Congreso Virtual sobre Anatomía Patológica


Direccion de contacto
fiogf49gjkf0d
Dra Dayamí Vila Departamento de Anatomía Patológica, Hospital General Docente Enrique Cabrera. Calzada de Aldabó 117, Altahabana, Ciudad de la Habana, Cuba. Teléfono 44.3821. ext 327

Espectro histológico de la micosis fungoides. Experiencia en nuestro medio.

DRA. DAYAMI VILA PINILLO*, DRA. MARIA DE LA CONCEPCION OCHOA OCHOA*, DR ISIDRO MACHADO PUERTO*, DR JORGE SAINZ BALLESTEROS**, DRA LUCRECIA TRESPALACIOS BREY***
* HOSPITAL CLINICO QUIRURGICO HERMANOS AMEIJEIRAS CUBA
** HOSPITAL GENERAL DOCENTE ENRIQUE CABRERA CUBA
*** FACULTAD ENRIQUE CABRERA CUBA

Resumen

 

INTRODUCCION

La micosis fungoides es un linfoma de células T de la piel, cuyo diagnóstico no es fácil en las etapas iniciales ni por el dermatólogo ni por el patólogo.

En nuestro trabajo investigamos su incidencia en el Hospital Ameijeiras y analizamos diversas variables histológicas.

Nuestros objetivos específicos fueron

1-Actualizar los criterios histomorfológicos  de la micosis fungoides.                                                                  2-Describir el espectro histológico del linfoma cutáneo tipo MF (micosis fungoides) en nuestra casuistica e ilustrar con imágenes representativas     

3-Conocer los cambios iniciales que nos permitieron el diagnóstico positivo de esta entidad.

MATERIAL Y METODO

Se revisaron las Historias Clínicas del Hospital Hermanos Ameijeiras de Ciudad de la Habana, en el período comprendido entre 1984 y 2002, seleccionándose 40 casos.   Los casos fueron estudiados en el  Dpto. y se escogió la coloración de Hematoxilina-eosina únicamente.

Se realizó un análisis simple de 10 variables histológicas, que fueron las siguientes

1-Patrón arquitectural

2-Atipia linfoide

3-Halo claro pericelular

4-Epidermotropismo basal

5-Microabscesos de Pautrier.

6-Estado del colágeno dérmico.

7-Afectación de los folículos pilosos.

8-Mucinosis

9-Afectaciones de las glándulas ecrinas.

10.Granulomas.

 

Se trataban de 16 mujeres y 24 hombres, con un rango de edad entre 14 y 76 años.

Hubo un total de 41 biopsias iniciales y 248 biopsias en serie total.

 

Se comparó la entidad con otras lesiones dermatológicas y se llegaron a conclusiones.  Se aplicaron los 9 patrones histológicos diagnósticos de Ackerman  en nuestro Trabajo.

 

RESULTADOS

La micosis fungoides tiene una gran variedad histopatológica entre los diferentes pacientes y también en distintas biopsias de un mismo paciente.

Los microabscesos de Pautrier, tan señalados como típicos de la entidad, pueden no aparecer y se puede hacer el diagnóstico de micosis fungoides a pesar de su ausencia.

El halo claro pericelular y el epidermotropismo basal en nuestros casos, demostraron que tienen valor para el diagnóstico.  La atipia linfoide tiene también valor, pero el halo claro y el epidermotropismo sin atipia linfoide constituyen variables muy  importantes.

Los aspectos clínicos fueron de gran significación.  Ante el diagnóstico de micosis fungoides, deben analizarse las diferentes variables histológicas y ver cuales son las más valiosas desde el punto de vista diagnóstico.

 

DISCUSION  Y CONCLUSIONES

 

  1. La MF se caracteriza por gran variabilidad histomorfológica, 

    entre los diferentes pacientes y dentro de un mismo paciente

    en cada lesión en particular.

