INTRODUCCIÓN

Este estudio se limita a los procesos que más genuinamente provocan problemas de diagnóstico diferencial con las neoplasias óseas por lo que se eliminan otros procesos, como pueden ciertas osteomielitis o las proliferaciones de células de Langerhans, que creemos un tanto forzado introducirlas y alargarían y distraerían el objetivo primordial del tema.

ÍNDICE:

 

QUISTES ÓSEOS

Los quistes óseos no son verdaderos quistes ya que carecen de revestimiento epitelial. El revestimiento de la cavidad está formado por el propio tejido conjuntivo de la pared tapizado por células planas del mismo, por ello más propiamente se debieran denominar pseudoquistes. Los más importantes son:

Hay otros como el quiste calcáneo o los quistes subcondrales de la artrosis pero son menos transcendentes y no los incluimos.

 

QUISTE ÓSEO ESENCIAL. (quiste óseo solitario, simple, unicameral o quiste óseo benigno).

Se trata de una cavidad ósea que contiene líquido claro ambarino o sanguinolento, revestida por una membrana constituída por tejido conjuntivo laxo de espesor variable en el que puede observarse osteoclastos, restos de hemorragia reciente o antigua y depósitos de colesterol.

Se localiza en huesos largos, generalmente en la metáfisis del húmero o del fémur o tibia aunque puededarse en huesos planos y en los huesos maxilares.Se observa preferentemente en las dos primeras décadas de la vida y es de franco predominio en varones.

Radiológicamente muestra una zona de osteolisis bien limitada con abombamiento de la cortical, la cual puede estar rota lo que puede causar la caída de fragmentos dentro de la cavidad lo que se denomina signo de Reynolds o del fragmento caído y es patognomómica de esta enfermedad.

Macroscopicamente es unilocular y contiene escasa cantidad de líquido ambarino, seroso o sanguinolento si ha habido fractura de la pared. La superficie interna es rugosa con resaltes que esbozan tabiques incompletos. (fig.1)

El tratamiento consiste en el legrado de la cavidad y relleno de virutas óseas a fin de estimular la osificación. Alternativamente, se puede practicar la resección parcial e inyecciones de hidrocortisona. Acostumbra a recidivar si el tratamiento se realiza antes de los 10 a. por lo que conviene hacerlo en el momento oportuno. Se ha dicho que cura con las fracturas, pero esto no se ha comprobado y se aconseja tratar la fractura primero y el quiste después.

La patogenia es obscura. Se ha referido que es consecuencia de un tumor curado de un infarto por trombosis o hematoma, etc. No parece cierto, probalbmente se trata de un defecto local en la formación de hueso esponjoso, sin relación con otro proceso.

bibliografía 1

 

QUISTE ÓSEO ANEURISMÁTICO.

En esta discusión no nos referiremos a la forma sólida establecida por Sanerkin en 1983, porque es preferible incluirla entre los procesos reparativos con células gigantes.

Se trata de un proceso osteolítico y expansivo, formado por espacios de tamaño variable que contienen sangre y están separados entre sí por tabiques de tejido conjuntivo que contienen osteoide y osteoclastos en mayor o menor proporción.

Radiológicamente se manifiesta como una lesión excéntrica e insuflante, con reacción perióstica en cáscara, septada y con arbotantes que traduce una baja agresividad y un desarrollo lento.

Es proceso propio de las tres primeras décadas de la vida y no muestra predominancia de sexo.

Se localizan en la metáfisis de huesos largos y en las vértebras. En conjunto estas dos localizaciones representan el 70-80% de las mismas.. En las vértebras se localizan en el arco posterior y en las apófisis espinosas y pueden afectar varias vértebras con una frecuencia del 50%.Existen también localizaciones extraóseas.

Entre el 32 y el 50% son secundarios o se combinan con otras entidades como el tumor de células gigantes, el condroblastoma, el fibroma condromixoide, el osteoblastoma, osteosarcoma, displasia ósea fibrosa, etc.

Es raro que el Patólogo tenga la oportunidad de observarlo macroscópicamente ya que no se resecan en bloque. En aquéllos raros casos en que se ha extirpado intacto, se manifiestan como una fina cáscara ósea que contiene tejido blando, con aspecto de panal, formado por cavidades con sangre líquida. Si hay fractura ésta puede complicar más o menos este cuadro macroscópico.

