Congreso Virtual sobre Anatomía Patológica


Direccion de contacto
fiogf49gjkf0d
Beatriz San Millan Tejado apbea yahoo.com

Varicela hemorrágica en un paciente inmunocompetente.

Beatriz San Millán Tejado*, Mª del Mar Martínez**, Mª Jesús Álvarez Martín*, Francisco Allegue Rodríguez***, Carmen Fachal Bermúdez****
* Servicio de Anatomía Patológica, Complejo Hospitalario Universitario de Vigo; Hospital Meixoeiro ESPAÑA
** Servicio de Medicina Interna, Complejo Hospitalario Universitario de Vigo; Hospital Meixoeiro ESPAÑA
*** Servicio de Dermatología, Complejo Hospitalario Universitario de Vigo; Hospital Meixoeiro ESPAÑA
**** Complejo Hospitalario Universitario de Vigo, Hospital Meixoeiro- Vigo ESPAÑA

Resumen

fiogf49gjkf0d

INTRODUCCIÓN

La infección primaria por virus Varicela Zoster es común en la infancia y cursa generalmente de forma benigna. Tras el acantonamiento del virus en los ganglios sensitivos, la recurrencia en  la edad adulta da lugar al Herpes Zoster.

La infección primaria del adulto es infrecuente y los pocos casos descritos han ocurrido en inmunodeprimidos. Excepcionalmente la varicela afecta a adultos inmunocompetentes, en los que puede cursar con afectación sistémica grave y compromiso vital.

Presentamos un caso de varicela primaria en un adulto inmunocompetente con afectación visceral y evolución rápidamente progresiva y fatal.

 

PRESENTACIÓN DEL CASO

Varón de 59 años ex bebedor importante, que acudió a Urgencias por dolor abdominal de dos días de evolución, náuseas, vómitos y fiebre. Presentaba un rash cutáneo papular eritematoso y pruriginoso en cabeza, tronco y raíces de los miembros, acompañado de petequias en la mucosa oral.

En la analítica destacaban plaquetopenia, alargamiento del tiempo de cefalina, elevación  de GOT y amilasuria.

La inmunofluorescencia directa del exudado de las lesiones confirmó la sospecha clínica de varicela. Se inició el tratamiento con Aciclovir intravenoso, precisando además soporte transfusional, debido el agravamiento de la trombocitopenia. La serología para el virus Varicela Zoster resultó negativa.

A pesar de las medidas terapéuticas el deterioro del paciente fue progresivo, con compromiso de la función hepática y de la coagulación, falleciendo en la UCI, tres días después de su ingreso.

En el examen macroscópico postmortem se evidenció un rash cutáneo pápulo- vesiculoso y exantema purpúrico gingival.

La mucosa esofágica presentaba múltiples úlceras.

El hígado estaba aumentado de tamaño con múltiples lesiones rojizas de aspecto purpúrico y distribución difusa, sobre un parénquima amarillento.

En el estudio histológico destacó la presencia de células gigantes multinucleadas en la epidermis, el epitelio esofágico y el parénquima hepático. En todas estas localizaciones se observaron inclusiones intranucleares eosinófilas con aspecto en vidrio esmerilado, que también se encontraron en las células endoteliales de los capilares esofágicos.

En el parénquima hepático había extensas áreas de necrosis hemorrágica y moderada esteatosis.

El resto de los hallazgos de autopsia no fueron relevantes.

 

DISCUSIÓN

La varicela, típica de la infancia, suele tener un curso benigno. Aunque menos del 2% de los casos de varicela se dan en mayores de 20 años, casi un 25% de la mortalidad se produce en este grupo de edad. La mortalidad está en relación con la afectación visceral, que suele estar asociada al compromiso de la función inmune.

Este caso se corresponde con la denominada varicela hemorrágica, que se considera la forma más grave y letal de esta infección. Se acompaña de una necrosis hemorrágica masiva hepatocitaria, que explica la presentación clínica del paciente, con insuficiencia hepática aguda de evolución fatal.