 

  2. El halo claro pericelular y el  epidermotropismo basal aislado

    sin evidente atipia linfoide constituyen alteraciones de valor

    para el diagnóstico.

 

  3. La presencia de microabcesos de Pautrier no es indispensable

    para el diagnóstico positivo de MF.

 

  4. Para el diagnóstico concluyente de MF  las alteraciones

    dérmicas y anexiales por si solas no fueron determinantes.

 

  5. Pacientes conocidos portadores de MF pueden tener biopsias

       de piel  sin alteraciones y no concluyentes

 

  6. Ante un diagnóstico clínico positivo de MF con la sola

   presencia de epidermotropismo basal leve con o sin atipia

   nuestro informe no debe ser excluyente.

 

  7. Sin diagnóstico clínico de MF, la presencia histológica de

   epidermotropismo basal  siempre debe señalarse.

 

   


 

Introduccion    

fiogf49gjkf0d

La micosis fungoides (MF) es un linfoma de células T de la piel, cuyo diagnóstico no es fácil en las etapas iniciales ni por el dermatólogo ni por el patólogo.  Puede confundirse al inicio con una dermatitis crónica, una dermatitis crónica psoriasiforme (fig.1), una dermatitis liquenoide psoriasiforme (fig.2), una parapsoriasis u otra patología y pasar por alto el verdadero diagnóstico de la entidad.

 

En nuestro trabajo investigamos su incidencia en el Hospital Ameijeiras y analizamos diversas variables histológicas, 10 en total.

 

Nuestros objetivos específicos fueron

 

1-Actualizar los criterios histomorfológicos de la micosis fungoides.

 

2-Describir el espectro histológico del linfoma cutáneo tipo MF (micosis fungoides) en nuestra casuistica e ilustrar con imágenes representativas.

    

3-Conocer los cambios iniciales que nos permitieron el diagnóstico positivo de esta entidad.

 

Las lesiones iniciales de MF en parches pueden tener infiltrado linfoide perivascular o superficial, edema ligero del dermis papilar, focos espongióticos en epidermis con linfocitos dentro de ellos. Los núcleos de los linfocitos son tipicos o con ligera atipia.

 

Las lesiones completamente desarrolladas o en placas se caracterizan por infiltrado linfoide denso perivascular, superficial y profundo, linfocitos en banda en un dermis papilar fibroso, linfocitos atipicos, acantosis, queratinocitos necróticos, mucinosis folicular en el epitelio sebáceo e infundibular.

 

Las lesiones tardías, nódulos y tumores se reconocen por infiltrado nodular difuso de linfocitos atípìcos con núcleos convolutos , infiltrado inflamatorio mixto con plasmocitos, neutrofilos y eosinofilos, linfocitos atípicos intraepidémicos o no , ulceración de algunas lesiones, etc.

 

 

 

 

 

 

 

 

 

 

 

 

Fig.1 Aspecto de Dermatitis crónica psoriasiforme - <div style=fiogf49gjkf0dHiperqueratosis, papilomatosis y aspecto psoriasiforme en estadío inicial de la micosis fungoides. Ocular 10. Objetivo 10. Coloración hematoxilina-eosina">
Fig.1 Aspecto de Dermatitis crónica psoriasiforme -

fiogf49gjkf0d
Hiperqueratosis, papilomatosis y aspecto psoriasiforme en estadío inicial de la micosis fungoides. Ocular 10. Objetivo 10. Coloración hematoxilina-eosina


Fig.2 Aspecto de dermat. liquenoide psoriasiforme - <div style=fiogf49gjkf0dEstadío inicial de la micosis fungoides, que puede confundirse con una lesión no tumoral. Ocular 10, Objetivo 20. Coloración Hematoxilina-eosina">
Fig.2 Aspecto de dermat. liquenoide psoriasiforme -

fiogf49gjkf0d
Estadío inicial de la micosis fungoides, que puede confundirse con una lesión no tumoral. Ocular 10, Objetivo 20. Coloración Hematoxilina-eosina




Material y Métodos    

fiogf49gjkf0d

Se revisaron las Historias Clínicas del Hospital Hermanos Ameijeiras de Ciudad de la Habana, en el período comprendido entre 1984 y 2002, seleccionándose 40 casos.   Los casos fueron estudiados en el  Dpto.de Anatomía Patológica  y se escogió la coloración de Hematoxilina-eosina únicamente.

