Congreso Virtual sobre Anatomía Patológica


Direccion de contacto
fiogf49gjkf0d
Hospital CardioRespiratorio "Dr. Rafael Gonzalez Plaza". Unidad de Anatomía Patológica y Citología. Bárbula, Edo. Carabobo VENEZUELA

MALFORMACIÓN PULMONAR CONGÉNITA (QUISTE BRONCOGÉNICO)

Dra. Elsie Beatriz Picott Rangel*, Dra. Zulema Graciela León de Cuchiara*, Dra. María José Rendón Rodriguez*, Dr. José Ramón Montaigne*, Dr. Gustavo Andrade*
* Hospital Dr. Rafael Gonzalez Plaza VENEZUELA

Resumen

Corresponden a lesiones quísticas pulmonares o mediastínicas revestidas por epitelio columnar ciliado de tipo bronquial. La mayoría de estos quistes se pesquisan como hallazgo radiológico. Una Tomografía Axial Computarizada (TAC) con contraste delimita el quiste. Habitualmente se realiza una quistectomía, pero a veces es necesario una lobectomía dependiendo de la ubicación, tamaño y condiciones del quiste.

Se trata de paciente masculino de 23 años de edad quien refiere inicio de enfermedad actual una semana antes de su ingreso al presentar hipertermia no cuantificada, dolor torácico y tos productiva con expectoración mucopurulenta; motivo por el cual acude al Hospital Dr. Rafael G Plaza, dónde posterior a evaluación se decide su ingreso con el diagnóstico de: Absceso Pulmonar a Descartar. Posterior a estudio radiológico y tomográfico le es practicada Lobectomía Media e Inferior Derecha. El reporte de anatomía patológica fue: Quiste Broncogénico de Lóbulo Inferior (Quiste Bronquial). 

 

Introduccion    

fiogf49gjkf0d

      Las Malformaciones Pulmonares Congénitas   tienen una incidencia de un 2,2%, y son mucho menos frecuentes que las enfermedades pulmonares adquiridas. Existe un grupo de estas malformaciones que se han denominado malformaciones broncopulmonares del intestino anterior que comprenden los quistes broncogénicos (QB)  pulmonares, secuestros pulmonares intra y extralobares, quistes de duplicación y la malformación adenoidea quística pulmonar. El diagnóstico del QB suele hacerse por estudio radiológico y el tratamiento debe ser quirúrgico. 

 

Material y Métodos    

fiogf49gjkf0d

Se trata de paciente masculino de 23 años de edad quien refiere inicio de enfermedad actual una semana antes de su ingreso al presentar hipertermia no cuantificada, dolor torácico y tos productiva con expectoración mucopurulenta, motivo por el cual acude a este centro asistencial, donde previa valoración se decide su ingreso

Diagnóstico de Ingreso: Absceso pulmonar a descartar

Antecedentes de importancia:

-Personales: Neumonías a repetición, asma durante la infancia.

-Familiares: No Contributorios.

-Hábitos Psicobiológicos: No Contributorios

Examen Físico de Ingreso: Palidez cutáneo mucosa moderada.

Se le realiza estudio radiológico y tomográfico, posterior a los cuales se practica Intervención Quirúrgica: Lobectomía Media e Inferior Derecha. El reporte de anatomía patológica fue: Quiste Broncogénico de Lóbulo Inferior (Quiste Bronquial)

 

Resultados    

fiogf49gjkf0d

 

 

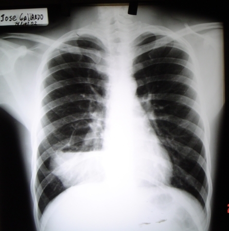
 - <div style=fiogf49gjkf0dFig.1-2. Radiografía Posteroanterior y Lateral dónde se evidencia imagen radioopaca de bordes bien definidos con nivel líquido en su interior localizada en base posterior derecha.">
-

fiogf49gjkf0d
Fig.1-2. Radiografía Posteroanterior y Lateral dónde se evidencia imagen radioopaca de bordes bien definidos con nivel líquido en su interior localizada en base posterior derecha.


 - <div style=fiogf49gjkf0d">
-

fiogf49gjkf0d


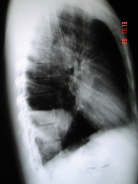
 - <div style=fiogf49gjkf0dFig. 3. Se aprecia imagen radioopaca compatible con cavidad neumónica que muestra nuvel líquido interior localizada en base pulmonar derecha. ">
-

fiogf49gjkf0d
Fig. 3. Se aprecia imagen radioopaca compatible con cavidad neumónica que muestra nuvel líquido interior localizada en base pulmonar derecha.


 - <div style=fiogf49gjkf0d Fig. 4. Espécimen quirúrgico correspondiente a Lobectomía Inferior y Media">
-

fiogf49gjkf0d
Fig. 4. Espécimen quirúrgico correspondiente a Lobectomía Inferior y Media


 - <div style=fiogf49gjkf0dFig. 5. Al corte, se aprecia espacio quístico intrapulmonar que mide 6,5x5x4cms, de superficie interna trabeculada, el cula se origina a partir de un trayecto bronquial. ">
-

fiogf49gjkf0d
Fig. 5. Al corte, se aprecia espacio quístico intrapulmonar que mide 6,5x5x4cms, de superficie interna trabeculada, el cula se origina a partir de un trayecto bronquial.


