Congreso Virtual sobre Anatomía Patológica


Direccion de contacto
fiogf49gjkf0d
androl42@hotmail.com

Fibromatosis difusa de tipo desmoide post- embolización uterina

Andrea Caamaño Bolaños*, Maritza Maritza Valdés Gutiérrez*
* Caja Costarricense de Seguro Social Hospital San Juan de Dios San José, Costa Rica COSTA RICA

Resumen

fiogf49gjkf0d

Femenina de  41 años, sin Antecedentes personales patológicos, que consulta al hospital  en enero  del 2004 por Metrorragias, documentándose ultrasonográficamente leiomiomatosis  uterina. Se da manejo sintomático y se refiere a consulta externa,  donde es incluida  en el Protocolo de Embolización Supraselectiva de Arterias Uterinas. El procedimiento se realiza  en marzo del 2004 sin complicaciones aparentes.

28  días post embolización paciente ingresa al hospital por persistencia de dolor pélvico difuso el cual inicio 7 días posteriores a la embolización y  se documenta ascitis.

Por persistir con sangrado transvaginal se   considera embolización fallida y se lleva a Sala de operaciones  con el diagnóstico preoperatorio de Miomatosis uterina post embolización y ascitis.  En Sala de Operaciones se documenta epiplón acartonado y liquido ascítico importante. Se realiza histerectomía, omenectomía y liberación de adherencias y se toma una biopsia la cual se reporta como mesenteritis retráctil.

Paciente persiste con dolor abdominal y distensión de asas intestinales, se da  tratamiento sintomático y se egresa  en el postoperatorio # 9

El día  60 post embolización paciente persiste con dolor abdominal documentándose en Rx de Abdomen imagen en mordisco con suboclusión intestinal. Reingresando nuevamente. Cursa con evolución torpida  y  Fallece

Se realiza autopsia del caso encontrando Fibromatosis  difusa similar a tipo desmoide secundaria a embolización arterial  con polivinil alcohol con compromiso abdominal y pulmonar. Además se documenta micosis sistémica  de tipo candidiasis  y datos de shock mixto (séptico y hemodinámica).

En conclusión el caso corresponden a  el único reporte  que existe a la fecha de fibromatosis difusa tipo desmoide abdominal y pulmonar  secundaria a  embolización  de arterias uterinas con polivinil alcohol.

 


 

Introduccion    

fiogf49gjkf0d
En el Hospital San Juan de Dios de San José, Costa Rica. A partir de el año 2003 se realizaron en el servicio de Ginecologìa  un total de 36  embolizaciones de arterias uterinas para el tratamiento de miomatosis , con un exito quirúrgico del 100% y con mejoría clìnica en la mayoría de los casos; si embargo, se presentaron dos casos de complicaciones mayores entre  las cuales figuró la presencia de un leiomiosarcoma   y  un caso de fibromatosis de tipo desmoide con muerte de la paciente 4 meses posterior al procedimiento

 

Hospital San Juan de Dios, San José- Costa Rica - <div style=fiogf49gjkf0d">
Hospital San Juan de Dios, San José- Costa Rica -

fiogf49gjkf0d




Justificación    

fiogf49gjkf0d

Se realiza la presentación del caso clínico correspondiente a   presencia de Fibromatosis difusa de tipo Desmoide secundaria a embolización de arterias uterinas para el tratamiento de miomas en una paciente de 41 años asì como una breve revisión de la literatura relacionada.

 

Reporte de caso    

fiogf49gjkf0d

Paciente femenina de 41 años G2P2  sin Antecedentes  personales no patológicos, con Antecedente personal patológico de sangrado transvaginal por lo cual se ingresa en enero del 2004 al centro hospitalario y se le diagnóstica  miomatosis uterina, se egresa en esa ocasión con tratamiento hormonal

Segundo ingreso: dos meses posterior ( marzo 2004) paciente es ingresada nuevamente por Sangrado transvaginal, se incluye en protocolo para embolización de arterias uterinas (EMBAU), se realiza  el procedimiento el 4 de marzo del 2004 sin complicaciones aparentes; se egresa el día posterior al procedimiento.

