RESUMEN

Introducción.Existen una serie de desórdenes hipolipidémicos de orden genético que comparten características histopatológicas similares en biopsias intestinales de rutina, reflejados como vacuolizaciones citoplasmáticas por depósitos lipídicos. Ellas son: Abetalipoproteinemia, Hipobetalipoproteinemia Familiar Autosómica Dominante, Hipobetalipoproteinemia Familiar Autosómica Recesiva (Enfermedad de Anderson) y la Enfermedad por retención de Quilomicrones (Autosómica Recesiva). Comparten además características clínicas, entre ellas, malabsorción con esteatorrea, bajos niveles de lípidos circulantes y vitaminas liposolubles, disminución del crecimiento en los niños pequeños.

Material y Métodos.Se estudiaron biopsias intestinales de un niño de un año y medio de 7 Kg. Y una talla de 75 cm., con esteatorrea y desnutrición. Se realizó toma biopsia intestinal, seguida de estudios de microscopía de rutina, de High Resolution Light Microscopy (HRLM) o Microscopía Optica de alta Resolución y Microscopía Electrónica (ME). Se estudió el perfil lipídico en suero.

Resultados.Microscopía Optica: Vacuolizaciones supra e infranucleares, como resultado de la eliminación de lípidos por solventes orgánicos en el procesamiento de rutina, que sin un examen cuidadoso, pueden pasar inadvertidos o como artificios de técnica.
HRLM: En virtud de la fijación adecuada, con inclusión en resinas plásticas y secciones de una micra, se observan las colecciones de lípidos, en distintos grados de progresión, supra e infranucleares, dentro del enterocito, corroborado con Histoquímica para lípidos (Sudan Black). M.E.: Vacuolas lipídicas en el citosol, de diferentes tamaños, no rodeadas por membrana. Perfil lipídico en suero: Colesterol 104 mg/dl., HDL y LDL disminuídos, Triglicéridos normales. Apo-B 73 mg/dl. (Normal 138-158).

Conclusiones.Frente a la presencia de biopsias intestinales con vacuolización citoplasmática en los enterocitos, se debe investigar la posibilidad de alguna de estas alteraciones, realizando el perfil lipídico del paciente y los familiares. El presente caso muestra características estructurales de una hipobetalipoproteinemia familiar autosómica dominante, que es confirmada clínicamente por el estudio del perfil lipídico.

* Especialista en Patología. Servicio de Patología. Hospital Enrique Vera Barros. Docente de Histología del Instituto Univ. De Cs. De la Salud - Fundación H.A. Barceló, La Rioja. Docente de Patología de la I Cátedra de Patología. Hospital Nac. de Clínicas. Univ. Nac. de Córdoba.
** Doctor en Medicina y Cirugía. Especialista en Patología. Profesor Titular, Cátedra de Patología Humana. Hospital Nac. de Clínicas. F.Cs. Químicas. Univ. Nac. de Córdoba.
*** Especialista en Pediatría. Jefe de Sección de Gastroenterología Pediátrica, Hospital Enrique Vera Barros. Docente de Pediatría del Instituto Univ. De Cs. De la Salud - Fundación H.A. Barceló. La Rioja.
**** Bioquímica, Especialista en Gastroenterología. Docente de Cirugía III. Unidad Hospitalaria N° 1. Jefa del Laboratorio de Gastroenterología. Hospital Nacional de Clínicas. Univ Nac. De Córdoba.
***** Bioquímico. Docente de Bioquímica Clínica. Univ. Católica de Córdoba. ARGENTINA.

PALABRAS CLAVE

Hipobetalipoproteinemia, malabsorción, vacuolas lipídicas, HRLM, ultraestructura, intestino, gastroenterología.