 

Se realizó un análisis simple de 10 variables histológicas, que fueron las siguientes,

 

1-Patrón arquitectural.según los patrones diagnósticos de Ackerman.

2-Atipia linfoide

3-Halo claro pericelular

4-Epidermotropismo basal

5-Microabscesos de Pautrier.

6-Estado del colágeno dérmico.

7-Afectación de los folículos pilosos.

8-Mucinosis

9-Afectaciones de las glándulas ecrinas.

10.Granulomas.

 

Se trataban de 16 mujeres y 24 hombres, con un rango de edad entre 14 y 76 años.

Hubo un total de 41 biopsias iniciales y 248 biopsias en serie total.   Se aplicaron los 9 patrones histológicos diagnósticos de Ackerman   en nuestro Trabajo.

 

En los Patrones arquitecturales también se tuvieron en cuenta los subgrupos de cada Patrón diagnóstico. Se consideraron los 9 patrones diagnósticos y los 34 subgrupos en nuestro estudio.

 

La atipia linfoide se clasificó en ligera, moderada y severa.

 

Se actualizaron los conceptos y significación del halo claro pericelular, del epidermotropismo basal y de los microabscesos de Pautrier, así como de las otras 5 variantes histológicas.

 

 

 

 

 

 

 

 

Resultados    

fiogf49gjkf0d

De los 40 pacientes estudiados 16 correspondieron al sexo femenino para un 40% y el resto al masculino para un 60%.

Algunos investigadores se han dedicado a la relación sexo/MF y se señala que el sexo masculino es el más afectado sin que exista una explicación clara al respecto (1).

El paciente de menor edad tenía 14 años al momento del diagnóstico y el más longevo 76 años. El promedio de edad fue de 45 años.  Hubo un solo paciente por debajo de los 20 años, como era de esperar, por ser nuestra Institución un Hospital de adultos.

Inicialmente se estudiaron un total de 254 biopsias. De las mismas hubo que desechar 6 por dificultades técnicas por lo que la muestra final fue de 248 biopsias.

Cada paciente tuvo como mínimo 3 muestras, y el paciente que más biopsias tuvo fueron 14.

Hubo lesiones de MF en 5 patrones diagnósticos de Ackerman (2), que fueron  el I, II, IV, VII, IX y X .   Los subgrupos más frecuentes fueron la dermatitis psoriasiforme superficial del patrón 9, la dermatitis de interfase liquenoide superficial del patrón 4, la dermatitis psoriasiforme liquenoide superficial , y la dermatitis perivascular superficial fundamentalmente perivascular del patrón 1.

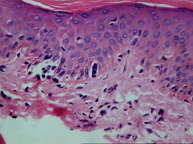
En la variable atipia linfoide predominó la atipia ligera con un 55.6%. Hubo casos con atipia linfoide severa (fig.3)

Citarella señala (3) que la MF en sus etapas iniciales se caracteriza por un infiltrado superficial en banda con epidermotropismo, sin atipia citológica relevante.

La variable epidermotropismo basal, en collarete o en fila india, estuvo presente en un 87.5% de los casos.  Los conocidos MAP o nidos de Darier, definidos como grupos de linfocitos atípicos dentro de vacuolas intraepidérmicas sólo representaron un 48.3% en la serie total.

