ÍNDICE

Paaf de mama: Introducción

Categorías diagnósticas del frotis de la PAAF de mama

Entidades diagnósticas del frotis de paaf de mama

Problemas diagnósticos en la PAAF de mama

 

 

INTRODUCCIÓN

La Punción-Aspiración con aguja fina (PAAF) de mama es un medio diagnóstico de gran interés dadas la elevada frecuencia de patología mamaria y la importante tasa de malignidad que esta conlleva, junto a la consideración de método sencillo, barato y seguro para reconocer dicha patología.

La exposición que vamos a realizar aborda en primer lugar una orientación clínica del problema, para a continuación ver los criterios diagnósticos en punción y los problemas más relevantes para el diagnóstico que la propia punción nos crea.

En una primera aproximación a la técnica, con una perspectiva puramente clínica, nos debemos preguntar qué podemos esperar del método: ¿qué se puede o debe pinchar?, ¿cómo, quién y dónde se realiza la prueba? y ¿cuáles son sus resultados desde el punto de vista práctico?.

 

Los criterios que se tienen en cuenta para realizar una PAAF de mama son variados y discutidos (8). En principio, la punción es necesaria en todos aquellos nódulos palpables cuyo diagnóstico tiene alguna duda, es muy útil en los quistes (ya que obtiene un diagnóstico certero y elimina el problema de molestias o dolor) y, además, puede ser utilizada para tranquilizar definitivamente a la paciente en lesiones, también palpables, con diagnóstico clínico y/o mamográfico benigno (áreas mastopáticas y fibroadenomas). Esta última razón, aparentemente más social que médica, está en franca discusión. Su utilidad también está bien reconocida para el reconocimiento de posibles recidivas y metástasis.
En las lesiones con diagnóstico cierto de malignidad, y clínicamente inoperables, se puede hacer PAAF para obtener material con el que realizar un diagnóstico del tipo tumoral, de la diferenciación nuclear, con o sin morfometría (4), así como estudios sobre receptores hormonales (de estrógenos y progesterona), índices de proliferación, colagenasas y sus inhibidores y amplificación de oncogenes, o contenido nuclear de ADN (citometría de flujo). Todo ello puede ser realizado con material de punción, incluso con mejores resultados que los obtenidos con el tejido procesado para histología, al ser menor la manipulación del material, aunque con las limitaciones que la escasez del material suponen(3,33).
Mucho más discutida es la utilidad de la PAAF en nódulos con un diagnóstico clínico y/o mamográfico de malignidad, en los que, además, se suele realizar biopsia peroperatoria. En estos casos se aboga por sustituir el estudio peroperatorio con la PAAF, lo que no está universalmente aceptado. En cualquier caso, la relación entre los clínicos y el patólogo suele ser decisiva en el protocolo a seguir. Sin embargo, para lo que sí puede ser útil la citología (aunque no específicamente la obtenida por PAAF) en estos casos es para el control peroperatorio de los bordes quirúrgicos de resección mediante el raspado de los bordes de la pieza remitida (9).
También puede ser utilizada para el "estudio de extensión" prequirúrgico si se realiza sobre ganglios axilares, algo que en un futuro puede ser una maniobra obligada en el protocolo de tratamiento del cáncer de mama (Fig. 1).
En cualquier caso, cada vez es más universal la inclusión de la punción, junto a la mamografía y la clínica, en un "triple test" necesario para asegurar la naturaleza de una determinada lesión, de forma que si los tres estudios arrojan una impresión de malignidad la probabilidad de que el diagnóstico sea correcto es del 99%, mientras que cuando uno de los tres datos no apoya el diagnóstico, la certeza diagnóstica baja en un porcentaje importante, y la biopsia puede llegar a ser necesaria.

 

Por lo que a la técnica se refiere, la punción requiere una jeringuilla, una aguja y un "tirador", además de portas y un fijador. Se puede realizar en la propia consulta. Se utilizan agujas de 0,6 o 0,8 mm (25-23G) de grosor por 4,5 cm de longitud (obviamente, de mayor longitud si el tamaño de la mama lo requiere), y jeringuillas de 10 o de 20 c.c. de capacidad. Se debe hacer siempre después de la mamografía, para evitar "artefactos" en la imagen (aunque esos "artefactos" son discutidos). La paciente (o el paciente) puede estar sentada, aunque es preferible que se encuentre en decúbito supino. La punción puede hacerla todo aquel que quiera y sepa hacerla. Consiste en sujetar la lesión con una mano, pincharla con la otra, aspirar el embolo de la jeringuilla y realizar pequeños movimientos de entrada y salida de la aguja en el nódulo sin soltar la aspiración. Finalmente, soltar suavemente el émbolo para quitar la fuerza de aspiración, sacar la aguja y expulsar el material obtenido sobre varios portas. El material se extiende, se fija con alcohol-eter para tinciones con Papanicolaou o se deja secar al aire para tinciones tipo MGG. La tinción más utilizada es el Papanicolaou, pero también es muy utilizada la tinción de MGG, o su variante rápida de Diff-Quik. Esta última se está imponiendo al ser de muy rápida y fácil elaboración, lo que permite un control casi inmediato sobre la utilidad de la muestra para hacer un diagnóstico, y con mucha frecuencia el diagnóstico definitivo de la punción realizada (36). Se puede, e incluso se debe, emplear el control eco o mamográfico para nódulos de difícil localización y palpación, lo que disminuye el porcentaje de muestras no útiles. Las lesiones subareolares y la ginecomastia son muy dolorosas, lo que obliga a un cuidado especial.

 

Las complicaciones posibles son hematomas locales, que pueden dificultar estudios radiológicos posteriores, y muy raros neumotórax en pacientes delgadas con poca mama. Por otra parte, y como casi en prácticamente cualquier órgano en el que se realizan PAAFs, está descrita la necrosis de la lesión pinchada, lo que puede dificultar notablemente el estudio histológico posterior(11).

 

Los resultados de la técnica son, en general, muy buenos. No obstante, dependen de muchos factores, como son el número de pinchazos, el tamaño del tumor, la naturaleza de la lesión y la experiencia de quien realiza la punción y quien interpreta la muestra. Por tanto, la variabilidad de los datos que aparecen en la literatura es grande, y no depende tanto de la técnica en sí como de la población puncionada y de los criterios de diagnóstico. A modo de resumen, según datos que la Sociedad Española de Citología (SEC) publicó en 1981(43) la sensibilidad para benignidad es del 94,43%, para malignidad 93,93%; la especificidad para benignidad 94,37% y para malignidad 94%, siempre excluyendo las muestras no valorables. Con datos de la literatura habitual, la precisión diagnóstica general es del 84-96%, obedeciendo la variabilidad a la inclusión o no de frotis poco o nada valorables y a la agrupación diagnóstica en diferentes categorías, si bien los resultados son, en general, satisfactorios(34).
Tanto falsos positivos como falsos negativos llegan al 3%. Los falsos negativos pueden deberse a errores de muestreo o a errores interpretativos. Provocan errores interpretativos los cuadros bien diferenciados como son los carcinomas tubular y lobulillar y las lesiones no infiltrantes; además, las lesiones rodeadas por una mastopatía, especialmente si esta es florida, pueden presentar un diagnóstico complicado. Las muestras con insuficiente material suelen proceder de lesiones difíciles de aspirar por su estructura (carcinoma escirro) o tamaño (a su vez, el tamaño "pequeño" depende de su comparación con el tamaño de la mama "portadora"). Los falsos positivos se deben a cuadros proliferativos (segunda fase del ciclo, embarazo - Figs. 2 y 3-, y mastopatías muy floridas), a proliferaciones papilares, a la atipia provocada por quimio y radioterapia, y a cuadros con necrosis (abscesos y necrosis grasa). Además, el porcentaje de frotis en los que hay que hacer reseña de lesión atípica o sospechosa, es cercano al 20%(2,60).
Las muestras insatisfactorias varían mucho, en dependencia de los criterios para admitir una paciente a punción; con criterios estrictos no debe superar el 5%(16,54). La punción en el varón admite un mayor porcentaje de muestras insatisfactorias, ya que la patología más habitual, la ginecomastia, tiene un importante componente fibroso que dificulta la obtención de material(23).
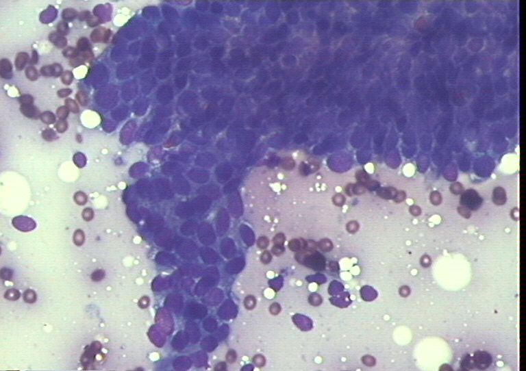
Así las cosas, cuando una lesión tiene sospecha de malignidad mediante clínica y/o mamografía, la confirmación con una PAAF se logra en un 60% casos, y con PAAFs repetidas (hasta lograr un material satisfactorio) en el 90% de las veces. La realización del bloque celular también mejora los resultados de la simple extensión citológica(5), si bien a costa de convertir el método sencillo y barato en algo más complejo. La toma de cilindros-biopsia por punción es más efectiva: 70y 95% respectivamente, pero también más compleja y cara (Figs. 4 y 5). En resumen, la PAAF logra un beneficio evidente, reduciendo de forma importante el número de pacientes que necesitan una biopsia abierta para confirmar un diagnóstico, lo que se traduce en una disminución del costo sanitario derivado del diagnóstico del nódulo de mama. Si además podemos pinchar lesiones no palpables (21,29) (mediante estereotaxia y/o ecografía sobre focos de microcalcificación), logramos una precocidad diagnóstica importante. Esto ha permitido que sobre las piezas quirúrgicas, las lesiones con componente "in situ" pasen del 40% al 80%. Además, evitamos tener que hacer biopsia abierta sobre todas las pacientes con focos de microcalcificación, que en más del 75% de casos solo presentan patología mastopática benigna. Si en una pieza obtenida por estereotaxia se observa algún grado de atipia epitelial, la toma de biopsia es obligada.
Por último, nos parece importante volver a indicar que no toda punción obtiene un rendimiento seguro. Uno de los mayores problemas en la práctica diaria de la PAAF de mama es el alto porcentaje de muestras no útiles para estudio (28). Los nódulos son difíciles de reconocer e inmovilizar cuando son profundos o asientan en mamas densas, y, por tanto, difíciles de pinchar con seguridad; además, es muy frecuente solicitar la punción sobre "áreas" nodulares, cuya punción "a ciegas" suele ser poco concluyente. Las lesiones fibróticas (tumores escirros y cuadros esclerosantes) permiten la obtención de muy escaso material. Por ello no es extraño que en algunas publicaciones se obtengan porcentajes de muestras inadecuadas tan altos como del 45%, e incluso en grupos con reconocida experiencia se llegue al 30%. En líneas generales, cuando se es estricto en los criterios de diagnóstico citológico, el número de muestras insatisfactorias es alto, y las entidades a diagnosticar resultan limitadas, pero el grado de certeza que se obtiene cuando una muestra es identificada como maligna es muy alto, y, al final, el prestigio de la técnica resulta reforzado.

