Congreso Virtual sobre Anatomía Patológica


Direccion de contacto
fiogf49gjkf0d
Dr. Walfrido Castillo, Departamento de Cirugía, Hospital General Docente Enrique Cabrera. Calzada de Aldabó 117, Altahabana, Municipio Boyeros, Ciudad Habana, Cuba.

Tratamiento conservador del cáncer de mama

DR WALFRIDO CASTILLO SUAREZ*, DR CARLOS ALBERT CHACON*, DR JORGE SAINZ BALLESTEROS*, DRA SUSANA SAINZ LOPEZ**, DR ALBERTO ARTIGAS HERNANDEZ*, DR. SERAPIO FERRAN RISELL*
* HOSPITAL GENERAL DOCENTE ENRIQUE CABRERA CUBA
** HOSPITAL LUIS DIAZ SOTO CUBA

Resumen

 

INTRODUCCION

La mastectomía radical o la radical modificada son procedimientos quirúrgicos que en la actualidad pueden ser sustituídos por tratamientos más conservadores, como la lumpectomía, la cuadrantectomía o la segmentectomía. empleados en nuestra investigación.

El estadiamiento del caso así como la valiosa cooperación del patólogo permiten evaluar cúales casos son susceptibles de cirugía conservadora o no en su tratamiento del cáncer de mama.

En nuestro Trabajo la variedad de cáncer más frecuente fue el carcinoma ductal infiltrante y aplicamos cirugía conservadora a las pacientes con cáncer de mama en estadio 1  y 2.

 

 

MATERIAL Y METODOS

Se revisaron las Historias Clínicas  de 12 años de pacientes con cáncer de mama del Instituto de Oncología Nacional y de 5 años del Hospital General Docente Enrique Cabrera, escogiéndose 50 casos de cada Hospital,que cumplían los requisitos para un total de 100 casos.

Se descartaron muchas Historias antes de quedarnos con los 50 casos de cada Hospital. Entre los criterios de exclusión tuvimos las mayores de 65 años, las pacientes que recibieron tratamiento oncoespecífico en otros centros, las pacientes con carcinoma bilateral, la inasistencia a la consulta por más de dos años y otros.

Entre las variables medidas tenemos la edad, la técnica quirúrgica, los tipos histológicos, el tamaño del tumor,  el estado de los ganglios axilares, la sobrevida y el intervalo libre de enfermedad.

Se analizaron las láminas de los casos escogidos y se realizaron coloraciones especiales por el Patólogo

 
RESULTADOS

Hubo un bajo índice de recurrencia general en los pacientes tratados con cirugía conservadora de la mama.

Los que más recurrieron fueron los casos a los que se les realizó lumpectomía.

Hubo predominancia en los casos premenopaúsicos entre 41 y 50 años que se les realizó cirugía conservadora.

 
DISCUSION

Se discuten los resultados obtenidos con el uso de la cirugía conservadora y su comparación con la cirugía clásica, dependiendo mucho del tipo histológico del tumor, del tamaño del mismo y de otras consideraciones.  Se concluye que es extremadamente útil el trabajo conjunto del cirujano, del patólogo y del oncólogo en estos procedimientos conservadores.


 

Introduccion    

fiogf49gjkf0d

El cáncer es considerado en la actualidad una enfermedad prevenible y curable en los estadíos tempranos. Un tercio de los casos de cáncer es prevenible, otro tercio es potencialmente curable y el resto puede tener al menos una mejor calidad de vida.  El cáncer de mama  constituye un problema de salud en el mundo actual, siendo la primera causa de muerte por cáncer en el sexo femenino.

 

Desde finales del siglo XX se introdujo la cirugía conservadora en el tratamiento del cáncer de mama.  Las técnicas radicales como la mastectomía radical y la mastectomía radical modificada han perdido vigencia en los últimos años, siendo sustituídas por las técnicas conservadoras.

