RESUMEN

Las colitis de tipo parasitario son procesos frecuentes en la práctica diaria en los países en vías de desarrollo, constituye padecimientos endémicos, especialmente relacionados con las condiciones sanitarias. Presentamos dos casos de colitis de presentación infrecuente, una por balantiduim Coli y otra por tricocéfalos (Trichuris Trichura); la primera de evolución fatal por perforación intestinal y la segunda que por su infestación masiva, con imágenes endoscópicas, histológicas y microbiológicas poco frecuentes. Se relaciona los casos con la literatura y se adjunta bibliografía.

 

INTRODUCCIÓN

El Balantidium Coli es un flagelado intestinal ciliado (1), protozoario más grande que habita en el ser humano, su habitat es el colon, presentando manifestaciones patológicas como son úlceras semejantes a las observadas en la Amebiasis(2,6), sin causar lesiones en otros órganos. La enfermedad es más frecuente donde hay estrecha relación del ser humano con cerdos, huéspedes naturales de los que contrae la infección. El cuadro clínico en la mayoría de veces es asintomático (6), en otros casos de infestación masiva se relaciona con síntomas intestinales semejantes a los observados en amebiasis, sin compromiso extraintestinal (3), se observa: episodios de diarrea, dolor abdominal de tipo cólico, nauseas, vómito y tenesmo.

En las zonas tropicales, especialmente húmedas los casos de infección a más de ser frecuentes, suelen ser severas. El diagnóstico se realiza por el examen directo de las heces mediante montaje en solución salina, en la cual se observan los parásitos en forma trofozoítica, con movimientos rápidos debido a la cubierta de cilios que los rodea. La forma quística, es circular de unas 40 micras con una pared gruesa que se tiñe fuertemente y puede verse el parásito dentro del quiste(3).

El Balantidium invade la pared intestinal causando úlceras similares a las de la amebiasis, con puentes y zonas de necrosis de coagulación en donde se observan los parásitos, con células inflamatorias adyacentes tipo linfocitos y plasmocitos, la presencia de polinucleados se relaciona con complicación bacteriana.

Swartzwelder en 1950 define tres categorias principales de manifestaciones clínicas: 1.- Portador asintomático; 2.- Estado crónico sintomático caracterizado por diarrea alterando con constipación y 3.- Enfermedad aguda o disentérica (7).

El diagnóstico se basa en la observación de los parásitos en forma trofozoítica o los quistes en el examen directo de las heces, visible por el tamaño y por la forma del mismo, así como por su movilidad.

 

TRICOCEFALOSIS

Esta causada por el Trichuris Trichura, es la tercera más común de las infecciones intestinales por helmintos, seguido de la ascaridiasis y la amebiasis (6), vive comúnmente en el ciego y en el sigmoides del hombre, tiene 4 cm de largo, con una parte engrosada y una delgada la anterior. Tiene una distribución mundial, pero es más frecuente en las regiones tropicales y subtropicales. La contaminación es directa con los huevos, eliminados por las heces del hombre que es su reservorio natural. La ingestión de huevos embrionados en el medio ambiente, llegan al tubo digestivo donde eclosiona la larva desarrollándose el parásito adulto, que habita el intestino grueso(2).

Las infecciones leves son generalmente asintomáticas, cuando la cantidad de parásitos es grande se aprecia una colitis con moco y sangre en las heces. El diagnóstico se basa en observar los huevos en las heces, los mismos que se deben contar para tener una idea de la severidad de la infección.

El parásito adulto es observado más frecuentemente en el ciego y sigmoides(6), pero se puede observar en cualquier zona del colon, se introduce en la mucosa de la cual se nutre, comprimiendo las glándulas en vecindad y dilatando otras con moco, un infiltrado inflamatorio rico en neutrófilos en medio de un fondo de fibrina, con ocasionales eosinófilos alrededor del gusano. El infiltrado no se extiende mas allá de la muscularis, y la hiperplasia linfoide puede ser observada. Cuando compromete la luz del apéndice, puede obstruir la misma provocando apendicitis(6).