La variable estado del colágeno dérmico se pudo apreciar con más nitidez en las biopsias iniciales, teniendo el  colágeno de las papilas dérmicas un aspecto de alambrado en un 40.8% de los casos.(fig.4)

La variable afectación de los folículos pilosos y la mucinosis fueron poco frecuentes.(fig.5)

La variable afectación de las glándulas ecrinas estuvo presente en pocos casos.

La variable de la presencia de granulomas fue aún menor que la anterior.(fig.6)

 

 

 

 

 

 

 

 

 

Fig.3 Atipia linfoide severa - <div style=fiogf49gjkf0dCaso de MF con linfocitos marcadamente atípicos, en todo el campo observado. Ocular 10. Objetivo 40. Coloración hematoxilina-eosina">
Fig.3 Atipia linfoide severa -

fiogf49gjkf0d
Caso de MF con linfocitos marcadamente atípicos, en todo el campo observado. Ocular 10. Objetivo 40. Coloración hematoxilina-eosina


Fig.4 Estado del colágeno dérmico - <div style=fiogf49gjkf0dColágeno en forma de alambre en un caso de micosis fungoides. Ocular 10. Objetivo 20. Coloración Hematoxilina-eosina">
Fig.4 Estado del colágeno dérmico -

fiogf49gjkf0d
Colágeno en forma de alambre en un caso de micosis fungoides. Ocular 10. Objetivo 20. Coloración Hematoxilina-eosina


Fig.5 Mucinosis en MF - <div style=fiogf49gjkf0dAreas de degeneración mucinosa en el dermis. Ocular 10. Objetivo 20. Coloración de hematoxilina-eosina">
Fig.5 Mucinosis en MF -

fiogf49gjkf0d
Areas de degeneración mucinosa en el dermis. Ocular 10. Objetivo 20. Coloración de hematoxilina-eosina


Fig.6 Presencia de granuloma en MF - <div style=fiogf49gjkf0dSe observa una zona granulomatosa en un caso de MF Ocular 10. Objetivo 20. Coloración Hematoxilina-eosina">
Fig.6 Presencia de granuloma en MF -

fiogf49gjkf0d
Se observa una zona granulomatosa en un caso de MF Ocular 10. Objetivo 20. Coloración Hematoxilina-eosina




Discusión    

fiogf49gjkf0d

El patrón arquitectural más frecuente en nuestro Trabajo fue el tipo I, abarcando varios subgrupos. Otros patrones también estuvieron presentes y esto demuestra el gran polimorfismo que posee esta entidad.

Consideramos que no es necesario la presencia de atipia linfoide para llegar al diagnóstico positivo de MF, pero es valiosa su presencia en el diagnóstico.(fig.7)

 

Citarilla (3) señala que la MF en sus etapas iniciales se caracteriza por un infiltrado superficial en banda con epidermotropismo sin atipia citológica relevante. Puede haber en ocasiones un aumento en el número de células mononucleares , no obligatoriamente atípicas, para guiarnos hacia el diagnóstico. Por tanto,consideramos que el epidermotropismo es muy importante, altamente valioso , para el diagnóstico de MF. (figs.8,9,10)

El epidermotropismo  puede ser basal, llamado  en collarete o en fila india, o ser más arriba en la epidermis.

 

Los linfocitos pueden ser típicos o atípicos y aparecen como células solitarias prominentes dentro de la capa basal, con escasas células en niveles altos de la epidermis. El halo claro de un linfocito epidermotropo hay que tenerlo en cuenta como sospechoso de diagnóstico de MF.  El halo claro es pericelular, pero también puede ser perinuclear ya que siempre no se distingue bien el citoplasma del linfocito.(4,5)  (Fig.10)

 

Los conocidos Microabscesos de Pautrier (MAP) son definidos como grupos de linfocitos atípicos dentro de vacuolas intraepidérmicas. En la actualidad  no es estrictamente necesario el observar MAP para realizar un diagnóstico positivo de MF. No obstante, la presencia de los MAP es altamente específica de MF.