INTRODUCCIÓN

Existen una serie de desórdenes hipolipidémicos de orden genético que comparten características histopatológicas similares en biopsias intestinales de rutina, reflejadas como vacuolizaciones citoplasmáticas por depósitos lipídicos. La más conocida, aunque rara es la abetalipoproteinemia clásica, la cual fue descripta por primera vez en 1950 por Bassen y Kornzweig (1). Como el nombre lo indica, el dato clave es la ausencia de apolipoproteina B (apo B) y todas las lipoproteínas plasmáticas que contienen apo B. Debe recordarse que la apo B es una proteína obligatoria constituyente de los quilomicrones, de las lipoproteínas de baja densidad LDL y muy baja densidad VLDL. La hipobetalipoproteinemia familiar autosómica dominante se puede presentar en heterocigotos, los cuales tienen niveles de LDL, menores o iguales que el 50% de lo normal, y los homocigotos son clínica y bioquímicamente similares a la abetalipoproteinemia, la cual es autosómica recesiva. (2,3). Además se ha descripto una forma diferente de abetalipoproteinemia con ausencia de LDL y VLDL, pero con triglicéridos y quilomicrones presentes en plasma(4). La abetalipoproteinemia incluye síntomas clínicos como malabsorción de grasas, alteraciones neuromusculares, degeneración espinocerebelar, neuropatía periférica, retinitis pigmentosa y acantocitosis de eritrocitos.(1,5,6,7).

Como se mencionó anteriormente, solamente en los casos homocigotas de hipobetalipoproteinemia familiar autosómica dominante se observa una clínica semejante , miemtras si es heterocigota, puede ser desde asintomática y detectada como hallazgo por hipolipoproteinemia en estudios de laboratorio (8,9), hasta pacientes pediátricos con diarrea crónica, malabsorción de lípidos y falta de crecimiento de manera transitoria, con escasa o nula acantocitosis(10), similar al caso que presentamos. Otra entidad más rara aún, de la cual existe escasa bibliografía, es la denominada "enfermedad de Anderson". Anderson en 1961 describió una forma de hipobetalipoproteinemia, con diarrea, esteatorrea y falta de crecimiento (11); es decir, se presenta como un cuadro clínico y aún de laboratorio, similar a la forma heterocigota de la hipobetalipoproteinemia familiar autosómica dominante, pero es de carácter autosómico recesivo. Estas dos difieren de la abetalipoproteinemia y de la forma homocigota de la hipobetalipoproteinemia familiar autosómica dominante por la ausencia de acantocitosis y de anomalías neurológicas.

En 1987Claude Roy y cols. describieron varios casos de malabsorción, hipocolesterolemia y enterocitos con vacuolas lipídicas, subtitulando una nueva entidad que denominan "enfermedad por retención de quilomicrones"(12,13) , en razón de formarse y acumularse éstas partículas, rodeadas de membrana en el interior del retículo endoplasmático liso de los enterocitos, no encontrándose en el espacio intercelular ni en los linfáticos. Los autores sugieren que el defecto intestinal resulta de un desorden en el ensamblaje final de los quilomicrones o en el mecanismo de su exocitosis. Todos los casos anteriores difieren de éste porque los lípidos se acumulan en el citoplasma del enterocito fuera del retículo endoplasmático liso y sin estar rodeados de membrana.

MATERIAL Y MÉTODOS

Descripción del paciente: Paciente de un año y 5 meses que presentó un cuadro de diarrea crónica, con valores disminuídos de peso y talla para la edad, compatibles con desnutrición crónica de II grado.

Biopsias: Se realizaron biopsias de la unión duodenoyeyunal con Cápsula de Crosby, bajo control fluoroscópico. Fueron fijados en formol, coloreadas con Hematoxilina-Eosina y PAS. Otras fueron fijadas en Karnovsky, postfijados en Osmio e incluídas en Araldita,. Se realizaron cortes de una micra para Microscopía Optica de Alta Resolución (MOAR), más conocida en inglés como High Resolution Light Microscopy (HRLM), teñidos con Azul de toluidina, fucsina y Sudán Black para la demostración de lípidos. Además se obtuvieron ultrasecciones para Microscopía Electrónica de Transmisión (MET), contrastadas con acetato de uranilo y observadas con un MET Elmiskop I .