Pero el clínico no sólo debe saber que grado de utilidad representa la PAAF de mama, también debe estar preparado para conocer las diferentes entidades diagnósticas que la PAAF de mama permite. En principio, cualquier patología es susceptible de ser reconocida, pero en la práctica hay ciertas limitaciones, lo que nos lleva a una segunda parte de esta exposición, más enfocada al patólogo, y encaminada a exponer los criterios de lectura de un frotis procedente de una PAAF de mama, y a conocer los diferentes cuadros que podemos reconocer.

 

 


 

CATEGORÍAS DIAGNÓSTICAS DEL FROTIS DE PAAF DE MAMA:

A la hora de emitir un informe, es fundamental tener unos criterios claros de lo que se desea conocer: una orientación clínica suficiente para abordar un determinado problema, o un diagnóstico exacto y lo más completo posible. Diferentes autores han defendido una u otra postura, y las discusiones continúan(35). Actualmente, parece haber acuerdo sobre la primera, de forma que se ofrece al clínico una categoría diagnóstica que implica una postura médica concreta, y se deja para el estudio sobre la pieza quirúrgica, si la hay, las matizaciones diagnósticas pertinentes. No obstante, esta norma general se debe saltar cuando se trata de calificar lesiones inoperables por su estadio clínico, en las que se debe dar la mayor información posible sobre la lesión; y se puede complementar con un diagnóstico preciso si la preparación del patólogo lo permite.

A este respecto, se han publicado muchos trabajos que aportan diferentes calificaciones diagnósticas, aunque sólo algunos de ellos tienen unos subgrupos con la suficiente utilidad clínica(31,41,51,57). De estos, me permito recomendar el reseñado por Logrono y cols.(31), que, aunque con matizaciones, tiene amplia aceptación y parece ser muy útil desde el punto de vista clínico.

I- Frotis negativo para malignidad. En otras clasificaciones se le denomina simplemente "benigno". Incluye quistes, abscesos, necrosis grasa, cambios fibroquísticos sin componente epitelial proliferativo, el fibroadenoma y otros frotis negativos carentes de especificidad.
Frotis: Poca celularidad en general. Los grupos celulares son compactos, y con células uniformes de núcleo pequeño sin atipia ni nucléolo. El fondo suele ser limpio, seroso, con histiocitos, células apocrinas y mioepitelio (con frecuencia en parejas de núcleos(59)). Naturalmente, los cuadros inflamatorios, en especial los agudos, tienen otro aspecto que se comentará más adelante (Figs. 6 y 7).

II- Frotis con células atípicas de significado clínico indeterminado. En otras clasificaciones tiene denominaciones muy variadas que incluyen "coletillas" como "con atipia", "con proliferación", "proliferación epitelial con atipia", "no concluyente", …....
Incluye a los frotis de fibroadenomas muy celulares, papilomas intraductales, enfermedad fibroquística con cambios proliferativos del epitelio y al adenoma tubular. Cuando hay una sospecha clínica o radiológica de malignidad, la identificación de esta categoría de frotis implica la realización de una biopsia. A efectos de agrupar lesiones para estudios estadísticos, se consideran frotis "benignos". Es el subgrupo cuya utilización tiene más detractores.
Frotis: Además de los componentes propios de frotis negativo para malignidad, se observan aislados grupos celulares de morfología muy irregular o papilar, con elementos que presentan nucléolo, o con cierto amontonamiento de los núcleos (Fig. 8).

III- Frotis sospechoso de malignidad. En otras clasificaciones, se le señala como "sospechoso", "sugerente de malignidad", y también "no concluyente".
Incluye a frotis de enfermedad fibroquística cuyo componente epitelial proliferativo presenta algún grado de atipia (hiperplasia ductal atípica) y al fibroadenoma atípico-tumor fillodes. Un frotis incluido en esta categoría requiere siempre estudio del cuadro mediante biopsia. A efectos de agrupar lesiones para estudios estadísticos, se consideran frotis "malignos".
Frotis: Grupos con rasgos de malignidad (tridimensionalidad, anisonucleosis, nucléolos) entre algunas placas de aspecto benigno y/o un fondo con "mioepitelio" (Fig. 9).