El paciente  que presentamos no tenía historia de varicela en la infancia ni datos conocidos de inmunosupresión. Dos de sus nietos padecían la enfermedad, y en ambos cursó de forma benigna y autolimitada. Lo inusual de este caso es el desarrollo de insuficiencia hepática aguda por varicela en un paciente inmunocompetente.


 

Introduccion    

fiogf49gjkf0d

La infección primaria por virus Varicela Zoster es común en la infancia y suele tener un curso benigno. El 90% de los casos de varicela ocurren en menores de 14 años. La infección se adquiere por contacto del virus con la mucosa del tracto respiratorio superior o la conjuntiva ocular. La diseminación del virus a través de las células mononucleares del torrente sanguíneo permite su acceso a la piel, dando lugar al rash generalizado típico de esta enfermedad1. El periodo de incubación medio es de 14 días.

Tras la infección, el virus permanece acantonado en los ganglios sensitivos y después de un largo periodo de latencia, la recurrencia se manifiesta en  la edad adulta, en situaciones de inmunodepresión, por reactivación del virus en forma de Herpes Zoster.

La infección primaria por varicela en el adulto es muy infrecuente. Aunque menos del 2% de los casos de varicela primaria se dan en mayores de 20 años, casi un 25% de la mortalidad por varicela se produce en este grupo de edad. La mortalidad está en relación con la afectación visceral.

La mayoría de los casos de varicela primaria descritos en adultos han ocurrido en sujetos inmunodeprimidos, como postrasplantados, sometidos a terapias inmunodepresoras o afectos de SIDA. En ellos existe riesgo de diseminación de la varicela, que da lugar a lesiones cutáneas extensas, neumonía, hepatitis o encefalitis graves e incluso mortales. Se han descrito además algunos casos de trombocitopenia y púrpura secundarios a varicela. 2

En los adultos inmunocompetentes la varicela primaria es excepcional pero tiene una elevada mortalidad debido a sus graves complicaciones.

Presentamos un caso de varicela primaria en un adulto varón inmunocompetente, sin patología previa conocida y con afectación visceral de progresión rápida y fatal.

 

 

 

 

 

Presentación del caso    

fiogf49gjkf0d

Varón de 59 años sin antecedentes de interés que acudió al servicio de Urgencias de nuestro hospital por presentar dolor abdominal de 2 días de evolución, acompañado de náuseas, vómitos alimentarios y fiebre importante. Posteriormente había aparecido un rash cutáneo papular eritematoso y muy pruriginoso en la cabeza, tronco y raíces de los miembros.

En la analítica sanguínea destacaban plaquetopenia 36000/ml (normal 140000-  450000), ligero alargamiento del tiempo de cefalina 42,2 seg (normal 28-40) y elevación de GOT 664UI/L (normal 1-40). La cifra de amilasa en el sedimento de orina era de 936 U/L (normal 0- 300).

El paciente ingresó para estudio, solicitándose cultivos, serologías y marcadores autoinmunes.

Ante la evolución de las lesiones cutáneas, el diagnóstico de varicela se confirmó mediante la detección del virus con inmunofluorescencia directa en el exudado de las lesiones. Se inició entonces el tratamiento con Aciclovir intravenoso.

Pese a las medidas terapéuticas el paciente sufrió un rápido y progresivo empeoramiento del estado general. La plaquetopenia se agravó y paralelamente se alcanzaron cifras muy elevadas de transaminasas (GOT 3121 UI/L; GPT 913 UI/L; GGT 407 UI/L) y de Fosfatasa Alcalina (878 U/L).

Fue trasladado a la UCI, donde a pesar de las medidas de soporte,  el deterioro hemodinámico fue irreversible, falleciendo tres días después del ingreso.

Se realizó estudio necrópsico. Macroscópicamente se evidenció un exantema cutáneo pápulo- vesiculoso en cabeza, tronco y raíces de miembros y un exantema purpúrico gingival y de la mucosa traqueobronquial.

La mucosa esofágica presentaba múltiples erosiones hemorrágicas (Fig.1).

En el parénquima hepático se objetivaron múltiples lesiones de aspecto hemorrágico y distribución difusa (Fig.2).