Suero: Se realizaron lipidogramas electroforéticos en Agarosa al 0,6%, del paciente, de una hermana y la madre, con estudio del perfil lipídico en suero obtenido por centrifugación

RESULTADOS

El paciente, a la edad de 1 año y 5 meses pesaba 7 Kg 280 gr; teniendo en cuenta que el percentil 50 es de 11 Kg 800gr. , se obtiene un déficit de 36%. Medía 75 cm, siendo el promedio para esa edad 83 cm, indica un déficit del 10%; resultados que indican una malnutrición crónica.

Microscopía óptica:

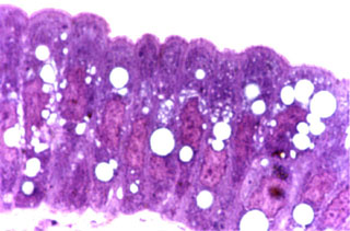
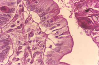
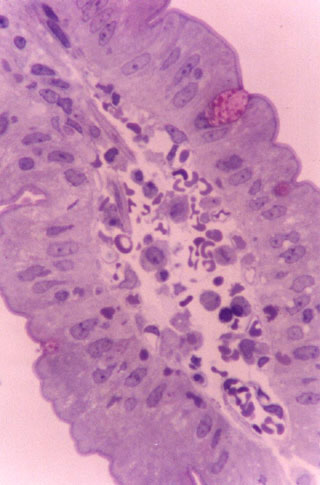
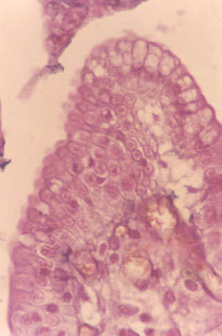
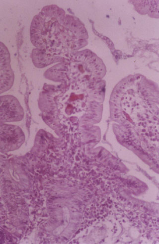
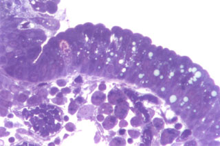
Se identificaron vellosidades intestinales conservadas (Fig. 1); no obstante bajo una observación cuidadosa y con múltiples cortes se evidenciaron vacuolizaciones supra e infranucleares; interpretados como resultado de la eliminación de lípidos por solventes orgánicos en el procesamiento de rutina, los cuales pueden pasar inadvertidos o como artificios de técnica (Figs. 2 y 3). La tinción de PAS, favorece la visualización de las vacuolas infranucleares intracitoplasmáticas (Fig. 4).