Los microabscesos de Pautrier pueden estar en la capa basal, en una situación más alta de la epidermis e incluso en el estrato córneo.( Figs. 11, 12, 13). Tienen dentro linfocitos en grupos o aislados.

 

Hay muchos autores (5) que consideran que de todos estos datos, el más constante es la presencia de halo claro pericelular en los linfocitos, que a su vez pueden ser hipercromáticos, hiperlobulados, intraepidérmicos  o formando los MAP.

Las demás variables,tales como el estado del colágeno dérmico, la afectación de los folículos pilosos y la mucinosis no tienen tanto valor para el diagnóstico positivo de las MF, así como la afectación de las glándulas ecrinas y la presencia de granulomas. (6.7.8.9)

 

Podemos considerar a la MF por la variedad de aspectos histopatológicos como LA GRAN SIMULADORA O LA GRAN IMITADORA de acuerdo a numerosos autores (10 )

 

 

 

 

 

 

 

Fig.7 Atipia linfoide dentro de un MAP - <div style=fiogf49gjkf0dCaso de micosis fungoides con linfocitos atípicos dentro de un microabsceso de Pautrier. Ocular 10. Objetivo 20. Coloración de Hematoxilina.eosina.">
Fig.7 Atipia linfoide dentro de un MAP -

fiogf49gjkf0d
Caso de micosis fungoides con linfocitos atípicos dentro de un microabsceso de Pautrier. Ocular 10. Objetivo 20. Coloración de Hematoxilina.eosina.


Fig.8  Epidermotropismo - <div style=fiogf49gjkf0dSe observa epidermotropismo, con linfocitos dentro del epitelio de un folículo piloso. Ocular 10. Objetivo 20. Coloración Hematoxilina-eosina">
Fig.8 Epidermotropismo -

fiogf49gjkf0d
Se observa epidermotropismo, con linfocitos dentro del epitelio de un folículo piloso. Ocular 10. Objetivo 20. Coloración Hematoxilina-eosina


Fig.9. Epidermotropismo folicular - <div style=fiogf49gjkf0dSe observa la presencia de linfocitos en el epitelio folicular y los tapones córneos dentro del folículo Ocular 10. Objetivo 20. Coloración hematoxilina-eosina">
Fig.9. Epidermotropismo folicular -

fiogf49gjkf0d
Se observa la presencia de linfocitos en el epitelio folicular y los tapones córneos dentro del folículo Ocular 10. Objetivo 20. Coloración hematoxilina-eosina


Fig.10. Linfocitos atípicos dentro de la epidermis - <div style=fiogf49gjkf0dSe observan linfocitos atípicos con halo claro pericelular dentro de la epidermis, así como un MAP- Ocular 10. Objetivo 10. Coloración de hematoxilina-eosina">
Fig.10. Linfocitos atípicos dentro de la epidermis -

fiogf49gjkf0d
Se observan linfocitos atípicos con halo claro pericelular dentro de la epidermis, así como un MAP- Ocular 10. Objetivo 10. Coloración de hematoxilina-eosina


Fig.11 Microabscesos de Pautrier - <div style=fiogf49gjkf0dSe observan 2 MAP con linfocitos y queratinocitos necróticos dentro de ellos. Están en una situación basal. Ocular 10. Objetivo 20. Coloración Hematoxilina-eosina">
Fig.11 Microabscesos de Pautrier -

fiogf49gjkf0d
Se observan 2 MAP con linfocitos y queratinocitos necróticos dentro de ellos. Están en una situación basal. Ocular 10. Objetivo 20. Coloración Hematoxilina-eosina


Fig.12 Microabsceso en estrato superior. - <div style=fiogf49gjkf0dSe observa a un microbsceso de Pautrier en estratos superiores de la epidermis. Ocular 10. Objetivo 20. Coloración de hematoxilina.eosina">
Fig.12 Microabsceso en estrato superior. -

fiogf49gjkf0d
Se observa a un microbsceso de Pautrier en estratos superiores de la epidermis. Ocular 10. Objetivo 20. Coloración de hematoxilina.eosina


