Congreso Virtual sobre Anatomía Patológica


Direccion de contacto
fiogf49gjkf0d
Dr. Oscar Marin. Servicio de Anatomía Patologíca, Hospital Pablo Soria. Güemes 1345, S.S. de Jujuy, Argentina. 4600. omarin100@hotmail.com

ESPECTRO DE LINFOMAS CITOTOXICOS EN JUJUY, NOROESTE DE ARGENTINA.

Oscar Marin*
* Hospital "Pablo Soria" de Jujuy- Argentina ARGENTINA

Resumen

ESPECTRO DE LINFOMAS CITOTOXICOS EN JUJUY, NOROESTE DE ARGENTINA:

INTRODUCCION Y OBJETIVOS:

Grupo heterogéneo de linfomas extraganglionares de curso clínico agresivo, refractario la terapia, constituidos por células NK, NK/T y células T con expresión de moléculas citotóxicas: TIA-1 (T-cell Intracytoplasmic Antigen), Perforina y Granzimes. en nuestro hospital se registran casos de linfomas citotóxicos si bien se incidencia en la provincia no sido determinada. Motiva este trabajo el conocer del espectro de linfomas citotóxicos en nuestro medio.

METODOS:

Entre 544 casos de linfomas registrados en nuestro hospital (1978-julio 2005) se encuentran 59 casos de linfomas con caracteres de linfoma citotóxicos, 53 de estos casos han podido ser estudiados mediante inmunohistoquímica. Se realizó CD3, CD4, CD8, CD5, CD20, CD79a, Tdt, CD56, CD45RO, CD43, Granzime B, TIA-1 y / Perforina, proteína S-100, p53, Ki-67. Estudios para virus de Epstein-Barr (EBV) han sido realizados mediante ISH; utilizando EBER-1 en casos de linfomas NK/T de tipo nasal.

 RESULTADOS:

En 18 c se realizó el diagnóstico de linfoma de células NK/T de tipo nasal (CD3+, CD56+, EBER-1+), en 11 c del diagnóstico fue de Linfoma de Grandes Células Anaplásicas (ALCL) (CD3+, CD30+, CD20-), en 6 c el diagnóstico correspondió al ALCL de la variedad cutánea primaria (CD3+, CD30+), en 5c el diagnóstico de linfoma intestinal de tipo EATL (Enteropathy Associated T-cell Lymphoma) CD3+, CD8+, TIA-1+ , en 2c el diagnóstico fue de LGL (Large Granular Leukemia) citotóxica , también 2 casos de SCPTCL, 1 caso de Linfoma Cutáneo CD8+, 1 caso de linfoma Nodal CD8+, 1c correspondió a Leucemia Agresiva de células NK (CD3+, CD56+, ), 1c de linfoma de tipo delta/ gamma Hepatoesplénico (CD3+, CD45R0+, CD43+, CD20-, CD79a-, Kappa-, Lambda-, S-100-, TIA-1+, GranzimeB -, Perforina-, CD56-, CD4-, CD8-, CD5-), 2 c fueron diagnósticados como linfomas de células NK/T-like (CD4+, CD5+, CD56+, TIA-1+, EBER-1-), 1 raro caso expresó CD5+,CD56+,TIA-1+ y EBER-1+ y otro fué CD5+, CD56+, TIA-1+, EBER-1-. Finalmente 1 c expresó CD8+, CD56+, TIA-1+, CD5+, EBER-1-.

CONCLUSIONES:

Estos linfomas incluyen a alguno de los tipos más agresivos linfomas, cuya terapéutica aún no clava constituye un desafío. Presentan características clínicas y patológica distintivas que permitan diferenciarlos de otros linfomas extra ganglionares. En general tiene agresivo curso clínico refractario la terapia, excepto por linfoma de grandes células Anaplásicas. Especialmente agresivo en esta serie fue el caso de Leucemia Agresiva de células NK, con muerte del paciente a los 12 días del inicio los síntomas. Linfomas de células citotóxicas representan el 7 % de los linfomas en nuestra serie y el 28 % de linfomas de células T/NK. Su incidencia aparece en aumento, en nuestro medio y constituye el 50 % los linfomas T/NK entre los años 2001 y 2004.

