Congreso Virtual sobre Anatomía Patológica


Direccion de contacto
fiogf49gjkf0d
Sebastián Ortiz Reina sortizr@terra.es

Tumor de células granulares de la glándula mamaria, una rara lesión de alta sospecha radiológica

Sebastián Ortiz Reina*, Luis Polo García**, Manuel Remezal Solano***, Mercedes González Morales*
* Hospital General Básico de la Defensa ESPAÑA
** Hospital Santa María del Rosell ESPAÑA
*** INSERMED ESPAÑA

Resumen

fiogf49gjkf0d

Describimos el aspecto radiológico y patológico de dos lesiones nodulares mamarias, que diagnosticamos mediante punción aspiración con aguja de calibre fino, como tumores de células granulares, diagnóstico confirmado con posterioridad tras el estudio histopatológico de las piezas de nodulectomía. Uno de estos tumores, mostraba criterios mamográficos de lesión de alto grado.

Se comentan los aspectos cito e histopatológicos de las lesiones, así como su comportamiento inmunohistoquímico, ofreciendo unas claves para su diagnóstico por punción aspiración con aguja fina, y las dificultades en su interpretación 


 

Introduccion    

fiogf49gjkf0d

El tumor de células granulares descrito por Abrikossof en 1926, es una infrecuente lesión tumoral benigna, que posiblemente derive de las células de Schwann de los nervios periféricos (1). Se presenta con mayor frecuencia en cabeza y cuello, siendo excepcional su localización mamaria ( 5 – 8 % de los casos ), donde la exploración clínica y estudios radiológicos ( mamografía y ecografía ), en ocasiones simulan un carcinoma.

La lesión puede ser diagnosticada mediante punción aspiración con aguja fina, aunque el empleo de esta técnica, ofrece dificultades en su interpretación.

 

 

Material y Métodos    

fiogf49gjkf0d

Se presentan dos casos clínicos correspondientes a pacientes con nódulos mamarios, con diagnóstico mamográfico en uno de los casos de nódulo mamario de alta sospecha radiológica, a los que se realizó previa nodulectomía estudios mediante punción aspiración con aguja fina.

 

Caso nº 1.- Mujer de 25 años, sin alergias medicamentosas conocidas, con hidrocefalia secundaria a pinealoma, que presentaba un nódulo en cuadrante súpero-externo de la glándula mamaria derecha.

La ecografía mamaria mostró la presencia de un nódulo hipo-anecoico de 0,9 cm, de contornos definidos con pequeño punteado ecogénico en su interior y sin refuerzo posterior, cuyo aspecto sugería un quiste complicado v/s lesión sólida hipoecogénica.  (Figura 1).

 

Caso nº 2.- Mujer de 55 años, con alergias a los anti-inflamatorios no esteroideos y osteoporosis, que presentaba un nódulo indoloro de 1 año de evolución y 2 cm de diámetro mayor, localizado en cuadrante súpero-externo de la glándula mamaria derecha.

La mamografía, identificó un nódulo de alto grado de sospecha, localizado en región axilar de mama derecha, de unos 2 cm, que mostraba contornos irregulares y espiculados, sin microcalcificaciones.(Figuras 2 y 3).

La ecografía mamaria mostró una imagen similar a la del caso anterior, consistente en un nódulo hipoecoico con algunos ecos puntiformes externos, que podría corresponderse a un nódulo sólido v/s quiste complicado. (Figura 4).

 

En ambos casos se le realizó punción aspiración con aguja de calibre fino ( 24 G ), cuyos aspirados fueron teñidos según técnica de Papanicolaou.

 

Las piezas de nodulectomía se procesaron tras su fijación en formol tamponado al 10 % durante 48 horas, y se realizaron cortes a 3 micrómetros que se tiñeron con hematoxina-eosina. Posteriormente, se realizaron estudios inmunohistoquímicos, según técnica de estreptavidina-biotina-peroxidasa, utilizando los siguientes anticuerpos prediluidos de Biogenex: proteina S-100, enolasa neuronal específica, actina y citoqueratinas de alto peso molecular

 

Figura 1 - <div style=fiogf49gjkf0dNódulo hipo-anecoico de contornos definidos">
Figura 1 -

fiogf49gjkf0d
Nódulo hipo-anecoico de contornos definidos


Figuras 2 - <div style=fiogf49gjkf0dProyección mamográfica lateral, en la que se observa un nódulo en región axilar de la mama.">
Figuras 2 -

fiogf49gjkf0d
Proyección mamográfica lateral, en la que se observa un nódulo en región axilar de la mama.


y 3 - <div style=fiogf49gjkf0dImagen magnificada de nódulo, con contornos irregulares y espiculados, sin microcalcificaciones.">
y 3 -

fiogf49gjkf0d
Imagen magnificada de nódulo, con contornos irregulares y espiculados, sin microcalcificaciones.