Histológicamente se manifiesta como cavidades de variable tamaño y forma, pero generalmente grandes, que contienen sangre y entre las cuales hay septos formados por fibroblastos, osteoclastos y osteoide tapizado o no por osteoblastos. Hay áreas más sólidas y abigarradas aunque formadas por los mismos elementos y con frecuencia material fibromixoide calcificado.(fig.2)

La etiopatogenia sigue en discusión: Lichtenstein postuló alteraciones hemodinámicas intraóseas, Biesecker la presencia de una lesión ósea causante del complejo. Lesión arteriovenosa primaria o secundaria que no se ha podido demostrar y que por sucesivas hemorragias daría lugar al proceso de forma semejante a lo que se supone es la causa del proceso reparativo de células gigantes Es una lesión benigna que se trata mediante cirugía, bien con legrado exhaustivo o mediante resección. En el primer caso la recidiva es más frecuente, entre el 30 y el 59% de los casos. Si la localización impide el abordaje quirúrgico se puede trata con radioterapia, que tiene el peligro del desarrollo de un tumor secundario, si bien éste también puede producirse espontáneamente sobre un quiste óseo aneurismático. Se debe alertar sobre la conveniencia de realizar siempre el diagnóstico diferencial con el osteosarcoma telangiectásico, el cual muestra áreas de osteosarcoma en los tabiques de las dilataciones vasculares.

bibliografía 2

 

GANGLION INTRAÓSEO (Quiste óseo yuxtaarticular)

Lesión benigna, quística, frecuentemente multilocular, constituída por tejido fibroso con zonas de degeneración mucinosa y que se localiza en posición subcondral contigua a una articulación.

Se localiza preferentemente en la tibia, en ambos maleolos aunque también se ha descrito en otros huesos largos y ocasionalmente en huesos planos como el ilíaco.

Se producen con mayor frecuencia en adultos entre los 20 y los 60 a..

Radiológicamente se manifiesta como una zona de osteolisis envuelta por un rodete escleroso que indica su lento crecimiento y por tanto su benignidad.

La patogenia es muy debatida. La localización maleolar tan típica, ha permitido especular la posible relación con múltiples traumas a los que esta parte del esqueleto es especialmente propensa. Con frecuencia comunica con la cavidad articular lo que se puede demostrar inyectando azul de metileno durante la intervención quirúrgica e incluso hay autores que opinan que siempre existe tal comunicación aunque sea dificil de demostrar, por lo que se ha sugerido que el bombeo en el hueso de líquido sinovial podría ser la causa al inducir la formación de una membrana sinovial; otros piensan que el proceso es congénito y que se trata realmente de una ectopia sinovial. Todo parece indicar que el proceso es adquirido y que por una u otra razón esa parte del hueso diferencia sinovial.

Ocasionalmente son múltiples y con frecuencia bilaterales y simétricos.

 

QUISTE EPIDERMOIDE.

Se localizan en falanges distales de manos y pies y en la calota. Ante una osteolisis bien limitada en falanges distales se debe pensar en el quiste epidermoide y en el tumor glómico, si bien éste con frecuencia sólo afecta parcialmente a la falange creando una muesca en la misma, en vez de ser íntegramente intraóseo.

 

PROCESOS FIBROBLÁSTICOS

DEFECTO OSEO METAFISARIO (defecto fibroso cortical,fibroma no osificante o no osteogénico). Proceso no neoplásico intracortical caracterizado por la proliferación de fibroblastos e histiocitos.

La localización es metafisaria , son excéntricos y ocurren generalmente bajo una inserción tendinosa o ligamentosa por lo que pueden estar relacionados con el stress o con múltiples microtraumas óseos. La corteza es erosionada desde fuera y substituída por un tejido fibroso e histiocitario con células multinucleadas gigantes y macrófagos cargados de lípidos.

Se da con la mayor frecuencia en niños entre los 4 y los 8 años y

A proximadamente la mitad son múltiples y el 5% se asocian con neurofibromatosis. Un número adicional se asocia a manchas café con leche. Mirra sugirió que cuando son múltiples y se asocian a manchas café con leche se denomine síndrome de Jaffe-Campanacci.

Cuando son grandes y tienen localización central se denominan fibromas no osificantes, los cuales pueden progresar y adquirir mayor tamaño que los excéntricos, además no suelen ser múltiples ni muestran las asociaciones que se han descrito y pueden ocurrir en pacientes de más de 25 años. Algunos autores piensan que se originan en defectos metafisarios previos.

Es posible que muchas de estas lesiones sean histiocitomas fibrosos benignos, especialmente aquellas que se localizan sin relación con inserciones ligamentosas o tendinosas, como las que se dan en huesos planos.

