Congreso Virtual sobre Anatomía Patológica


Direccion de contacto
fiogf49gjkf0d

Hipereosinofilia secundaria paraneoplásica asociada a Carcinoma pancreático

Diana Maite Hernández Fernández*, Diana González Rodríguez*, Ana Maria Castro Morillo*, Reynol García González**
* Hospital Universitario "Faustino Pérez Hernández" Matanzas CUBA
** Hospital Universitario "Faustino Pérez Hernández", Matanzas CUBA

Resumen

fiogf49gjkf0d

La hipereosinofilia puede representar un gran problema clínico si los procedimientos de diagnóstico inicial como son la historia clínica, la anamnesis, el examen físico y los exámenes de laboratorio clínico básicos  fallan en su misión de encontrar la causa. Se hace necesario en estos casos un estudio exhaustivo para determinar si procesos alérgicos, infecciosos, tumorales y enfermedades linfoproliferativas son la base del proceso en sí.

Presentación del caso: paciente masculino, blanco de 68 años de edad, fumador, con antecedentes de salud, que ingresa por presentar dolor abdominal y síndrome general, con hallazgos al examen físico inespecíficos y una leucocitosis inicial de 29 x 109/L con 0.64 eosinófilos que llega a cifras de Leucocitos 239.4 x 109/L con 0.98 de eosinófilos, por Ultrasonido se detectan metástasis hepáticas múltiples pero sin definirse con el resto de los estudios imaginológicos el tumor primitivo, se compromete el estado del paciente falleciendo a los 14 días de su ingreso

Discusión: La hipereosinofilia paraneoplasica es mas frecuente (dejando a un lado los Linfomas) en los carcinomas del tracto respiratorio y digestivo y las reacciones leucemoides hipereosinofílicas asociadas a  neoplasias epiteliales es un evento en extremos raro, en nuestro caso estaba asociado a un Carcinoma pleomórfico poco diferenciado de grandes conductos pancreáticos. Se realizó  necropsia, se  incluyó estudio de Médula ósea lo que descartó otras entidades como Leucemia eosinofílica y Síndrome hipereosinofílico sobre la base de los criterios de la OMS(2001) concluyéndose como Hipereosinofilia secundaria paraneoplásica inducida por Carcinoma pancreático en etapa IV


 

Introduccion    

fiogf49gjkf0d

La hipereosinofilia puede representar un gran problema clínico si los procedimientos de diagnóstico inicial como son la historia clínica, la anamnesis, el examen físico y los exámenes de laboratorio clínico básicos  fallan en su misión de encontrar la causa

La eosinofilia se define como aumento del número de eosinófilos en sangre sobre la cifra normal de 1 a 3 en cifra porcentual (0.01 a 0.03). Por encima de 4% (0.04)  se habla de esosinofilia (1)

La hipereosinofilia secundaria responde a múltiples causas: hipersensibilidad, parasitosis, enfermedades infecciosas, pulmonares, de la piel,  colagenosis, neoplasias, entre otras. Se ha mencionado que existe un incremento fisiológico del número de esosinófilos durante la menstruación, el embarazo y después de la realización de ejercicios físicos (2)

Se considera que el 10% de las hipereosinofilias son paraneoplásicas,, considerándose esto como un signo de mal pronóstico(2) encontrándose reacciones leucemoides con hipereosinofilia y prurito como parte de las manifestaciones hematológicas de los síndromes paraneoplásicos (3)

Dentro de las neoplasias en que puede aparecer eosinofilia se encuentran principalmente  la enfermedad de Hodgkin (hasta en un 15% de casos)(4) y  otras neoplasias hematológicas, en concreto leucemias (sobre todo con fenotipo M4) y linfomas (sobre todo de estirpe B (5). En lo que respecta a los tumores sólidos, es más frecuente en las neoplasias de células grandes no queratinizadas de cuello, carcinomas indiferenciados de células grandes de pulmón, carcinomas epidermoides de pene, vagina, piel y nasofaringe, adenocarcinomas de estómago, colon y endometrio así como en el carcinoma transicional de vejiga. (2)

Se han reportado casos raros de hipereosinofilia asociados con Hemangioendotelioma maligno metástasico en corazón, a Rabdomiosarcoma cardíaco, y a Hepatocarcinoma (6,7, 8)

Nosotros presentamos un caso de una Hipereosinofilia paraneoplásica con curso fatal, secundaria a un Carcinoma pancreático en fase de diseminación metástasica.