Figura 4 - <div style=fiogf49gjkf0dNódulo hipoecoico con algunos ecos puntiformes externos.">
Figura 4 -

fiogf49gjkf0d
Nódulo hipoecoico con algunos ecos puntiformes externos.




Resultados    

fiogf49gjkf0d

Se realizó estudio citopatológico por punción aspiración con aguja fina de ambas lesiones, observándose extendidos de abundante celularidad sobre fondo proteináceo, constituidos mayoritariamente por células de amplios citoplasmas basófilos de aspecto granular  bien delimitados, centradas por núcleos isomorfos, con nucleolos evidentes y aislado pleomorfismo, dispuestas de forma aislada o en placas de escasos elementos celulares. Con frecuencia las membranas celulares se rompen, lo que origina un fondo sucio rico en gránulos citoplasmáticos. (Figuras 5 y 6 y 7 y 8)

 

Tras el diagnóstico de sospecha por punción aspiración con aguja fina, de tumor de células granulares, se solicita extirpación de las lesiones, observándose sendos nódulos blanco-amarillentos, de límites mal definidos y consistencia dura al corte, de 0,9 y 2 cm. de diámetro máximo respectivamente (figura 9), que al estudio histopatológico mostraron una proliferación de células redondeadas de talla media, con amplios citoplasmas acidófilos y granulares bien definidos, cuyos núcleos ovales, de disposición central o algo excéntrica, presentaron nucleolos y ocasional pleomorfismo nuclear. Las lesiones crecen en nidos, cordones, o en sábana sin patrón arquitectural definido. (Figuras 10 y 11).

 

Se realizan estudios inmunohistoquímicos para determinar el inmunofenotipo de la lesión, observándose:

- Inmunotinción citoplasmática positiva para proteína S-100 (figura 12) y enolasa neuronal específica.

- Inmunotinción negativa para actina y citoqueratinas.

 

 

Figuras 5 - <div style=fiogf49gjkf0dPlacas de escasos elementos celulares, de citoplasmas granulares. ( Tinción de Papanicolaou )">
Figuras 5 -

fiogf49gjkf0d
Placas de escasos elementos celulares, de citoplasmas granulares. ( Tinción de Papanicolaou )


y 6 - <div style=fiogf49gjkf0dFondo sucio, rico en granulaciones basófilas. ( Tinción de Papanicolaou ).">
y 6 -

fiogf49gjkf0d
Fondo sucio, rico en granulaciones basófilas. ( Tinción de Papanicolaou ).


y 7 - <div style=fiogf49gjkf0dAunque se observa la presencia de núcleos desnudos, no se identifican células de hábito mioepitelial. ( Tinción de Papanicolaou ).">
y 7 -

fiogf49gjkf0d
Aunque se observa la presencia de núcleos desnudos, no se identifican células de hábito mioepitelial. ( Tinción de Papanicolaou ).


y 8 - <div style=fiogf49gjkf0dOcasionalmente se identifica anisocariosis nuclear. ( Tinción de Papanicolaou ).">
y 8 -

fiogf49gjkf0d
Ocasionalmente se identifica anisocariosis nuclear. ( Tinción de Papanicolaou ).


Figura 9 - <div style=fiogf49gjkf0dNódulo de 2 cm, coloración blanco-amarillenta, y límites mal definidos. ( Los límites quirúrgicos de la pieza quirúrgica, se han marcado con tinta de color verde ).">
Figura 9 -

fiogf49gjkf0d
Nódulo de 2 cm, coloración blanco-amarillenta, y límites mal definidos. ( Los límites quirúrgicos de la pieza quirúrgica, se han marcado con tinta de color verde ).


Figuras 10 - <div style=fiogf49gjkf0dCordones de células, con amplios citoplasmas repletos de granulaciones eosinófilas. ( Hetatoxilina-eosina ).">
Figuras 10 -

fiogf49gjkf0d
Cordones de células, con amplios citoplasmas repletos de granulaciones eosinófilas. ( Hetatoxilina-eosina ).


y 11 - <div style=fiogf49gjkf0dNúcleos ovales o redondos de disposición central, cromatina algo vesicular y marcados nucleolos eosinófilos. ( Hematoxilina-eosina ).">
y 11 -

fiogf49gjkf0d
Núcleos ovales o redondos de disposición central, cromatina algo vesicular y marcados nucleolos eosinófilos. ( Hematoxilina-eosina ).