Los Patólogos rara vez tenemos ocasión de observar el defecto óseo metafisario en la actualidad porque los radiólogos lo diagnostican con seguridad y tienen tendencia a la curación después de la pubertad.

Radiológicamente se manifiesta como una lesión excéntrica, de contornos polilobulados y esclerosos.

Histológicamente se caracteriza por una proliferación fibroblástica con patrón en remolinos (estoriforme o en rueda de carro) que alterna con células xánticas y osteoclastos. Puede acompañarse de una infiltración linfoplasmocitaria. Las células fusiformes son en gran parte fibroblastos facultativos derivados de histiocitos.(fig.3)

Con frecuencia se descubren casualmente al hacerse una radiografía por otro motivo y no deben tratarse, excepto si causan dolor o fractura patológica. Si se ha de tratar el tratamiento de elección es quirúrgico mediante legrado o resección. Jamás se debe radiar por el peligro de neoplasia postradiación.

bibliografía 3

 

PROCESOS CON CÉLULAS GIGANTES

En este tipo de procesos el protagonista es la célula multinucleada gigantes tipo osteoclasto.

PROCESO REPARATIVO DE CÉLULAS GIGANTES.(reacción de células gigantes del hueso o granuloma de células gigantes)

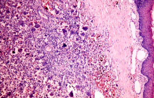
Proliferación benigna, probablemente reactiva, caracterizada por la proliferación de células multinucleadas gigantes, típicamente en agregados focales, sobre un fondo de proliferación fibroblástica.(fig.4)

Fue descrita primero en huesos maxilares por Jaffe hace ya más de 46 años y

Aún se ignora la patogenia de esta reacción intraósea. Cuando es familiar, bilateral y simétrico se conoce como querubismo. No debe confundirse con la displasia ósea que también puede ser bilateral, pero no necesariamente simétrica ni familiar y que tiene una histología diferente.

Es propia de niños, de forma que es rara después de los 15 a., lo que permite diferenciarlo del tumor de células gigantes que es raro antes de los 20 a. . Puede ser múltiple y aunque se dudó de su existencia en huesos extramaxilares, el trabajo de Ackerman y Spjut en 1962, alertó sobre la existencia de un proceso semejante en falanges de dedos y manos que ellos denominaron "reacción de células gigantes". Posteriormente se ha descrito también en huesos largos, preferentemente en fémur. Un proceso semejante es la proliferación de células gigantes que ocasionalmente se observa en la enfermedad de Paget y lo que Sanerkin describió en 1983 como forma sólida de quiste óseo aneurismático o las descritas en algunas displasias ósea fibrosas poliostóticas. Probablemente todas estas entidades que se consideraron independientes no son sino localizaciones diversas a una forma estereotipada de reacción ósea, quizás a múltiples microtraumatismos causantes de hemorragia intraósea.

Radiológicamente se manifiesta como una zona de osteolisis con expansión ósea e

Histológicamente se caracteriza por una abigarrada proliferación en el que la células predominante es el osteoclasto que generalmente se agrega en agrupaciones. Entre ellos hay una proliferación fibroblástica, macrófagos con hemosiderina y ocasionales depósitos de osteoide.

Este cuadro histológico obliga al diagnóstico diferencial con el hiperparatiroidismo, de forma que ante estas lesiones es mandatorio el estudio bioquímico y radiológico intencionado a descartarlo. Con el tumor de células gigantes es más fácil el diagnóstico ya que la edad ayuda y la proliferación de las células gigantes acostumbra a ser mucho más difusa, sin los depósitos de colágena, osteoide, macrófagos, etc. que alternan con la proliferación osteoclástica. Con el fibroma osificante, tal como se ha descrito anteriormente, rara vez se planteará el diagnóstico diferencial.

El tratamiento es el legrado con o sin injerto óseo. A veces estas lesiones se hacen muy grandes, son muy destructivas y obligan a resecciones, por ejemplo de toda una mandíbula o a la amputación de un dedo. Pueden también recurrir como ya señalaron Lorenzo y Dorfman en 1980.

bibliografía 4

 

PROCESOS OSTEOBLÁSTICOS

Probablemente es éste el apartado más delicado, debido a la variedad de entidades que incluye, quizás de individualización artificiosa además de dificil y al obligado diagnóstico diferencial con el osteosarcoma bien diferenciado. Se revisarán

 

DISPLASIA OSEA FIBROSA CLÁSICA

Alteración benigna, probablemente debido a un fallo en la formación o maduración del hueso, caracterizada por un tejido fibroso escasamente celular con patrón en remolinos y trabéculas óseas de estructura no laminar.