 

 

Presentación del caso    

fiogf49gjkf0d

Paciente JAGD de 68 años de edad, masculino, color de la piel blanca, de procedencia rural con antecedentes de salud anterior y de ser fumador inveterado que ingreso el 27 de febrero del 2005 en nuestro centro por presentar dolor abdominal difuso que se aliviaba al reposo, acompañado de marcada astenia, anorexia y perdida de peso, sin  precisar en cuanto tiempo

Examen físico positivo al ingreso

-         Mucosas: secas

-         Lengua: saburral y seca.

-         Pile del tórax: Presencia de circulación colateral.

-         Aparato Respiratorio: murmullo vesicular disminuido globalmente.

-     Cardiovascular: FC: 110/min          TA: 130/70

-         Abdomen: contracturado, resistente a la palpación, doloroso difusamente a la  misma, hepatomegalia dolorosa, que llega a mesogastrio y flanco derecho y esplenomegalia de + 3 cm.

-         Región inguinal izquierda: presencia de masa T, de + 4 cm, reductible, que protruye con los golpes de tos.

-         Hemolinfopoyético: se palpan adenopatías inguinales, axilares y epitrocleares, duras, movibles e indoloras.

COMPLEMENTARIOS REALIZADOS EN CUERPO DE GUARDIA:

-         Hto: 0.48

-         Leucograma: 29 x 109/L  Seg: 0.28,  Linf: 0.08, Eos: 0.64.

-         Glicemia: 8.2 mmol/L.

-         Cituria: L: 10.000, H: 60.000, Prot: vestigios.

Evoluciona con alivio del dolor abdominal, pero al recibirse los resultados de los complementarios indicados por sala se observo Eritrosedimentación acelerada en 70 mm/seg y un aumento significativo del Leucograma que llego a  189.9 x 109 /L  con Seg: 0.08, Eos: 0.92. Lámina periférica: normocitosis, normocromía, plaquetas adecuadas, eosinofilia severa (maduros en su mayoría).

Aparece al 3er dia un ligero íctero de piel y mucosas, resto del exámen físico sin modificaciones.

Se realiza U/S abdominal que informa:

Gran hepatomegalia a predominio de lóbulo izquierdo, de contorno irregular y estructura heterogénea, con múltiples imágenes de aspecto metastático.

Vesícula con doble contorno y paredes gruesas, de 9.6 mm, con bilis de éxtasis y hacia el fondo vesicular se observa una masa ecogénica de base ancha de 14 x 18 mm.

Vías biliares dilatadas y distorsionadas.

Páncreas con aumento de su ecogenicidad.

Presencia de adenopatías periaórticas.

Riñones y bazo: normales.

En el Rx de tórax presentaba ateromatosos del cayado aórtico, área cardiaca normal, no otras alteraciones pleuro pulmonares.

Se incremeta al 4to dia el Leucograma hasta 239.4 x 109 /L Seg: 0.02, Eos: 0.98, resto de los complementarios:

-         Glicemia: 7.6 mmol/L

-         Creatinina: 54

-         Coagulograma:

o       Coag: 6 min.

o       Sang: 1 min.

o       Coagulo: retráctil.

o       Plaquetas: 249.000

o       Tiempo de protrombina: c: 14 seg., p: 18 seg.

o       TPT: 30 seg.

-         Reticulocitos: 42x 10-3  

-         TGP: 47.1 u/l

-         GGT: 820 u/l

-         FAS: 1458 u/l

-         LDH: 10720 u/l

-         Albúmina sérica: 28.2 u/l

-         g glob: 31.2 u/l.