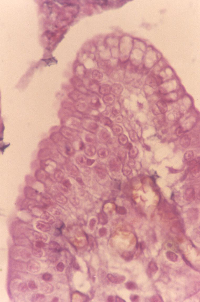
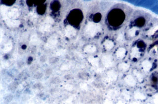
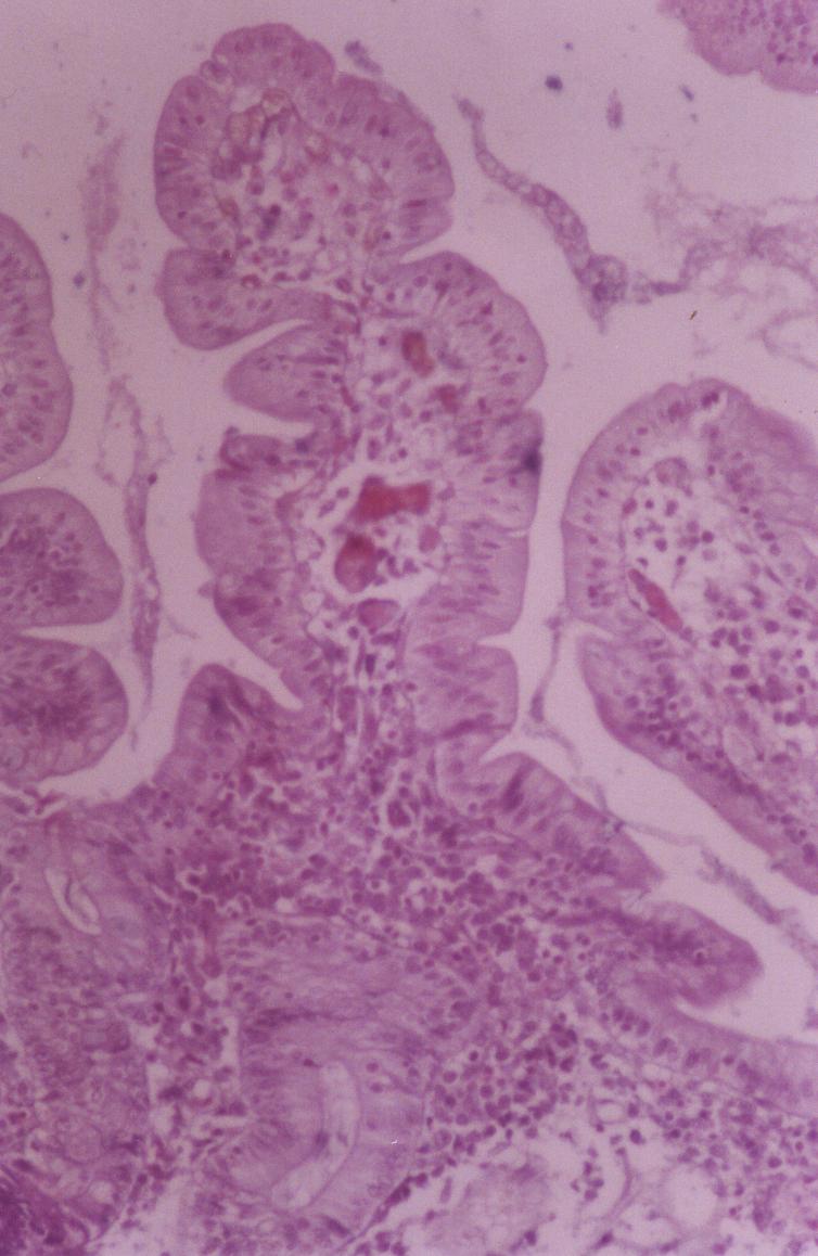
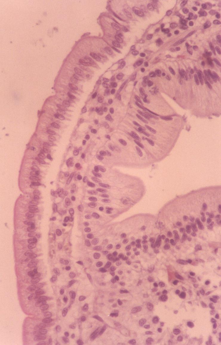
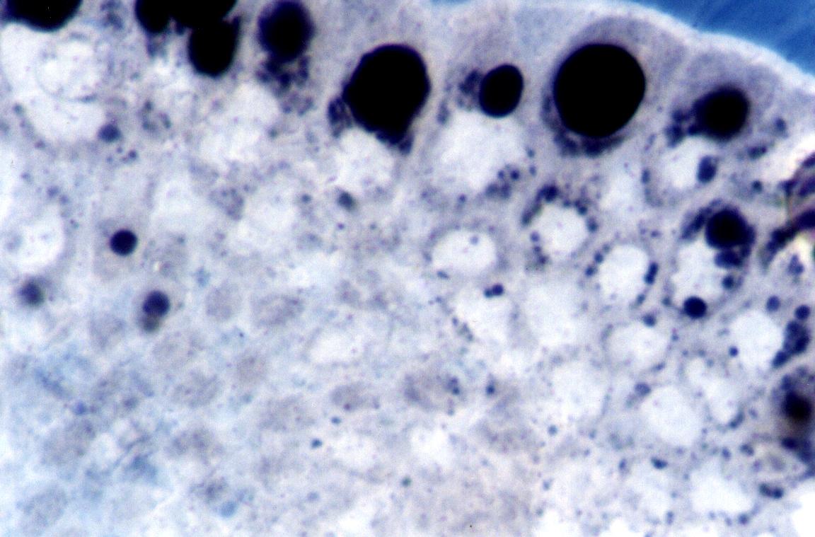
HRLM: En virtud de la fijación adecuada, con inclusión en resinas plásticas y secciones de una micra, se observan las colecciones de lípidos, en distintos grados de progresión, supra e infranucleares, dentro de los enterocitos (Figs. 5 y 6). Es de señalar la presencia de vellosidades de caracterísitcas normales o con cambios de microvacuolización (Fig. 7). El contenido de los depósitos en dichas vacuolas fue corroborado con un método histoquímico para lípidos (Sudan Black), destacándose la localización predominantemente en el tercio superior (Figs. 8 y 9).