Histológicamente, las lesiones cutáneas consistían en vesículas intraepidérmicas con queratinocitos acantolíticos de gran tamaño, algunos multinucleados y con inclusiones intranucleares eosinófilas (Figs.3 y 4). Los queratinocitos del epitelio folicular presentaban alteraciones similares a los de la epidermis. La dermis papilar y reticular presentaba múltiples áreas hemorrágicas (Figs.5 y 6).

El examen histológico del esófago mostró extensas áreas de necrosis de la mucosa y hemorragia de la submucosa. Entre los queratinocitos conservados  había formas bi o multinucleadas con inclusiones eosinófilas intranucleares, similares a las observadas en las lesiones cutáneas (Fig.7).

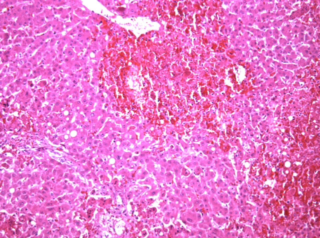
En el hígado había una extensa necrosis difusa de más del 60% del parénquima (Fig.8). La necrosis afectaba de forma aleatoria a las distintas zonas del lobulillo, con hepatocitos transformados en cuerpos eosinófilos anucleados entremezclados con hemorragia y ocasionales infiltrados neutrofílicos. Los escasos hepatocitos conservados en la periferia de las áreas necróticas presentaban inclusiones intranucleares eosinófilas y algunos eran multinucleados. Había además abundantes macrovesículas de contenido lipídico intra y extrahepatocitarias.

No se encontraron otros hallazgos patológicos.

 

 

 

Fig.1 - <div style=fiogf49gjkf0dFig 1.- Erosiones de la mucosa esofágica.">
Fig.1 -

fiogf49gjkf0d
Fig 1.- Erosiones de la mucosa esofágica.


Fig.2 - <div style=fiogf49gjkf0dFig 2.- Lesiones hemorrágicas en el parénquima hepático.">
Fig.2 -

fiogf49gjkf0d
Fig 2.- Lesiones hemorrágicas en el parénquima hepático.


Figs.3 - <div style=fiogf49gjkf0dFig 3.- Vesícula cutánea intraepidérmica. Los queratinocitos presentan multinucleación e inclusiones intranucleares.">
Figs.3 -

fiogf49gjkf0d
Fig 3.- Vesícula cutánea intraepidérmica. Los queratinocitos presentan multinucleación e inclusiones intranucleares.


y 4 - <div style=fiogf49gjkf0dFig 4.- Detalle de varios queratinocitos multinucleados con inclusiones intranucleares en una de las lesiones cutáneas.">
y 4 -

fiogf49gjkf0d
Fig 4.- Detalle de varios queratinocitos multinucleados con inclusiones intranucleares en una de las lesiones cutáneas.


Figs.5 - <div style=fiogf49gjkf0dFig 5.- Piel con vesículas intraepidérmicas y hemorragia dérmica. Se observa afectación del folículo piloso.">
Figs.5 -

fiogf49gjkf0d
Fig 5.- Piel con vesículas intraepidérmicas y hemorragia dérmica. Se observa afectación del folículo piloso.


y 6 - <div style=fiogf49gjkf0dFig 6.- A mayor aumento se observan las alteraciones citopáticas virales tanto en los queratinocitos epidérmicos como en los folículos pilosos.">
y 6 -

fiogf49gjkf0d
Fig 6.- A mayor aumento se observan las alteraciones citopáticas virales tanto en los queratinocitos epidérmicos como en los folículos pilosos.


Fig.7 - <div style=fiogf49gjkf0dFig 7.- Erosión de la mucosa esofágica.">
Fig.7 -

fiogf49gjkf0d
Fig 7.- Erosión de la mucosa esofágica.


Fig.8 - <div style=fiogf49gjkf0dFig 8.- Necrosis hemorrágica hepática .">
Fig.8 -

fiogf49gjkf0d
Fig 8.- Necrosis hemorrágica hepática .




