay mayor cantidad de material y su calidad también es superior. Pensamos que puede ser debido a una mejor decalcificación y por tanto mayor integridad de la pieza al corte en el microtomo. Esperamos vuestros comentarios, especialmente si teneis experiencia en la aplicación de técnicas inmunohistoquímicas con BMO fijadas y decalcificadas en Bouin.

 

Médula HE - <div style=fiogf49gjkf0dFotografía 1: Corte de médula osea fijada en formol-acético. Tinción hematoxilina-eosina.">
Médula HE -

fiogf49gjkf0d
Fotografía 1: Corte de médula osea fijada en formol-acético. Tinción hematoxilina-eosina.


Médula Giemsa - <div style=fiogf49gjkf0dFotografía 2: Corte de médula osea fijada en formol-acético. Tinción de giemsa.">
Médula Giemsa -

fiogf49gjkf0d
Fotografía 2: Corte de médula osea fijada en formol-acético. Tinción de giemsa.


Médula HE Bouin - <div style=fiogf49gjkf0dFotografía 3: Corte de médula osea fijada en liquido de Bouin. Tinción de hematoxilina-eosina.">
Médula HE Bouin -

fiogf49gjkf0d
Fotografía 3: Corte de médula osea fijada en liquido de Bouin. Tinción de hematoxilina-eosina.


Médula Giemsa Bouin - <div style=fiogf49gjkf0dFotografía 4: Corte de médula osea fijada en liquido de Bouin. Tinción de giemsa.">
Médula Giemsa Bouin -

fiogf49gjkf0d
Fotografía 4: Corte de médula osea fijada en liquido de Bouin. Tinción de giemsa.




Comentarios

- Maria Haydee Aunchayna Mary (02/10/2005 15:05:36)

Todas las BMO las recibimos en Bouin, y controlamos manualmente la descalcificación,la cual es promedialmente de 2 dias, los resultados son buenos, cuando en el momento del corte tenemos dificultades,las humedecemos con un algodón con ácido nítrico al 10% y mejoramos el corte.
En cuanto a las técnicas de histoquimicas e inmunohistoquimicas obtenemos buenos resultados.EDTA nunca hemos usado( razones de costo) Dra.M.H. Aunchayna Uruguay

- BLANCA PALOMEQUE CASTRO (02/10/2005 16:58:51)

Agradecemos muchísimo su aportación, que en cuanto a histoquímica, coincide con nuestra experiencia.
Por otra parte, también pensamos que es importante valorar la relación calidad/precio a la hora de elegir uno u otro método.
TSAPC: Blanca Palomeque, Alfredo Ramos, Gima Esquivel

- Andréa Rodrigues Cordovil Pires (03/10/2005 0:42:08)

We use buffered formalin 10% to fix (at least for 12 hours) for more than 10 years, and commercial EDTA solution to descalcify (2 hours) for one year. The results are very good for HE, Giemsa and immunohistochemistry - cellular detail and antigenicity are very well preserved. We previously used RDO, a commercial decalcifier, (2 hours) with good results too, but it is difficult to buy in Brasil.

- Gima Varona Esquivel (05/10/2005 14:18:06)

Antes de nada, agradecer los comentarios aportados.Todos estamos de acuerdo en que los metodos utilizados en cuanto a la descalcificación es mas o menos universal para todos los laboratorios, casi todos usamos Bouin, EDTA, formol y algun "truquillo" mas para terminar de descalcificar bien la medula y poder obtener buen corte, pero realmente, ¿es bueno someter a tanta manipulación a la medula?? histologicamente y celularmente no quedan un poco deterioradas??.
TSAPC:Blanca Palomeque, Alfredo Ramos, Gima Varona

- Irina hernandez Melendi (11/10/2005 19:55:11)