Reaparece el dolor abdominal y se acentúa la toma del estado general, el ictero se intensifica, aparece letargo y somnolencia, la hepatomegalia es cada día mayor

Complementarios finales

-         Hto: 0.46

-         Plaquetas: 154.000

-         Leucograma: 180 x 109 /l Stabc 0.8, Stabneut  0.3, seg: 0.9, eos:77, Mono: 0.1, linfo: 0.2.

-         Glicemia: 9 mmol/l

-         Creatinina: 66

Persisten las manifestaciones clínicas aparece edema de declive en miembros inferiores y región sacra, polipnea superficial y gran toma del estado general falleciendo el día 14 de su ingreso con la impresión diagnostica clínica de Leucemia aguda eosinofilica v/s Reacción leucemoide eosinofilica secundaria de etiología no precisada. Se le realiza necropsia para estudio definitivo.

 

Resultados    

fiogf49gjkf0d

Encontramos en la  AUTOPSIA un paciente anciano con color ictérico de piel y mucosas con panículo adiposo disminuido, sin otra señal significativa en piel.

Las cavidades estaban con adecuada disposición de los órganos correspondientes, llamaba la atención la gran hepatomegalia con algunos nódulos blanquecinos umbilicados

Al procederse a la disección se encontró:

Bloque  cardiopulmonar: corazón aumentado de tamaño, de 410 gramos con hipertrofia del ventrículo izquierdo donde se observó al corte gran trombo intracardíaco de color amarillento, vegetaciones pequeñas en válvula mitral y área amarillo-rojiza subendocárdica en  todo el ventrículo izquierdo y tabique interventricular (Foto 1). Presencia de trombos en ramas finas y medias de arterias pulmonares con infartos pulmonares en diferentes estadíos de evolución y nódulos de entre 0.5 y 0.8 cm. a la palpación del parénquima pulmonar

BLOQUE GENITOURINARIO: próstata pequeña, vejiga con ligero edema de la mucosa, uréteres normales, riñones que decapsulaban con facilidad,  nódulos blanquecinos en la corteza, al corte buena relación córtico-medular, áreas mal definidas de color amarillento que no guardaban relación con los nódulos. (Foto 2) Aorta con ateromatosis moderada, complicada en la aorta abdominal infrarrenal.

BLOQUE DIGESTIVO: presencia de nódulos gástricos entre 0.8 y 1.2 cm. Algunos con superficie ulcerada. Engrosamiento de la pared duodenal en porción media con endurecimiento de la cabeza del páncreas que al corte se correspondía con tejido de contorno mal definido de color blanco amarillento, pétreo que infiltraba grasa vecina, pared duodenal y que al disecar colédoco infiltraba en forma de anillo su porción media (Foto 3) Se observó dilatación de vías biliares, nódulos hepáticos blanquecinos al corte en parenquima de color rojo-anaranjadoso (Foto 4), En el fondo vesical se halló un  nódulo ulcerado de 3 cm que se continuaba en el lecho hepático.

Hemolinfopoyético Bazo con áreas amarillentas mal delimitadas. Adenomegalias para aorticas, en hilo hepático y suprapancréticas

ENCEFALO: moderado aplanamiento y engrosamiento de las circunvoluciones con adelgazamiento de los surcos, esbozo de hernia amigdalina bilateral.

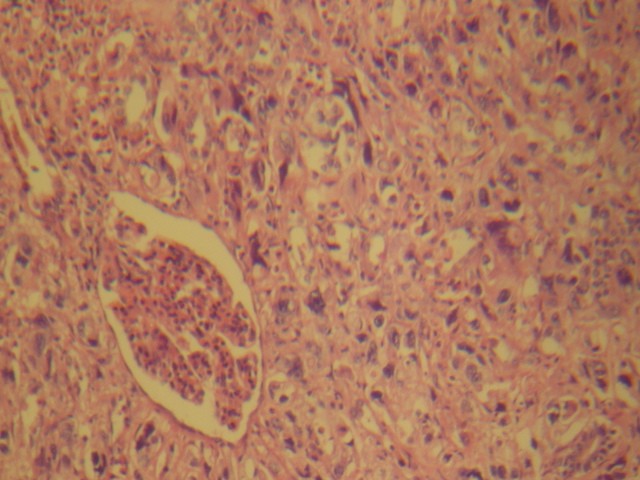
Microscópicamente el trombo intracardíaco estaba constituido fundamentalmente por eosinófilos en diferentes estadíos de maduración (Foto 5), se encontraron trombos con infartos sépticos en miocardio, pulmón, bazo (Fotos 6, 7, 8) y riñón. El tumor páncreático se clasificó como Carcinoma ductal poco diferenciado (Foto 9 y 10), encontrándose metástasis con esosinófilia en su vecindad en pulmón, riñón (Foto 11) estómago, vesícula, hígado (Foto 12), ganglios y médula ósea (Foto 13)