Estas técnicas abarcan la tilectomía, llamada también lumpectomía o tumorrectomía que consiste en extirpar el tumor con un margen de seguridad por fuera del mismo, la cuadrantectomía que es la resección de un cuadrante de la mama, la segmentectomía que es extirpar un segmento de la mama que puede abarcar parte o más de un cuadrante.

Cuando el tumor maligno engloba al pezón no debe hacerse la cirugía conservadora, debido a que en esa zona se inicia el retorno venoso y es necesario realizar entonces la cirugía radical.  En general, los tumores retroareolares no son susceptibles de cirugía conservadora.

La ventaja de la cirugía conservadora en el cáncer de mama es que permite a la mujer conservar la estética de la zona y la beneficia también desde el punto de vista psicológico al ver que no ha perdido una mama.

Los resultados a largo plazo no difieren de los obtenidos en  las técnicas radicales, siempre que en las técnicas conservadoras se extirpe todo el tejido tumoral y se deje un margen de seguridad oncológica.

El tamaño del tumor y la variedad histológica son también muy importantes cuando se decide una cirugía conservadora. El estadío del tumor es también muy importante al tomar una decisión pues en estadíos avanzados no es posible realizar la cirugía conservadora.

El trabajo en conjunto, del cirujano, del oncólogo y del  patólogo es importante para una buena selección de los casos que se van a operar por las técnicas modernas de cirugía conservadora de la mama.

 

 

 

 

 

 

 

 

 

Material y Métodos    

fiogf49gjkf0d

Se seleccionaron 50 casos del Hospital Oncológico y 50 casos del Hospital Nacional Enrique Cabrera. Los 50 casos del Instituto de Oncología fueron seleccionados de un Diplomado de Mastología realizado en el 2001 por uno de los autores de este trabajo, abarcando historias clínicas desde el año 1993.   Los 50 casos del Hospital Nacional fueron seleccionados entre el 2000 y  el 2004 ambos inclusive, abarcando historias de años anteriores.

Los 50 casos del Oncológico fueron seleccionados de un total de 109 pacientes que habían sido seleccionados para el Diplomado. Todos los casos tenían confirmación de las biopsias por el Dpto. de Anatomía Patológica, al igual que los 50 casos del Hospital Nacional Enrique Cabrera.

Entre los criterios de exclusión de casos para la realización de la cirugía conservadora estuvieron

Mayores de 65 años.

Pacientes que recibieron tratamiento onco-específico en otros centros.

Pacientes con carcinoma bilateral.

Inasistencia a la consulta por más de 2 años

Negación de la paciente a recibir este tipo de tratamiento.

Pacientes clasificadas como grupo 3 y 4, que por su invasividad y afectación de ganglios linfáticos corresponden a los estadios III y IV.

 

Entre las variables se tuvieron en cuenta

La edad.

La premenopausia o la postmenopausia.

La técnica quirúrgica.

Los tipos histológicos.

El estado de los ganglios axilares.

La sobrevida.

El intervalo libre de enfermedad.

 

El diagnóstico temprano del cáncer mamario sólo nos pone en evidencia una enfermedad que la biología corporal conoce hace años, de ahí que el tratamiento loco-regional agresivo no lleva a una solución definitiva.  La radicalidad quirúrgica debe ser sustituída por exéresis adecuadas, escasamente mutilantes, aunque suficientes para eliminar la neoplasia existente. Por eso escogimos como alternativa de la radicalidad a la cirugía conservadora como método de trabajo.

 

El cáncer de mama puede dividirse en 4 grupos, correspondiendo al primer grupo los carcinomas in situ, ductal o lobulillar y al segundo grupo los carcinomas invasivos de mama locoregionales operables estadios I y II .

Estos dos grupos son los adecuados para una cirugía conservadora.  El tercer grupo que comprende al carcinoma locoregional no operable estadios IIIa y IIIb y el cuarto grupo que comprende al carcinoma mamario metastático estadio IV no son susceptibles de cirugía conservadora.