IV- Frotis positivo. En otras clasificaciones es denominado "maligno". Se incluyen aquí los frotis con malignidad obvia.
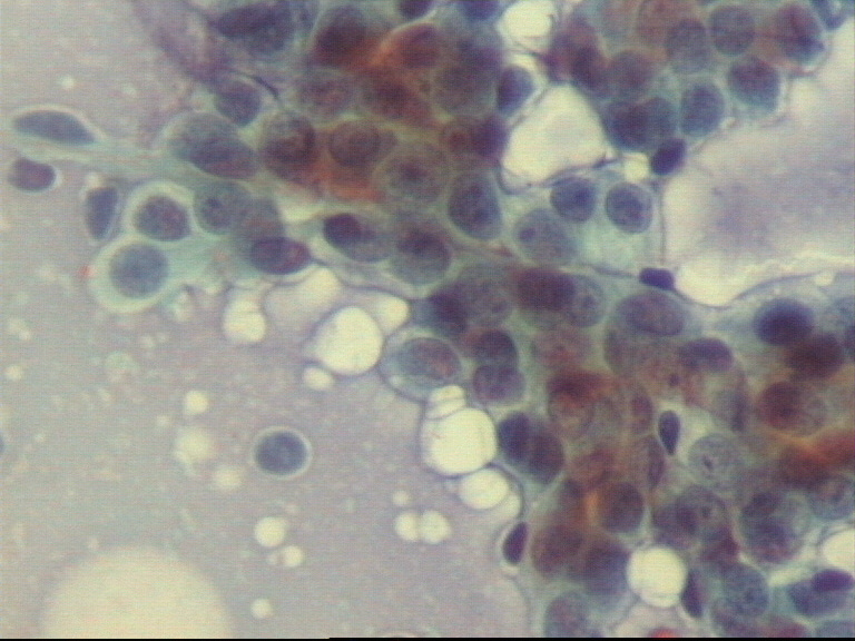
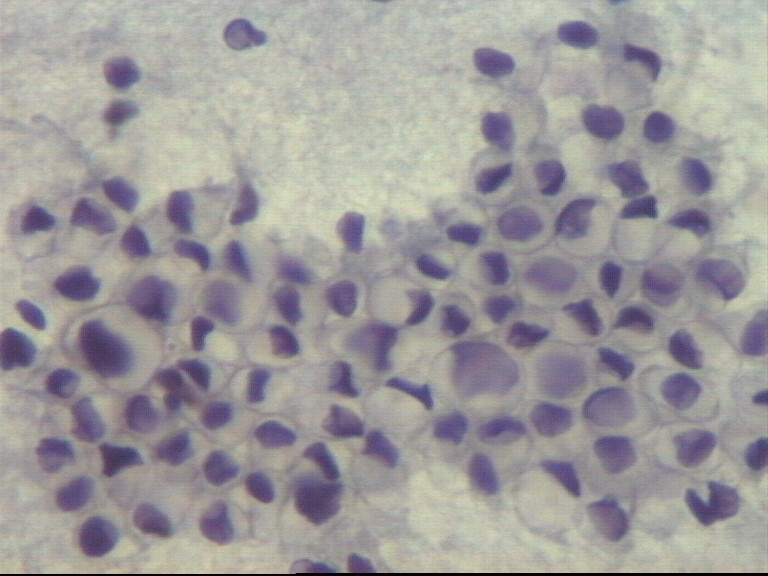
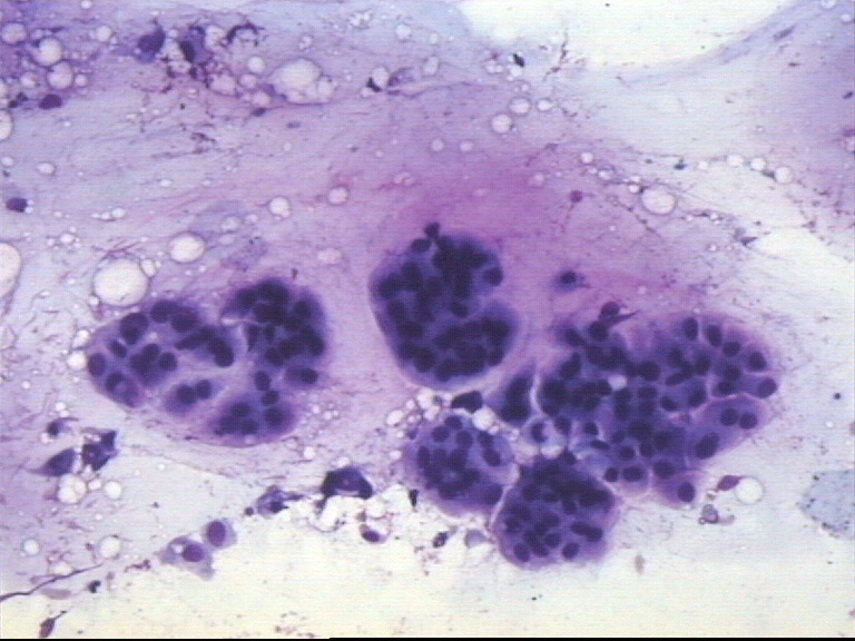
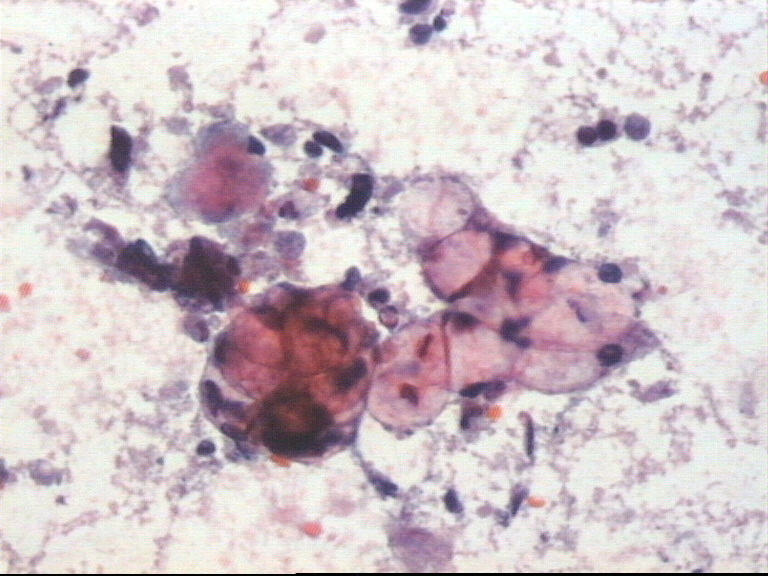
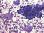
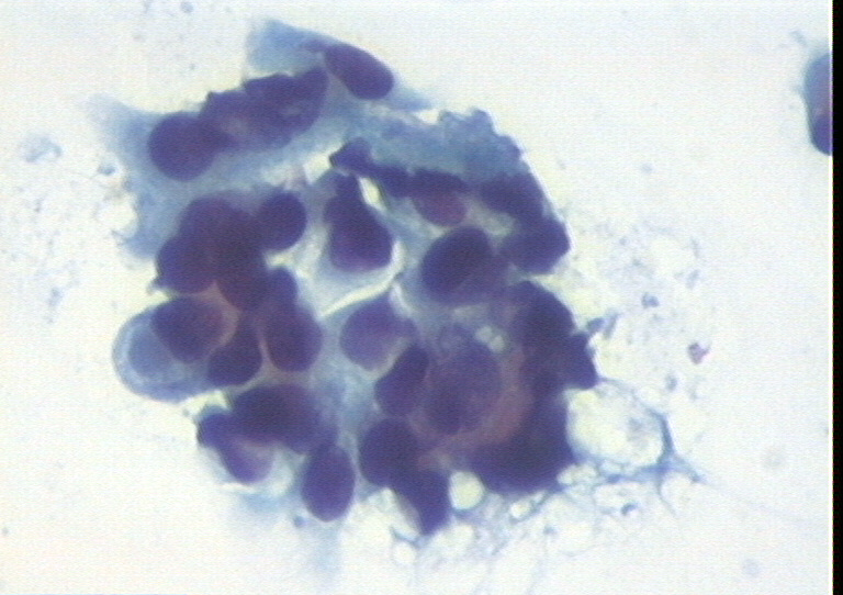
Frotis: Celularidad abundante en grupos irregulares, tridimensionales, con células que se desprenden de los bordes y elementos sueltos ("disgregación"). En tumores escirros la celularidad puede ser muy escasa, e incluso proporcionar, repetidamente, "material insuficiente". Los núcleos son grandes, están amontonados, y presentan amoldamientos entre ellos. La atipia es variable, pero hay polimorfía y anisonucleosis, núcleos de cromatina gruesa y nucléolos. Puede haber multinucleaciones y un número muy variable de mitosis, a veces atípicas. Los citoplasmas están mal definidos, y a veces son vacuolados; las luces intracitoplasmáticas con secreción ("cuerpos magenta") son mucho más frecuentes en las lesiones malignas, pero no son exclusivas ni de malignidad ni de patología de mama. El fondo de las tomas suele ser sucio, serohemorrágico, necrótico o inflamatorio. Normalmente, no debe haber mioepitelio ni grupos "benignos". Es un rasgo muy fiable de malignidad la existencia de grupos de estroma adiposo adheridos a grupos con atipia citológica (Fig. 10).

Además, se incluye una categoría, de "muestra insatisfactoria" cuando no hay en el frotis un mínimo de celularidad. Este "mínimo" también está discutido, y en cualquier caso depende de la lesión a estudiar: para una mastopatía, escasos histiocitos y un grupo fibroadiposo puede ser suficiente; para un cáncer de mama dudoso, no. Como norma general, se puede considerar como muestra mínima seis grupos epiteliales cohesivos, cada uno de ellos con un mínimo de cinco células ductales (31,52). Evidentemente, es necesario reconsiderar estas limitaciones cuando se valoran mamas muy fibrosas, nódulos fibroadiposos o la punción de un quiste, que, lógicamente, no proporcionan, normalmente, los grupos epiteliales que la norma pretende controlar.

No obstante, todas estas calificaciones diagnósticas genéricas agrupan a una serie de cuadros cuyo reconocimiento en PAAF suele ser posible y, por tanto, deben hacerse constar en el informe citológico para proporcionar al clínico la mayor información posible con el fin de facilitar la decisión terapéutica más apropiada. A continuación se especifican los rasgos citológicos de las lesiones mamarias. En general, los cuadros con una cierta frecuencia presentan rasgos citológicos que han sido suficientemente contrastados, sin embargo, las lesiones menos habituales sólo contienen algunas referencias bibliográficas que hemos procurado aportar. A falta de una "citopatología por PAAF basada en la evidencia" hemos intentado exponer criterios sólidos y referencias fiables que permitan ayudar en la práctica diaria.

 

 


 

ENTIDADES DIAGNÓSTICAS DEL FROTIS DE PAAF DE MAMA

 

Frotis de una mama sin patología (frotis negativo NOS):

- Fondo seroso, azulado, con núcleos pequeños y ovoides de mioepitelio-células estromales (el verdadero origen de los núcleos desnudos del fondo de los frotis es discutido, aunque parece que corresponden a ambos tipos celulares: mioepitelio y fibroblastos del estroma), algún polimorfonuclear neutrófilo y hematíes.
- El epitelio ductal es muy escaso, en grupos-placas de células monocapa, de núcleos uniformes, con ligera variación del tamaño, redondos u ovoides y pequeños, sin nucléolo visible. La actividad hormonal determina citoplasmas vacuolados y núcleos rechazados a la periferia con nucléolo prominente (Fig. 3 y 6).
- En el embarazo hay "cuerpos del calostro": células espumosas con núcleo periférico, gránulos eosinófilos de proteína y espacios claros correspondientes a gotas de lípidos (18).
- Ocasionalmente, algún grupo acinar de pequeñas luces con epitelio periférico, cúbico y uniforme.
- Normalmente grupos de tejido adiposo maduro y rara vez fragmentos de estroma conectivo, metacromáticos, con células de núcleo alargado (Figs. 7 y 23).

 

GALACTOCELE

Se produce tras una supresión brusca de la lactancia que determina la formación de espacios quísticos en los conductos galactóforos, ocupados entonces por un material lacteo. Puede complicarse con un proceso inflamatorio sobreañadido: galactoforitis.
Frotis: fondo lactescente con abundantes células espumosas en diferentes grados de degeneración. El componente inflamatorio depende del estado de la lesión, pudiendo ser muy rico en polimorfonucleares neutrófilos cuando se transforma en una galactoforitis (Fig. 11).

 

GALACTOFORITIS

Es un proceso inflamatorio que afecta a los conductos galactóforos. Puede asentar sobre un galactocele o no. Cuarsa con fiebre y dolor local.
Frotis: Fondo lactescente con células espumosas, parcialmente rotas y degeneradas, polimorfonucleares neutrófilos y un moderado número de linfocitos.

