RESUMEN

La leucemia de células peludas representa una proliferacion de células linfoides de estirpe b incluida en la revision europea amaricana de linfomas como un linfoma no hodgkin de bajo grado de malignidad. La morfologia tipica de las células vellosas con la ayuda de estudios enzimaticos especificos facilita el diagnostico de esta entidad bien definida y poco frecuente. Presentamos dos casos. El primero se trata de un paciente con sindrome febril prolongado; pancitopenia y artritis de rodilla que evoluciona torpidamente y presenta sangramiento digestivo alto masivo, hemorragia multiple de organos y fallece en shock hipovolemico, solo existia infiltracion en medula osea. El segundo caso informa un paciente que ingresa por dolor abdominal se demuestra esplenomegalia gigante, presentaba infiltracion por leucemia de células peludas en bazo y medula osea, ha evolucionado favorablemente con esplenectomia y tratamiento medico. Se realiza la discusion clinico patologica asi como el diagnostico diferencial.

PALABRAS CLAVE

Leucemia de células peludas / diagnostico; leucemia de células peludas/ diagnostico diferencial.

INTRODUCCIÓN

La leucemia de células peludas es un proceso linfoproliferativo de células b con manifestaciones primarias en sangre medula osea y bazo. Es un trastorno poco comun del adulto con un pico de incidencia en la quinta o sexta decada de la vida, existe predominio en el sexo masculino. La mayoria de los pacientes se presentan con esplenomegalia y pancitopenia, es poco comun la presencia de adenopatias.(1-3) puede ocurrir una transformacion blastica. Manifestaciones clinicas inusuales incluyen compresion de la medula espinal e infiltracion de la mucosa gastrica. Muchos pacientes se presentan con anemia normocitica normocromica, trombocitopenia, el conteo de leucocitos varia pero la leucopenia generalmente esta presente.

Las células peludas son de tamaño mediano y pequeño con un nucleo ligeramente lobulado o monocitoide redondo u oval, la cromatina nuclear esta agrupada, generalmente no se detectan nucleolos. El citoplasma es claro o ligeramente basofilico y presenta pequeñas proyecciones, pueden aparecer pequeñas vacuolas.(4-5) las células peludas en el aspirado medular y en las improntas de biopsias son similares a las vistas en sangre periferica. Por lo poco frecuente de esta patología y por el amplio espectro clinico y curso impredecible que cursa esta entidad nos motivamos a presentar dos casos clinicos con caracteristicas totalmente diferentes.

MATERIAL Y MÉTODOS

Se presentan dos casos clinicos con diagnostico final de leucemia de células peludas uno de ellos fallecido y el otro no. El primer caso se trata de un paciente de 63 años de edad que ingresa por sindrome febril prolongado; pancitopenia y artritis de rodilla se le realiza biopsia de medula osea correspondiente con una leucemia de células peludas, el paciente evoluciona torpidamente y presenta sangraminto digestivo alto masivo, hemorragia multiples de organos y fallece en shock hipovolemico dentro de los hallazgos encontrados en la autopsia existia ictericia visceral generalizada, esteatosis hepatica moderada, ulceras gastricas agudas, gastritis aguda hemorragica, traqueitis aguda necrotizante, necrosis tubular aguda y daño multiorganico, solo existia infiltracion por leucemia de células peludas en medula osea. El segundo caso se trata de un peciente que ingresa por dolor abdominal al examen fisico se encuentra esplenomegalia gigante, se le realiza esplenectomia y se observa infiltracion por leucemia de células peludas, tambien existia infiltracion en medula osea. El paciente ha evolucionado favorablemente con esplenectomia y tratamiento medico. En ambos casos se realizo correlacion con la clinica medulograma y biopsia de medula osea para llegar al diagnostico de esta entidad.