Nosotros escogimos en nuestro Trabajo los 2 primeros grupos, no incluyendo los estadios III y IV.

El estadio I abarca al tumor hasta 2 cms, en cualquier dimensión, no habiendo metástasis regionales  ni a distancia.  El estadio II abarca al tumor de 2 a 5 cms,en cualquier dimensión, con metástasis única o múltiple en región axilar ipsilateral, móvil y sin metástasis a ganglios distantes. En el estadio II tambien pueden incluirse a los tumores de más de 5 cms sin metástasis axilares ni a distancia.

Los estadíos mas avanzados que abarcan el IIIa, el IIIb y el IV, y que comprenden a los tumores de mas de 5 cms y a cualquier tumor, con metástasis a distancia e infiltración de pared costal no pueden tener cirugía conservadora.

 

Todos los casos seleccionados en nuestro Trabajo, tanto en el Oncológico como en el Hospital Nacional, correspondian a los estadios I y II como ya definimos anteriormente.

 

Todos los casos fueron estudiados desde el punto de vista histopatológico.   Se hicieron cortes seriados y coloraciones especiales. Se estudiaron y clasificaron los tumores según criterios de Bloom y Richardson y se realizaron estudio de receptores estrogénicos.

 

 

 

 

 

 

 

 

 

Resultados    

fiogf49gjkf0d

La mayor incidencia en relación con la edad fue de 41 a 50 años, en todos los casos.

La técnica quirúrgica más usada fue la tumorrectomía con o sin vaciamiento axilar, dependiendo si había o no microinfiltración o infiltración franca, o si era un carcinoma in situ. 

Los tipos histológicos variaron desde carcinoma in situ ductal o lobulillar hasta ductales y lobulillares microinfiltrantes o infiltrantes. La variedad más frecuente en nuestro caso fue el carcinoma ductal infiltrante o invasivo. Había también carcinomas papilares, carcinomas medulares y carcinomas tubulares en nuestros casos, que tienen por su aspecto histológico mejor pronóstico.

La infiltración de los ganglios axilares no la encontramos en la mayoría de los casos, o sea, en 75 pacientes. No se incluyeron en la cirugía conservadora aquellos casos como explicamos, que tenían metástasis a distancia.

La sobrevivencia o supervivencia fue de 90% a los 5 años en nuestros casos de cirugía conservadora y de 82% a los nueve años.  Estos resultados se aplican a los casos del Hospital Oncológico.  Por tanto, el intervalo libre de enfermedad fue adecuado en nuestros pacientes.  En los casos del Hospital Nacional no se determinó el  por ciento de supervivencia.

 

Con relación a los pacientes y la menopausia, la mayor incidencia recayó en las pacientes pre- menopaúsicas entre 41 y 50 años tanto en los casos del Oncológico como del Nacional.

 

Con relación a los receptores estrogénicos, la mayoría fueron positivos, lo cual tuvo valor para el tratamiento asociado con medicamentos anti-estrogénicos.

 

 

 

 

 

 

 

 

 

 

 

 

 

 

 

Discusión    

fiogf49gjkf0d

Con relación a la edad de la paciente la mayor incidencia de operaciones conservadoras  fue entre 41 y 50 años, tanto en los casos del Oncológico como del Nacional. En todos estos casos se practicó la cirugía conservadora y coincide con lo reportado en la literatura (1.2)

La técnica quirúrgica más empleada fue la tumorrectomía con disección de los ganglios axilares.  Fué seguida de cuadrantectomía  con disección radical de los ganglios axilares.

Los informes histopatológicos dieron negativo de metástasis en 75 pacientes y positivos en 25. De uno a 3 ganglios positivos los tenían 18 pacientes. Como se puede observar la mayoría de los casos carecían de metástasis.

El estudio de los ganglios alcanza mayor relevancia, pues constituye un factor pronóstico que influye en la supervivencia y el intervalo libre de enfermedad.

Se plantea que cuando existen más de 3 ganglios metastáticos la supervivencia a los 10 años no alcanza al 40%.

