Congreso Virtual sobre Anatomía Patológica


Direccion de contacto
fiogf49gjkf0d

TUMOR LUMBOSACRO DE RÁPIDA EVOLUCIÓN

IVÁN MUÑOZ REPETO*, Mª CRUZ MARCHENA PARRA*, MANUEL VICENTE SALINAS MARTÍN*, ANDRÉS CARRANZA CARRANZA*, MARIA LUISA SÁNCHEZ BERNAL*, MARIA CAROLINA OLANO ACOSTA*, DAVID MARCILLA PLAZA*, Mª ANGELES LOPEZ GARCIA*, ROCIO CABRERA PÉREZ*
* SERVICIO DE ANATOMÍA PATOLÓGICA DE LOS HOSPITALES UNIVERSITARIOS VIRGEN DEL ROCÍO ESPAÑA

Resumen

fiogf49gjkf0d

INTRODUCCIÓN

El estudio de las lumbalgias en los niños es un problema frecuente en la práctica clínica pediátrica diaria, no exenta de dificultades diagnósticas, dado el amplio rango de patologías que pueden producirla que varía desde lesiones banales (traumatismos) hasta problemas complejos y en ocasiones graves (causas tumorales).

 

PRESENTACIÓN DEL CASO

Varón de 10 años con antecedente de lumbalgia izquierda de 9 meses de evolución en estudio, que ingresa por neumonía de lóbulo inferior izquierdo en el curso de una varicela, que se hace evidente dermatológicamente durante su estancia en el hospital (fase exantemática).

Durante el ingreso, la madre aporta los resultados de una RMN prescrita por su traumatólogo de zona, que se informa como "Rabdomiosarcoma lumbosacro".

Posteriormente se realiza biopsia intraoperatoria, cuyo resultado es de "tumor de células pequeñas y azules". Se solicita Eco-Doppler urgente ante la sospecha de trombosis venosa profunda en pierna izquierda, secundaria a tumor, así como TAC toracoabdominal para estudio de extensión, no llegando a realizarse por exitus inesperado.

Se solicita estudio necrópsico para determinar la naturaleza de la neoplasia y causa inmediata del fallecimiento. Respecto a la neoplasia, dicho estudio pone en evidencia una tumoración lumbosacra que se localiza a nivel de L4-L5 y porción superior de sacro e infiltra cuerpos vertebrales, raíces nerviosas izquierdas y partes blandas paravertebrales, llegando a las inmediaciones de los vasos ilíacos izquierdos y, con siembras metastásicas en pulmón derecho y lóbulo superior de pulmón izquierdo. En cuanto a la causa inmediata del exitus se observa una ocupación total de la rama pulmonar izquierda por un material trombótico, justificando ésta un tromboembolismo pulmonar izquierdo.

 

DISCUSIÓN DEL CASO

Tras el estudio necrópsico se llega al diagnóstico de Sarcoma de Ewing lumbosacro con tromboembolismo pulmonar izquierdo masivo de naturaleza neoplásica que justifica el exitus.

El Sarcoma de Ewing es un tumor óseo maligno que afecta a niños en cualquier momento de la niñez, aunque generalmente se desarrolla en la pubertad. Puede originarse en cualquier parte del cuerpo, generalmente en los huesos largos de las extremidades, la pelvis o el tórax, siendo menos frecuente en el cráneo o en huesos planos del tronco. Metastatiza fácilmente, por lo general, a pulmones y otros huesos, estando la metástasis presente al momento del diagnóstico en aproximadamente un tercio de los casos.

Presentamos este caso fundamentalmente por la localización del tumor que, aun siendo probable, no es lo más frecuente y dificulta su diagnóstico, y por la rápida evolución con desenlace inesperado del mismo.


 

Introduccion    

fiogf49gjkf0d
El estudio de las lumbalgias en los niños es un problema frecuente en la práctica clínica pediátrica diaria, no exenta de dificultades diagnósticas, dado el amplio rango de patologías que pueden producirla que varía desde lesiones banales (traumatismos) hasta problemas complejos y en ocasiones graves (causas tumorales).