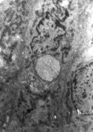
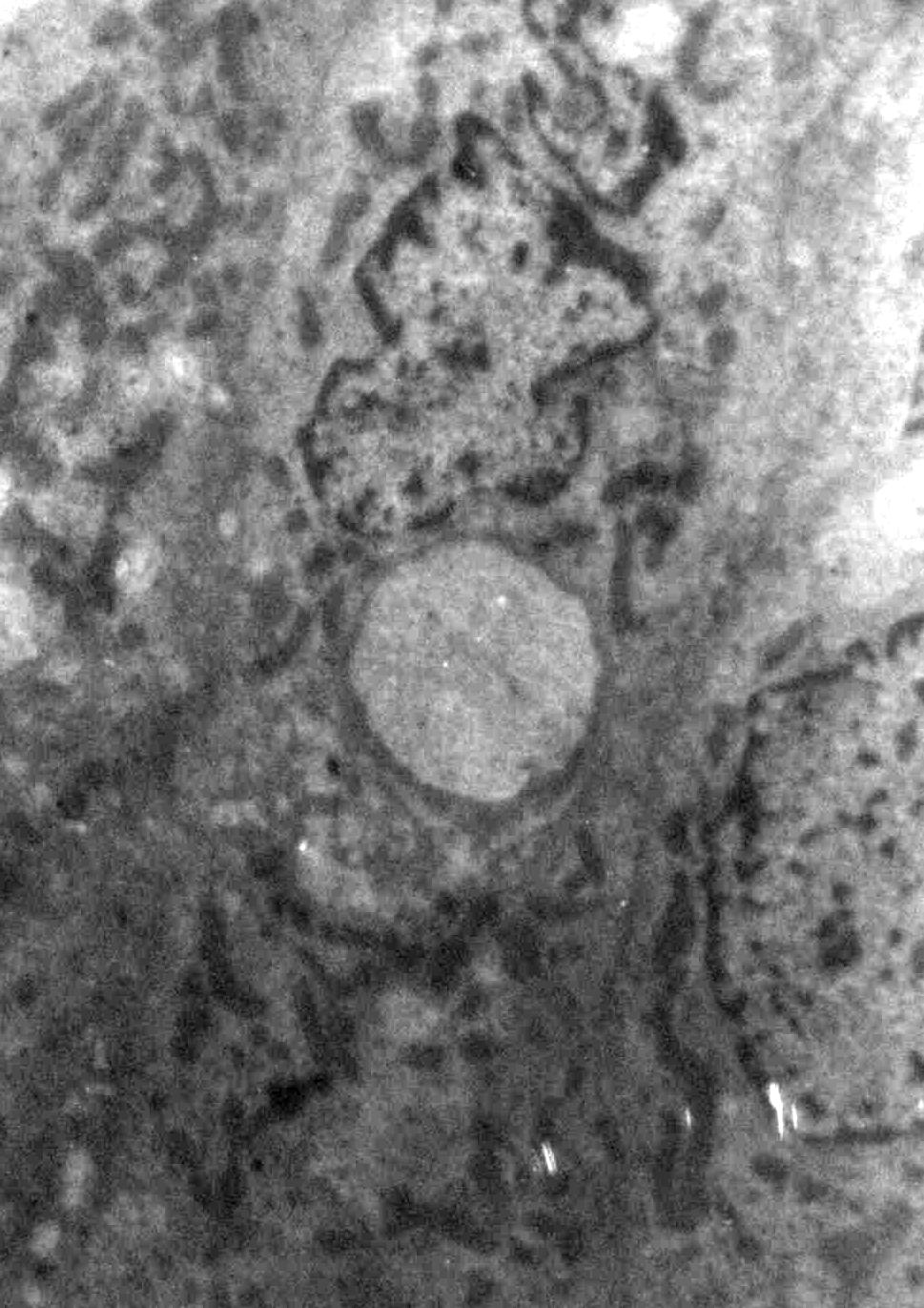
Microscopía Electrónica de Transmisión: Se identificaron las vacuolas lipídicas en el citosol, de diferentes tamaños, no rodeadas por membrana. (Fig. 10)