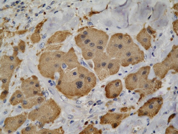
Figura 12 - <div style=fiogf49gjkf0dInmunotinción citoplasmática positiva para proteina S-100">
Figura 12 -

fiogf49gjkf0d
Inmunotinción citoplasmática positiva para proteina S-100




Discusión    

fiogf49gjkf0d

El tumor de células granulares es conocido como tumor de Abrikossof, quien lo describe por vez primera en 1926 como mioma mioblástico. También se le conoce como: mioblastoma, neuroma de células granulares, neurofibroma de células granulares, o schwannoma de células granulares. Se suele presentar como un nódulo solitario durante la 4ª a 6ª década de la vida, localizado en la vecindad de los epitelios escamosos, partes blandas, dermis, tejido celular subcutáneo, submucosa, músculo liso, músculo estriado y paredes viscerales ( laringe, bronquios, estómago... ). Aunque se ubica preferentemente en cabeza y cuello, puede localizarse en la práctica totalidad del organismo.

En raras ocasiones se observa en la glándula mamaria, fundamentalmente en cuadrantes superiores. En Australia se ha detectado 1 caso por cada 40000 mujeres sometidas a estudio mamográfíco en programas de detección precoz del cáncer de mama, habiéndose descrito aproximadamente 190 casos con localización mamaria, de los que 20 afectaron a varones (2).

 

Su diagnóstico es importante, ya que puede simular un cáncer mamario, debido a:

1.- Su aspecto clínico: puede ulcerar y retraer la piel y el pezón, fijarse a planos profundos ( fascia pectoral )(3), mostrar una consistencia sólida y una mala delimitación a la exploración.

2.- Su imagen radiológica de sospecha: al igual que ocurre en uno de nuestros casos, la imagen radiológica puede corresponderse con la de un nódulo sólido, de límites mal definidos y espiculados, de alta sospecha radiológica.

3.- Su aspecto macroscópico, que en ocasiones puede mostrar bordes infiltrativos, mal definidos y consistencia firme e indurada.

4.- Su aspecto citológico, que puede ofrecer dificultades en su interpretación, por:

-         Mala delimitación citoplasmática por la fragilidad de la membrana nuclear.

-         Fondo sucio y granular por rotura de la membrana plasmática.

-         Ocasional presencia de anisocariosis.

-         Nucleolos eosinófilos prominentes.

-         Ausencia de celularidad bipolar de origen mioepitelial.

-         Rareza de la lesión en esta localización.

 

Su origen es incierto, habiéndose postulado diversas etiologías ( degenerativa, metabólica o tumoral ), apuntando los estudios más fiables hacia una histogénesis neural periférica en células de Schwann (4).

El hecho de ser más frecuente en mujeres, de que aparezca en embarazadas o crezca tras el parto, ha sugerido una implicación de los estrógenos en su patología, que aun no ha sido demotrada.

 

Este tipo de lesiones pueden diagnosticarse mediante punción aspiración con aguja fina, y entre las claves para el diagnóstico citológico, encontramos (5):

-         Moderada o abundante celularidad.

-         Presencia de grupos cohesivos, alguno de ellos de contornos mal definidos, lo que le confiere un aspecto sincitial.

-         Núcleos ovales o redondos de disposición central, con presencia de ocasionales nucleolos pequeños.

-         Abundante citoplasma ( baja relación núcleo citoplasmática ).

-         Numerosos gránulos intracitoplasmáticos.

-         Material granular extracelular.

-         Fragilidad de la membrana plasmática y cistolisis citoplasmática, con presencia de núcleos desnudos.

-         Ausencia de células bipolares.

-         Ocasional anisocariosis.

 

En el diagnóstico diferencial habrá que considerar (2):

-         Lesiones histiocitarias: infecciones por micobacterias atípicas, enfermedad de Whipple y necrosis grasa.

-         Lesiones epiteliales con diferenciación y/o aspecto apocrino: carcinoma ductal, carcinoma apocrino, carcinoma secretorio y la variante alveolar del carcinoma lobular.

 

Esta lesión que puede aparecer en varones y población de color (6), es benigna, aunque excepcionalmente se ha descrito una variante maligna que representa aproximadamente el 1-2 % del total de estos tumores. Su extirpación suele ser curativa, con ocasionales recurrencias.

 

 

Conclusiones    

fiogf49gjkf0d

El tumor de células granulares, representa una lesión tumoral de probable origen en las células de Schwann, que raramente se localiza en la mama, pudiendo simular cáncer mamario por su aspecto clínico, radiológico y macroscópico, y que puede beneficiarse de un diagnóstico certero mediante punción aspiración con aguja de calibre fino, aunque con dificultades en su interpretación, debido a:

      -         Mala delimitación citoplasmática por la fragilidad de la membrana nuclear.