 

 - <div style=fiogf49gjkf0dFoto 1- Cardiomegalia por hipertrofia ventricular izquierda con extensa área subendocárdica rojo-amarillenta. Obsérvese infarto pulmonar en la base">
-

fiogf49gjkf0d
Foto 1- Cardiomegalia por hipertrofia ventricular izquierda con extensa área subendocárdica rojo-amarillenta. Obsérvese infarto pulmonar en la base


 - <div style=fiogf49gjkf0dFoto 2- Nódulos metástasicos en riñón, áreas amarillentas mal definidas sin relación con los primeros">
-

fiogf49gjkf0d
Foto 2- Nódulos metástasicos en riñón, áreas amarillentas mal definidas sin relación con los primeros


 - <div style=fiogf49gjkf0dFoto 3- Tumor pancreático, dilatacion del conducto excretor principal, estenosis del colédoco. Obsérvese fragmento de vesícula a la derecha">
-

fiogf49gjkf0d
Foto 3- Tumor pancreático, dilatacion del conducto excretor principal, estenosis del colédoco. Obsérvese fragmento de vesícula a la derecha


 - <div style=fiogf49gjkf0dFoto 4- Múltiples nódulos metástasicos hepáticos de tamaño variable, algunos con centro umbilicado.">
-

fiogf49gjkf0d
Foto 4- Múltiples nódulos metástasicos hepáticos de tamaño variable, algunos con centro umbilicado.


 - <div style=fiogf49gjkf0dFoto 5- Imagen microscópica del trombo intracardíaco formado básicamente por gran número de esosinófilos en diferentes estadios de maduración. H/E 400x">
-

fiogf49gjkf0d
Foto 5- Imagen microscópica del trombo intracardíaco formado básicamente por gran número de esosinófilos en diferentes estadios de maduración. H/E 400x


 - <div style=fiogf49gjkf0dFoto 6- Infarto miocárdico séptico. H/E 200x">
-

fiogf49gjkf0d
Foto 6- Infarto miocárdico séptico. H/E 200x


 - <div style=fiogf49gjkf0dFoto 7- Trombo eosinofílico pulmonar. H/E 400x Observe restos de antracosis y presencia de los eosinófilos en los finos tabiques alveolares">
-

fiogf49gjkf0d
Foto 7- Trombo eosinofílico pulmonar. H/E 400x Observe restos de antracosis y presencia de los eosinófilos en los finos tabiques alveolares


 - <div style=fiogf49gjkf0dFoto 8- Trombo eosinofñilico en el bazo en la vecindad del área infartada. H/E 200x">
-

fiogf49gjkf0d
Foto 8- Trombo eosinofñilico en el bazo en la vecindad del área infartada. H/E 200x


 - <div style=fiogf49gjkf0dFoto 9- Células tumorales pleomórficas, desmoplasia, nótece los acinos pancreáticos y un pequeño conducto conservado. H/E 200x">
-

fiogf49gjkf0d
Foto 9- Células tumorales pleomórficas, desmoplasia, nótece los acinos pancreáticos y un pequeño conducto conservado. H/E 200x


 - <div style=fiogf49gjkf0dFoto 10- Origen del carcinoma en grandes conductos pancreáticos, presencia de gran conducto con metaplasia y displasia de su epitelio y conducto mediano en esquina superior izquierda revestido por células francamente neoplásicas. Pequeño acúmulo de esosinófilos">
-

fiogf49gjkf0d
Foto 10- Origen del carcinoma en grandes conductos pancreáticos, presencia de gran conducto con metaplasia y displasia de su epitelio y conducto mediano en esquina superior izquierda revestido por células francamente neoplásicas. Pequeño acúmulo de esosinófilos