Perfil lipídico en suero: Colesterol 104 mg/dl (Valores relativos: 175-200 mg/dl) HDL y LDL disminuídos, Triglicéridos normales. Apo-B 73 mg/dl. (Valores relativos 58-158) (Fig. 11), destacándose los bajos valores de apo B obtenidos en el suero materno (74 mg/dl) y de la hermana por parte de madre (50 mg/dl).

CONCLUSIONES

Frente a la presencia de biopsias intestinales con vacuolización citoplasmática en los enterocitos y síndrome de malabsorción, se debe investigar la posibilidad de: Abetalipoproteinemia, hipobetalipoproteinemia autosómica dominante en sus formas homocigota y heterocigota, hipobetalipoproteinemia autosómica recesiva (Enfermedad de Anderson) y la denominada enfermedad por retención de quilomicrones.

La hipobetalipoproteinemia familiar es una condición rara que debe ser considerada en el diagnóstico diferencial de síndromes de malabsorción, por lo que consideramos que se puede realizar el dosaje de apo B, colesterol y LDL en pacientes pediátricos con diarrea crónica. Una manera fácil de identificar el carácter recesivo o dominante se logra llevando a cabo el estudio del perfil lipídico del paciente y los familiares. El correcto diagnóstico, permite no alarmar a la familia, por el carácter autolimitado de la afección en las formas heterocigotas, descartando las otras afecciones consideradas en los diagnósticos diferenciales y por último tener en cuenta que constituyen una condición de bajo riesgo para enfermedad arterioesclerótica. Los mecanismos responsables del mejoramiento de la absorción y transporte de lípidos , a pesar de la persistencia de la hipobetalipoproteinemia aún no han sido esclarecidos. El presente caso muestra características histomorfológicas, clínicas y del perfil lipídico de una hipobetalipoproteinemia familiar autosómica dominante.