 


 

Introduccion    

fiogf49gjkf0d

        Se trata de un grupo heterogéneo de linfomas extraganglionares de curso clínico agresivo, refractario la terapia, constituidos por células Natural Killer, NK/T y células T con Receptor de Célula T (TCR) de ambos tipos, delta/gamma y alfa/beta y con expresión de moléculas citotóxicas: TIA-1 (T-cell Intracytoplasmic Antigen), Perforina y Granzimes. Los linfomas citotóxicos estan compuestos por células con gránulos citoplásmicos azurofílicos, que contienen moléculas protéicas citotóxicas denominadas TIA-1 (T-cell Intracelular Antigen), Granzime A, B y Perforina.     

        Células Natural Killer constituyen el 10-15 % de la población linfocitaria y tienen la facultad de destruir células "target" como células tumorales y células viralmente infectadas sin necesidad de contacto previo. Con el advenimiento de más y mejores marcadores inmunohistoquímicos pudo reconocerse mejor este tipo de linfomas antes clasificados como linfomas "nulos". Hoy con los marcadores CD56, CD57 y CD16 puede identificarse este tipo de células, de los cuales CD56 tiene vital importancia. Linfocitos T citotóxicos tienen similar potencial y pueden en algunos casos expresar tambien CD56, pero a diferencia de las células NK presentan reordenamiento clonal del TCR, que puede ser tanto de tipo delta/gamma, como alfa/beta. Se considera que ests células provienen de un precusrsor bi-potencial NK/T. Estas células T citotóxicas pueden ser de tipo CD8+, pero también de tipo CD4.
         Las moléculas citotóxicas Perforina y Granzimes solo son observadas en células citotóxicas activadas, mientras que TIA-1 puede observarse independiententemente de su estadio de activación. TIA-1 produce la fragmentación de ADN de la células "target" mediante apoptosis, al Igual que Granzime B. Previamente a la actuación de estas proteínas, perforina actua produciendo poros en la membrana celular de la células target, produciendo lísis osmótica y permitiendo la entrada de TIA-1 y Granzime B en la célula.
        Se consideran linfomas citotóxicos a:
1) Linfoma Nasal / tipo nasal de células T/NK.
2) Linfoma de tipo Paniculitis Subcutanea (SCPTCL-Subcutaneous Panniculitis T-cell Lymphoma).
3) Linfoma Delta/Gamma hepatoesplénico y formas mucocutáneas o no-hepatoesplenicas.
4) Linfoma Cutáneo CD8+.
5) Leucemia Agresiva de células NK
6) Linfoma de Grandes Células Anaplásicas.
7) Linfoma Intestinal T asociado a enteropatia (EATL-Enteropathy Associated T-cell Lymphoma)
8) Linfoma T periférico NK-like.
   También existen raras formas de linfomas nodales citotóxicos y la Micosis Fungoides en estadios tardíos pueden expresar estas moléculas. Por último la Granulomatosis Linfomatoide, un proceso linfoproliferativo de células B, puede expresar moléculas citotóxicas.    

        En nuestro hospital se registran casos de linfomas citotóxicos si bien se incidencia en la provincia no sido determinada. Motiva este trabajo el conocer del espectro de linfomas citotóxicos en nuestro medio.

 

Material y Métodos    

fiogf49gjkf0d

      Entre 544 casos de linfomas registrados en nuestro hospital (1978-julio 2005) se encuentran 58 casos de linfomas con caracteres de linfoma citotóxicos. 51 de estos casos se han podido estudiadar retrospectivamente mediante inmunohistoquímica. Se realizó CD3, CD4, CD8, CD5, CD20, CD79a, Tdt, CD56, CD45RO, CD43, Granzime B, TIA-1 y / Perforina, proteína S-100, p53, Ki-67. Estudios para virus de Epstein-Barr (EBV) han sido realizados mediante ISH utilizando EBER-1 en casos de linfomas NK/T de tipo nasal.