 

MASTITIS AGUDA

Es un cuadro infrecuente, que normalmente se da durante la lactancia, y que generalmente es debido al Stafilococo aureus. Si se reconoce su naturaleza, no se debe pinchar.
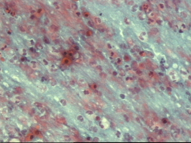
Frotis: fondo inflamatorio, con fibrina y restos necróticos, polimorfonucleares neutrófilos, linfocitos, células plasmáticas, histiocitos y células gigantes, así como epitelio degenerado que puede presentar rasgos de atipia. Puede haber material cálcico (Fig. 12).

En el Absceso retroareolar (32) hay, además, muchas escamas anucleadas y cristales de colesterol (Fig. 13).
Diagnóstico diferencial: carcinomas con necrosis y especialmente el carcinoma medular, debido al epitelio degenerado y a las agrupaciones de histiocitos. La historia clínica y el fondo inflamatorio, predominantemente necrótico y agudo, deben ser de suficiente valor, además las células epiteliales presentan rasgos degenerativos más que verdadera atipia.. El absceso se diferencia de la galactoforitis en que en ésta hay menos necrosis y el fondo de las tomas incluye células espumosas.

 

MASTITIS DE CÉLULAS PLASMÁTICAS

Parece ser una ectasia ductal, con respuesta inflamatoria crónica alrededor del ducto. Es rara, suele darse en pacientes mayores, multíparas, cursando con galactorrea intermitente.
Frotis: fondo necrótico con histiocitos en las fases con mucha ectasia; escasa celularidad, entre la que destacan las células plasmáticas, con epitelio que puede mostrar mucha atipia, en las fases de estado.

 

MASTITIS TUBERCULOSA

Es una lesión muy rara en nuestro medio, aunque los trabajos publicados le dan una incidencia del 1% de los nódulos que se pinchan en los países desarrollados. La inmunosupresión y las malas condiciones higienicosanitarias aumentan esa incidencia.
Frotis: grupos de células epitelioides sobre un fondo de polimorfonucleares neutrófilos y linfocitos. Además, suelen verse células gigantes, pero sólo en la mitad de los casos hay necrosis. La tinción de Zielh-Neelsen es definitiva para el diagnóstico cuando demuestra la existencia del bacilo, pero su efectividad es limitada.
Diagnóstico diferencial: otros procesos inflamatorios granulomatosos, cuya expresión en PAAF es similar. Sólo la necrosis permite orientar el cuadro hacia un origen fímico (19).

 

NECROSIS GRASA

Puede ser de origen traumático, quirúrgico o accidental, aunque en más de la mitad de los casos falta este dato clínico. Son nódulos dolorosos en su inicio y duros en la fase cicatricial, ya que el proceso supone un cuadro inflamatorio con las fases aguda (necrótica) y crónica (de tipo reparativo). La radiología y la clínica pueden ser sugerentes de malignidad.
Frotis: fondo serohemorrágico con vacuolas ópticamente vacías, histiocitos espumosos y microvacuolados, cristales de colesterol, polimorfonucleares y epitelio degenerado, en la fase aguda. Células gigantes y fibroblastos activados, en la fase de estado, o crónica. En ambas fases hay, además, mioepitelio-células estromales en el fondo de los frotis (Fig. 14).
Diagnóstico diferencial: Carcinomas con necrosis, en particular en la fase aguda, pero los histiocitos espumosos y el componente inflamatorio mixto deben orientar hacia la necrosis grasa.

 

MASTOPATÍA FIBROQUÍSTICA

Es la patología que con más frecuencia resulta susceptible de punción. Afecta a un 40% de mujeres entre los 30 y 50 años. Suele ser bilateral y cursa con clínica de dolor y mamas tensas y multinodulares, con oscilaciones del cuadro clínico relacionadas con las fases del período menstrual. Histológicamente, es un cuadro de difícil definición, que agrupa muy diversas y diferentes imágenes histológicas: fibrosis más o menos densa, quistes con o sin metaplasia apocrina y ectasia canalicular, algún grado de inflamación y algún grado de hiperplasia del epitelio ductal (epiteliosis-papilomatosis) o lobulillar (adenosis, adenosis esclerosante y proliferaciones del mioepitelio). Sólo las proliferaciones del epitelio están relacionadas con un incremento en la incidencia del cáncer de mama (aproximadamente, el doble).
Frotis: Es muy habitual el frotis limpio, con "material insuficiente" por la punción a ciegas sobre un área fibrosa. A veces sólo se obtiene tejido fibroadiposo en pequeños grupos, o pequeños grupos de epitelio, escaso mioepitelio (núcleos desnudos oscuros y alargados), y aislados histiocitos-células espumosas.
Pero, además, si se punciona alguno de los cuadros histológicos arriba señalados podremos ver :

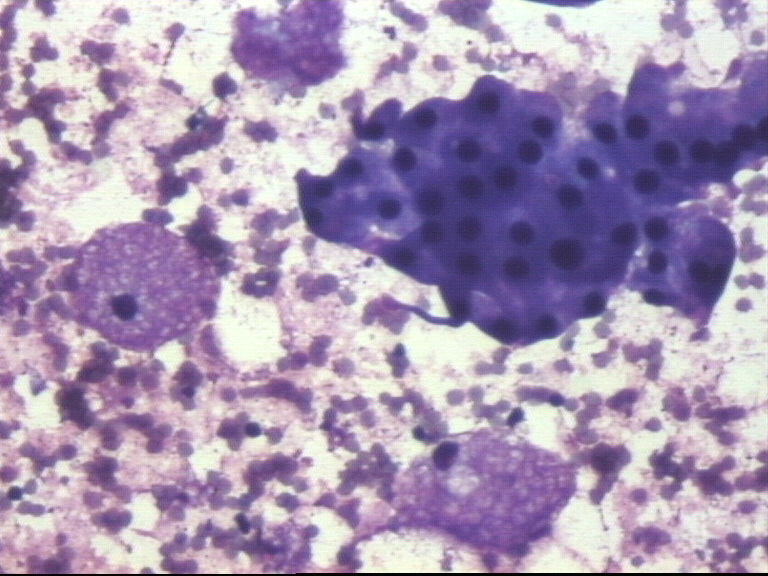
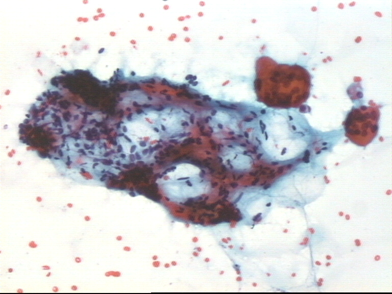
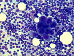
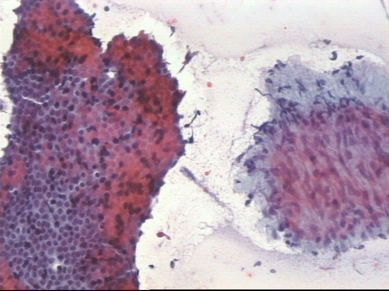
- QUISTE: Tiene tamaños muy variables, y permiten obtener un líquido en cantidad y aspecto igualmente variable, normalmente turbio y pardo-verdoso, y lechoso en el galactocele. Los frotis tienen un fondo seroso con detritus, polimorfonucleares, linfocitos e histiocitos con citoplasmas oscuros o claros según tengan o no material fagocitado, así como placas o grupos papilares de epitelio apocrino (límites citoplasmáticos netos, núcleo redondeado y nucléolo pequeño y marcado) (Fig. 15, 16 y 17). En el epitelio apocrino no son raras las células multinucleadas con citoplasma amplio y rosado, procedentes de la pared del quiste, e incluso células con cierta atipia que no deben ser tenidas como sospechosas. A veces, se ven escasas y aisladas células ductales, y, ocasionalmente, algún grupo estromal. Los cristales de colesterol indican un quiste de larga evolución.
La punción de los quistes de mama suele ser agradecida, ya que la paciente tiene una sensación casi inmediata de solución de su problema, y nosotros tenemos un diagnóstico fácil. Por contra, no es rara la "recidiva" o la aparición de nuevos quistes, y habrá que tener especial cuidado en que no se nos pase por alto un tumor maligno quístico (<1% de cáncer de mama), pinchando de nuevo si tras "vaciar" el quiste persiste algún nódulo.

- ADENOSIS: pequeños grupos de disposición acinar, que tienen células pequeñas, uniformes y muy agrupadas, con pequeño nucléolo (Fig. 18 y 19).

- FIBROADENOMATOSIS: placas como en un fibroadenoma (ver más adelante).

- PAPILOMATOSIS: placas densas de elementos pequeños y regulares sin atipia, sobre un fondo albuminoso característico, que corresponde a contenido ductal (Fig. 20).

- HIPERPLASIA DUCTAL: grupos epiteliales cohesivos con espacios intercelulares irregulares y núcleos amontonados. Hay leve variabilidad en el tamaño nuclear y cromatina con pequeñas condensaciones (Fig. 21).

- PROLIFERACIÓN DUCTAL ATÍPICA: Grupos irregulares, laxos, papilares o cribiformes, con núcleos hipercromáticos, y elementos sueltos con alta relación núcleo/citoplasma. El fondo suele tener células mioepiteliales, peros éstas son raras dentro de los grupos epiteliales (Fig.22).

- MASTOPATÍA FIBROSA FOCAL: son áreas densas mal definidas que descaman con pequeños grupos de estroma poco celular entre los que a veces destacan estructuras ductales o lobulares (42).