 

La variedad histológica más frecuente fue el carcinoma ductal invasivo, en 68 casos, seguida del carcinoma lobulillar invasivo.(Figs 1,2) Encontramos en nuestra casuistica dos ductales in situ y 2 lobulillares in situ. (figs,3,4)

En nuestra casuistica 22 pacientes tuvieron recidivas. En 8 pacientes la recurrencia fue local y en 7 a distancia.  En 7 fue local y a distancia. Cinco recurrencias fueron en la cicatriz quirurgica. 3 casos fueron recidivantes en la misma mama  en un lugar proximo a la zona  operada. Los casos que más recidivaron en nuestro Trabajo fueron los que recibieron como tratamiento la tumorrectomía.  Los carcinomas medulares no recidivaron , en nuestro Trabajo. (Fig.5)

El bajo índice de recurrencia local general en nuestros casos  representa un resultado notable similar al de otros autores y no son más elevados que los reportados en pacientes con cirugía radical tradicional (3,4)  El tratamiento conservador del cáncer de mama es sin dudas una técnica a seguir en el futuro

(5,6,7).

La sobrevida la definimos como el tiempo transcurrido desde la fecha en que realizamos el diagnóstico hasta la fecha en que realizamos nuestro estudio.

El intervalo libre de enfermedad es el período comprendido entre el momento del diagnóstico y terminación del tratamiento hasta la aparición de la recurrencia.

 

 

 

 

 

 

 

 

 

 

 

 

 

Carcinoma microinfiltrante - <div style=fiogf49gjkf0dComedocarcinoma con áreas de calcificaciones y con áreas de microinvasión. Ocular 10. Obj. 10 Coloración de hematoxilina-eosina.">
Carcinoma microinfiltrante -

fiogf49gjkf0d
Comedocarcinoma con áreas de calcificaciones y con áreas de microinvasión. Ocular 10. Obj. 10 Coloración de hematoxilina-eosina.


Carcinoma lobulillar invasivo - <div style=fiogf49gjkf0dCarcinoma lobulillar con microinvasión, observándose áreas de tumor in situ. Ocular 10. Objetivo 20 Coloración Hematoxilina-eosina">
Carcinoma lobulillar invasivo -

fiogf49gjkf0d
Carcinoma lobulillar con microinvasión, observándose áreas de tumor in situ. Ocular 10. Objetivo 20 Coloración Hematoxilina-eosina


Carcinoma intraductal de Fisher - <div style=fiogf49gjkf0dCarcinoma ductal in situ con células mucoides en el revestimiento ductal. Ocular 10. Objetivo 40 Coloración de Hematoxilina-eosina">
Carcinoma intraductal de Fisher -

fiogf49gjkf0d
Carcinoma ductal in situ con células mucoides en el revestimiento ductal. Ocular 10. Objetivo 40 Coloración de Hematoxilina-eosina


Carcinoma lobulillar in situ - <div style=fiogf49gjkf0dCarcinoma lobulillar pequeño, con conservación de la membrana basal. Ocular 10. Objetivo 20 Coloración de Hematoxilina-eosina">
Carcinoma lobulillar in situ -

fiogf49gjkf0d
Carcinoma lobulillar pequeño, con conservación de la membrana basal. Ocular 10. Objetivo 20 Coloración de Hematoxilina-eosina


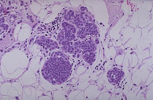
Carcinoma medular de la mama - <div style=fiogf49gjkf0dCarcinoma medular con zonas tumorales y presencia de linfocitos en el estroma Ocular 10. Objetivo 20 Coloración de Hematoxilina-eosina">
Carcinoma medular de la mama -

fiogf49gjkf0d
Carcinoma medular con zonas tumorales y presencia de linfocitos en el estroma Ocular 10. Objetivo 20 Coloración de Hematoxilina-eosina




Conclusiones    

fiogf49gjkf0d

1.- La cirugía conservadora en nuestro estudio la consideramos como exitosa y como la técnica a utilizar en el cáncer de mama cuando se cumplan los requisitos exigidos para la realización de la misma. A mayor tamaño del tumor y más cantidad de ganglios metastáticos mayor incidencia de recurrencia en la cirugía conservadora , acortamiento del intervalo libre de enfermedad y acortamiento de la supervivencia.

