Congreso Virtual sobre Anatomía Patológica


Direccion de contacto
fiogf49gjkf0d
Departamento Anatomía Patológica. Hospital Virgen Macarena. Avd Dr Fedriani sn. 41009 Sevilla. España jjrios@supercable.es

CARCINOMA NEUROENDOCRINO CUTÁNEO PRIMARIO CON DIFERENCIACIÓN DIVERGENTE

Juan José Ríos Martín*, Antonio Miguel García Escudero*, Alberto Hevia Vázquez*, Ricardo González Cámpora*
* Departamento de Anatomía Patológica. Hospital Universitario Virgen Macarena. Sevilla ESPAÑA

Resumen

fiogf49gjkf0d

El carcinoma neuroendocrino primario cutáneo (CNPC) (carcinoma de células de Merkel) es una neoplasia de pacientes de edad avanzada, generalmente localizada en las áreas expuestas al sol. Un tercio de los casos presenta recurrencias locales, en más del 75% metastatizan en ganglios linfáticos y en algo más del 30% existen metástasis a distancia.  El estudio histológico de los casos habituales demuestra una proliferación (difusa, sólida o trabecular) de células redondeadas, uniformes y de pequeño tamaño. En raras ocasiones, se han descrito casos con diferenciación glandular, escamosa, melanocítica, muscular y otros con patrón de “fibroxantoma atípico” y de “linfoepitelioma”.

Presentamos el caso de un varón de 74 años de edad, fumador importante, que consultó en el año 2000 por presentar dos lesiones cutáneas exofíticas en la región anterior del tórax, de rápido crecimiento en las semanas previas. El estudio histológico e inmunohistoquímico (positividad con citoqueratina 20, sinaptofisina y cromogranina B) demostró un CNPC. La peculiaridad del caso radica en la presencia de áreas glandulares y escamosas, dato que junto a la localización en el tórax de un paciente fumador, la impresión clínica de metástasis y la amplia invasión vascular linfática, plantea el diagnóstico diferencial con una metástasis cutánea de un carcinoma neuroendocrino de pulmón. 5 años después el paciente está vivo y libre de enfermedad.


 

Presentación del caso    

fiogf49gjkf0d
Historia clínica: paciente varón de 74 años de edad, fumador importante, que consultó en el año 2000 por presentar dos lesiones cutáneas exofíticas en la región anterior del tórax, de rápido crecimiento en las semanas previas (fig. 1). Los estudios de laboratorio y de imagen (Rx  y TAC de tórax y abdomen) no revelaron alteraciones significativas. Las lesiones fueron extirpadas con la sospecha de metástasis cutánea de neoplasia sistémica. 5 años después el paciente está vivo y libre de enfermedad.
 
Descripción microscópica: el estudio histológico de ambas lesiones demuestra un carcinoma de células pequeñas que ulcera la epidermis, infiltra dermis e hipodermis e invade vasos linfáticos. La parte superficial de la neoplasia presenta un crecimiento difuso a expensas de células pequeñas y de tamaño intermedio (fig. 2). Además, se identifican focos de diferenciación escamosa (fig. 3) y áreas glandulares tapizadas por epitelio cúbico mucosecretor (fig. 4 y 5), adoptando una morfología que simula un carcinoma mucoepidermoide (fig. 6). También se advierten zonas con patrón angiomatoide, con formación de lagos hemáticos revestidos por células neoplásicos de mayor tamaño.

El estudio inmunohistoquímico demostró positividad para citoqueratina 20 (fig. 7), con el característico patrón paranuclear en las células pequeñas-intermedias, AME, sinaptofisina (fig. 8) y cromogranina. Las áreas glandulares eran positivas para CEA (fig. 9). El factor de transcripción tiroideo-1 (TTF-1) fue negativo.

 

 - <div style=fiogf49gjkf0d">
-

fiogf49gjkf0d


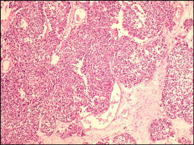
 - <div style=fiogf49gjkf0dCarcinoma de células pequeñas.">
-

fiogf49gjkf0d
Carcinoma de células pequeñas.


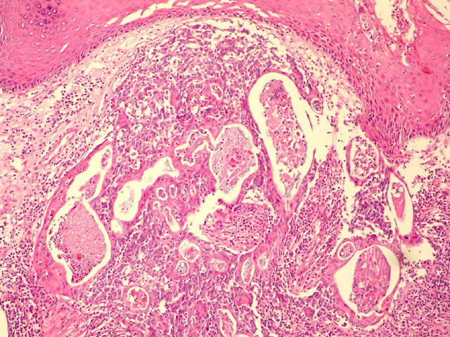
 - <div style=fiogf49gjkf0dÁreas de diferenciación escamosa">
-

fiogf49gjkf0d
Áreas de diferenciación escamosa


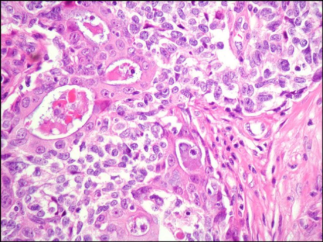
 - <div style=fiogf49gjkf0dÁreas de diferenciación glandular">
-

fiogf49gjkf0d
Áreas de diferenciación glandular


 - <div style=fiogf49gjkf0dDetalle de las áreas glandulares junto a grupos de células pequeñas">
-

fiogf49gjkf0d
Detalle de las áreas glandulares junto a grupos de células pequeñas