 

Material y Métodos    

fiogf49gjkf0d

PRESENTACIÓN DEL CASO

Varón de 10 años con antecedente de lumbalgia izquierda de 9 meses de evolución en estudio, que ingresa por neumonía de lóbulo inferior izquierdo en el curso de una varicela, que se hace evidente dermatológicamente durante su estancia en el hospital (fase exantemática).

 

Durante el ingreso, la madre aporta los resultados de una RMN prescrita por su traumatólogo de zona, que se informa como "Rabdomiosarcoma lumbosacro".

 

Posteriormente se realiza biopsia intraoperatoria, cuyo resultado es de "tumor de células pequeñas y azules". Se solicita Eco-Doppler urgente ante la sospecha de trombosis venosa profunda en pierna izquierda, secundaria a tumor, así como TAC toracoabdominal para estudio de extensión, no llegando a realizarse por exitus inesperado.

 

 

Se solicita estudio necrópsico para determinar la naturaleza de la neoplasia y causa inmediata del fallecimiento

 

HALLAZGOS MACROSCÓPICOS

Referente a la neoplasia, la autopsia pone de manifiesto la existencia de una tumoración lumbosacra  blanquecina de superficie irregular, friable y de consistencia blanda, que se extiende desde vértebra lumbar L4 hasta hueso sacro. Infiltra ambos cuerpos vertebrales, raíces nerviosas izquierdas, canal raquídeo y porción superior de sacro (Figuras 1 y 2). La tumoración se extiende paravertebralmente hacia tejidos blandos formando un nódulo de unos 5 cm. de diámetro que, al manipularlo, se licua y desintegra en las inmediaciones de los vasos ilíacos izquierdos, encontrándose la vena dilatada, con un coágulo en su interior.

En los pulmones se observa como hallazgo relevante en el izquierdo la existencia de un trombo en arteria pulmonar principal izquierda (Figura 3). Otros hallazgos son la presencia de unas adherencias pleurales a diafragma en lóbulo inferior, el cuál muestra externamente un área de condensación basal violácea mal aireada y elástica a la palpación (Figura 4), siendo dicha área al corte de aspecto rojizo oscuro e indurada.

Respecto al pulmón derecho, éste muestra externamente pequeñas nodulaciones blanquecinas de 0,5 cm. de diámetro y de consistencia firme que, al corte seriado, se encuentran difusamente distribuidas por los tres lóbulos del pulmón derecho (Figura 5) y el superior del izquierdo, siendo las adenopatías hiliares de aspecto no neoplásico

 

 

Figura 1 - <div style=fiogf49gjkf0dImagen macroscópica de vertebras lumbares L4-L5 en la que se observa en la parte superior de la misma una tumoración blanquecina que infiltra canal raquídeo y afecta a raíces nerviosas a las que parece adherirse.">
Figura 1 -

fiogf49gjkf0d
Imagen macroscópica de vertebras lumbares L4-L5 en la que se observa en la parte superior de la misma una tumoración blanquecina que infiltra canal raquídeo y afecta a raíces nerviosas a las que parece adherirse.


Figura 2 - <div style=fiogf49gjkf0dFotografía macroscópica en la que se aprecia, señalado con flecha negra, la afectación del hueso sacro por la neoplasia. ">
Figura 2 -

fiogf49gjkf0d
Fotografía macroscópica en la que se aprecia, señalado con flecha negra, la afectación del hueso sacro por la neoplasia.


Figura 3 - <div style=fiogf49gjkf0dImagen macroscópica de material trombótico obliterando arteria pulmonar izquierda (señalado con flecha blanca).">
Figura 3 -

fiogf49gjkf0d
Imagen macroscópica de material trombótico obliterando arteria pulmonar izquierda (señalado con flecha blanca).


Figura 4 - <div style=fiogf49gjkf0dFotografía macroscópica de ambos pulmones en la que se aprecia un área de condensación basal rojo-violácea en el pulmón izquierdo.">
Figura 4 -

fiogf49gjkf0d
Fotografía macroscópica de ambos pulmones en la que se aprecia un área de condensación basal rojo-violácea en el pulmón izquierdo.