 

 

Resultados    

fiogf49gjkf0d

En 18 c se realizó el diagnóstico de linfoma de células NK/T de tipo nasal (CD3+, CD56+, EBER-1+) 2 en ubicación testicular, 2 en Amígdalas, 1 en Orofarínge, 3 en fosa nasal y piel, 3 en fosa nasal y tejidos blandos, 1 en orofarínge y pene y el resto en fosa nasal y/o seno nasal. En 11 c el diagnóstico fue de Linfoma de Grandes Células Anaplásicas (ALCL) (CD3+, CD30+, CD20-), en 6 c el diagnóstico correspondió al ALCL de la variedad cutánea primaria (CD3+, CD30+), en 5 casos el diagnóstico fué de Linfoma Intestinal T asociado a enteropatía, en 2c el diagnóstico fue de LGL (Large Granular Leukemia) citotóxica, también 2 casos de Linfoma de tipo SCPTCL, 1c correspondió a Leucemia Agresiva de células NK (CD3+, CD56+ ), 1c de linfoma de tipo delta/gamma Hepatoesplénico (CD3+, CD45R0+, CD43+, CD20-, CD79a-, Kappa-, Lambda-, S-100-, TIA-1+, GranzimeB -, Perforina-, CD56-, CD4-, CD8-, CD5-), 2 c fueron diagnosticados como linfomas de células  NK/T-like (CD4+, CD5+, CD56+, TIA-1+, EBER-1-), 1 raro caso expresó CD5+,CD56+,TIA-1+ y EBER-1+ y otro fue CD5+, CD56+, TIA-1+, EBER-1-. Finalmente 1 c expresó CD8+, CD56+, TIA-1+, CD5+, EBER-1- clasificado como linfoma PTCL-Citotóxico.      

 

Fig. 1: Linfoma Nasal NK/T - <div style=fiogf49gjkf0dTomografía Axial Computarizada, que muestra lesión en fosa nasal derecha.">
Fig. 1: Linfoma Nasal NK/T -

fiogf49gjkf0d
Tomografía Axial Computarizada, que muestra lesión en fosa nasal derecha.


Fig. 2: Mismo caso que fig.1 P.A.S - <div style=fiogf49gjkf0d">
Fig. 2: Mismo caso que fig.1 P.A.S -

fiogf49gjkf0d


Fig.3: Mismo caso que 1 y 2. - <div style=fiogf49gjkf0dNecrósis en biopsia de fosa nasal derecha.">
Fig.3: Mismo caso que 1 y 2. -

fiogf49gjkf0d
Necrósis en biopsia de fosa nasal derecha.


Fig.4: Linfoma Nasal T/NK. H-E - <div style=fiogf49gjkf0dCitología Polimorfa.">
Fig.4: Linfoma Nasal T/NK. H-E -

fiogf49gjkf0d
Citología Polimorfa.


Fig. 5: Linfoma T/NK Nasal.  CD56 - <div style=fiogf49gjkf0d">
Fig. 5: Linfoma T/NK Nasal. CD56 -

fiogf49gjkf0d


Fig.6: Linfoma Nasal T/NK, CD8 - <div style=fiogf49gjkf0dFuerte expresión de CD8 en linfoma nasal T/NK">
Fig.6: Linfoma Nasal T/NK, CD8 -

fiogf49gjkf0d
Fuerte expresión de CD8 en linfoma nasal T/NK


Fig. 7. Linfoma Nasal T/NK. Ki-67 - <div style=fiogf49gjkf0dSe observa elevada fracción de crecimiento con Ki-67">
Fig. 7. Linfoma Nasal T/NK. Ki-67 -

fiogf49gjkf0d
Se observa elevada fracción de crecimiento con Ki-67


Fig. 8. P53 - <div style=fiogf49gjkf0dLinfoma Nasl T/NK. Inmunoreactividad con p53">
Fig. 8. P53 -

fiogf49gjkf0d
Linfoma Nasl T/NK. Inmunoreactividad con p53


Fig. 9: T/NK, Extra-Nasal en tejidos blandos. H-E - <div style=fiogf49gjkf0dLinfoma T/NK con células claras.">
Fig. 9: T/NK, Extra-Nasal en tejidos blandos. H-E -

fiogf49gjkf0d
Linfoma T/NK con células claras.