Tercer ingreso: un mes posterior a la EMBAU paciente persiste con dolor pélvico, se cataloga como Síndrome post embolización, se realiza ultrasonido abdominal que evidencia líquido libre en cavidad y abdomen doloroso a la exploración. Se lleva a Sala de Operaciones el 5 de abril y se documenta “proceso inflamatorio severo” se realiza histerectomía abdominal total con liberación de adherencias, Se documenta en el útero leiomiomas uterinos con áreas extensas de necrosis con presencia del material utilizado en la embolización, (figuras 1,2,3, y 4). También se realizó una biopsia de peritoneo en donde se evidención proceso inflamatorio y fibrótico con proliferación de fibroblastos y atropamiento de la grasa catalogado como mesenteritis retráctil (figura 5).Tres días posterior al nuevo procedimiento quirúrgico paciente presenta  ileo paralítico el cual cede; paciente en  buenas condiciones días posteriores por lo cual se egresa.

Cuarto ingreso: dos meses posterior a EMBAU (mayo 2004). Paciente es ingresada  por suboclusión intestinal.Rx de abdomomen evidencia  niveles hidroaéros, se maneja el caso como ileo paralítico. Se egresa la paciente en buenas condiciones generales.

Último ingreso una semana posterior al ingreso previo, (mayo 2004). Paciente se ingresa por  dolor abdominal , ultrasonido muestra masa indefinida retroperitoneal abdominal para aórtica gigante ,  Tomografía axial computarizada (TAC) confirma la presencia de masa retroperitoneal, se realiza biopsia el 2 de junio que documenta peritoneo con fibrosis y reacción  crónica granulomatosa. Se maneja como posibilidad diagnóstica que el caso se trate de una fibromatosis peritoneal.  Paciente  con empeoramiento de su condición clínica, es ingresada a al Unidad de Cuidados Intensivos  por cuadro de dificultad respiratoria. Una semana después es llevada a Sala de Operaciones por oclusión intestinal, se encuentra  “ Abdomen congelado con fibromatosis extensa”. Días posteriores paciente hace cuadro de Sangrado Digestivo alto por úlcera duodenal. Paciente fallece el 4 de julio bajo el diagnóstico clínico de Fibromatosis intraperitoneal avanzada.

 

Hallazgos de Autopsia:

Paciente en estado caquéxico con líquido fétido en cavidad abdominal así como la presencia de una gran masa emplastronada de tejido fibroso que envolvía  asas intestinales, mesenterio, intestino grueso, páncreas, conductos biliares, cápsula renal,hígado y vasos sanguíneos( figura 6). Otros hallazgos fueron la presencia de abscesos subfrénicos  y renales. El diafragma mostraba engrosamiento fibrótico con adherencia al pericardio y a ambas pleuras. El análisis macroscópico de los ganglios intertraqueobronquiales mostraron sustitución fibrótica de su estroma  y  al corte los pulmones  y  la tiroides mostraron nódulos de tejido blanco amarillento de consistencia firme en su parénquima( figura 7 y 8).

Se realizó análisis histopatológico del caso evidenciado extensa proliferación de tejido fibrótico con  esclerosis  extensa  y  formación de nódulos de  fibroblástos en diferentes estadíos de maduración que involucraban todas las áreas  anteriormente mencionadas( figuras 9 y 10). Se documentó la presencia del material   utilizado en la embolización (polivinil-alcohol) en  un vaso sanguineo y en el estroma  renal rodeado de reacción inflamatoria de tipo cuerpo extraño y fibosis( figura 11). No se documentó la presencia del material en  el tejido emplastronado ni en los nódulos pulmonares. Otros hallazgos fueron la presencia de una candidiasis sistémica secundaria a su  estado de inmunocompromiso y el uso de esteroides en el estadío final de su internamiento( figura 12).

 

Leiomioma con necrosis coagulativa - <div style=fiogf49gjkf0dfigura 1. Leiomioma con extensa necrosis coagulativa secundaria a embolización con polivinil alcohol, hematoxilina y eosina">
Leiomioma con necrosis coagulativa -

fiogf49gjkf0d
figura 1. Leiomioma con extensa necrosis coagulativa secundaria a embolización con polivinil alcohol, hematoxilina y eosina


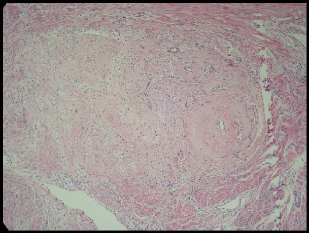
Polivinil alcohol en arterias uterinas - <div style=fiogf49gjkf0dfigura 2. Presencia de partículas (PVA) en las arterias uterinas, rodeado de reacción inflamatoria de tipo cuerpo extraño, hematoxilina y eosina.">
Polivinil alcohol en arterias uterinas -

fiogf49gjkf0d
figura 2. Presencia de partículas (PVA) en las arterias uterinas, rodeado de reacción inflamatoria de tipo cuerpo extraño, hematoxilina y eosina.


