|

Países Latinos - La mejor fotografía científica
Patrocinado
por: MacGraw-Hill Interamericana
Bases
del concurso
Con este
concurso se pretende premiar la calidad de las fotografías científicas
presentadas al Congreso y fomentar el conocimiento de las bellezas naturales,
arquitectónicas y paisajísticas de los distintos paises
latinos, a través de fotografías realizadas por los participantes
en el Congreso.
RESULTADOS
DEL CONCURSO
|
FOTOGRAFÍA
CIENTÍFICA
|
PAISES
LATINOS
|
El jurado
compuesto por el Dr.Marcial García Rojo (Presidente del
Comité Organizador) y el Dr. Ernesto Moro Rodriguez ( Secretario
del Comité Organizador), ha resuelto conceder el premio
del Concurso Fotográfico, en la modalidad de Fotografía
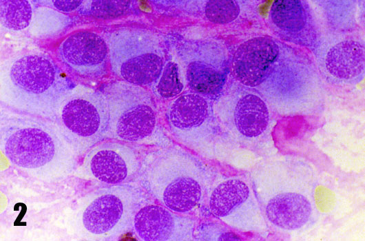
Científica, a la fotografía nº2, del poster
titulado : “Mioepitelioma
plasmocitoide del paladar blando” cuyos autores son: J.I.
López, A. Ugalde , J. Aróstegui y F.J. Bilbao del Servicio de
Anatomía Patológica, Hospital de Basurto, Bilbao (España) .
Oviedo,
26 de Abril de 2000
|
El
jurado compuesto por el Dr. Joaquín Fernández Toral
( Servicio de Pediatría del Hospital Central de Asturias),
D. Lorenzo Secades ( Servicio de Fotografía del Hospital
Central de Asturias) y D. Miguel Ortuño Pérez (Servicio
de Proceso de Imágenes de la Universidad de Oviedo), ha resuelto
conceder el premio del Concurso Fotográfico, en la modalidad
de Paises Latinos, a la fotografía nº 65 titulada
"Caminando hacia la luz" cuyo autor es el Dr. Jorge Ugalde
del Departamento de Patología. Hospital Santa Inés. Cuenca. (Ecuador).
Así mismo desea felicitar a todos los participantes por la
calidad de los trabajos presentados.
Oviedo,
7 de Abril de 2000
|
FOTOGRAFÍA
PREMIADA
Poster: “Mioepitelioma plasmocitoide del paladar blando”
Autores:J.I.
López, A. Ugalde, J. Aróstegui,F.J. Bilbao,
Servicio de Anatomía Patológica, Hospital de Basurto, Bilbao (España)
|
FOTOGRAFÍA
PREMIADA
Nº65
Título: "Caminando hacia la luz."
Autor:
Dr. Jorge Ugalde .
Departamento de Patología. Hospital Santa Inés.
Cuenca. (Ecuador).
|
FOTOS
DEL CONCURSO "PAISES LATINOS"
|
|
|
|
|
|
|
|
|
|
|
|
|
|
|
|
|
|
|
|
|
|
|
|
|
|
|
Diseño:
Equipo Web, Servicio de
Proceso de Imágenes, Universidad de Oviedo.
Última actualización: 28/4/2000
|