Fig. 10: Linfoma Nasal T/NK. CD56 - <div style=fiogf49gjkf0d">
Fig. 10: Linfoma Nasal T/NK. CD56 -

fiogf49gjkf0d


Fig. 11: Linfoma T/NK extranasal EBER-1 - <div style=fiogf49gjkf0dSeñales de Virus de Epstein-Barr mediante In "Situ Hibridization" (EBER-1)">
Fig. 11: Linfoma T/NK extranasal EBER-1 -

fiogf49gjkf0d
Señales de Virus de Epstein-Barr mediante In "Situ Hibridization" (EBER-1)


Fig. 12: Linfoma T/NK, Extraganglionar. TIA-1 - <div style=fiogf49gjkf0dExpresión de la proteína citotóxica TIA-1 (GMP-17)">
Fig. 12: Linfoma T/NK, Extraganglionar. TIA-1 -

fiogf49gjkf0d
Expresión de la proteína citotóxica TIA-1 (GMP-17)


Fig. 13: Linfoma T/NK, Testicular. - <div style=fiogf49gjkf0dTumor testicular masivo, con ulceración escrotal.">
Fig. 13: Linfoma T/NK, Testicular. -

fiogf49gjkf0d
Tumor testicular masivo, con ulceración escrotal.


Fig.14: Linfoma T/NK Testicular. H-E. - <div style=fiogf49gjkf0dCelularidad neoplásica entremezclada con Granulocitos Eosinófilos.">
Fig.14: Linfoma T/NK Testicular. H-E. -

fiogf49gjkf0d
Celularidad neoplásica entremezclada con Granulocitos Eosinófilos.


Fig. 15: Linfoma T/NK Testicular. H-E - <div style=fiogf49gjkf0dVago Patrón Angiocéntrico.">
Fig. 15: Linfoma T/NK Testicular. H-E -

fiogf49gjkf0d
Vago Patrón Angiocéntrico.


Fig. 16: Linfoma T/NK, en tejidos blandos. H-E - <div style=fiogf49gjkf0dPatrón histológico similar a Linfoma de Tipo SCPTCL (Subcutaneous Panniculitis T-cell Lymphoma). CD3+, CD56+, EBER-1+, TIA-1+">
Fig. 16: Linfoma T/NK, en tejidos blandos. H-E -

fiogf49gjkf0d
Patrón histológico similar a Linfoma de Tipo SCPTCL (Subcutaneous Panniculitis T-cell Lymphoma). CD3+, CD56+, EBER-1+, TIA-1+


Fig. 17: Linfoma T/NK en tejidos blandos. H-E - <div style=fiogf49gjkf0dNo se observa patrón angiocéntrico.">
Fig. 17: Linfoma T/NK en tejidos blandos. H-E -

fiogf49gjkf0d
No se observa patrón angiocéntrico.


Fig. 18: Linfoma T/NK, tejidos blandos. CD56 - <div style=fiogf49gjkf0dFuerte expresión de CD56.">
Fig. 18: Linfoma T/NK, tejidos blandos. CD56 -

fiogf49gjkf0d
Fuerte expresión de CD56.


Fig. 19: Linfoma T/NK en tejidos blandos. EBER-1 - <div style=fiogf49gjkf0dIntensa expresión de EBER-1 por IHS">
Fig. 19: Linfoma T/NK en tejidos blandos. EBER-1 -

fiogf49gjkf0d
Intensa expresión de EBER-1 por IHS


Fig. 20: Linfoma T/NK en Amigdala Palatina.  CD56 - <div style=fiogf49gjkf0d">
Fig. 20: Linfoma T/NK en Amigdala Palatina. CD56 -