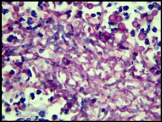
detalle micropartículas polivinil alcohol - <div style=fiogf49gjkf0dfigura 3. Detalle a mayor aumento de las micropartículas de PVA en el interior de los vasos sanguíneos uterinos, tinción PAS alcian blue">
detalle micropartículas polivinil alcohol -

fiogf49gjkf0d
figura 3. Detalle a mayor aumento de las micropartículas de PVA en el interior de los vasos sanguíneos uterinos, tinción PAS alcian blue


reacción fibroblástica  local - <div style=fiogf49gjkf0dfigura 4. Presencia de reacción fibroblastica en la serosa y vasos arteriales uterinos al momento de la histerectomía, hematoxilina y eosina">
reacción fibroblástica local -

fiogf49gjkf0d
figura 4. Presencia de reacción fibroblastica en la serosa y vasos arteriales uterinos al momento de la histerectomía, hematoxilina y eosina


Mesenteritis retráctil - <div style=fiogf49gjkf0dfigura 5: Proceso inflamatorio y fibrótico en peritoneo catalogado como Mesenteritis Retráctil, hematoxilina y eosina">
Mesenteritis retráctil -

fiogf49gjkf0d
figura 5: Proceso inflamatorio y fibrótico en peritoneo catalogado como Mesenteritis Retráctil, hematoxilina y eosina


Plastrón abdominal - <div style=fiogf49gjkf0dfigura 6. Emplastronamiento de asas intestinales por proceso fibrótico extenso">
Plastrón abdominal -

fiogf49gjkf0d
figura 6. Emplastronamiento de asas intestinales por proceso fibrótico extenso


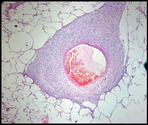
Nódulos pulmonares - <div style=fiogf49gjkf0dfigura 7. Nódulos fibróticos en la superficie pulmonar peripleurales">
Nódulos pulmonares -

fiogf49gjkf0d
figura 7. Nódulos fibróticos en la superficie pulmonar peripleurales


Detalle nódulos pulmonares - <div style=fiogf49gjkf0dfigura 8. Múltiples nódulos fibróticos en el parénquima pulmonar.">
Detalle nódulos pulmonares -

fiogf49gjkf0d
figura 8. Múltiples nódulos fibróticos en el parénquima pulmonar.


Fibromatosis de tipo desmoide - <div style=fiogf49gjkf0dfigura 9. Extenso procesó fibrótico involucrando asas intestinales y parénquima pulmonar.">
Fibromatosis de tipo desmoide -

fiogf49gjkf0d
figura 9. Extenso procesó fibrótico involucrando asas intestinales y parénquima pulmonar.


Fibromatosis tipo Desmoide - <div style=fiogf49gjkf0dfigura 10. Proceso fibrótico involucrando parénquima pulmonar">
Fibromatosis tipo Desmoide -

fiogf49gjkf0d
figura 10. Proceso fibrótico involucrando parénquima pulmonar


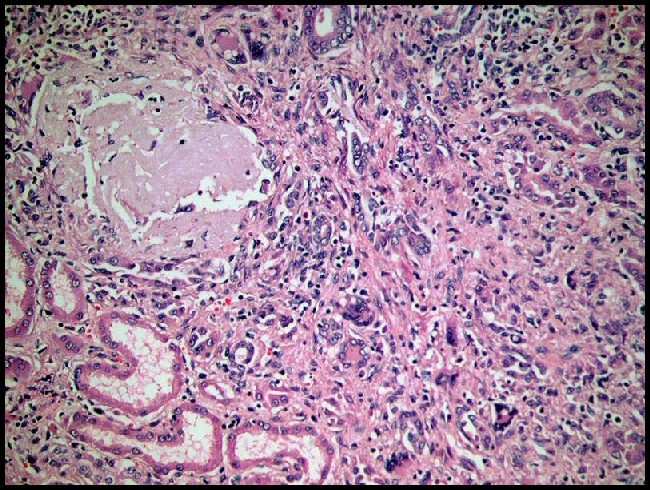
PVA  en Riñón - <div style=fiogf49gjkf0dfigura 11.Presencia del material de embolización en arteria y parénquima renal rodeado de reacción inflamatoria de tipo cuerpo extraño, hematoxilina y eosina">
PVA en Riñón -

fiogf49gjkf0d
figura 11.Presencia del material de embolización en arteria y parénquima renal rodeado de reacción inflamatoria de tipo cuerpo extraño, hematoxilina y eosina