 

2- La cirugía conservadora debe ser realizada habiendo una buena relación de tamaño entre el tumor y la mama, con mamografía previa y con la garantía de técnicas especiales de radioterapia.

 

3-La cirugía conservadora de la mama es un procedimiento estético adecuado en la mujer con cáncer de mama.

 

4.- No debe realizarse en los tumores retroareolares.

 

5.- No debe realizarse en los estadíos III y IV.

 

6.-El peligro de recurrencia o recidiva es el mismo en la cirugía radical que en la cirugía conservadora, si se ha procedido correctamente en la técnica de este último tipo de cirugía.  En nuestro trabajo, la mayor recurrencia la tuvimos cuando practicamos la tumorrectomía.

 

7,. La mayor incidencia en nuestro estudio ocurrió en las pacientes premenopáusicas, entre 41 y 50 años.

 

 

 

 

 

 

 

 

Agradecimientos    

fiogf49gjkf0d

Queremos expresar nuestro agradecimiento a los Patólogos, Cirujanos y Oncólogos tanto del Instituto de Oncología como del Hospital Nacional por su valiosa colaboración en la confección de este Trabajo.

Queremos también expresar un especial agradecimiento al Profesor Luis Moreno de Miguel, eminente Cirujano fallecido en los últimos tiempos, que tanto nos orientó en nuestros estudios

 

Bibliografía    

1 - Fisher  E. Pathologic findings from the Natural Surgical Adjuvant Breast Projects.  Relative of local breast recurrence to multicentricity

Cancer, 1986, 57 , 1717-1724

 

2 -Bonadonna, G. y cols.  Manual de Oncología Médica. 1985, 192-230

 

3 -Bernaldelto, E. Recientes avances en diagnostico y tratamiento del cáncer de mama.Ediciones Merck Argentina, 1988.

 

4 -Registro Nacional del Cáncer. Instituto Nacional de Oncología, 2001.

 

5 -Vázquez, C. Tratamiento conservador del cáncer mamario.

Avances en Mastología, 1996.  345-346

 

6 -Martín, Miguel. Cáncer de mama. Editorial Nova Sidonia. Oncología,   Madrid. 2002

 

7 - Daniel, F. And colaborators. Breast cancer Surgery. 1995, 5-15

 

 

 

Comentarios

- Mario Miguel Morales Wong (02/10/2005 16:51:41)

LA cirugía conservadora ha devenido en salvadora de la autoestima femenina con un considerable incremento en la calidad de la vida de estas pacientes que no se ven mutiladas estéticamente de este organo tan importante , como parte del incremento de la morbilidad por esta enfermedad aún en edades más jóvenes se está desarrollando y teniendo en cuenta estas mismas indicaciones y como bien dicen los autores la proporción en el tamaño del tumor y la mama la cirugía oncoplastica en la que ambas mama s se benefician con la cirugía

- Javier Muñoz Moreno (04/10/2005 13:00:17)

Añadimos algunos conocimientos sobre terapeutica que siempre son necesarios en el ambito de la correlación clínico-patológica. Yo también pienso que las actitudes terapéuticas agresivas en nuestro tiempo son inaceptables. Pienso que todo estudio en este sentido es extremadamente importante dada la incidencia de este carcinoma y su presencia cada vez más frecuente en mujeres de edades más precoces.

- Juan antonio Suarez Gonzalez (06/10/2005 23:26:07)

Compartimos criterios con uds. y agradecemos nos presentes resultados tan interesantes, muchas gracias.

 

 

Web mantenido y actualizado por el Servicio de informática uclm. Modificado: 16/06/2015 15:10:50