Radiológicamente, se caracteriza por una osteolisis de borde escleroso y transparencia esmerilada en el centro.

Histológicamente, consta de una proliferación conjuntiva, escasamente celular y formada por fibroblastos alargados o estrellado inmersos en un fondo fibroso con estructura en remolinos. En su seno hay trabéculas óseas inmaduras de formas diversas, a veces fusionadas y que se han descritos como vírgulas, caracteres chinos, en C etc. A veces predominan las áreas óseas sobre las fibrosas o al contrario. Se cree que las lesiones más recientes muestran también áreas mixoides que se van perdiendo a medida que el proceso envejece. Las trabéculas óseas carecen de osteoblastos y si se presentan son aplanados y aparentemente poco activos. (fig.5)

En un 10% de casos pueden haber islotes cartilaginosos y en ocasiones se hacen quísticos, por lo que se denominó osteitis quística fibrosa.

Puede ser poliostótica , generalmente aparece en las 3 primeras décadas de la vida y hay un ligero predominio femenino.

Afecta a cualquier hueso si bien los más frecuentes son el fémur,la tibia, huesos maxilares, cráneo y costillas.

Clïnicamente pueden ser asintomáticos o manifestarse como deformaciones de un miembro, fractura patológica o hinchazón con o sin dolor .

El tratamiento es quirúrgico y consiste en la corrección de la deformidad mediante osteotomía, legrado con o sin injerto óseo o tratamiento de una fractura patológica o bien resección segmentaria si la zona afectada es asquible. No hay tratamiento médico y la radioterapia no es aconsejable por el riesgo de malignización.

Existe la posibilidad de malignización con una estimación en frecuencia del 0,5 %.

El diagnóstico diferencial más grave se plantea con el osteosarcoma bien diferenciado. La clínica, la ausencia de los signos histológicos descritos, la radiología, la afectación de la cortical ósea, sutiles signos histologicos de malignidad y la relación con el hueso huésped ayudarán a dilucidar este transcendente diagnóstico diferencial.

 

DISPLASIA OSTEOFIBROSA CORTICAL

Esta es una interesante entidad que describió por primera vez Fragenheim en 1921 y la denominó osteitis fibrosa, Kempson en 1966 delimitó sus aspectos histológicos y la designó fibroma osificante Campanacci en 1976 le dió el nombre con que actualmente la conocemos. Anteriormente los autores se refirieron a ella con las

más diversas denominaciones: defecto fibroso congénito, displasia fibrosa congénita, displasia fibrosa intracortical, psudoartrosis infantil de la tibia, osteitis fibrosa localizada, cifoescoliosis congénita de la tibia, pseudoatrosis congénita, fibroma osificante de huesos largos, displasia osteofibrosa.

Es propia de la edad infantil y se presenta clínicamente como una masa o deformidad que puede o no ser dolorosa . La tibia es el hueso más frecuentemente afecto, pero también puede serlo el peroné del mismo lado. Histológicamente se caracteriza por la existencia de trabéculas óseas con prominente reborde osteoblástico en un tejido mixoide o fibroso pero con áreas mixoides. Este predominio mixoide, junto con la localización intracortical y el ribete osteoblástico la diferencia de la displasia fibrosa convencional que suele ser más colagenizada y cuyas trabéculas no contienen ribete osteoblástico o éste es parcial y con osteoblastos con apariencia poco activa.

Este cuadro histológico es el que acompaña a los adamantinomas de huesos largos y curiosamente la displasia osteofibrosa cortical es positiva a citoqueratinas en una proporción de hasta el 93% de los casos y es negativa sin embargo, al EMA y S-100

siendo positiva a la vimentina en las células del estroma. Esta positividad a citoqueratinas ha desarrollado un alud de especulaciones y es este proceso considerado como posible precedente al adamantinoma, como proceso con capacidad para terminar en adamantinoma, desarrollándose éste o no según otras circunstancias genéticas o ambientales que rodean a las células positivas a las queratinas. La opinión de que se trate de un proceso regresivo de un adamantinoma previo no parece sostenible ya que los adamantinomas ocurren a edades superiores a la propia de este proceso. A favor de la relación entre displasia osteofibrosa y el admantinoma está la genética que ha descubierto trisomía de los cromosomas 7 y 12 en ambos procesos.