 

MATERIAL Y MÉTODOS (PRESENTACIÓN DE DOS CASOS)

CASO 1:

Corresponde a una mujer de 52 años, procedente de la región subtropical occidental del país, cuya ocupación es la cría de cerdos. Acude por cuadro de dos meses de evolución caracterizado por dolor abdominal intermitente y deposiciones diarreicas en número de 1 a 3 por día. Cuatro días antes de su ingreso presenta: deposiciones sanguinolentas, tenesmo rectal, así como dolor continuo desde hace 48 horas.

Temperatura: 38.5 g. Abdomen distendido, con disminución de ruidos hidroaéreos.

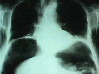
Laboratorio: leucocitos: 13.600. Segmentados 86 % , linfocitos: 4%. Se realizó estudios: (fig 1);

Rx tóraco abdominal: en la que se identifica importante cantidad de aire en los espacios subfrénicos bilaterales y que están en relación a perforación de víscera hueca.

El estudio endoscópico muestra varios tipos lesiones, en la figura:2, se observa múltiples erosiones y ulceraciones de la mucosa, semejantes a las observadas en la infección por amebiasis. Las figuras 3 y 4; presentan lesiones ulceradas múltiples, necrotizantes en un fondo hemorrágico.

Estudio parasitológico de la muestra en fresco de heces( figura: 5): se reconoce el trofozoíto como un cuerpo ovoide, rodeado de cilios que suelen estar en constante movimiento, el parásito inferior muestra en el extremo izquierdo una depresión o escotadura que corresponde al Cistoma. Con éste método no es posible ver con facilidad el macronúcleo y micronúcleo

En el estudio histológico de las muestras de mucosa intestinal, (figuras: 6 y 7). Se aprecia mucosa cólica, con cambios inflamatorios severos, necrosis de coagulación, restos de celulares en parcial conservación, una respuesta inflamatoria de tipo mixto y la presencia del parásito, que se tiñe intensamente con los colorantes corrientes, con un citoplasma eosinófilo, con una granulación evidente y microvacuolas claras, de forma paracentral una gran núcleo basófilo de forma de "riñón" o en "pera", aunque pueden verse formas parasitarias sin núcleo con una coloración eosinófila homogenea.

La evolución del caso fue desfavorable, luego de establecerse el diagnóstico , el desequilibrio hidroelectrolítico y el estado de sepsis, no permitió realizar más procedimientos y fallece la paciente a las 48 horas.

CASO 2:

Paciente femenina de 8 años de edad, procedencia rural, zona andina. De condición socioeconómica baja, instrucción primaria.
Acude por cuadro de un mes de evolución, con malestar general, astenia, cansancio fácil y episodios de dolor abdominal tipo cólico intermitente.
Deposiciones diarreicas uno o dos por día, que se agraba cuatro días antes del ingreso con deposiciones sanguinolentas y tenesmo rectal.

Laboratorio: leucocitos: 9.700; segmentados 72%, linfocitos 18 % y eosinófilos : 10 %. Hemoglobina de 7,4 gm. Resto sin importancia.
Se realiza estudio endoscópico, parasitológico e histológico.
Evolución: favorable con tratamiento con mebendazol.

En la rectosigmoideoscopía se observa una infestación masiva por larvas de tricocéfalos, nótese la forma en la que los parásitos se adhieren a la mucosa intestinal, la misma que presenta marcado edema, congestión y microhemorragia. (figuras: 8 y 9).

Se tomó muestras del material intestinal para estudio microscópico, tanto para la visión directa de los parásitos, así como biopsias de la mucosa cólica para la valoración de la intensidad de la respuesta inflamatoria.

En las figuras: 10 y 11; Se observa en un campo varios huevos de parásito con la morfología "en barril" con los extremos operculados, el parásito hembra adulto, en el momento de la expulsión de los huevos, obsérvese la cantidad de los mismos que están en proceso de expulsión.