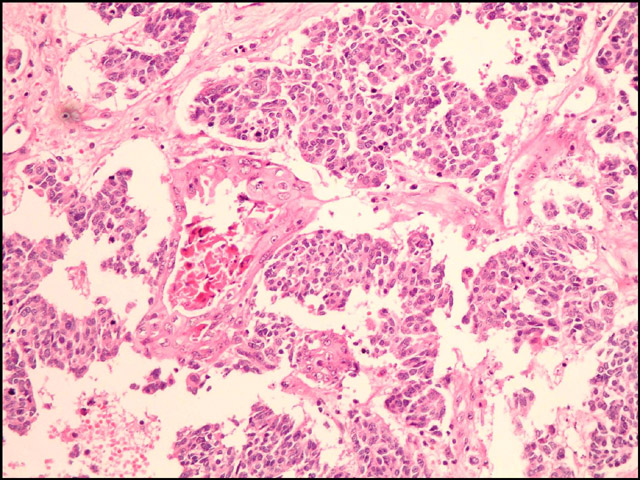
 - <div style=fiogf49gjkf0dÁreas de predominio glandular con nidos escamosos (patrón mucoepidermoide)">
-

fiogf49gjkf0d
Áreas de predominio glandular con nidos escamosos (patrón mucoepidermoide)


 - <div style=fiogf49gjkf0dPositividad paranuclear con citoqueratina 20 en las células pequeñas">
-

fiogf49gjkf0d
Positividad paranuclear con citoqueratina 20 en las células pequeñas


 - <div style=fiogf49gjkf0dPositividad con sinaptofisina en células pequeñas adyacentes a elementos glandulares">
-

fiogf49gjkf0d
Positividad con sinaptofisina en células pequeñas adyacentes a elementos glandulares


 - <div style=fiogf49gjkf0dPositividad con CEA en las áreas glandulares">
-

fiogf49gjkf0d
Positividad con CEA en las áreas glandulares




Discusión    

fiogf49gjkf0d

El carcinoma neuroendocrino primario cutáneo (CNPC) es una neoplasia de pacientes de edad avanzada, generalmente localizada en las áreas expuestas al sol. Un tercio de los casos presenta recurrencias locales, en más del 75% metastatizan en ganglios linfáticos y en algo más del 30% existen metástasis a distancia. Se han descrito casos de regresión espontánea del tumor. El estudio histológico de los casos habituales demuestra una proliferación (difusa, sólida o trabecular) de células redondeadas y uniformes, de pequeño tamaño, escaso citoplasma y núcleo vesicular con varios nucleolos. Las figuras de mitosis y de apoptosis suelen ser numerosas. En ocasiones, los núcleos pueden ser de mayor tamaño o fusiformes. La peculiaridad del caso presentado es la presencia de áreas glandulares y escamosas, dato que junto a la localización en el tórax de un paciente fumador, la impresión clínica de metástasis y la amplia invasión vascular linfática, nos hizo pensar que se tratase de una metástasis cutánea de un carcinoma neuroendocrino de pulmón. La ausencia de lesión pulmonar en la TAC, los 4 años de seguimiento sin noticias de otra patología y la negatividad para TTF-1 (factor de transcripción tiroideo 1) nos permite descartar esta posibilidad. En este sentido, hay que tener en cuenta que positividad paranuclear con CK-20 está presente en el 3-5% de carcinomas de células pequeñas de pulmón, y el marcador TTF-1 presenta una especificidad del 100% en dichos carcinomas. Recientemente, se ha descrito una intensa reacción en los CNPC con el marcador de adhesión celular NCAM (CD56), expresión, que a diferencia de lo que ocurre en carcinomas microcíticos de pulmón y en el mieloma múltiple, no tiene significación pronóstica.

 

            En los CNPC se ha descrito, incluso, diferenciación glandular, escamosa y melanocítica en un mismo tumor, hallazgo que llevó a los autores a postular un origen de esta neoplasia en células primitivas pluripotenciales de la piel. También se han descrito casos con diferenciación a músculo esquelético y a músculo liso; y otros con patrón de “fibroxantoma atípico” y de “linfoepitelioma”. Estos casos con infiltración linfoide se han relacionado con regresión tumoral. Así mismo, se ha descrito un caso originado en un quiste epidérmico y otro asociado a un quiste tricolémico. Otra peculiaridad observada en el caso descrito son las áreas con patrón angiomatoide (hallazgo no referido en la literatura consultada). La afectación de la epidermis por esta neoplasia es un hallazgo infrecuente, aunque se han descrito casos con compromiso exclusivamente epidérmico.