 

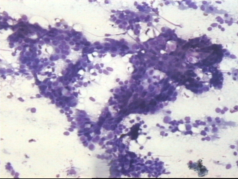
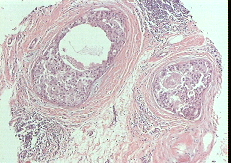
FIBROADENOMA (FA)

Es un nódulo bien delimitado, firme, no adherido, normalmente de pequeño tamaño (alrededor de 3 cm de diámetro). Tiene lugar en un 25% de las mujeres, preferentemente entre los 20-30 años. Presenta un crecimiento muy irregular y en un 20% de casos es múltiple.
Frotis: Abundante o moderada celularidad en placas grandes y cohesivas, de morfología muy variada (en "cuerno de alce"), con mioepitelio en su periferia y dentro de las placas. El fondo es serofibrinoso, limpio, con los pequeños núcleos de mioepitelio-estroma desnudos. El epitelio de las placas es muy regular, con citoplasmas bien delimitados, núcleos redondeados y, a veces, un nucléolo. Suele haber fragmentos de estroma. No son nada raros los cambios mucinosos o mixoides en el estroma, y a veces se observan células gigantes multinucleadas (Fig. 23, 24 y 25).
En las formas juveniles, ese mismo epitelio aparece más agrupado, con una cierta tridimensionalidad, pero conservando mioepitelio, junto a mayor componente estromal en grupos laxos. La celularidad es mayor y puede verse cierta falta de uniformidad celular. Son lesiones relativamente grandes que se dan en mujeres menores de 20 años.
El Adenoma tubular, que posiblemente corresponde a una variante de FA pericanalicular, presenta cierta similitud citológica, aunque tiene grupos redondeados más que placas epiteliales, y además son grupos más pequeños que las placas del FA típico. El epitelio puede tener cierta anisonucleosis y nucléolos más llamativos, aunque predomina la uniformidad. Hay abundante mioepitelio, pero el estroma es muy escaso, si lo hay (Fig. 26).
En el denominado Fibroadenoma atípico, la celularidad del frotis es muy abundante, tanto en el componente estromal como en las placas epiteliales, ambos con celularidad más cohesiva y cierta atipia nuclear. A veces, incluso se ven mitosis.
Diagnóstico diferencial: El FA está considerado como una de las lesiones más fáciles de identificar en PAAF, no obstante siempre es necesario descartar un tumor fillodes, que tiene placas estromales más densas en celularidad, y no olvidar que un FA puede tener un epitelio muy activo (7,48) capaz de sugerir un carcinoma (el mioepitelio de fondo y un aspecto general del frotis de FA, deben resolver la duda). Por el contrario, en las mujeres por encima de los 45 años los frotis sugerentes de FA deben ser cuidadosamente revisados para evitar falsos negativos.

 

ADENOMA DEL PEZÓN

Es una lesión nodular, que provoca telorragia, y con frecuencia ulcera el pezón.
Frotis: fondo serohemorrágico, con mioepitelio, células espumosas y apocrinas,y grupos de epitelio de morfología variada (papilas, mórulas y placas). La celularidad carece de atipia franca, pero puede presentar núcleos oscuros y a veces nucléolos. A veces hay metaplasia pavimentosa.
Diagnóstico diferencial: el carcinoma papilar tiene más atipia celular y carece del mioepitelio del fondo de las tomas, además de que los grupos papilares presentan un eje fibrovascular destacado. El papiloma intraductal suele tener un fondo más sucio y mayor componente pavimentoso, pero su diferenciación es muy difícil,

 

PAPILOMA INTRADUCTAL

Es una lesión nodular subareolar, grande y única, que suele cursar con telorragia. La edad media de presentación es de 50 años.
Frotis: fondo serohemorrágico en el que destacan grupos de epitelio ductal ramificados y cohesivos con la celularidad más marcada en sus bordes, entre histiocitos, mioepitelio y placas de metaplasia apocrina. El epitelio de los grupos tiene cromatina fina y nucléolo poco llamativo. A veces hay fondo necrótico, macrófagos con hemosiderina y epitelio con metaplasia pavimentosa o con rasgos degenerativos (citoplasmas muy vacuolados) (Fig. 27).
Diagnóstico diferencial: al igual que con la entidad anterior, el carcinoma papilar tiene más atipia celular y carece del mioepitelio del fondo de las tomas, además de que los grupos papilares presentan un eje fibrovascular destacado. La diferenciación con el adenoma del pezón es muy difícil.

 

CÁNCER DE MAMA

El cáncer de mama tiene una elevada frecuencia en nuestro medio, supone casi el 20% de todos los cánceres, y en el año 92 fue "responsable" de 30 muertes por cada 100.000 mujeres en nuestro país. La tasa actual en España es de 30-35 casos nuevos por cada 100.000 mujeres y año. Su incidencia va en aumento, hoy se calcula que alrededor de 1 de cada 14 mujeres puede padecer la enfermedad, y para el año 2.000 la proporción será menor. Tiene su pico de incidencia entre los 45 y 55 años. La mitad de los casos se dan en el cuadrante superoexterno de la mama, y con frecuencia son bilaterales. Se le conocen relevantes relaciones genéticas y hormonales, que permiten seleccionar mejor a las pacientes merecedoras de programas de prevención, en los que la PAAF puede jugar un importante papel.
Con la PAAF podemos lograr tres objetivos: 1- establecer la malignidad, 2- identificar el tipo histológico, y 3- estudiar factores pronósticos.
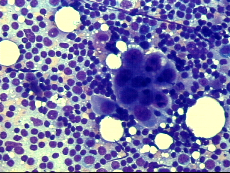
Por lo que se refiere al tipo histológico, puede ser muy difícil de establecer, y es poco relevante si se va a proceder a una resección quirúrgica de la lesión. Entre los factores pronósticos puede ser muy bien establecido el grado nuclear, y es posible emplear el material de punción para estudiar factores de proliferación, grupos genéticos y comportamiento hormonal; datos que normalmente se estudian en el material de biopsia, más abundante aunque no mejor. La mayor utilidad se enfoca, por tanto, a establecer el carácter de la lesión, y para ello, la malignidad del frotis tiene unos criterios establecidos, referidos al carcinoma ductal infiltrante, que constituye un 50% de las lesiones de la mama en forma pura, y un 20% como parte de un tipo histológico mixto (con ca. tubular, lobulillar, mucinoso,...):

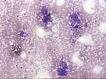
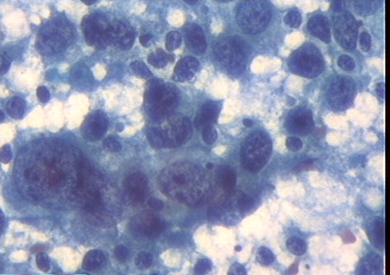
Además, algunas variantes del carcinoma ductal también se pueden reconocer. Así, las lesiones con crecimiento comedo suelen ofrecer grupos irregularmente redondeados con tridimensionalidad, en cuyo centro se puede ver en polvillo nuclear de la necrosis y cariorrexis (Fig. 32). Los carcinomas ricos en glípidos muestran una celularidad con citoplasmas amplios y claros y núcleos rechazados a la periferia de la célula (Fig. 33). El carcinoma cribiforme presenta grupos tridimensionales con espacios redondeados vacios en su interior (6).
En el carcinoma lobulillar (10% de los cánceres de mama), la celularidad es más pequeña, en conglomerados densos, "tubos" celulares e hileras. Los núcleos son algo más pequeños y uniformes, y abundan los núcleos desnudos. Son muy frecuentes las vacuolas intracitoplásmicas (hay una variante en que casi todas las células presentan vacuola grande PAS+ y núcleo rechazado: carcinoma de células en "anillo de sello"). Las células en "anillo de sello" sin clara vacuola citoplasmática son más propias de un carcinoma ductal (24). Puede precisar la diferenciación con la adenosis (núcleos menos uniformes, en disposición más anular sobre una "luz" central, que a veces es sólo una hendidura) y con linfomas (sólo se ven elementos sueltos, sin grupos, de ribete citoplásmico muy delgado y muy azul) (Figs. 34 a 38).
En el carcinoma medular (1-6%), los conglomerados son más laxos, con abundantes células aisladas. Son células grandes, muy atípicas, de cromatina gruesa y nucléolo muy llamativo. El fondo suele tener abundantes linfocitos y células plasmáticas, lo que obliga a descartar un linfoma (Figs 39 y 40).
El carcinoma coloide de mama (2,5%), presenta en el fondo de las preparaciones un material metacromático con MGG y rojo con PAS, entre el que destacan grupos celulares de escasa atipia, núcleo redondeado y citoplasma amplio y eosinófilo, sólo a veces vacuolado (15). Quizá su mayor problema diferencial sea descartar lesiones benignas que incluyan áreas de tipo mucocele, que normalmente presentan frotis en los que el mioepitelio y otros componentes de la patología benigna acompañante permiten una diferenciación aceptable (45) (Fig. 41).
El carcinoma papilar, es una lesión rara (<1%) fácil de sospechar en citología. Tiene abundante celularidad en conglomerados muy grandes y muy densos, con bordes marcados, en empalizada, y eje fibrovascular central. La celularidad presenta cromatina gruesa y atipia leve o moderada. El fondo es muy hemático y hay histiocitos con hemosiderina, además, con frecuencia, se observa calcio. Precisa diferenciación de las lesiones papilares benignas, en las que hay mioepitelio y más uniformidad nuclear, así como epitelio apocrino y células espumosas (Figs. 42 y 43).
Quizá la lesión más difícil de identificar como carcinoma sea la forma tubular (2%), ya que la atipia es muy escasa (47). La celularidad se encuentra conformando "tubos" rectos o doblados, con sus extremos angulados. La celularidad de los tubos es muy densa y los núcleos presentan cromatina borrosa, mal definida. El fondo de las muestras carece del mioepitelio característico del frotis "benigno". Como diagnóstico diferencial, el adenoma tubular presenta los grupos más placulares y acinares que tubulares (Fig. 44).
Igualmente raro es el carcinoma apocrino, caracterizado por células aisladas o en pequeños grupos, de citoplasma amplio y granular, azulado con MGG y rosado con PAP, de borde mal definido. Hay anisonucleosis marcada, núcleos voluminosos, cromatina gruesa y nucléolo prominente, en un fondo con mayor o menor componente necrótico. Necesita ser diferenciado del epitelio apocrino benigno procedente de quistes, que descama en placas más uniformes sobre un fondo seroso. Cuando forma parte de un cuadro más complejo, como es una mastopatía fibroquística, presenta un fondo con mioepitelio, sin necrosis y con epitelio ductal benigno (58) (Fig. 45).
Hay otras variantes mucho menos frecuentes de las que están publicados los criterios para su orientación diagnóstica. En esta revisión sólo se mencionan las lesiones con bibliografía más reciente: carcinoma ductal hipersecretor (25), carcinoma anaplásico de células pequeñas (46) y carcinoma neuroendocrino (12). Las lesiones "in situ" tienen un diagnóstico diferencial con las infiltrantes, e incluso con proliferaciones benignas atípicas, muy complejo (38).
Por último, hay lesiones, raras, con metaplasia, de difícil valoración citológica. Suelen hacer la metaplasia hacia un carcinoma epidermoide, pero puede verse cualquier tipo de sarcoma, lo que provoca cuadros muy difíciles de interpretar, y en los que buscaremos siempre el componente "ductal". Son tumores, en general, con muy mal pronóstico.