Fig.13 Microabsceso en estrato córneo - <div style=fiogf49gjkf0dSe observa un microabsceso de Pautrier en el estrato más externo o superior de la epidermis. Ocular 10. Objetivo 20. Coloración de hematoxilina-eosina">
Fig.13 Microabsceso en estrato córneo -

fiogf49gjkf0d
Se observa un microabsceso de Pautrier en el estrato más externo o superior de la epidermis. Ocular 10. Objetivo 20. Coloración de hematoxilina-eosina




Conclusiones    

fiogf49gjkf0d

1.- El halo claro pericelular y el epidermotropismo basal constituyen alteraciones de valor para el diagnóstico de Micosis Fungoides. La presencia histológica de epidermotropismo basal debe siempre señalarse aunque no haya diagnóstico clínico de micosis fungoides.

 

2,- La atipia linfoide también tiene valor en el diagnóstico de la entidad.

 

3.- La presencia de microabscesos de Pautrier no es indispensable para el diagnóstico positivo de Micosis Fungoides.

 

4.- Las alteraciones dérmicas y anexiales por sí solas no son determinantes en el diagnóstico de la entidad.

 

5.- La Micosis Fungoides se caracteriza por gran variabilidad histopatológica entre los diferentes pacientes y dentro de un mismo paciente  en cada lesión en particular.

 

6.- Pacientes portadores de micosis fungoides pueden tener biopsias de piel sin alteraciones y no concluyentes de diagnóstico.

 

7.- El diagnóstico inicial de la MF es difícil de realizar y se puede confundir con diversas entidades dermatológicas.

 

 

 

 

 

 

 

Agradecimientos    

fiogf49gjkf0d

Deseamos expresar nuestro agradecimiento a los Dptos. De Anatomía Patológica de los Hospitales Ameijeiras y Enrique Cabrera por su colaboración en la realización de este Trabajo, y una especial referencia a la Dra. Concepción Ochoa, Ochoa por sus valiosas orientaciones.

 

 

Bibliografía    

1 - Fitzpatric T.B. et al.  Dermatology in General Medicine. 4th edition

New York, 1993.

 

2 - Ackerman AB, et al. The patch stage of mycosis fungoides.Criteria por histologic diagnosis.

American Journal of Dermatopathology No.1 1979

 

3 - Citarella L et al. Lichen sclerosus with histopathologic features simulating early mycosis fungoides.

Amer. J. Dermatopathol. 2003. 25 (6) 463 -465

 

4 - Lever, W. Et al. Non infectious erithematous , papular and squamous diseases. Histopathology of the skin. 7th edition. Philadelphia. JB Lippincott, 1990, 166.

 

5 - Ackerman, AB et al. The lives of lesions. Chronology in Dermatopathology.  Year Book Medical Publishers. Chicago, 160, 1984

 

6 - Abel, E et al. Mycosis Fungoides. Clinical and Histological features. Staging, Evaluation and approach to treatment.

CA Cancer J. CLIN. 43, 93-115. 1993

 

7 -Dabski K et al. Granulomatous reactions in Mycosis Fungoides.

J. Surg. Oncol 1987, 34, 217-229.

 

8 - Ackerman, AB- Histology diagnosis of inflammatory skin diseases, second edition, Baltimore, Williams –Wilkins, 1997.

 

9 -Rodríguez Peralto, JL. Actualización en patología linfoide cutánea.

21 Congreso de Seap.

 

10 -Zackeim, HS et al. Mycosis Fungoides. The great imitator

J.Am. Acad. Dermat.2002, Dec, 47 (6) 914-8

 

 

 

Comentarios

- Oscar Marin (03/10/2005 21:47:22)

Linda Revisión morfológica. En estos tiempos de inmunohistoquímica, no esta demás remarcar los rasgos morfológicos en un linfoma. Considero a La inmunohistoquímica indispensable en los linfomas, pero luego de un completo ejercicio morfológico, bien resumido por los amigos de Cuba.