Discusión    

fiogf49gjkf0d

Los síntomas y signos de la varicela típica suelen ser fácilmente reconocibles clínicamente. Sin embargo, en determinadas circunstancias, algunos pacientes pueden tener una infección por virus varicela zoster con síntomas y signos inusuales y complicaciones muy graves e incluso mortales. Afortunadamente,  esta forma de presentación es extremadamente infrecuente. El paciente que presentamos sufrió una forma muy grave de varicela diseminada asociada a insuficiencia hepática y trombocitopenia.

La insuficiencia hepática aguda  en el contexto de una infección diseminada por virus varicela zoster  es extremadamente infrecuente y a menudo tiene una evolución fatal. La mayoría de los casos han sido descritos en inmunodeprimidos por una o varias causas, como esplenectomía, trasplante renal o de médula ósea, terapias corticoideas o SIDA.3 Sin embargo, este  paciente carecía de datos conocidos de inmunosupresión.

La presentación clínica más frecuente en estos casos tiene lugar en forma de lesiones cutáneas, dolor abdominal o de espalda y fiebre.

El rash cutáneo papulo-vesiculoso típico de la varicela puede aparecer antes, al mismo tiempo o después de los síntomas abdominales.4-8 En muchos casos, los síntomas gastrointestinales (náuseas, vómitos y dolor epigástrico) preceden entre 24 y 96 horas a la aparición de las lesiones cutáneas.9-10 También se han descrito algunos casos de hepatitis por varicela sin lesiones cutáneas.11-12  Se considera que el dolor abdominal es debido a la distensión hepática provocada por la hepatitis, pancreatitis o bien que se trata de un dolor de tipo neurogénico.13

El síntoma inicial en este paciente fue el dolor epigástrico severo, previo al desarrollo de las lesiones cutáneas. Las elevadas cifras de transaminasas alcanzadas sugieren que el dolor fuese producido por la hepatitis.

En la afectación hepática por varicela, los pacientes suelen permanecer moderadamente afectados durante unos días  evolucionando después con fallo hepático grave, importantes alteraciones de la coagulación y shock, como ocurrió en este caso.

Se desconoce el mecanismo patogénico de la diseminación visceral fulminante, pero parece estar más relacionado con el compromiso de la función inmune que con la virulencia del virus.

Este paciente no había padecido varicela previamente y no tenía ninguna causa conocida de inmunosupresión. En el momento de su enfermedad dos de sus nietos padecían también varicela; en ambos la enfermedad cursó de forma benigna y autolimitada.

El tratamiento de elección de la varicela diseminada es la administración precoz de Aciclovir 10mg/kg intravenoso durante 7-10 días.3 Este paciente recibió Aciclovir 3 días después del comienzo de los síntomas, pocas horas después de su ingreso, falleciendo un día después de comenzar el tratamiento.

La administración de inmunoglobulinas contra el virus varicela zoster pueden modificar la evolución de la infección pero sólo si se administran durante las primeras 72 horas tras el contagio14 

La mortalidad asociada al fallo hepático por varicela es muy alta. Sólo algunos pacientes han sobrevivido gracias al tratamiento precoz con Aciclovir o al trasplante hepático. 15-16

La extensión de la vacunación contra la varicela permitirá que en un futuro disminuyan las complicaciones de esta infección.17     

 

 

 

 

 

 

 

 

Bibliografía    

 

1 - Arvin AM, Moffat JF, Redman R. Varicella-zoster virus: aspects of pathogenesis and host   response to natural infection and varicella vaccine.
Adv Virus Res. 1996;46:263-309.

 

2 - Maness DL, Rogers DY. Hemorrhagic complications of varicella.
Am Fam Physician. 1987;35:151-5.

3 - Dits H, Frans E, Wilmer A, Van Ranst M, Fevery J, Bobbaers H. Varicella-zoster virus infection associated with acute liver failure.
Clin Infect Dis. 1998;27:209-10.

 

4 - Anderson DR, Schwartz J, Hunter NJ, Cottrill C, Bisaccia E, Klainer AS. Varicella hepatitis: a fatal case in a previously healthy, immunocompetent adult. Report of a case, autopsy, and review of the literature.
Arch Intern Med. 1994;154:2101-6.

 

5 - Nikkels AF, Delvenne P, Sadzot-Delvaux C, Debrus S, Piette J, Rentier B, Lipcsei G, Quatresooz P, Pierard GE. Distribution of varicella zoster virus and herpes simplex virus in disseminated fatal infections.
J Clin Pathol. 1996;49:243-8.