Figura 5 - <div style=fiogf49gjkf0dFotografía macroscópica del pulmón derecho al corte en la que se observa señalado con flecha negra un pequeño nódulo blanquecino correspondiente a diseminación metastásica de la neoplasia.">
Figura 5 -

fiogf49gjkf0d
Fotografía macroscópica del pulmón derecho al corte en la que se observa señalado con flecha negra un pequeño nódulo blanquecino correspondiente a diseminación metastásica de la neoplasia.




Resultados    

fiogf49gjkf0d
                                            HALLAZGOS MICROSCÓPICOS
Los principales hallazgos se sitúan en región lumbosacra y pulmones:
 
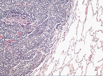
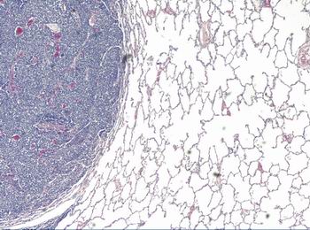
1.- Región lumbosacra: infiltrada desde L4 hasta porción superior de sacro por una tumoración densamente celular que, con técnica de hemotixilina-eosina, se observa compuesta por células redondas, pequeñas, azuladas, de citoplasma escaso, con múltiples mitosis y numerosas áreas de necrosis y vascularización (Figuras 6 y 7). Dicha neoplasia invade tanto hueso (cuerpos vertebrales y sacro), como raíces nerviosas izquierdas y partes blandas paravertebrales, donde la necrosis es tan intensa que el tumor llega a licuarse dando imágenes de células fantasmas necróticas (Figura 8).
Con objeto de determinar la naturaleza exacta del tumor se solicitaron los siguientes marcadores inmunohistoquímicos: CD99, enolasa neuronal y CD45.
Dichos marcadores mostraron una intensa inmunoreactividad positiva para CD99 (Figura 9), escasa positividad para enolasa neuronal (Figura 10) y negatividad absoluta para CD45 (Figura 11). 
 
2.- Pulmones: tromboembolismo neoplásico en arteria pulmonar izquierda, que la obstruye totalmente (Figuras 12 y 13 ). Implantes neoplásicos de similares características a las descritas en región lumbosacra, difusamente distribuidos en lóbulo superior izquierdo y los tres derechos (Figuras 14 y 15). En lóbulo inferior izquierdo, neumonía en resolución, con ocupación de la luz alveolar por células mononucleadas, abundantes macrófagos y edema.
 
                                                              OTROS ESTUDIOS 
Se realiza estudio de Biología Molecular para las translocaciones t(11,22) y t(21,22) mediante RT-PCR, resultando ambas negativas. No obstante, en la literatura se constata que hasta en un 20% de los casos la t(11,22) resulta negativa.
 
                                                        DIAGNÓSTICO DEFINITIVO
Tras los estudios histológicos convencionales, técnicas inmunohistoquímicas especiales y estudios de Biología Molecular, se llega al diagnóstico de SARCOMA DE EWING con escasa diferenciación neuronal, localizado a nivel de L4-L5 y porción superior de sacro que infiltra cuerpos vertebrales, raíces nerviosas izquierdas y partes blandas paravertebrales. Dicho tumor da lugar a un tromboembolismo pulmonar izquierdo masivo de naturaleza neoplásica, siendo éste el causante inmediato de la muerte inesperada, y se extiende por los tres lóbulos pulmonares derechos y lóbulo superior del izquierdo, a modo de múltiples implantes de tamaño no superior a 0,5 cm., sin formar masas.

 

Figura 6 - <div style=fiogf49gjkf0dImagen microscópica de la neoplasia en la que se observa que está compuesta por células redondas, pequeñas, azuladas y de citoplasma escaso. (HE 200x).">
Figura 6 -

fiogf49gjkf0d
Imagen microscópica de la neoplasia en la que se observa que está compuesta por células redondas, pequeñas, azuladas y de citoplasma escaso. (HE 200x).