 - <div style=fiogf49gjkf0dFoto 11- Metástasis renal, presencia de un gromérulo en este campo. H/E 400x">
-

fiogf49gjkf0d
Foto 11- Metástasis renal, presencia de un gromérulo en este campo. H/E 400x


 - <div style=fiogf49gjkf0dFoto 12- Metástasis hepática. H/E 400x">
-

fiogf49gjkf0d
Foto 12- Metástasis hepática. H/E 400x


 - <div style=fiogf49gjkf0dFoto 13- Metástasis en médula ósea. Resulta llamativa la proliferación de eosinófilos y sus precursores. Presencia de trabécula ósea con células pleomórficas metástasicas aledañas. H/E 400x">
-

fiogf49gjkf0d
Foto 13- Metástasis en médula ósea. Resulta llamativa la proliferación de eosinófilos y sus precursores. Presencia de trabécula ósea con células pleomórficas metástasicas aledañas. H/E 400x




Discusión    

fiogf49gjkf0d

Este es probablemente  el primer reporte de una hipereosinofilia paraneoplásica secundaria a un Carcinoma pancreático en fase de diseminación. Se diferenció de un caso con un Adenocarcinoma inoperable de páncreas en el que se produjo la hipereosinofilia inducida por el tratamiento con inyecciones intratumoral y peritumoral con Viscum album L. Se detectó el aumento de esosinófilos después de la 3ª inyección, llegando a su pico máximo en la 5ª (9) mientras que en nuestro paciente el incremento en el número de eosinófilos fue desde el ingreso, constituyendo el tumor pancreático un hallazgo autópsico. 

El diagnostico diferencial de una eosinofilia puede ser difícil, cuando un paciente presenta una hipereosinofilia de etiología desconocida se deben hacer estudios regularmente durante su seguimiento para detectar un proceso maligno (10)

Según los mecanismos que producen la hipereosinofilia cuando la causa es secundaria a una neoplasia maligna epitelial en diseminación se invocan las metástasis hepáticas y la afectación de la médula ósea por el tumor como ocurrió en nuestro caso (2)

Se descarta la Leucemia eosinofílica y el Síndrome hipereosinofílico que según la OMS La leucemia eosinofílica crónica (CEL, por sus siglas en inglés) es un trastorno mieloproliferativo crónico de etiología desconocida en el cual la proliferación clonal de precursores eosinofílicos resulta en un aumento persistente del número de eosinófilos en la sangre, médula ósea y tejidos periféricos. En la CEL, el conteo de eosinófilos es ≥1,5x109/L en la sangre. (11) Para hacer un diagnóstico del CEL, debe existir alguna prueba de clonalidad de los eosinófilos o un aumento de blastos en la sangre o médula ósea. En muchos casos sin embargo, es imposible probar la clonalidad de los eosinófilos, en cuyo caso, si no hay un aumento de los blastos se prefiere un diagnóstico de síndrome de hipereosinofílico idiopático (HES, por sus siglas en inglés). Debido a la dificultad que presenta el distinguir la CEL del HES, se desconoce la verdadera incidencia de esta enfermedad aunque es poco común. En alrededor del 10% de los pacientes la eosinofilia se detecta de forma incidental. En otros casos, encontramos síntomas constitucionales, como fiebre, fatiga, tos, angiodema, dolores musculares, prurito y diarrea. (11) No se ha identificado en la CEL ni una anormalidad citogenética o genético molecular específica. Al no encontrarse en nuestro caso blastos en periferia entre 2 y 20% y en médula ósea entre 5 y 19 de las células nucleadas se descarta le Leucemia eosinofílica. Se excluye el Síndrome hipereosinofílico ya que uno de los requisitos para su diagnostico es que no exista enfermedad demostrable que cause la eosinofilia.