Su trabajo esta muy interesante y nos gusto mucho, coincidimos con usted en que la medula osea mientras menos se manipule es mejor. Nosotros recibimos las muestras fijadas en formol al 10 % y las decalcificamos con acido nitrico al 7 % durante 1 hora, luego se lavan bien. Hace varios años que trabajamos con este metodo y tenemos buenos resultados

- Alfredo Ramos Pastor (11/10/2005 20:32:03)

Gracias por el comentario Irina. Nosotros antes trabajabamos de una manera similar, confiabamos la decalcificacion tanto al EDTA como al ácido acético, lo que nos daba unos resultados irregulares ya que tienes que estar muy pendiente de los tiempos de declcificación pero sobre todo histologicamente ya que alteraba la morfología de la médula. Entonces intentamos buscar una solución al problema de los tiempos que fué el liquido de Bouin por ser muy elastico en ese aspecto y con respecto a la agresividad el acido pícrico no es tanto como lo puedan otros.

- ELSIE BEATRIZ PICOTT RANGEL (13/10/2005 22:17:54)

Si bien nosotros trabajamos como Irina, el enfoque y resultados por uds obtenidos es muy interesante

- Cesáreo Corbacho Cuevas (18/10/2005 11:48:29)

Un trabajo muy interesante. Muchas gracias y un saludo muy cordial a los autores.

- Agustín Acevedo Barberá (28/10/2005 18:18:28)

Pido disculpas por mi falta de atención ya que ignoraba que existía este foro. En mi conferencia sobre "Semiología de la médula ósea" y sus comentarios se habla un poco acerca de esto. En nuestro laboratorio utilizamos la fijación en Bouin acético durante 2-3 horas tras lo que continuamos la descalcificación en un preparado comercial a base de ácido clorhídrico diluido y EDTA (Decalcifier II de Surgipath) y, aunque tambíén usamos ácido fórmico, este sistema es más rápido y da muy buenos resultados, por lo que nuestros técnicos lo prefieren al ácido fórmico. La decalcificación con EDTA tras fijar en formol tamponado es también un buen método y permite además realizar estudios moleculares. En mi opinión hay muchos métodos posibles y cada laboratorio debe buscar el mejor para él pero hay que tener en cuenta que la fijación y descalcificación deben ser rápidas y permitir el procesamiento de la biopsia en el día, cosa que es perfectamente posible, y que debe preservarse el tejido lo mejor posible para lo que, en mi opinión, hay que evitar el ácido nítrico como agente decalcificante que altera en exceso los tejidos y no conserva tampoco la morfología al nivel de calidad requerido para este tipo de patología.

- BLANCA PALOMEQUE CASTRO (09/11/2005 18:01:40)

Gracias Dr. Acevedo, creemos que su intervención es un buen resumen a este foro de discusión sobre los distintos métodos de fijación y decalcificación de biopsias de médula ósea.

Ya que hemos llegado al final de este VII CVHAP, no quisieramos dejar pasar la oportunidad de poner el enlace a un trabajo muy interesante sobre este tema que se presentó en el VI CVHAP en el foro técnico. Hemos intentado ponernos en contacto con los autores pero no ha sido posible, por lo que vamos a tomarnos la libertad de remitirles a ese trabajo:

http://conganat.sld.cu/autores/trabajos/T269/index.html
Su título es : La biopsia de médula ósea. Un método útil de decalcificación. Y su autora principal la Lic. Mireya de Jesús Figueroa.

Queremos dar las gracias a todos los que han participado con sus comentarios y su experiencia. Ha sido enriquecedor.

Tambien queremos agradecer la oportunidad que se nos brinda desde este Congreso a los Técnicos de Anatomía Patológica y Citología , en especial al Dr. D. Marcial García Rojo, por su ayuda en todo momento.

Esperamos volver a encontrarnos en el VIII CVHAP.

Blanca Palomeque Castro. Alfredo Ramos Pastor. Gima Varona Esquivel.

 

 

Web mantenido y actualizado por el Servicio de informática uclm. Modificado: 16/06/2015 15:10:50