 

TUMOR FILLODES

Son lesiones que pueden alcanzar un gran tamaño, y cuya benignidad o malignidad es difícil de confirmar incluso con material histológico, por lo que la citología tiene un importante reto en este campo.
Frotis: placas de epitelio muy similares a las del fibroadenoma, con mioepitelio, y placas de estroma. Cuanto más estroma y mayor anaplasia haya en él, las posibilidades de que la lesión sea maligna son más altas. A veces se asocia atipia del epitelio glandular.
Diagnóstico diferencial: el propio fibroadenoma, especialmente formas juveniles, ricas en estroma, que suelen tener más uniformidad en las placas de epitelio y menos densidad celular en los grupos estromales (Figs. 46 a 48). Los verdaderos sarcomas, que también pueden darse en la mama, carecen del componente epitelial.

 

GINECOMASTIA

Es un aumento del tamaño de la mama masculina, que suele cursar con dolor (la propia punción de la ginecomastia suele ser muy dolorosa) y que suele aparecer como respuesta a estímulos metabólicos y hormonales.
Frotis: abundantes láminas y grupos tridimensionales de celularidad uniforme, aunque hay amoldamientos y células hipercromáticas. El fondo tiene pequeños fragmentos de tejido conectivo con fibroblastos fusocelulares (13,30).

Existen, además, varios cuadros muy infrecuentes cuya existencia conviene, al menos, conocer:

 


 

PROBLEMAS DIAGNÓSTICOS EN LA PAAF DE MAMA

 

No obstante, la práctica diaria va determinando una problemática cuya resolución suele incluir la colaboración del clínico y el radiólogo, así como la de otros compañeros y la bibliografía al uso:

 