 

            Las características relacionadas con un peor pronóstico son: tamaño tumoral > 5 mm, invasión del tejido adiposo subcutáneo, patrón de crecimiento difuso y denso infiltrado inflamatorio linfocitario. En nuestro caso, sorprende la evolución indolente de la neoplasia (4 años de seguimiento) a pesar de cumplir tres de los criterios de mal pronóstico y de no haber recibido ningún tratamiento posquirúrgico (en especial, radioterapia). No se han descrito diferencias en el pronóstico entre los pacientes con CNPC puros y aquellos con CNPC combinados con otros tumores. 

 

Bibliografía    

1 - Foschini MP, Eusebi V. Divergent differentiation in endocrine and nonendocrine tumors of the skin. Semin Diagn Pathol 2000; 17:162-8.

 

2 - Mott RT, Smoller BR, Morgan MB. Merkel cell carcinoma: a clinicopathological study with prognostic implications. J Cutan Pathol 2004; 31:217-223.

 

3 - Skelton HG, Smith KJ, Hitchock et al. Merkel cell carcinoma: analysis of clinical, histologic, and immunohistologic features of 132 cases with relation to survival. J Am Acad Dermatol 1997; 37:734-9.

 

4 - Gould E, Albores-Saavedra J, Dubner B, Smith W, Payne CM. Eccrine and squamous differentiation in Merkel cell carcinoma. An immunohistochemical study. Am J Surg Pathol 1988; 12:768-772.

 

5 - Byrd-Gloster AL, Khoor A, Glass LF et al. Differential expression of thyroid transcription factor 1 in small cell lung carcinoma and Merkel cell tumor. Hum Pathol 2000; 31:58-62.

 

6 - Walsh NM. Primary neuroendocrine (Merkel cell) carcinoma of the skin: morphologic diversity and implications thereof. Hum Pathol 2001; 32:680-9.

 

Comentarios

- Fernando Pinedo Moraleda (13/10/2005 23:21:42)

Tal y como señalasteis en vuestra comunicación se han descrito áreas de diferenciación glandular y escamosa en los carcinomas de células de Merkel.
En cuanto al empleo del término “diferenciación mucoepidermoide” creo que puede resultaros clarificador un artículo reciente de Riedlinger et al, que revisa los carcinomas mucoepidermoides de la piel y sus diferencias con el carcinoma adenoescamoso.
A nivel cutáneo, esta neoplasia sería “similar si no idéntica en la mayoría de sus aspectos al carcinoma mucoepidermoide de la glándula salivar” (Riedlinger et al). Así, siguiendo la definición de Ellis et al en el fascículo de la AFIP de tumores de glándulas salivares sería una neoplasia con “proporciones variables de células mucinosas, epidermoides, intermedias, cilíndricas y claras, demostrando un crecimiento quístico prominente”.
La diferenciación con el carcinoma adenoescamoso se basaría, fundamentalmente, según estos mismos autores, en que el carcinoma mucoepidermoide estaría constituído por lóbulos de células escamosas de bajo grado acompañados de células mucígenas, intermedias y claras, mientras que el adenoescamoso sería una combinación de una neoplasia escamosa y glandular, con datos histológicos de grado intermedio-alto.
Aunque teoricamente podrían existir en la piel carcinomas mucoepidermoides de grado bajo, intermedio y alto, de los ocho casos revisados por Riedlinger et al sólo uno se podía considerar de alto grado.

Volviendo a vuestro caso, y aunque siempre resulta difícil valorar algunos detalles mediante el examen de las microfotografías, parece claro que se observan células mucosas, epidermoides, intermedias y cilíndricas, por lo que podría hablarse ciertamente de “diferenciación mucoepidermoide”. Más complicado resulta establecer el grado histológico de dicho componente, aunque, al menos en las microfotografías con las que ilustráis el caso, no parecen observarse criterios de alto grado como anaplasia, elevado índice mitósico, invasión neural o necrosis.

En resumen, me parece que el caso que habéis presentado reúne criterios para poder utilizar el término diferenciación mucoepidermoide en el seno de un carcinoma de células de Merkel sin infringir los criterios histológicos que habitualmente empleamos.

Enhorabuena por la comunicación y por la propuesta terminológica.

Un saludo,

Fernando Pinedo
Unidad de Anatomía Patológica
Fundación Hospital Alcorcón (Madrid)

Bibliografía

- Riedlinger WF, Hurley MY, Dehner LP, Lind AC. Mucoepidermoid carcinoma of the skin: a distinct entity from adenosquamous carcinoma: a case study with a review of the literature. Am J Surg Pathol. 2005; 29: 131-135.

- Ellis GL, Auclair PL. Tumors of the Salivary Gland, 3rd series. Washington, DC: Armed Forces Institute of Pathology; 1996: 155-176.

 

 

Web mantenido y actualizado por el Servicio de informática uclm. Modificado: 16/06/2015 15:10:50