La mucosa cólica muestra luces glandulares y criptas con epitelio columnar sin mayores cambios, a nivel del corion el infiltrado es de tipo mixto con numerosos polinucleados eosinófilos y la presencia de los parásitos adultos en cortes sagitales, uno de ellos adherido a la mucosa. (figuras 12 y 13 ).

El tratamiento con Mebendazol a la dosis de 100 mg bid por tres días, determinó una evolución satisfactoria, con la suspensión del cuadro intestinal y luego del mismo la negatividad de la presencia del parásito en los exámenes coprológicos de control.

 

DISCUSIÓN

Estas dos parasitosis presentadas como cuadros de colitis, ilustradas con imágenes endoscópicas, parasitológicas e histológicas, son entidades poco estudiadas y difundidas, especialmente la balantidiasis se considera una enfermedad poco común, hasta los años 60 se había reportado 600 casos de infestación al ser humano (2), los estudios de frecuencia de ésta entidad son contradictorios, algunos autores señalan el 1 % de la población, mientras que en otros alcanza al 28 % en zonas tropicales. En nuestra experiencia los casos que hemos tenido la oportunidad de estudiar, vienen de las regiones subtropicales, húmedas, de pacientes relacionadas con la cría de cerdos. Este caso es el más dramático, la paciente llegó al servicio en mal estado general con evolución fatal por perforación intestinal, esta forma de evolución poco corriente puede presentarse bajo dos formas, como apendicitis aguda o perforación intestinal. (5,7). Los primeros casos de perforación intestinal por balantidiasis fueron publicados en 1947 por Correa Henao, con dos casos igualmente fatales. Se han descrito localizaciones eventuales como en vías urinarias y en vagina (1,4).

En lo referente a la tricocefalosis, nuestra experiencia es mayor, aunque los cuadros clínicos no suelen ser tan severos como el presentado, la mayoría de pacientes corresponden al área rural, de condiciones sociales y económicas bajas, que vienen a la consulta por poliparasitosis, se asocia con ascaridiasis en la mayoría de los casos; en los niños, se suele asociar a más de diarrea, distensión, flatulencia, anemia, pérdida de peso con prolapso rectal. La carga parasitaria es importante para la aparición de la anemia, una carga de 200 a 1000 gusanos pueden causar anemia por pérdida de sangre que va desde los 4 a 10 ml, diarios. No tenemos la frecuencia de caquecia reportada en países como Malaysia y South Africa, en la que se observa cambios tróficos en los tegumentos y dedos en "palillo de tambor"(6,7 ). En nuestros casos la droga de elección es el mebendazol, a dosis de 100 mg dos veces por día por tres días, con controles posteriores.

 

BIBLIOGRAFÍA

  1. Bernard Henry; Diagnóstico y tratamiento clínico por el laboratorio; 9na edición; 1226; Salvat 1993.
  2. Biagi Francisco; Enfermedades parasitarias; 2da edición, 77-80; La Prensa Médica Mexicana S.A. 1986.
  3. Zaman Viqar; Atlas en color de Parasitología Clínica; 2da edición; 88-92; Ed. Méd. Panamericana; 1988.
  4. Craig y Faust; Parasitología Clínica; 1ra Edición; 245,247; 1974.
  5. Maleky-F; Case report of Balantidium coli in human from south of Tehran, Iran.: Indian-J-Med-Sci. 1998 May; 52(5): 201-2.
  6. Champman H. Binford; Pathology of tropical and extraordinary diseases; VolumenOne; A.F.P; 325-326; 415-420; 1976.
  7. Connor Daniel and Et al; Pathology of infectious Dideases; Appleton -Lange; 1141-1142; 1585-1588; 1997.

 

 

FIGURAS



Figura 1.

 



Figura 2.

 



Figura 3.

 



Figura 4.

 



Figura 5.

 



Figura 6.

 



Figura 7.

 



Figura 8.

 



Figura 9.

 



Figura 10.

 



Figura 11.

 



Figura 12.

 



Figura 13.