Candidiasis sistémica - <div style=fiogf49gjkf0dfigura 12. Candidiasis sistémica como evento final contribuyente a la muerte de la paciente">
Candidiasis sistémica -

fiogf49gjkf0d
figura 12. Candidiasis sistémica como evento final contribuyente a la muerte de la paciente




Discusión    

fiogf49gjkf0d

La embolización percutánea transcateter es una técnica nueva altamente efectiva  para el control de  una amplia variedad  de enfermedades entre ellas el el sangrado uterino secundario a leiomiomas1. La primera ocasión en la que se utilizó esta técnica para el tratamiento de miomas uterinos fue en  1989 por Jean Jacques Merland y colaboradores  en Paris2.  El procedimiento consiste en la introducción  guiada por  angiografía de  partículas pequeñas de Polivinil Alcohol (PVA) inyectadas en las arterias uterinas que ocasionan disminución del flujo sanguíneo  con reducción del  tamaño tumoral8. Inicialmente  para el procedimiento se utilizaba  PVA un agente semipermanente oclusivo con limitado potencial de recanalización, el cual está formado por  micro partículas entre 150-300  a 500-700 um; sin embargo, se han  visto mayor frecuencia  complicaciones relacionadas con fenómenos isquémicos globales uterinos con   dolor pélvico en los casos en que se utilizaron  las partículas de menor tamaño, por lo cual se ha preferido el uso de partículas de 500-700 um. Actualmente, se utilizan también  otros productos para la embolización  como lo son  las microesferas de Tris-acryl de más fácil inyección en el microcatéter y otros productos como  las  esponjas de gelatina(gelfoam), el procedimiento suele ser muy seguro con bajos índices de recurrencia de los leiomiomas10.

 A la fecha, varios estudios muestran que la embolización de arterias uterinas es efectiva para el control de síntomas como menorragia, dismenorrea, frecuencia urinaria, dispaurenia, infertilidad  y sangrado posparto entre otros2, el procedimiento se contraindica de forma absoluta en el embarazo y de forma relativa  en estados sépticos como  salpinguitis crónica y endometritis, presencia de quistes ováricos y endometriosis ante el incremento en el posible riesgo de infección post embolización7.

A pesar de ser  un procedimiento relativamente seguro se han documentado  algunas complicaciones como reacciones  al medio de contraste, hematomas, ruptura de arterias uterinas, perforación, tromboembolismo y síndrome post embolización.  Las complicaciones mayormente encontradas suelen ser dolor post operatorio y sepsis9; algunas complicaciones de significativa morbilidad encontradas  en la literatura  son la presencia de  Infecciones pélvicas y Oclusión intestinal3, también se ha reportado la formación de fístulas vesicouterinas4 y un caso de edema generalizado en una paciente que presentó oliguria posterior al procedimiento y a la cual se le suministraron líquidos intravenosos5.

 Hasta el momento, no se tienen reportes  en la literatura de  un cuadro de Fibromatosis Difusa tipo Desmoide como complicación  de este procedimiento, por lo cual debemos hacer referencia al principal  diagnóstico diferencial  de esta entidad; el Tumor Desmoide Abdominal.

 El Tumor Desmoide, también llamado Fibromatosis Musculoaponeurótica es una proliferación de tejido fibroso localizada en los tejidos blandos profundos ya sea de abdomen o menos frecuentemente en pelvis; suele ser más frecuente en mujeres en periodo de embarazo y posterior a éste, se ha asociado con  traumatismo previo y con  otras entidades clínicas relacionadas con  anormalidades del tejido conectivo12, cuando se presenta en abdomen suele involucrar la musculatura de la pared abdominal anterior,  y cuando se  documenta el caso en pelvis, suele  encontrarse como una masa mal definida que no  produce metástasis pero que  es invasiva localmente, con índices de recurrencia entre el 20-60% de los casos11. En nuestro caso, la clínica mostrada por la paciente y la relación directa de la aparición del los síntomas posterior al procedimiento, así como la ausencia de historia de trauma, o niveles  hormonales alterados van en contra de que   el caso corresponda a  un Tumor Desmoide primario, además la presencia de lesiones en tiroides y  pulmones  descartan que el caso corresponda a esta entidad  histopatológica.