BIBLIOGRAFÍA

    1. Abendroth CS, Wang HH, Ducatman BS. Comparative features of carcinoma in situ and atypical ductal hyperplasia of the breast on fine needle aspiration biopsy specimen. Am J Clin Pathol 1991; 96:654-659.
    2. Al Kaisi N. The spectrum of "gray zone" in breast cytology: A review of 186 cases of atypical and suspicious cytology. Acta Cytol 1994; 38:898-908.
    3. Antúnez J, García-Caballero T, Abdulkader I, Caparrini A, Pintos E, Fraga-Rodríguez M, Beiras-Iglesias A, Forteza J. Aplicaciones de la inmunohistoquímica y la microscopía electrónica en el diagnóstico citológico por punción con aguja fina. Rev Esp Pat 1998; 31:435-459.
    4. Antúnez-Potashkina I, Coro-Antich RM, Rodríguez -Ceballos S. Morfometría computerizada en aspirados celulares del carcinoma ductal infiltrante de la mama. Modelo de estadística multivariada. Rev Esp Patol 1997; 30:193-199.
    5. Arisio R, Cuccorese C, Accinelli G, Mano MP, Bordon R, Fessia L. Role of fine-needle aspiration biopsy in breast lesions: analysis of a series of 4.110 cases. Diagn Cytopathol 1998; 18:462-467.
    6. Barredo Santamaría I, Burgos Bretones JJ, García Riego A, Rivera Pomar JM. Carcinoma cribiforme infiltrante de la mama: aspectos citológicos. Rev Esp Patol 1999; 32:529-533.
    7. Benoit JL, Kara R, McGregor SE, Duggan MA. Fibroadenoma of the breast: Diagnostic pitfalls of fine-needle aspiration. Diagn Cytopathol 1992; 8:643-648.
    8. Bibbo M, Abati A. Editorial: The Uniform Approach to Breast Fine Needle Aspiration Biopsy. A synopsis. Acta Cytol 1996; 40:1119-1126.
    9. Cardiel -García MJ, Ríos-Mitchell MJ, Valero-Palomero MI, Del Agua-Arias C, Sanz-Moncasi P. Utilidad de la citología por raspado de bordes como técnica intraoperatosia de detección de márgenes quirúrgicos positivos en biopsias de mama. Rev Esp Pat 1997; 30:112-116.
    10. Chachlani N, Yue ChT, Gerardo LT. Granular cell tumor of the breast in a male. Acta Cytol 1997; 41:1807-1810.
    11. Choreutaki T, Scarpellini F, Eusebi V. Breast cancer necrosis following fine needle aspiration biopsy. Tumori 1996; 82:242-244, abst.
    12. Chua RS, Torno RB, Vuletin JC. Fine needle aspiration cytology of small cell neuroendocrine carcinoma of the breast: a case report. Acta Cytol 1997; 41:1341-1344.
    13. Das DK, Junaid TA, Matheus SB, Ajrawi TG, Ahmed MS, Madda JP, Mirza K. Fine needle aspiration cytology diagnosis of male breast lesions: A study of 185 cases. Acta Cytol 1995; 39:870-876.
    14. Dawson AE, Mulford DK, Sheils LA. The cytopathology of proliferative breast disease: comparison with features of ductal carcinoma in situ. Am J Clin Pathol 1995; 103:438-442.
    15. Dawson AE, Mulford DK. Five needle aspiration of mucinous (coloide) breast carcinoma. Nuclear grading and mammographic and cytologyc findings. Acta Cytol 1998; 42:668-672.
    16. De Souza Rocha P, Nadkarni NS, Menezes S. Fine needle aspiration biopsy of breast lesions and histopathologic correlation. An analysis of 837 cases in four years. Acta Cytol 1997; 41:705-712.
    17. Deen SA, McKee GT, Kissin MW. Differential cytologic features of fibroepithelial lesions of the breast. Diagn Cytopathol 1999; 20:53-56.
    18. Finley JL, Silverman JF, Lannin DR. Fine needle aspiration cytology of breast masses in pregnant and lactating women. Diag Cytopath 1989; 5:255-259.
    19. Gupta D, Rajwanshi A, Gupta SK, Nijhawan R, Saran RK, Rajendra S. Fine needle aspiration cytology in the dignosis of tuberculous mastitis. Acta Cytol 1999; 43:191-194.
    20. Gupta RK, Green C, Naran S, Lallu S, Franck R, Dowle C, Simpson J. Fine-needle aspiration cytology of adenoid cystic carcinoma of the breast. Diagn Cytopathol. 1999; 20:82-84.
    21. Head JF, Haynes AE, Elliott MC, Elliott RL. Stereotaxic localization and core needle biopsy of nonpalpable breast lesions: two-year follow-up of a prospective study. Am Surg 1996; 62:1018-23.
    22. Hernández-Ortiz MJ, Amengual-Antich I, Torrecabota-Pages J, Canet-Ribas de la Pina R. Mastitis linfocitaria: un diagnóstico difícil en la punción aspiración con aguja fina. Rev Esp Patol 1998; 31:313-316.
    23. Joshi A, Kapila K, Verma K. Fine needle aspiration cytology in the management of male breast masses. Nineteen years of experience. Acta Cytol 1999; 43:334-388.
    24. Kamiya M, Mizuguchi K, Yoshimoto M, Tanaka M, Moteji S, Matushima H, Ishizawa M, Nakamura K. Cytologic diagnosis of signet-ring cell carcinoma of the breast. Acta Cytol 1998; 42:650-656.
    25. Kratzer SS, Cramer HM, Reynolds HE, Seo IS, Canal DF. Fine-needle aspiration cytology of cystic hypersecretory ductal carcinoma in situ of the breast: a case report. Diag Cytopathol 1999; 20:160-163.
    26. Kumar PV, Talei AR, Malekhusseini SA, Monabati A, Vasei M. Papillary carcinoma of the breast. Cytologic study of nine cases. Acta Cytol 1999; 43:767-770.
    27. Laforga TB, Aranda FI, Sevilla F. Adenomyopithelioma of the breast: report of two cases with prominent cystic changes and intranuclear inclusions. Diagn Cytopathol 1998; 19:55-58.
    28. Lazda EJ, Kocjan G, Sams VR, Wotherspoon AC, Taylor I. Fine needle aspiration (FNA) cytology of the breast: the influence of unsatisfactory samples on patient management. Cytopathology 1996; 7:262-7.
    29. Liberman L, LaTrenta LR, Dershaw DD, et al.Impact of core biopsy on surgical management of impalpable breast cancer. Am J Roentgenol 1997; 168:495-499; abst.
    30. Lilleng R, Paksoy N, Vural G, Langmark F, Hagmar B. Assesment of fine needle aspiration cytology and histopathology for diagnosisng male breast masses. Acta Cytol 1995; 39:877-881.
    31. Logrono R, Kurtycz DF, Inhorn SL. Criteria for reporting fine needle aspiration on palpable and nonpalpable masses of the breast. Acta Cytol 1997; 41:623-627.
    32. López-Ríos F, Dhimes P, De Agustín PP. Subareolar abscess of the breast in a male. A report of two cases with fine needle aspiration cytology diagnosis. Acta Cytol 1997; 41:1819-1822.
    33. Lozano MD, Panizo A. Papel de la inmunohistoquímica en citología. Rev Esp Patol 1998; 31:63-66.
    34. Martins Collaço L, Silveira de Lima R, Werner B, Bleggi Torres LF. Value of fine needle aspiration in the diagnosis of breast lesions. Acta Cytol 1999; 43:587-592.
    35. Massod S. Editorial: Fine needle aspiration of a breast: a practical approach to diagnosis of carcinoma. Acta Cytol 1998; 42:283-284.
    36. Medina-Pérez M, López-Hidalgo J, Oliva-Mompeán F, Acedo-Díaz F. Diagnóstico inmediato por PAAF del carcinoma de mama palpable. Rev Esp Patol 1999; 32:35-40.
    37. Miralles TG, Gozalbez F, Menéndez P, Monjón JA, Sampedro A. Fine-needle aspiration of sclerosisg limphocytic lobulitis of the breast. A report of two cases. Acta Cytol 1998; 42:1447-1450.
    38. Moriya T, Job MK, Silverberg SG. Detection of ductal carcinoma in situ of the breast in cytologic samples. Acta Cytol 1992; 37:767-768.
    39. Nada R, Ganguli M, Dey P. Reactive limphoid hyperplasia presenting as a palpable nodule in the breast. Acta Cytol 1997; 41:1868-1869 (letter).
    40. Niemann TH, Benda JA, Cohen MB. Adenomyoepithelioma of the breast: fine-needle aspiration biopsy and histologic findings. Diagn Cytopathol 1995; 12:245-250.
    41. Page DL, Johnson JE, Dupont WD. Probabilistic approach to the reporting of fine-needle aspiration cytology of the breast. Cancer (Cancer Cytopathol) 1997; 81:6-9.
    42. Rivera-Pomar JM, Vilanova JR, Burgos-Bretons JJ; Arocena G. Focal fobrous disease of the breast: A common entity in young women. Wirchows Arch. 1980; 386:59-64.
    43. Rivera Pomar JM, Santamaría Martínez M. Mama femenina, En Rodríguez Costa J , De Agustín Vázquez D (ed.). Punción Aspiración con aguja fina de órganos superficiales y profundos. Madrid, Díaz de Santos, 1997, pp 161-207.
    44. Rogers LA, Lee KR. Breast carcinoma simulating fibroadenoma or fibrocystic change by fine-needle aspiration: A study of 16 cases. Am J Clin Pathol 1992; 98:155-160.
    45. Rosen PP. Mammary mucocele-like lesions. Benign and malignant. Am J Surg Pathol 1996; 20:1081-1085.
    46. Sebenik M, Nair SG, Hamati HF. Primary small cell anaplastic carcinoma of the breast diagnosed by fine needle aspiration cytology: a case report. Acta Cytol 1998; 42:1199-1203.
    47. Shet TM, Rege JD. Aspiration cytology of tubular adenomas of the breast: an analysis af eight cases. Acta Cytol 1998; 42:657-662.
    48. Silverman JF, Feldman PS, Covell JL, Frable JW. Fine needle aspiration cytology of neoplasm metastatic to yhe breast. Acta Cytol 1987; 31:291-300.
    49. Sirgi KE, Sneige N, Fanning TV et al. Fine-needle aspirates of granular cell lesions of the breast: report of three cases, with emphasis on differential diagnosis and utility of immunostaining for CD68 (KP1). Diagn Cytopathol 1996; 15:403-8.
    50. Sneige N. Fine-needle aspiration of the breast: A review of 1995 cases with emphasis on diagnostic pitfalls. Diagn Cytopathol 1993; 9:106-112.
    51. Sneige N, Staerkel GA, Caraway NP, Fanning TV, Katz RL. A plea for uniform terminology and reporting of breast fine needle aspirates: The M.D. Anderson Cancer Center Proposal. Acta Cytol 1994; 38:971-972.
    52. Stanley MW, Abele J, Kline T, Silverman JF, Skoog L. What constitues adequate sampling of palpable breast lesions that appear benign by clinical and mammographic criteria?. Diang Cytopathol 1995; 13:473-82.
    53. Theocharous C, Greenberg ML. Cytologic features of ductal carcinoma in situ. Diagn Cytopathol 1966; 15:367-73.
    54. Torres FJ, Garrido A, Rodero MC, Galera H. Diagnóstico citológico. En Matilla A, Galera H (ed.) Cáncer de mama. Patología básica, diagnóstico y tratamiento. Universidad de Málaga, 1981, pp 85-102.
    55. Wang HH, Ducatman BS, Eick D. Comparative features of ductal carcinoma in situ and infiltrating ductal carcinoma of the breast on fine-needle aspiration biopsy. Am J Clin Pathol 1989; 92:736-740.
    56. Wang HH, Ducatman BS. Fine needle aspiration of the breast. A probabilistic approach to diagnosis of carcinoma. Acta Cytol 1998; 42:285-289.
    57. Yoshida K, Inoue M, Furuta S, Sakai R, Imai R, Hayakawa S, Fukatsu T, Nagasaka T, Nakashima N. Apocrine carcinoma vs. Apocrine metaplasia with atypia of the breast: Use of aspiration biopsy cytology. Acta Cytol 1996; 40:247-251.
    58. Yu GH, Sethi S, Cajulis RS, Gokaslan S, Frías-Hidvegi D. Benign Pairs. A useful discriminating feature in fine needle aspirates of the breast. Acta Cytol 1997; 41:721-726.
    59. Zardawi IM, Hearden , Meyer P, Trevan B. Ultrasound-guided fine needle aspiration cytology of impalpable breast lesionsin a rural setting. Comparison of cytology with imagin and final outcome. Acta Cytol 1999; 43:163-168.

 

 

IMÁGENES


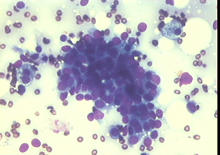
Figura 1. MGG, x20. Punción axilar en la que se ve un grupo de células con núcleo denso y nucléolo entre una población linfoide mixta. La punción de ganglios linfáticos para decidir la existencia o no de metástasis es de reconocida utilidad en la práctica diaria por su extraordinaria sensibilidad diagnóstica.

 

 

Figura 2.

Figura 3.

Pap., x40 y x100. Cambios en un fibroadenoma durante la lactancia. Comparar la placa de la izquierda, pequeña y de citoplasmas cianófilos, con la de la derecha, que muestra citoplasmas amplios y claros. En la imagen a mayor aumento destaca la anisonucleosis, con frecuencia asociada a rasgos de actividad nuclear, que puede llevar a un error diagnóstico.

 


Figura 4.

Figura 5.

H/E por 100. Cilindros tisulares obtenidos de mama donde se muestra una lesión infiltrante de tipo lobulillar (4) y un carcinoma "in situ" comedo (5). Los cilindros de nódulos grandes pueden realizarse sin control radiológico pero los destinados a focos de microcalcificación requieren precisos instrumentos que identifiquen la lesión y que introduzcan el sistema de toma de muestra.

 


Figura 6. Pap, x200. Ducto en forma de tubo con los núcleos en dos capas, que en el extremo izquierdo se abre y se presenta en forma de placa con los núcleos en una sola capa. Alrededor del tubo (parte derecha de la imagen) se observa un fino reborde que corresponde al mioepitelio, que al romperse el ducto se desparrama por el fondo de la muestra.

 


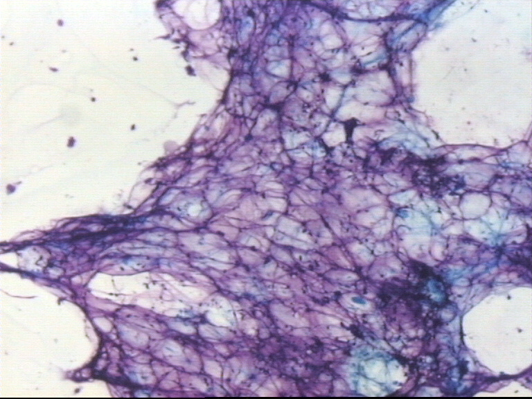
Figura 7. MGG, x40. Tejido adiposo maduro. Es un material que se obtiene en punción frecuentemente, especialmente en las lesiones benignas.