-         Fondo sucio y granular por rotura de la membrana plasmática.

-         Ocasional presencia de anisocariosis.

-         Nucleolos eosinófilos prominentes.

-         Ausencia de celularidad bipolar de origen mioepitelial.

-         Rareza de la lesión en esta localización,

Se han publicado casos diagnosticados por punción aspiración de forma errónea, con los siguientes diagnósticos: citología maligna para un inusual tipo de carcinoma, lesión sospechosa de malignidad, lesión compatible con células apocrinas benignas y lesión benigna histiocitaria inusual (2).

 

 

Bibliografía    

1 - Gibbons D. Leitch M, Coscia J, el al. Fine needle aspiration cytology and histologic findings of granular cell tumor of the breast: review of 19 cases with clinical/radiologic correlation. Breast J. 2000 Jan;6(1):27-30.

2 - Pieterse AS, Mahar A, Orell S. Granular cell tumour: a pitfall in FNA cytology of breast lesions. Pathology. 2004 Feb;36(1):58-62.

3 - Moros M, Arraiza A, Martínez D,  Gómez V, Soria J, Melero A, Repolles S. Tumor de células granulares de la mama. Estudio óptico, inmunohistoquímico y ultraestructural de un caso. Patología 1991; 24:325-328.

4 - Fernández de Mera JJ, Soria-Corón R, Gordillo-Chaves J, Campos de Orellana-Gómez A, Sáenz de Santamaría-Morales J. Tumor de células granulares. Estudio clínico, patológico e inmunohistoquímico de siete casos. Patología 1996; 29:227-231.
5 - McCluggage WG, Sloan S, Kenny BD, Alderdice JM, Kirk SJ, Anderson NH.
Fine needle aspiration cytology (FNAC) of mammary granular cell tumour: a report of three cases.  Cytopathology. 1999 Dec;10(6):383-9.

6 - Montagnese MD, Roshong-Denk S, Zaher A, Mohamed I, Staren ED. Granular cell tumor of the breast. Am Surg. 2004 Jan;70(1):52-4. 

 

 

Comentarios

- Emilio Mayayo Artal (06/10/2005 20:44:17)

Excelente iconografía y muy buena puesta a punto sobre el tema. Emilio

- Maria Haydee Aunchayna Mary (07/10/2005 23:34:57)

Muy interesante,las imagenes enviadas son muy representativa, en nuesra casusticaque es muy pequeña no hemos encontrado dichos tumoresMaria Haydee Aunchayna Uruguay

- Maria Haydee Aunchayna Mary (07/10/2005 23:39:28)

Muy interesante,las imagenes enviadas son muy representativas.Dra.MH Aunchayna Uruguay

- César Jesús Eras Lévano (12/10/2005 5:08:55)

MUY INTERESANTE SU TRABAJO, NOSOTROS ESTAMOS REPORTANTE UN TUMOR MALIGNO DE CELULAS GRANULARES DE LOCALIZACION ILEAL, TIPIFICADO INICIALMENTE COMO COLITIS ATIPICA.
LO CLASIFICAMOS ASI POR QUE CUMPLE LOS CON LOS REQUISITOS DE LA AFIP PARA MALIGNIDAD Y CON EL AGREGADO DE METASTASIS GANGLIONAR.
UN ABRAZO.

- JORGE SAINZ BALLESTEROS (22/10/2005 11:11:55)

MUY INTERESANTE EL CASO.
NOSOTROS TUVIMOS TAMBIÉN UN CASO EN NUESTRO HOSPITAL.
ES INFRECUENTE, PERO HAY VARIOS CASOS REPORTADOS EN NUESTRO PAÍS.
FELICIDADES A LOS AUTORES

- Julia Cecilia Cruz Mojarrieta (25/10/2005 10:49:08)

Caso muy bien discutido y con una magníficas imagenes. Tenemos publicado uno maligno en partes blandas

- Cesáreo Corbacho Cuevas (25/10/2005 12:55:53)

Un trabajo excelente sobre una entidad en la que siempre hay que pensar en una localización infrecuente. Muchas gracias y un saludo muy cordial.

- NATALIA MARTINEZ CASTILLO (26/10/2005 20:35:07)

Un trabajo muy completo con buena revisión bibliográfica. felicitaciones

- Amparo Benito Berlinches (08/11/2005 18:48:33)

Gracias Sebastián por unos casos tan interesantes y bien iconografiados, en los que la punción ha sido determinante para evitar una actitud terapéutica agresiva.

 

 

Web mantenido y actualizado por el Servicio de informática uclm. Modificado: 16/06/2015 15:10:50