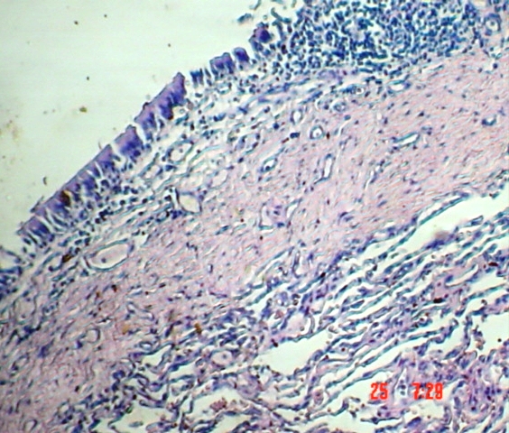
 - <div style=fiogf49gjkf0d Fig. 6-7 Se observa hacia uno de los extremos epitelio cilíndrico ciliado de tipo respiratorio, subyacente al cual apreciamos tejido conectivo vascularizado con infiltrado inflamatorio y parénquima pulmonar. H-E 100X">
-

fiogf49gjkf0d
Fig. 6-7 Se observa hacia uno de los extremos epitelio cilíndrico ciliado de tipo respiratorio, subyacente al cual apreciamos tejido conectivo vascularizado con infiltrado inflamatorio y parénquima pulmonar. H-E 100X


 - <div style=fiogf49gjkf0d">
-

fiogf49gjkf0d


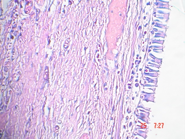
 - <div style=fiogf49gjkf0dFig. 8. A mayor aumento se aprecia el epitelio de tipo respiratorio (cilíndrico pseudoestratificado ciliado con células caliciformes). H-E 400X">
-

fiogf49gjkf0d
Fig. 8. A mayor aumento se aprecia el epitelio de tipo respiratorio (cilíndrico pseudoestratificado ciliado con células caliciformes). H-E 400X


 - <div style=fiogf49gjkf0d Fig. 9. Cartílago bronquial y glándulas submucosas formando parte de la pared del quiste. H-E 100X">
-

fiogf49gjkf0d
Fig. 9. Cartílago bronquial y glándulas submucosas formando parte de la pared del quiste. H-E 100X




Discusión    

fiogf49gjkf0d

      Los Quistes Broncogénicos corresponden a lesiones quísticas pulmonares o mediastínicas revestidas por epitelio columnar ciliado de tipo bronquial. Se desarrollan a partir de una gemación anómala del intestino primitivo. Si esta separación ocurre en forma precoz el quiste permanece en el mediastino, y si ocurre en forma tardía, da origen a los quistes de ubicación periférica. Los quistes poseen una delgada pared propia con cartílago, musculatura lisa y glándulas bronquiales. Pueden tener comunicación con la vía aérea y si la formación del quiste fue muy precoz pueden existir zonas con epitelio gástrico o esofágico. Los quistes suelen ser redondeados, uniloculares y el contenido puede ser aéreo, seroso o mucoso. A menudo son únicos, de localización mediastínica derecha preferencial. Se ubican a lo largo de la tráquea, cerca de la carina o el hilio entre la vía aérea y el esófago. La mayoría de estos quistes se pesquisan como hallazgo radiológico, ya sea por una imagen quística pulmonar única. Una TAC con contraste delimita el quiste. El tratamiento debe ser quirúrgico para evitar las complicaciones, que incluyen la malignización. Habitualmente se realiza la quistectomía pero a veces es necesario una lobectomía dependiendo de la ubicación, tamaño y condiciones del quiste.

 

Agradecimientos    

fiogf49gjkf0d

Agradecemos a Dios por permitirnos nacer en esta tierra de gracia y por darnos entereza para salir adelante, a pesar de las viscicitudes

 

Bibliografía    

Evrard V, Ceulemans J, Coosemans W, De Baere T et al: Congenital parenchymatous malformations of the lung. World J Surg 1999; 23:1123-32.

De Lorimier AA. Respiratory problems related to the airway and lung. E: O`Neil JA, Rowe Ml, Grosfeld Jl, et al, eds Pediatric Surgery. 5º ed. San Louis. Missouri. Mosby 1998; 873-97

Askin F: Respiratory Trac Disorders in the fetus and Neonate. In: Wigglesworth J, Singer D. Textbook of Fetal and Perinatal Pathology. 2ed Ed. Massachusetts Ed. Blackewll Science. 1998: 555-92

Kravitz RM: congenital malformations of the lung. Pediatr Clin North Am 1994:41:453-72.

Skandalakis J, Gray S: Embriology for Surgeons. Baltimore, Ed. Willimas d Wilkins. 1994.

 

 

Comentarios

- Jennifer Escobar Alvarado (12/10/2005 0:13:35)

te felicito querida amiga por tu constancia y dedicacion...no desfallezcas

- Emilio Mayayo Artal (12/10/2005 12:37:23)

Enhorabuena por tu labor. Bien estructurada y realizada, esto es un premio y si uno ha nacido donde se siente bien, mejor que mejor, a pesar de los pequeños infortunios. Emilio

- Osiris Cubero Menendez (14/10/2005 6:39:08)

Que buenos casos de patología pulmonar, infrecuente, nos han permitido repasar estos colegas venezolanos. Viva Venezuela.

- ELSIE BEATRIZ PICOTT RANGEL (14/10/2005 8:26:31)

Gracias por sus comentarios

- Cesáreo Corbacho Cuevas (19/10/2005 19:08:56)

Muchas gracias por remitir el caso. Un saludo muy cordial.

 

 

Web mantenido y actualizado por el Servicio de informática uclm. Modificado: 16/06/2015 15:10:50