RESULTADOS Y DISCUSIÓN

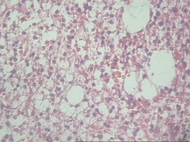
La biopsia de medula osea es muy importante para el diagnostico de leucemia de células peludas, debido a que en muchos casos solo existe infiltracion en este sitio. La medula es generalmente hipercelular , la toma puede ser focal o difusa, el termino parcial o en parche ha sido utilizado para describir lesiones focales. El patron difuso es mas comun donde grandes areas de la medula son reemplazadas por el tumor.(1,5-8) la extension de la infiltracion es acentuada en cortes marcados para linfocitos b. El infiltrado de células peludas es muy caracteristico en la mayoria de los casos formado por areas claras pobremente definidas que separan las células leucemicas. Los nucleos de las células peludas son redondos ovales o ligeramente lobulados, las figuras mitoticas son escasas. En algunos casos las células peludas son elongadas y fusiformes estas lesiones recuerdan una mastocitosis sistemica. La coloracion para reticulo muestra marcado incremento de las fibras de reticulina. Desde el punto de vista citoquimico un estudio importante en el diagnostico es la demostracion de la fosfatasa acida tartrato resistente. Las células leucemicas expresan antigenos asociados con células b cd19, cd20, cd24, hladr y cd22, son negativas para cd21 un marcador de diferenciacion temprana de células b, expresan cd25 y cd11c. Por microscopia electronica las células peludas muestran proyecciones citoplasmaticas, microvellosidades y pseudopodos.(1,9-11) el bazo muestra una infiltracion densa difusa de la pulpa roja y presencia de células malignas en los senos. El higado muestra una infiltracion difusa de los sinusoides por las células peludas. Los ganglios linfaticos muestran infiltracion difusa de los senos subcapsulares, corteza y cordones medulares. El diagnostico diferencial se realiza con otras proliferaciones de linfocitos pequeños como el linfoma esplenico con linfocitos vellosos, la variante de leucemia de células peludas, los linfomas de células b monocitoides, la leucemia prolinfocitica b. La variante de leucemia de células peludas debido a que la células son mas elongadas hay que realizar el diagnostico diferencial con la mastocitosis sistemica.el pronostico es generalmete bueno ya que se considera un linfoma de bajo grado de malignidad. Nuestros dos casos cumplieron los criterios histopatologicos para el diagnostico de leucemia de células peludas . El primero a pesar de existir solo infiltracion en medula osea fallecio por la trombocitopenia severa que lo llevo al sangramiento digestivo masivo , el segundo a pesar de tener infiltracion medular y esplenica evoluciono favorablemente lo que apoya al pronostico impredecible de esta entidad bien definida.

BIBLIOGRAFÍA

    1. Brunning R, Mckenna R. Tumor Of The Bone Marrow. Third Series. Fascicle 9. 1994.Armed Forces Institute Of Pathology.
    2. Hounieu H, Chittal Sm. Hairy Cell Leukemia. Diagnosis Of The Bone Marrow Involvement In Paraffin-Embedded Section With Monoclonal Antibody.Dba.44. Am J Clin Pathol 1992; 98:26-33.
    3. Mercieca J, Matutes E. Massive Abdominal Lymphadenopathy In Hairy Cell Leukemia: A Report Of 12 Cases. Br J Haematol 1992; 82:547-54.
    4. Vallianatou K. P53 Gene Deletion And Trisomy 12 In Hairy Cell Leukemia And Its Variants. Leuk Res 1999, Nov,23(11):1041-5.
    5. Sinkouoics J. Hairy Cell Leukemia. Onu Hetel 1999 Sep 19, 140(38):2143.
    6. Marino Gg. Questin On Hairy Cell Leukemia Case Report. J Am Osteopath Assoc 1999 Aug, 99(8):394-5.
    7. Pittitt Ar. Hairy Cell Leukemia: Biology And Management. Br J Haematol 1999 Jul, 106(1):2-8.
    8. Helen C. Hairy And Febrile Leukocytes. Rev Med Interne 1999; 20 Suppl 2:3135-45.
    9. Telek B. Hairy Cell Leukemia:Author Own Experiencie 1977-1998. Orv Hetel 1999 May 2, 140(18):987-91.
    10. Baccarini U. Spelnectomy In Hematology. Current Practice And New Perspective. Haematologia 1999 May, 84(5):431-6.
    11. Friedline A. Blastic Transformation In A Case Of Hairy Cell Leukemia. Mol Diag 1998. Sep 3(3):163-9.

FIGURAS

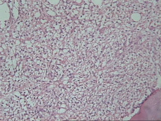
Figura #1: biopsia de medula osea del primer caso infiltrada difusamente por una leucemia de células peludas. H/e x400

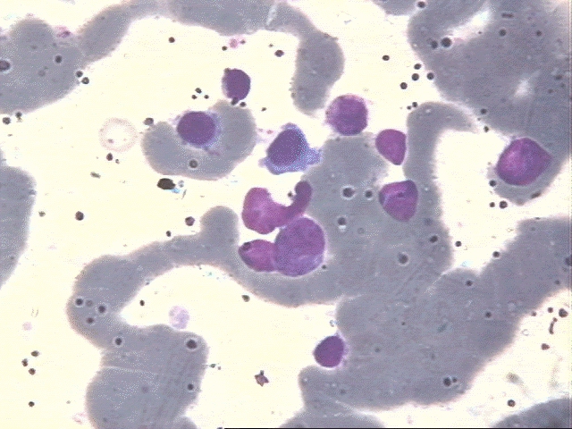
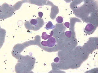
Figura #2:medulograma del segundo caso donde se observan las células vellosas. Mwg x1000.

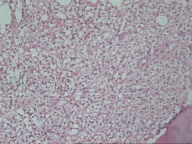
Figura #3: biopsia de medula osea del segundo caso infiltrada difusamente por una leucemia de células peludas. H/e x200