 

Conclusiones    

fiogf49gjkf0d

Se trata de un paciente fallecido con una neoplasia maligna del páncreas (Carcinoma ductal poco diferenciado) en etapa IV con TNM- T2N1M1, que desarrolla una hipereosinofilia severa secundaria a su diseminación metastásica que incluyó médula ósea. La hipereosinofilia ocasionó daño en múltiples órganos en base a su capacidad de realizar daño tisular, causar hipercougulabilidad y por la formación de trombos de esosinófilos con los subsiguientes infartos que lo llevaron al fallo multiorgánico.

 

Bibliografía    

  1. Gleich G, Adoiphson CR. The eosinophilic leucocyte: structure and function. Adv Immunol 1986; 39: 177-253
  2.   Alfani J. Espejo R. Eosinofilia: revisión de sus causas. http://orbita.starmedia.com/~forobioq/art_eosino.html  25  Nov 2004
  3.     Santacroce L, Gagliardi S. Paraneoplastic síndromes. http://www.emedicine.com/med/topic1747.htm  July 21, 2005
  4.   Pinto A, Aldinucci D, Gloghini A, Zagonel V, Degan M, Perin V, Todesco M, De Iuliis A, Improta S, Sacco C, Gattei V, Gruss HJ, Carbone A. The role of eosinophilsmin the pathobiology of Hodgkin´s desease. Ann Oncol. 1997; 8 Suppl 2: 89-96
  5.     Perez-ArellanoJ. L., Pardo J., Hernández-Cabrera M. et al. Manejo práctico de una eosinofilia. An. Med. Interna (Madrid), mayo 2004, vol.21, no.5, p.44-52. ISSN 0212-7199.
  6.    Lederlin P, Morel O, Witz F, Delgendre A, Guerci A. Pseudoleukemic hupereosinophilia accompamying metastatic malignant hemangioendothelioma of the Heart. Rev Med Interne. 1989 May-Jun;10(3):280-1
  7.  Vincent Lo R , Kevin R. F, Victor A. F, Craig H. S, Plamen M. K, Jay R. K. Hypereosinophilia associated with cardiac rhabdomyosarcoma. . Am. J. Hematol. 2003; 74:64-67
  8.   Bonaventure C, Etienne-Mastroianni B, Alessio A, Scoazec JY, Boillot O, Dumortier. Paraneoplastic hypereosinophilia associated with hepatocellular carcinoma. Gastroenterol Clin Biol. 2003 Dec; 27(12):1167-9. 
  9.  Huber R, Barth H, Schmitt-Graff A, Klein R. Hypereosinophilia induced by high-dose intratumoral and peritumoral mistletoe application to a patient with pancreatic carcinoma. J Altern Complement Med. 2000 Aug;6(4):305-10.
  10. Abali H, Kadri  Altundag  M, Engin H, Özen  Altundag  O, Türker A, Üner A, Huracán S. Hypereosinophilia and metastatic anaplastic carcinoma of Unknown Primary. Med Oncol  2001; 18(4):285-288
  11. Bain B, Pierre P, Imbert M, et al.: Chronic eosinophillic leukaemia and the hypereosinophillic syndrome. In: Jaffe ES, Harris NL, Stein H, et al., eds.: Pathology and Genetics of Tumours of Haematopoietic and Lymphoid Tissues. Lyon, France: IARC Press, 2001. World Health Organization Classification of Tumours, 3., pp 29-31

 

 

Comentarios

- Zurama Eloisa Castro Castro (23/10/2005 0:52:38)

Creo que el Trabajo presentado por los Autores resulta de mucho interes ,ademas de ejemplificar uno de los aspectos de poca frecuencia en las Neoplasias que es la Eosinofilia,esto es inusual pero se ve cuando se activa algun Receptor de Membrana,como el CD 46 ,o metastasis en la Medula Osea de todas maneras felicito a los Autores por sus importante aporte a un Tema en estudio y polemico de por si,

Gracias
Dra. Zurama Castro Castro.

 

 

Web mantenido y actualizado por el Servicio de informática uclm. Modificado: 16/06/2015 15:10:50