 

 


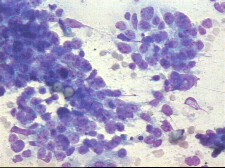
Figura 8
.QDF, x200. Grupo tridimensional, con amontonamiento de núcleos que presentan leves diferencias en el tamaño, en un fondo benigno con células espumosas. El estudio histológico mostró un cuadro mastopático con numerosos grupos de adenosis.

 


Figura 9
.Pap, x400. Grupo irregular con anisonucleosis, amontonamiento nuclear y nucléolos, aunque también conserva mioepitelio. La pieza quirúrgica presentó una fibroadenoma intracanalicular con un componente epitelial proliferado.

 


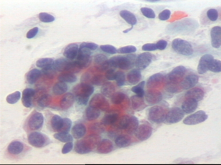
Figura 10. Pap, x200. Grupos laxos con elementos de talla variable, amontonados, de nucléolo prominente, en un fondo sucio. La pieza histológica mostró un carcinoma ductal infiltrante.

 


Figura 11.QDF, x400. Fondo granular con elementos espumosos en degeneración. Todo el frotis presenta un aspecto uniforme, y procede de una lesión quística que al aspirar proporciona un líquido denso y blanquecino-grisáceo.

 


Figura 12. Pap, x200. Fondo necrótico entre el que destacan polimorfonucleares neutrófilos, escasos linfocitos y elementos de citoplasma eosinófilo denso con núcleos pequeños y oscuros que pueden sugerir malignidad.

 


Figura 13. Pap, x400. En las lesiones retroareolares destacan las escamas anucleadas entre un fondo necrótico.




Figura 14. Pap., x200. Grupo de histiocitos y células epitelioides, polimorfonucleares neutrófilos y linfocitos entre espacios ópticamente vacíos correspondientes a grasa. La punción se realizó sobre un área dolorosa que apareció tras un traumatismo.

 


Figura 15. Pap, x100. Quiste de mama. Fondo granular azurófilo en el que destacan células espumosas con material fagocitado que les dan una coloración oscura.




Figura 16.QDF, x200. Fondo seroso sucio con histiocitos espumosos y una placa de epitelio apocrino.




Figura 17. Pap., x200. Dos grupos, de epitelio apocrino el de la derecha y de epitelio ductal el de la izquierda, procedentes de una mastopatía fibroquística con focos de fibroadenomatosis y con quistes que presentan metaplasia apocrina.

 


Figura 18.

Figura 19.
Pap., x200. Grupos celulares con los elementos dispuestos en coronas acinares mal definidas. Ambos grupos proceden de un área mastopática, en diferentes pacientes, que en su mayor parte estaba constituido por focos de adenosis.

 


Figura 20.QDF, x200. Placa ductal con una proyección papilar que muestra un leve amontonamiento de núcleos con talla y morfología regular. Con frecuencia los ductos dilatados de una mastopatía tienen proyecciones digitiformes que requieren una cuidadosa observación pero que no suelen suponer un gran problema diagnóstico.

 


Figura 21.QDF, x200. Grupo tridimensional de morfología papilar, levemente irregular, con espacios en su espesor, que mantiene la cohesión de los grupos benignos pero que carece de la limpieza de estos. La pieza quirúrgica presentó una mastopatía fibroquística con diversas hiperplasias epiteliales entre las que se encontraba la papilomatosis.

 


Figura 22. QDF, x200. Grupo ductal de disposición laxa y con espacios claros en su espesor que presentan células con cierta irregularidad del tamaño nuclear y diferencias en el cromatismo nuclear. La pieza quirúrgica presentó una mastopatía fibroquística con diversas hiperplasias epiteliales entre las que se encontraba la epiteliosis, sin llegar al carcinoma "in situ".

 


Figura 23. QDF, x100. Característico grupo ductal procedente de un fibroadenoma de mama. La morfología del grupo se complementa con elementos de talla y morfología regulares en un fondo con mioepitelio y fragmentos de estroma.

 

 


Figura 24. Pap, x100. En el fibroadenoma, al igual que en otros cuadros benignos, es frecuente la obtención de estroma fibroadiposo. Es este caso se acompaña de células gigantes, un dato inhabitual, pero en absoluto raro, acompañando cualquier patología de la mama.

 


Figura 25. Pap, x200. Dos grupos de estroma, densos pero con moderada celularidad oscurecen la observación de dos pequeños grupos epiteliales que presentan un leve amontonamiento nuclear de elementos regulares en talla y morfología. La pieza histológica mostró un fibroadenoma con estroma mixoide.

 



Figura 26. QDF, x200. Adenoma tubular. Grupo redondeado de células ductales con leve amontonamiento nuclear en el que la celularidad carece de irregularidad.

 




Figura 27. Pap, x100. Grupo papilar entre un fondo hemático, procedente de un papiloma intraductal. El grupo presenta proyecciones papilares fácilmente visibles cuya celularidad, que no se puede ver en detalle en la imagen, muestra regularidad y ausencia de atipia.


 


Figura 28. QDF, x40. Varios grupos celulares de morfología irregular con elementos de talla y morfología variable, que dejan escapar elementos aislados.



Figura 29. QDF, x200. Grupo epitelial procedente de la punción de un carcinoma ductal infiltrante. Unos de los rasgos más determinantes de malignidad es la falta de cohesión celular, desprendiéndose de los grupos células con el citoplasma íntegro, que aparecen igualmente dispersas por el fondo de las tomas.

 


Figura 30. QDF, x400. Carcinoma ductal infiltrante. De nuevo, la falta de cohesión celular, que junto a la anisonucleosis y los nucléolos prominentes obligan a considerar el grupo como maligno.




Figura 31. Pap, x400. Con técnica de Papanicolaou es posible ver mejor el detalle nuclear, la cromatina y los nucléolos resultan más llamativos, y las mitosis son fácilmente observables. En la imagen se reconoce una mitosis atípica que permite un diagnóstico fácil. No obstante, los carcinomas de mama no se caracterizan por una elevada tasa mitótica.

 


Figura 32. Pap, x40. Las lesiones tipo comedo proporcionan con frecuencia grupos irregularmente redondeados con elementos desprendidos en sus bordes y centros con material necrótico en un fondo igualmente necrótico. La existencia de estos grupos, sin otros grupos más pequeños de claro aspecto maligno pueden inducirnos a pensar en un carcinoma "in situ".

 


Figura 33. Pap, x200. Carcinoma rico en lípìdos. Los citoplasmas tan vacuolados con rechazo del núcleo permiten sospechar lesiones como el carcinoma rico en lípidos o en glucógeno.

 

 


Figura 34. Pap, x40. Carcinoma lobulillar infiltrante. Grupo relativamente compacto de células con talla pequeña (compárese con los hematíes de alrededor) que presentan moldeamientos entre sí.

 


Figura 35.

Figura 36.

QDF, x200. Carcinoma lobulillar infiltrante. Ambas imágenes presentan un grupo celular en el que los elementos presentan moldeamientos, tienden a la disposición lineal y presentan vacuolas citoplasmáticas, muy características, pero no exclusivas, de las lesiones lobulillares.

 


Figura 37.

Figura 38.

Pap, x200. Carcinoma lobulillar infiltrante. La celularidad, de tamaño algo mayor que los hematíes, tiende a formar hileras con sus elementos moldeándose entre sí, remedando la forma de infiltración que presentan en el estroma mamario.

 


Figura 39.

Figura 40.

QDF y Pap, respectivamente, ambas x200. El carcinoma medular presenta grupos y abundantes células sueltas con notable atipia, entre un fondo en el que destacan los linfocitos.

 


Figura 41.QDF, x100. En el carcinoma coloide destaca de forma especial el fondo mucoide metacromático en el que la celularidad neoplásica queda en grupos redondeados.

 


Figura 42.

Figura 43.

Pap, x40 y x200. El carcinoma papilar presenta grupos claramente papilares en los que a pequeño aumento es posible adivinar el eje fibrovascular a cuyo alrededor se dispone la celularidad maligna en una irregular empalizada más fácilmente discernible a mayor aumento.

 


Figura 44. QDF, x20. Conducto pequeño desflecado en sus extremos procedente de un nódulo que histológicamente presentó una carcinoma ductal con amplias áreas de crecimiento tubular.



Figura 45. QDF, x400. El epitelio apocrino es frecuente que tenga atipia nuclear sin que ello conlleve malignidad. En estos casos, como en todos, es útil un estudio completo del frotis que permita enfocar el caso hacia una mastopatía o hacia un tumor apocrino.

 


Figura 46.

Figura 47.

Figura 48.
Pap, x200, x100, x200. Las tres imágenes corresponden a tres diferentes lesiones de tipo fillodes. La primera, procedente de una paciente de 16 años, presentó un cuadro histológico con difícil diferenciación de un fibroadenoma juvenil. La segunda, de estroma denso pero sin gran atipia corresponde a un tumor fillodes del que no hay recidiva 4 años después del estudio histológico. La tercera imagen pertenece a un tumor fillodes claramente maligno, con importante atipia celular y alta tasa mitótica.


Figura 49. QDF, x200 - Grupo celular laxo, de citoplasmas claros y núcleos pequeños, redondeados y sin atipia, procedentes de una lesión que histológicamente mostró luces ductales con capa mioepitelial prominente.



Figura 50. Pap, x100 - Placa ductal con cierta tridimensionalidad que encierra espacios ópticamente vacíos y un borde con arcos de cuyos pies se desprenden elementos con citoplasma conservado. Este grupo, procedente de un fibroadenoma, presenta características que le incluyen entre los frotis dudosos, y su observación obliga a estudiar todo el frotis detenidamente para descartar proliferaciones malignas bien diferenciadas.