fiogf49gjkf0d


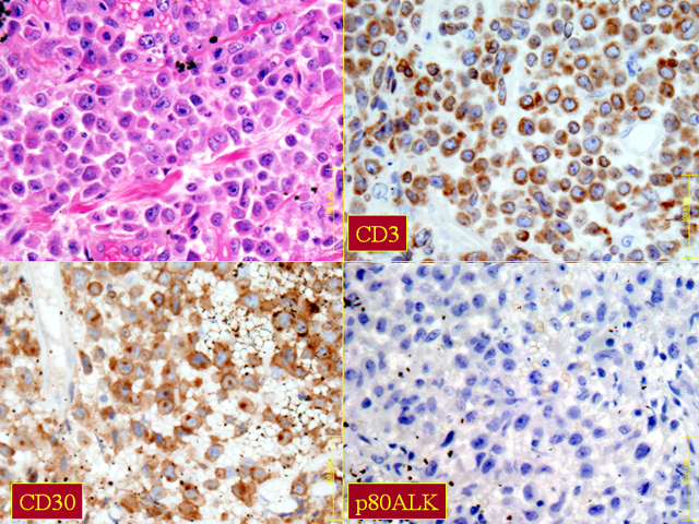
Fig.21: Linfoma de Grandes Células Anaplásicas. - <div style=fiogf49gjkf0dCD3+, CD30+, ALK-, CD56-, TIA-+, CD20-">
Fig.21: Linfoma de Grandes Células Anaplásicas. -

fiogf49gjkf0d
CD3+, CD30+, ALK-, CD56-, TIA-+, CD20-


Fig. 22: ALCL. - <div style=fiogf49gjkf0d">
Fig. 22: ALCL. -

fiogf49gjkf0d


Fig. 23. Linfoma T/NK testicular, caso pediátrico. - <div style=fiogf49gjkf0dMarcado Patrón angiocéntrico-angiodestructor.">
Fig. 23. Linfoma T/NK testicular, caso pediátrico. -

fiogf49gjkf0d
Marcado Patrón angiocéntrico-angiodestructor.


Fig. 24: Linfoma T/NK testicular. Granzime B - <div style=fiogf49gjkf0dCaso pediatrico.">
Fig. 24: Linfoma T/NK testicular. Granzime B -

fiogf49gjkf0d
Caso pediatrico.


Fig. 25: Linfoma Testicular. T/NK. CD56 - <div style=fiogf49gjkf0d">
Fig. 25: Linfoma Testicular. T/NK. CD56 -

fiogf49gjkf0d


Fig. 26: Linfoma T Hepatoesplénico. - <div style=fiogf49gjkf0dCD3+, CD43+, CD45RO+, CD56-, CD5-, CD8+, Granzime B-, TIA-+, Perforina-, S-100-">
Fig. 26: Linfoma T Hepatoesplénico. -

fiogf49gjkf0d
CD3+, CD43+, CD45RO+, CD56-, CD5-, CD8+, Granzime B-, TIA-+, Perforina-, S-100-


Fig. 27: Leucemia Agresiva de células NK. - <div style=fiogf49gjkf0dBiopsia de médula ósea. Leucemia agresiva de células NK, asociada a Hemofagocitosis.">
Fig. 27: Leucemia Agresiva de células NK. -

fiogf49gjkf0d
Biopsia de médula ósea. Leucemia agresiva de células NK, asociada a Hemofagocitosis.


Fig. 28: Linfoma T/NK en Orofarínge. - <div style=fiogf49gjkf0dInfiltración linfomatosa de Uvula, con marcado patrón angiodestructor.">
Fig. 28: Linfoma T/NK en Orofarínge. -

fiogf49gjkf0d
Infiltración linfomatosa de Uvula, con marcado patrón angiodestructor.