La radiología se caracteriza por la deformidad de la tibia con arqueamientos o ensanchamientos de partes de la misma y la apariencia abigarrada de la cortical son áreas irregulares de ostelisis entre las cuales hay condensación ósea. Si el proceso es grande y afecta la medular, hay que sospechar la aparición de un adamantinoma.

bibliografía 5

 

LESIONES OSTEOFIBROSAS DE LOS HUESOS CRANEOFACIALES.

En huesos maxilares y masas óseas vecinas como son los huesos de la cara y el cráneo y los que componen los diversos senos paranasales, hay una diversidad de lesiones caracterizadas histológicamente por depósitos de trabéculas o espículas o masas calcificadas con o sin ribete osteoide que se han denominado de diversa forma según matices clínicos, radiológicos o morfológicos de escasa relevancia. Estos procesos que han sido agrupados bajo la denominación de lesiones fibroóseas ocurren también en huesos largos, si bien más raramente y se han descrito como fibrocementomas de huesos largos. En el macizo craneofacial se identifican como displasias fibrosas y fibroma osificante o cemento osificante.

Histológicamente se caracterizan por un tejido conjuntivo de base con áreas muy colagenizadas y otras mixoides, en el cual hay depósitos de material calcificado que forma trabéculas o espículas o esférulas que se han identificado con el cemento pero que contienen ostonectina y, osteocalcina, que identifican el osteoide calcificado. Tanto en huesos craneofaciales como en huesos largos, pero especialmente en aquéllos, la displasia ósea fibrosa puede tener zonas con trabéculas tapizadas por osteoblastos y no por ello hemos de denominarlos fibroma osificante o esférulas calcificadas denominadas cementículos, de forma que puede establecerse todo un espectro de procesos que se superponen y que van desde la displasia fibrosa clásica, cuando predomina el cuadro histológico propio de esta lesión, al fibrocementoma, cuando predominan los depósitos esferulares en un estroma fibroso. Esta idea propone pues, una ampliación del concepto de las displasia ósea que abarcaría una variedad de patrones histológicos que no son sino variantes de la misma. Dentro de este grupo así histológicamente definido, se debe sin embargo separar por razones de tratamiento y pronóstico los denominados fibroma osificante activo juvenil y la forma psamomatosa. Ambos se caracterizan por la temprana edad de su comienzo, lento crecimiento, fracuente recurrencia y conducta localmente agresiva. Histológicamente tienen 3 componentes principales: el estroma fibroso, zonas mixoides y formaciones osteoides tal como se han descrito anteriormente. Es característico también la localización en senos paranasales, especialmente el etmoidal y el maxilar y la fosa nasal. El tratamiento es la extirpación en bloque, por la gran tendencia a recidivar y a invadir las estructuras vecinas, incluso el paquete vasculonervioso del cuello.

La displasia periapical cementante es un proceso semejante originado seguramente en el ligamento periodontal.

bibliografía 6

 

PERIOSTITIS REACTIVAS OSIFICANTES.

En el periostio, singularmente de los dedos, se puede producir unas proliferaciones fibrosas, osteoblasticas y cartilaginosas que obligan en ocasiones al diagnóstico diferencial con el osteosarcoma periosteal o de la superficie del hueso u osteocondromas . La periostitis florida reactiva es uno de estos procesos y se la conoce también como fasciitis parostal, pasudotumor fibroóseo y periostitis osificante. Se da en un amplio rango de edades y en un 40% hay historia previa de trauma. Clínicamente es dolorosa y muestra engrosamiento fusiforme del hueso afecto. Histológicamente se presenta como una abigarrada proliferación fibroblástica y soteoblástica con ocasionales focos de cartílago sin atipias celulares. Tienen tendencia a mostrar un fenómeno de zona semejante al de la miositis osificante a cuya categoría procesal seguramente pertenece, con mayor proliferación en el centro y más maduración y diferenciación en la perifería. La proliferación bizarra parostal osteocondromatosa o enfermedad de Nora. Tiene el aspecto histológico de un callo pero con atipias en el componente cartilaginoso. No obstante su predilección por los dedos de manos y pies pueden presentarse en cualquier localización.

 

Juan María Loizaga Iriondo

Sevilla, diciembre de 1999

 

BIBLIOGRAFÍA

BIBLIOGRAFÍA 1

BIBLIOGRAFÍA 2

BIBLIOGRAFÍA 3:

BIBLIOGRAFÍA 4:

BIBLIOGRAFÍA 5:

BIBLIOGRAFÍA 6

 

FIGURAS

FIGURA 1

FIGURA 2

FIGURA 3

FIGURA 4

FIGURA 5

FIGURA 6

FIGURA 7