BIBLIOGRAFÍA

    1. Bassen FA and Korzweig AL. Malformation of the erithrocytes in a case of atypical retinitis pigmentosa. Blood. 1950; 5: 381-387.
    2. Malloy MJ and Kane JP. Hypolipidemia. Med Clin North Am. 1982; 66(2):469-484.
    3. Cottrill C, Glueck CJ, Leuba V, Millet F, Puppione D, Brown WV. Familial Homozygous Hypobetalipoproteinemia. Metabolism. 1974; 23(8):779-791.
    4. Malloy MJ, Kane JP, Hardman DA, Hamilton RL, Dalal KB. Normotriglyceridemic Abetalipoproteinemia. Absence of the B-100 apolipoprotein. J Clin Invest. 1981; 67(5):1441-1450.
    5. Weber M, Annonier P, Coumaros D, Willemin B, Bronner A. Pigmentary retinopathy of Bassen-Kornzweig syndrome. Clinical, biological and electrophysiological study of 2 cases. Soc Ophtalmol Fr. 1988; 88(3):423-426.
    6. Gracey M, Hilton HB Acanthocytes and hypobetailipoproteinemia. Lancet. 1973; 24; 1:679
    7. Critchley EM, Clark DB, Wikler A . Acanthocytosis and neurological disorder without betalipoproteinemia. Arch Neurol 1968; 18(2):134-40.
    8. Munoz Torres M, Cano Romera A, Dominguez S, Cano Parra MD, Lobon JA, Escobar Jimenez F. Familial hypobetalipoproteinemia: description of a heterozygous form with important biochemical alterations. Rev Clin Esp 1991; 188(2):81-82 9.
    9. Burnett JR, Proos AL, Koutts J, Burnett L. Familial hypobetalipoproteinaemia: a rare presentation to the lipid clinic. Med J Aust 1993; 16;159(4):272-274.
    10. Levy E, Roy CC, Thibault L, Bonin A, Brochu P, Seidman EG. Variable expression of familial heterozygous hypobetalipoproteinemia: transient malabsorption during infancy. J Lipid Res. 1994 ;35(12):2170-2177.
    11. Anderson CM, Townley RRW, Freeman JP. Unusual causes of esteatorrhea in infancy and childhood . Med J Aust. 1961; 11:617-621.
    12. Roy CC, Levy E, Green PH, Sniderman A, Letarte J, Buts JP, Orquin J, Brochu P, Weber AM, Morin CL, et al Malabsorption, hypocholesterolemia, and fat-filled enterocytes with increased intestinal apoprotein B. Chylomicron retention disease. Gastroenterology 1987 Feb;92(2):390-399.
    13. Levy E, Marcel Y, Deckelbaum RJ, Milne R, Lepage G, Seidman E, Bendayan M, Roy CC. Intestinal apoB synthesis, lipids, and lipoproteins in chylomicron retention disease. J Lipid Res 1987 Nov;28(11):1263-74.

 

FIGURAS

FIGURA 1. Panorámica que muestra la conservación de vellosidades intestinales. H.E. 40X.

FIGURA 2. Vacuolizaciones predominantemente supranucleares, por la eliminación de lípidos por los solventes orgánicos durante el procesamiento de rutina. H.E. 100X.

FIGURA 3. Vellosidad que muestra en el margen izquierdo, una imagen de tipo artificial, que se interpreta como resuoltado de los abundantes depósitos lipídicos infranucleares, advirtiendo la conservación del margen derecho. H.E. 100X.

FIGURA 4. Vacuolas infranucleares, intracitoplasmáticas. PAS. 400X.

FIGURA 5. Vacuolas de tonalidad ligeramente verdosa características de depósitos lipídicos, observándose distintos grados de progresión, con localización supra e infranuclear. Se destaca la presencia de numerosos macrófagos en el corion, algunos con depósitos lipídicos. HRLM. Fucsina-Toluidina. 400X.

FIGURA 6. Detalle de la imagen anterior. Obsérvese las muescas que dejan las vacuolas sobre algunos núcleos. HRLM. Fucsina-Toluidina. 1000X.

FIGURA 7. Vellosidad de características en su mayor parte conservadas; sólo se advierten microvacuolas en el margen derecho-inferior. Se destaca la morfología normal de los enterocitos (ausencia de acantocitosis), en el corion. HRLM. Fucsina-Toluidina. 400X.

FIGURA 8. Depósitos lipídicos contrastados en color negro, observados predominantemente en el tercio superior de las vellosidades. HRLM. Sudán Black. 400X.

FIGURA 9. Obsérvese los grados de progresión de los depósitos lipídicos; primero como microvacuolas, hasta grandes gotas. Los núcleos se ven de color blanco grisáceo. HRLM. Sudán Black. 1000X.

FIGURA 10. Gran vacuola lipídica supranuclear y otra pequeña infranuclear, no rodeadas de membrana. MET.

FIGURA 11. Lipidograma.