Discusión    

fiogf49gjkf0d
1) Linfomas de tipo Nasal de células T/NK: Con 18 casos del linfoma citotóxico prototipíco, cuenta nuestro archivo (existen casos que no han podido ser estudiados mediante inmunohistoquímica) y con la excepción de un caso afectando orofarínge y pene, que sobrevive a 4 años del diagnóstico original, los restantes, tanto en su forma nasal como extranasal, mostraron curso clínico agresivo.
2) Linfomas de tipo SCPTCL ha podido diagnosticarse solo en 2 ocasiones, si bien 2 casos de linfomas T/NK de tipo nasal presentaron similar patrón histológico y el diagnóstico diferencial se logró con la identificación de Virus de Epstein-Barr, que se considera es negativa en casos de SCPTCL. El cuadro clínico de estos fue agresivo.
3) Linfoma de Grandes Células Anaplásicas (ALCL): Con 11 casos resultó uno de los mas frecuentes de nuestra serie. Si bien se postula que la evolución de estos es buena, nuestros casos tuvieron evolución ominosa. Llamativo es que solo un caso pediátrico resultó positivo para proteina ALK y esta se considera ligada a buen pronóstico. La ausencia de esta proteína puede especularse este relacionada a esta mala evolución.
4) En 6 casos se diagnóstico ALCL en su forma cutánea primaria, 3 de ellos con buena evolución, en los restantes se desconoce por falta de follow-up.
5) Leucemia Agresiva de células NK: Especialmente rápido fue el caso de Leucemia Agresiva de Células NK, con fallecimiento del paciente 6 días después de su internación y 12 días luego del comienzo de los síntomas y mucho antes de poder realizarse el diagnóstico. El caso mostraba un cierto patrón sinusoidal en médula ósea, que sigería la posibilidad de un linfoma T hepato-esplenico, pero con citología polimorfa. Este cuadro se asociaba además con sindrome hemofagocítico, identificable con eritrofagocitosis en médula ósea y que puede haber sido la causa de fallecimiento tan rápido.
6) Linfoma NK-like: En 2 casos con expresión de CD5+, CD56+, TIA-1+ y EBER-1+ se realizó el diagnóstico de Linfoma T/NK-like. El comportamiento clínico fué similar a las formas NK/T.
7) Linfoma T hepato-esplénico: Fue diagnosticado en biopsia medular, como infiltración medular por linfoma de estirpe a tipificar. Recibió tratamiento de quimioterapia, sin respuesta y fue sometido luego a esplenectomía. El bazo pesaba 3,5 kg y se realizó biopsia hepática, mostrando en ambos patrón mayormente sinusoidal. El paciente sobrevive a 4 años del diagnóstico original y se le ha realizado una nueva biopsia medular con presencia del linfoma en la misma.

8) Linfomas Nasales T citotóxicos: Un caso resultó CD5+, CD56+, TIA-1+, EBER-1-, El  restante expresó CD8+, CD56+, TIA-1+, CD5+, EBER-1- clasificados como linfoma PTCL-Citotóxico. La evolución clínica fue similar a los linfoma T/NK de tipo nasal.

9) Linfoma Cutáneo CD8+: Este caso reciente mostró un agresivo curso clínico, con fallecimiento de la paciente en 2 meses. Se trataba de un caso de sexo femenino con manifestaciones eritrodermicas, espalda ennegrecida e inmunofenotipo C20-, CD3+, CD45RO+, CD8+ y Granzime B+.     

10) Linfoma Nodal CD8+: Este raro caso tuvo una evolución rapidamente fatal, produciendose el óbito antes de realizasre el diagnóstico. La expresión inmunohistoquímica fue: CD3+, CD8+, CD56-, Granzime B+, CD20-, Kappa-, Lambda-, CD30+/-, EMA+/-, ALK-, no se realizó estudio de EBV.
11) Leucemia de Grandes Linfocitos Granulares: Estos dos casos fueron estudiados en restrospectiva en la Universidad de Kaghosima.Japón por el Dr. Kazuhisa Hasui. Se desconoce la evolución de los mismos.
12) Linfoma T Intestinal: Con 5 casos de este tipo de linfoma cerramos nuestro análisis. 2 de ellos mostraron asociación con otros tumores. Uno de ellos en paciente con cáncer de mama y el restante con cáncer gástrico. Es el único tipo de linfoma de nuestra serie que se asoció con otra patología tumoral. La evolución fue mala, excepto por uno de los casos con cirugía de urgencia, que corresponde a una forma de Yeyunitis Ulcerativa con expresión de CD3+, CD8-, CD20-, TIA-1+/-, CD45R0+ y asociada a eosinofilia masiva y posiblemente constituyendo un pre-linfoma.   
 