.

 

Conclusiones    

fiogf49gjkf0d
Para finalizar la presentación del caso, sobre el por qué  de que esta paciente  presentara  una Fibromatosis Difusa tipo Desmoide como complicación fatal posterior a la embolización de arterias uterinas, no tenemos una respuesta objetiva; sin embargo, si especulamos un poco sobre  el trasfondo fisiopatológico, podríamos suponer que  esta complicación se presentara ya sea por la persistencia de una comunicación vascular anómala entre las arterias uterinas y la circulación sistémica, no visualizada en la arteriorgrafía y que llevara a un embolismo sistémico de micropartículas de Polivinil Alcohol (PVA); o bien, más posiblemente a que el sistema inmune de la paciente reaccionara de forma “exagerada” ante el agente extraño  produciendo una liberación desordenada de mediadores químicos que llevaran en última instancia  a una reacción fibroblástica  incontrolada sistémica

 

Agradecimientos    

fiogf49gjkf0d
Agradecemos al doctor Ernesto Jiménez Montero, Jefe del Servicio de Anatomía Patológica del Hospital San Juan de Dios, Costa-Rica y al doctor Juan José Segura Fonseca, Patólogo Asistente del Servicio por la coolaboración que nos brindaron para la elaboración de este trabajo.
Agradecemos también al Dr Oscar Cerdas, Ginecólogo del Hospital San Juan de Dios, coordinador de el Protocolo de EMBAU por la información suministrada para completar  el reporte.

 

Bibliografía    

1. Colgan, Terence J, et al. Pathologic Features of Uteri and Leiomyomas Following Uterine Artery Embolization for   Leiomyomas. Am J Surg Pathol 2003; 27(2): 167-77,

2. Tommaso Lupattelli y otros. Percutáneos uterine artery embolization for the treatment of symptomatic fibroids: a current status. Eur J of Radiol 2005; 54 (1):136-47.

3. Payne, John F, et al. Serious Complications of uterine artery embolization for conservative treatment of fibroids. Fert and  Sterility.January 2003; 79 (1): 128-30.

4. Sultana Carmen J, et al. Vesicouterine fistula after  uterine artery embolization: a case report: Gynecol 2002; 187: 1726-7

5.Takeda Takashi et al.  A case of Generalizado oedema secondary to uterine artery embolisation for leiomiomata. BJOG: an International Journal of Obstetrics and Gynaecology. February 2004; 111: 179-80.

6. Worthington-Kirsch, Robert L et  al. Polivinyl alcohol particle size for uterine artery embolization. Radiology 2000; 218 (2): 605

7. Colgan, Terence J, et al. Pathologic Features of Uteri and Leiomyomas Following Uterine Artery Embolization form Leiomyomas. Am J Surg Pathol 2003; 27(2): 167-77,

8. Caht Gurkan et al. Uterine artery embolization to control bleeding alter myomectomy. Acta Obstet Gynecol Scand 2005; 84: 606-7.

9. Sang Wook et al. Uterine Arterial Embolization for the Treatment of Uterine Leiomyomas.  Sang Wook et al. Uterine Arterial Embolization for the Treatment of Uterine Leiomyomas. Yonsei Medical Journal  2002. vol 43(3): 346-50.

10. Marret H, Cottier JP  et al. Predictive factors for fibroids recurrence after uterine artery embolisation. BJOG.2005 Apr;112(4):461-5.

11.Simon, Nancy L, et al. Pelvic Fibromatosis: an unusual gynecologic tumor. Obstet Gynecol. May 2005;

 65(5): 767-9.

12. Haÿry Pekka, et al. The Desmoid Tumor. AJCL Jun 1982; 77(6); 674-80.

 

Comentarios

- ELSIE BEATRIZ PICOTT RANGEL (13/10/2005 20:19:32)

Excelentes fotos y lindo detalle el de mostrar su hospital

- Juan Pablo Garcia de la Torre (20/10/2005 12:26:38)

Interesante caso y probablemente debido a una respuesta inmune excesiva por cuerpo extraño. Saludos.

 

 

Web mantenido y actualizado por el Servicio de informática uclm. Modificado: 16/06/2015 15:10:50