Figura 7 - <div style=fiogf49gjkf0dDetalle a mayor aumento de la neoplasia (HE 400x)">
Figura 7 -

fiogf49gjkf0d
Detalle a mayor aumento de la neoplasia (HE 400x)


Figura 8 - <div style=fiogf49gjkf0dÁrea de extensa necrosis tumoral con nidos tumorales adyacentes indemnes (HE 200x)">
Figura 8 -

fiogf49gjkf0d
Área de extensa necrosis tumoral con nidos tumorales adyacentes indemnes (HE 200x)


Figura 9 - <div style=fiogf49gjkf0dImagen en la que se aprecia la fuerte inmunoreactividad positiva de las células tumorales para el marcador CD99 (200x)">
Figura 9 -

fiogf49gjkf0d
Imagen en la que se aprecia la fuerte inmunoreactividad positiva de las células tumorales para el marcador CD99 (200x)


Figura 10 - <div style=fiogf49gjkf0dDébil inmunoreactividad positiva para Enolasa neuronal de las células tumorales (200x).">
Figura 10 -

fiogf49gjkf0d
Débil inmunoreactividad positiva para Enolasa neuronal de las células tumorales (200x).


Figura 11 - <div style=fiogf49gjkf0dLas células tumorales son negativas para CD45 (200x)">
Figura 11 -

fiogf49gjkf0d
Las células tumorales son negativas para CD45 (200x)


Figura 12 - <div style=fiogf49gjkf0dImagen microscópica del trombo situado en la arteria pulmonar izquierda, en la que se aprecia que éste está constituido por amplias áreas de fibrina entremezcladas con focos de células neoplásicas en necrosis (HE 200x).">
Figura 12 -

fiogf49gjkf0d
Imagen microscópica del trombo situado en la arteria pulmonar izquierda, en la que se aprecia que éste está constituido por amplias áreas de fibrina entremezcladas con focos de células neoplásicas en necrosis (HE 200x).


Figura 13 - <div style=fiogf49gjkf0dDetalle del trombo en el que se observan algunas células neoplásicas intactas periféricas adyacentes a otras necróticas (HE 400x).">
Figura 13 -

fiogf49gjkf0d
Detalle del trombo en el que se observan algunas células neoplásicas intactas periféricas adyacentes a otras necróticas (HE 400x).


Figura 14 - <div style=fiogf49gjkf0dImagen microscópica de la infiltración neoplásica en el pulmón (HE 100x).">
Figura 14 -

fiogf49gjkf0d
Imagen microscópica de la infiltración neoplásica en el pulmón (HE 100x).


Figura 15 - <div style=fiogf49gjkf0dDetalle a mayor aumento de la imagen anterior (HE 200x).">
Figura 15 -

fiogf49gjkf0d
Detalle a mayor aumento de la imagen anterior (HE 200x).




Discusión    

fiogf49gjkf0d
El Sarcoma de Ewing es un tumor maligno de origen neuroectodérmico, de célula pequeña- redonda, de comportamiento agresivo, que puede proceder de tejido óseo o de partes blandas y que presenta escasa o nula diferenciación neuronal.
Afecta a niños en cualquier momento de la infancia, aunque generalmente se desarrolla en la pubertad, en edades comprendidas entre los 10 y 20 años (el 70% se diagnostica en menores de 20 año, siendo infrecuente por debajo de 3 años y en mayores de 30 años).
Es un tumor propio de la raza blanca, siendo extremadamente raro en razas negra o asiática.
Puede originarse en cualquier parte del cuerpo, generalmente en los huesos largos de las extremidades (fémur, tibia, húmero) la pelvis o el tórax, siendo menos frecuente en el pubis, cráneo, columna vertebral (10%), pie y manos.
 
Clínicamente, el dolor y la tumefacción local en la zona donde se halla situado el tumor primario son los síntomas más frecuentes. El dolor suele ser intermitente al principio y luego se hace constante, e impide la conciliación del sueño.
Según la localización del tumor primario, podrá variar el tipo de síntomas iniciales: dolor radicular en presentaciones axiales, dolor con impotencia funcional en una extremidad, etc. 
Puede haber afectación sistémica con pérdida de peso y fiebre, estando ésta última presente en un 28% de los pacientes en el momento del diagnóstico. Este dato exige hacer el diagnóstico diferencial con una osteomielitis.
Es común que los síntomas antecedan al diagnóstico en meses, de tal forma que hay un retraso en el diagnóstico de al menos 6 meses en el 50 % de los pacientes, especialmente cuando la localización del tumor es en zonas pélvicas donde la tumoración no es palpable hasta alcanzar un gran tamaño.
 