 

6 - Soriano V, Bru F, Gonzalez-Lahoz J. Fatal varicella hepatitis in a patient with AIDS.
J Infect. 1992;25:107.

 

7 - Patti ME, Selvaggi KJ, Kroboth FJ. Varicella hepatitis in the immunocompromised adult: a case report and review of the literature.
Am J Med. 1990;88:77-80

 

8 - Lantner R, Rockoff JB, DeMasi J, Boran-Ragotzy R, Middleton E Jr. Fatal varicella in a corticosteroid-dependent asthmatic receiving troleandomycin.
Allergy Proc. 1990;11:83-7.

 

9 - Os I, Strom EH, Stenehjem A, Gudmundsdottir H, Langberg H, Draganov B, Godoy J, Dunlop O, von der Lippe B. Varicella infection in a renal transplant recipient associated with abdominal pain, hepatitis, and glomerulonephritis.
Scand J Urol Nephrol. 2001;35:330-3.

 

10 - Schiller GJ, Nimer SD, Gajewski JL, Golde DW. Abdominal presentation of varicella-zoster infection in recipients of allogeneic bone marrow transplantation.
Bone Marrow Transplant. 1991;7:489-91.

  

11 - Rogers SY, Irving W, Harris A, Russell NH. Visceral varicella zoster infection after bone marrow transplantation without skin involvement and the use of PCR for diagnosis.
Bone Marrow Transplant. 1995;15:805-7.

 

12 - Ross JS, Fanning WL, Beautyman W, Craighead JE. Fatal massive hepatic necrosis from varicella-zoster hepatitis. Am J Gastroenterol. 1980;74(5):423-7.

 

13 - Lee S, Ito N, Inagaki T, Okajima T, Muramatsu A, Ito Y, Dojo M, Yamazaki Y, Azuma T, Kuriyama M. Fulminant varicella infection complicated with acute respiratory distress syndrome, and disseminated intravascular coagulation in an immunocompetent young adult.
Intern Med. 2004;43:1205-9.
 
14 - Sherman RA, Silva J Jr, Gandour-Edwards R. Fatal varicella in an adult: case report and review of the gastrointestinal complications of chickenpox.
Rev Infect Dis. 1991;13:424-7.

 

15 - Morales JM. Successful acyclovir therapy of severe varicella hepatitis in an adult renal transplant recipient.
Am J Med. 1991;90:401

 

16 - Tojimbara T, So SK, Cox KL, Berquist WE, Egawa H, Garcia-Kennedy R, Esquivel CO. Fulminant hepatic failure following varicella-zoster infection in a child. A case report of successful treatment with liver transplantation and perioperative acyclovir.
Transplantation. 1995;60:1052-3.

 

17 - Gnann JW Jr. Varicella-zoster virus: atypical presentations and unusual complications.
J Infect Dis. 2002;186:S91-8.

 

 

 

Comentarios

- Joan Francesc Garcia Fontgivell (29/10/2005 11:19:04)

recientemente he podido participar en una autopsia de un paciente que mostro unos hallazgos similares, tambien con afectacion hepática en forma de necrosis cetrolobelar con celulas tipicas de herpesvirus ademas de la afectacion cutania, esofagica y de medula ossea; la diferecia es que en nuestro caso se trataba de un paciete con sindrome de evans tratado con inmuosupresores y esplenectomia. buen trabajo

- Manuel Diaz-Marta Puentes (23/01/2012 9:18:06)

1

- Manuel Diaz-Marta Puentes (23/01/2012 9:18:06)

1

- Manuel Diaz-Marta Puentes (23/01/2012 9:18:06)

1

- Manuel Diaz-Marta Puentes (24/01/2012 3:18:24)

1

- Manuel Diaz-Marta Puentes (24/01/2012 3:18:25)

1

- Manuel Diaz-Marta Puentes (24/01/2012 3:18:25)

1

 

 

Web mantenido y actualizado por el Servicio de informática uclm. Modificado: 16/06/2015 15:10:50