- RAFAEL ESCALONA (06/10/2005 16:21:28)

Fantastica descripcion morfologica,muy detallada y sistematizada;prueba que cuando no tenemos todos los adelantos de la tecnologia podemos hacer diagnosticos certeros dedicando un poco mas de nuestro tiempo al microscopio y a la literatura.
Coincido con el Dr. Marin en que la inmunohistoquimica es indispensable en el diagnostico de los linfomas;pero no imprescindible.

- Javier Muñoz Moreno (07/10/2005 13:31:10)

Felicidades por el trabajo!! Especial énfasis a la parte morfológica la cual considero excepcional. Una vez más la memoria vuelve a hacernos recordar aquello que parece ya perdido. Me ha encantado el trabajo. Una vez más. Gracias por la aportación.

- Juan Pablo Garcia de la Torre (10/10/2005 10:11:20)

Estupendo trabajo, sobre todo destacar la importancia de la "simple" HE. Enhorabuena

- María Eugenia Abad (14/10/2005 16:01:35)

Felicidades a los autores de este tema, por supuesto dirigidos por la profesora Concepción Ochoa, no podia ser de otra forma, es esta la calidad a la que nos ha acostumbado siempre.


Dra María Eugenia Abad

- NATALIA MARTINEZ CASTILLO (18/10/2005 14:55:17)

Excelente, detallado y didáctico.

- Alexandra Gené Heym (21/10/2005 22:26:37)

Felicidades a los autores. Imagenes y texto muy didacticos para los que aun somos residentes.

- ANTONIO URBAN RAMON (24/10/2005 11:37:23)

Enhorabuena por la revisión que han realizado sobre los criterios o espectros histológicos de la micosis fungoide. Las imágenes son muy ilustrativas. En las conclusiones los dos valores de diagnóstico para la micosis fungoide son el epidermotropismo basal y el halo claro pericelular, peró tal como se observa en las imágenes, otro de los datos histológicos al cual nosotros damos importancia es a la ausencia de espongiosis epidermica, a pesar del epidermotropismo basal y en ocasiones la marcada inflamación dérmica acompañante, tal como se pueden observar en cuadro de dermatitis. Sin más, un fuerte saludo y de nuevo enhorabuena.

- Diana Maite Hernandez Fernandez (26/10/2005 0:38:59)

Sencillo estudio pero muy ilustrativo de este Linfoma de células T maduras que es el más común de los Linfomas cutáneos primarios
Recordamos la enseñanza de la Prof Ochoa quien siempre nos ha tramitido su experiencia con estas lesiones haciendo incapié en que aunque nos alegra ver un microabsceso de Pautrier para hacer el diagnóstico, esto no es tan frecuente y menos en la fase tumoral
Felicidades a la autora, a la prof Ochoa y a mi muy querido Dr Isidro Machado

- MARÍA DEL PILAR DE LA ROSA DEL REY (31/10/2005 18:07:36)

Os felicito por la presentación. Indudablemente la micosis fungoides en los estadios iniciales nos pone a prueba continuamente. También quería destacar al igual que lo ha hecho previamente el compañero en descartar la presencia de espongiosis, además de la correlación clínico-patológica.
Una presentación brillante.

- DAYNE LEYVA (09/11/2005 14:34:41)

Muy interesante trabajo, muy ilustrativo y didactico, gracias y felicidades a los autores.

- Manuel Diaz-Marta Puentes (12/02/2012 1:35:01)

1

- Manuel Diaz-Marta Puentes (12/02/2012 1:35:02)

1

- Manuel Diaz-Marta Puentes (12/02/2012 1:35:02)

1

 

 

Web mantenido y actualizado por el Servicio de informática uclm. Modificado: 16/06/2015 15:10:50