Metastatiza fácilmente y por lo general lo hace a pulmones, pleura, otros huesos (particularmente cráneo) y cerebro, y más raramente a ganglios linfáticos regionales, estando la metástasis presente al momento del diagnóstico en aproximadamente un tercio de los casos.
 
Entre las pruebas diagnósticas que se emplean se encuentran la radiología simple, TAC y la RMN, siendo éstas dos últimas las de elección para la evaluación local del tumor.
La confirmación diagnóstica se obtiene a través de la biopsia directa del tumor, pudiéndose emplear una PAAF previa a la misma para obtener una aproximación diagnóstica rápida.
Los hallazgos histopatológicos consisten en una tumoración densamente celular, con aspecto compacto y monomorfo. Las células tumorales tienen tamaño similar a los histiocitos, poseen un núcleo ovoide o redondeado con un único nucleolo pequeño. El citoplasma es escaso, a veces vacuolado debido a depósitos intracelulares de glucógeno que puede ponerse de manifiesto con tinción de PAS, aunque la ausencia del mismo no es infrecuente.  
El diagnóstico diferencial del Sarcoma de Ewing ha de hacerse con otros tumores como el Rabdomiosarcoma, el neuroblastoma y los linfomas linfocíticos, además de con la osteomielitis como se ha comentado con anterioridad.
 
 
Factores pronósticos asociados al Sarcoma de Ewing son:
 
- Presencia de metástasis: la presencia de metástasis en el momento del diagnóstico es el factor pronóstico más adverso.
- Tamaño tumoral: los tumores cuyo diámetro mayor exceda de 8 cm tienen peor pronóstico. 
- Localización: la localización pélvica confiere un peor pronóstico de supervivencia. Por otro lado existe mejor pronóstico si la localización del tumor primario es ósea y no extraósea.
- Extensión a partes blandas: la extensión directa de un Sarcoma de Ewing óseo a las partes blandas adyacentes es un signo de mal pronóstico.
 

Presentamos este caso fundamentalmente por tres motivos:

1.- La localización del tumor que aún siendo probable no es lo más frecuente, constatándose en la bibliografía que los casos de Sarcoma de Ewing en columna vertebral solamente representan un 10% del total de las localizaciones.
2.- Su ubicación lumbosacra es de difícil diganóstico, motivo por el que se produce un retraso en el mismo
3.- La rápida evolución del caso con desenlace inesperado del mismo.

 

Bibliografía    

 
 

1 - Grier HE: The Ewing family of tumors. Pediatr Clin North Am 1997; 44:991-1004.

2 - Ladanyi M.: Diagnosis and classification of small round-cell tumors of childhood. Am J Pathol. 1999 Jul;155(1):11-5.

3 - Leone A, Costantini A, Guglielmi G, Settecasi C, Priolo F: Primary bone tumors and pseudotumors of the lumbosacral spine.Rays. 2000 Jan-Mar;25(1):89-103. Review.

4 - Venkateswaran L, Rodriguez-Galindo C, Merchant TE, Poquette CA, Rao BN, Pappo AS: Primary Ewing tumor of the vertebrae: clinical characteristics, prognostic factors, and outcome.Med Pediatr Oncol. 2001 Jul;37(1):30-5.

5 - Hashimoto M, Akabane Y, Tate E.: Ewing's sarcoma of the sacrum. Radiat Med. 1999 Nov-Dec;17(6):451-3. 
6 - López Pousa A., Majó J., Martín J. Sarcomas óseos y neuroectodérmicos del adulto. En: Oncología Médica.Volumen 2. Madrid. Nova Sidonia Oncología - GRUPO AULA MEDICA. 1999; 14.2: 1061-1093. 

 

Comentarios

- Cesáreo Corbacho Cuevas (25/10/2005 20:22:59)

Un caso excelentemente presentado. Muchas gracias y un saludo muy cordial.

- IVAN MUÑOZ REPETO (27/10/2005 17:13:09)

Muchas gracias por las felicitaciones y otro saludo muy cordial.

 

 

Web mantenido y actualizado por el Servicio de informática uclm. Modificado: 16/06/2015 15:10:50