     Nuestra provincia presenta un elevado número de habitantes con ascendencia Amerindia especialmente de la etnia Aymara y el territorio fue antiguamente integrante del imperio Inca, hasta la conquista española. Estas razas autóctonas presentan similitud antropomorfa con razas asiáticas, siendo de baja estatura, con rasgos mongoloides y presentan afecciones relacionadas a razas asiáticas como la presencia de casos de ATL (Adult T-cell Lymphoma) relacionado a HTLV-1 y Paraparesia Espástica Tropical (TSP) también relacionada a este virus. Un elevado número de linfomas T/NK de tipo nasal, también es habitual en razas asiáticas, de donde especulamos que existe una predisposición racial para la presencia de linfomas citotóxicos en elevada incidencia en nuestra serie. Estudios realizados por Tajima y col. en Bolivia en momias precolombinas, de 3000 años de antigüedad han demostrado la existencia de ADN pro-viral de HTLV-1 en las mismas. Estudios de HTLV-1 en etnias Aymara, Chipaya e Inca en Bolivia demostraron HTLV-1 solo en la etnia Aymara, la misma que habita nuestro territorio, con presencia endémica de HTLV-1 en áreas de de la pre-cordillera de los Andes (Quebrada de Humahuaca y Puna), especulándose con una ruta de migración trans-pacífica de razas asiáticas en tiempos históricos,  lo que favorece la especulación de predisposición racial a estas afecciones.     

         

 

 

Conclusiones    

fiogf49gjkf0d

         Estos linfomas incluyen a alguno de los tipos más agresivos linfomas, cuya terapéutica aún no clara constituye un desafío. Presentan características clínicas y patológicas distintivas que permitan diferenciarlos de otros linfomas extra-ganglionares. En general tienen agresivo curso clínico refractario la terapia, excepto por los linfomas de grandes células Anaplásicas, que sin embargo en nuestra serie tuvieron pronóstico ominoso.    

         El curso clínico fué agresivo en las formas nasales y extranasales de linfomas T/NK, como asimismo en los casos nasales de tipo NK-like y PTCL-citotóxico. Especialmente agresivo en esta serie fue el caso de Leucemia Agresiva de células NK, con muerte del paciente a los 12 días del inicio los síntomas. Los linfomas de tipo ALCL mostraron mala respuesta a la terapéutica y esto este posiblemente relacionado a la expresíon negativa de proteína ALK en la mayoría de nuestros casos. Por el contrario el linfoma de tipo T hepato-esplénico, pese a ser considerado de mala respuesta a terapia y pobre sobrevida, continua vivo y con afección medular 4 años despues del diagnóstico.

        Linfomas de células citotóxicas representan el 7 % de los linfomas en nuestra serie y el 28 % de linfomas de células T/NK. Su incidencia aparece en aumento y constituye el 50% los linfomas registrados entre los años 2001 y 2004. Podría existir una predisposición racial de las etnias autóctonas de nuestra provincia para este tipo de linfomas.

 

 

 

Bibliografía    

1) Jaffe ES, Harris NL, Stein H, Vardinam J.
   Tumours of Haematopoietic and Lymphoid Tissues. IARC Press, Lyon
    2001. Blue Books World Health Organization. 
2) El Shabrawi-Caelen L, Cerroni L, Audring W, Kerl H.
   Das Spektrum der Zytotoxischen Lymphome der Haut.
   Hautarzt 2000, 51:390-395.
3) Chan AC, Ho W, Chiang A, Srivastava G.
   Phenotypic and cytotoxic characteristics of peripheral
   T-cell and NK-cell lymphomas in relation to Epstein-Barr
   virus association. Histopathology 1999, 34:16-24
4) Mukai H, Hasegawa Y, Kijima H, Okoshi Y, Takei N, Yamashita Y, Nagasawa T, Mori N
   Nodal CD8 Positive Cytotoxic T-cell Lymphoma: A Distinct Clinicopathologic Entity.
   Mod Pathol 2002;15(11):1131-1139.
5) Berti E, Tomasini D, Vermeer M, Meijer C, Alesse E, Willemze R.
   Primary Cutaneous CD8-Positive Epidermotropic Cytotoxic T-cell Lymphomas:
   A distinct Clinicopathological Entity with an Aggressive Clinical Behavior.
   Am J Pathol 1999; 155:483-492.    

 

Comentarios

 

 

Web mantenido y actualizado por el Servicio de informática uclm. Modificado: 16/06/2015 15:10:50